Главная Юзердоски Каталог Трекер NSFW Настройки

Медицина

Ответить в тред Ответить в тред
Check this out!
<<
Назад | Вниз | Каталог | Обновить | Автообновление | 514 103 244
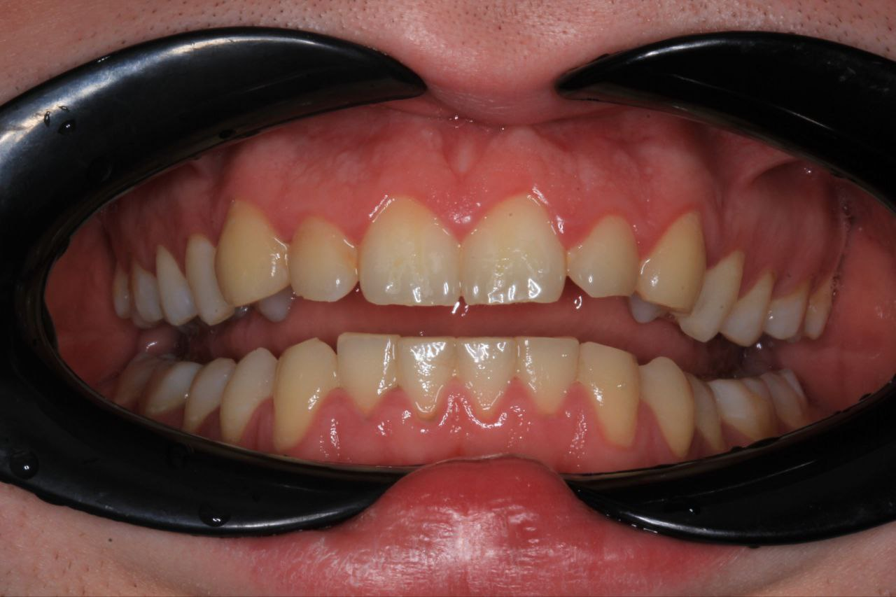
Стоматологии тред Аноним 16/07/25 Срд 09:40:41 1631979 1
1752648002337.jpg 244Кб, 1900x1266
1900x1266
Единый тред стоматологии.
Может не будете плодить кучу тредов про стоматологию и будете спрашивать в одном?
Аноним 16/07/25 Срд 10:17:42 1631984 2
Неделю назад удалил два зуба мудрости на одной стороне. Десна до сих пор ноет. Не так сильно, конечно, как в первый день а хз как она тогда ныла, я нимесил 2 раза в день пил. Последние 3 дня боль слабеет, но ооочень медленно. Пью нимесил раз в день, хоть мне прописали только первые 3 дня по 2 раза. Боль ноющая, отдает в резец и клык, немного в подбородок и низ челюсти посередине. Терпимо, на раздражает пиздец.
Удаление сложное, ретинированные были.
Это норма? Когда должно полностью перестать ныть?
Аноним 17/07/25 Чтв 05:11:51 1632128 3
>>1631984
верхний перестанет ныть в течение 5 дней
нижний в течение 14-28 дней
у меня так было)

у верхнего как правило 1 корень, у нижнего аж целых 3, поэтому там ебучий кратер, плюс гравитация дает о себе знать.

Внутри лунки на нижнем есть сгусток? гнилью не воняет? в общем если боль не усиливается, то это хороший знак. главное не тревожь место удаления
Аноним 17/07/25 Чтв 07:32:11 1632134 4
мезиальный прикус, пара зубов на верхней челюсти стоит 2 рядом при этом зубы мудрости сверху выросли нормально
какие шансы просто поставить брекеты и обойтись без операций?
а главный вопрос - по чём сейчас брекеты?
Аноним 17/07/25 Чтв 10:35:46 1632155 5
>>1632134
Мне вот зубы мудрости, правда ретинированные, удаляли как раз перед брекетами. Зубы мудрости крупные и сдвигают зубы другие, скучивая их.
Чаще всего рекомендуют их удалить. Потому что после исправления прикуса не факт что зм не поднасрут опять.
По цене у меня в миллионнике так
3д цефалометрия 7к.
Сложное удаление одного зуба 11к. Обычный дешевле будут.
Брекеты и их установка 150к.
Прием перед брекетами и слепок зубов хз сколько.
Посещение 2-4к раз в 2 месяца.
Снятие хз сколько. Ретейнер и или капа на ночь хз.
В любом случае сами брекеты, 150к, это основная сумма. Остальное по мелочи.

В дс 4 выйдет в 2 раза дешевле. Сестра вместо 150 отдала 70 за такие же.
Аноним 17/07/25 Чтв 10:51:25 1632159 6
>>1631984
>удалил два зуба
Надо было 4 сразу. Чо так мало?
>отдает в ре
Полости что-то буянят.
>раз в день
>Неделю
Нпвс не жрут с чаем. А ещё гепатоксичночть у него. Иди к стоматологу.
Аноним 17/07/25 Чтв 12:49:13 1632201 7
>>1632155
Какой прикус то был у тебя?
Все зубы мудрости к счастью уже удалил
Аноним 17/07/25 Чтв 13:25:05 1632223 8
>>1632159
>Чо так мало?
Почему нельзя 2? На одной стороне. Чтоб быстрее отмучиться и поставить брекеты.
Аноним 17/07/25 Чтв 13:26:05 1632225 9
>>1632201
Дистальный, как и положено посетителю оранжевого сайта для аниме девочек.
Аноним 19/07/25 Суб 11:41:43 1632510 10
Ирригатор посоветуйте до 3к
Аноним 20/07/25 Вск 14:44:44 1632648 11
Как меня эти мрази заебали. Пришёл полечить кариес зуба, дырочка на верхнем
Все блять, сделали снимок, где нихуя не видно на глаз и все у вас пульпит. Зубу пизда снимки анестезия лечить месяц 4 похода, временная пломба коронка постоянная пломба. 56 тыс рублей давай мразь
Да блять пластиковый вставить 25 тыс стоит
Аноним 22/07/25 Втр 14:40:46 1632893 12
Болит вся челюсть с правой стороны, хз, не могу понять, какой именно зуб, будто четыре сразу. Подсвечивание с фонариком не показало никаких видимых отклонений, к стоматологу хожу регулярно, делаю чистки, дома пользуюсь нитью. Жжет в деснах и бывает кольнет где-то в том же районе, как будто током ударило. В интернете пишут про тройничковый нерв, или как там его, вроде похожи симптомы, но как понять, что не в зубах дело? Вдруг они у меня там уже сгнили нахуй, вот и ноют (хотя схуяли им сгнивать, если я два раза в год хожу проверяться)
Аноним 22/07/25 Втр 15:23:09 1632899 13
У меня глубокий прикус, нижняя челюсь сильно западает под верхнюю, если сделать ей смыкание по передним зубам, то не смыкаются жевательные зубы. И что делают в таком случае? Как вытянуть жевательные зубы, чтобы они сомкнулись? Или зубы наращивают пломбами?
Аноним 24/07/25 Чтв 03:52:58 1633058 14
Блять, пару лет назад когда ставил имплант на 5 зуб, мне врач сказал чтобы я удалял нахуй нижнюю восьмёрку, иначе пизда будет рано или поздно. Ну а я хуй забил разумеется.
И это произошло на прошлой неделе. Сначала нестерпимая боль на ночь глядя, всякие ибупрофены не помогли. В итоге бессонная ночь и дикий ахуй утром. Ещё и температура скакать начала. Работать не смог, побежал по стоматологиям.
В самой первой из них мне сказали, что дескать тут отёк, давай-ка ложись в ЧЛХ, при этом направления разумеется не выписали, сам ебись - пидоры блять.
Подумал, что направление дадут в муниципальной областной стоматологии, побежал туда. Там меня отфутболили, сказав что зашиваются и иди нахуй. Но дали наводку на частную клинику, которая может работать с ОМС по острой боли и направления тоже выписывает.
Побежал вприпрыжку туда, а степень охуения от боли и ебейший недосып - заставили меня скулить. Там меня впервые за день нормально принял врач, ничего не стал говорить про ЧЛХ. Я тут возрадовался, что меня могут и локально починить, удалив эту ебаную 8ку. Но удалять сразу не стал, опять же сказал что отёк. Вместо этого прописал всякие антибиотики и противовоспалительные, мол как отёк снимется, приходи, удалим. А если вдруг на следующий день отёк станет ебовый, немедля беги на приём.
Ну я въебал прописанные пилюли, даже немного полегче стало. Но проснулся с ебалом в 3 раза большим, чем днём ранее. Общее состояние нестояния, температура, хуевое самочувствие, всё болит, полный пиздец. Где-то к обеду я кое как взял себя в руки и побежал к этому стоматологу. Он покачал головой и немедля выписал направление. Флегмона, абсцесс.
Через часик уже был в приёмном покое больницы. Буквально в первые полчаса как меня положили, мне разрезали слизистую под щекой, чтобы хоть как-то убрать воспаление, поставили дренаж. Это было довольно больно, потому что восьмерка ретинированная, там скапливался гной и обезбол действовал так себе. Потом через пару дней, когда отёчность более менее сошла и я мог открывать рот примерно на ширину двух сложенных пальцев, мне удалили 8ку с пилением кости. Она у меня росла по ебанутому ещё - вбок, но какбэ наоборот, корнями в сторону 7ки. Практически все эти дни я был на обезболе, который кололся в жопку по желанию. Лишь в предпоследний день перед выпиской я более менее комфортно себя мог ощущать без обезбола. Выписался пару дней назад и вот сегодня боли вообще практически не беспокоили. Изредка боль может пробить в ухо, но это хуйня.
Аноним 25/07/25 Птн 15:53:49 1633255 15
изображение.png 897Кб, 800x601
800x601
привет двач, мне 24 года и меня заебал ебучий темно-коричневый межзубный налет, который появляется через месяц после профгигиены вне зависимости от прикладываемых усилий
прежде чем мне тут посоветуют купить зубную нить, опишу свою ежедневную рутину (ни один шаг в которой я никогда не скипаю, я серьезно)
утро:
1. зубная нить (та которая толстая и от воды расширяется), пользоваться умею
2. чистка зубов минимум 2 минуты электрической зубной щеткой, паста 75 рда с фтором папаином (написано расщепляет зубной налет, в душе не ебу правда или нет), чистить умею. раз в неделю гоняю на режиме отбеливания, тоже не ебу делает он что-то или нет, наверное нет
3. прохожусь монопучком по всем зубам с пастой еще раз
между приемами пищи пью дохуя воды
вечер:
1-3 шаги аналогично
+ гель для реминерализации
на последнюю чистку въебано 8 тысяч у какого-то распиздатого стоматолога, посоветовал мне как раз монопучок, ершики подобрал по размерам межзубных пространств, у меня поехала крыша и рутина месяц после чистки выглядела так:
утро:
1. зубная нить
2. зубная щетка с пастой
3. монопучок с пастой
4. ершики для межзубных пространств с пастой
в течение дня после КАЖДОГО приема пищи хуярю зубной ниткой и иногда дополнительно ершиком с пастой, ополаскиваюсь ополаскивателем
вечер:
1-4 аналогично и гель для реминерализации
попробуйте угадать как выглядели мои зубы через месяц после этого? верно, точно так же в коричневом налете между зубами
я не бомж но у меня нет желания каждый месяц всирать по несколько тысяч на чистку
проблема существует по всей видимости с пиздючества
я пью с утра 2 чашки кофе (до чистки зубов), в течение дня еще чай пью зеленый, без этого не могу, но воды я один хуй больше пью
с 18 курю сиги, с 21 только вейп, но повторюсь проблема существует с пиздючества
кариесов у меня никогда не находят, все зубы здоровые, с прикусом все заебись после брекетов, воду водопроводную не пью и не знаю каким ебланом нужно быть чтобы ее пить в россии, но почему-то спрашивают иногда
желудок не беспокоит
сахара мало жру
хуй знает что еще написать
двач помоги пожалуйста, мне стыдно рот на людях открывать
пикрандом для привлечения внимания
Аноним 25/07/25 Птн 16:02:50 1633257 16
>>1633255
уточнить забыл что налет такой только между нижними 6 передними зубами
между верхними если и есть то почти нихуя
Аноним 25/07/25 Птн 22:54:55 1633308 17
>>1633255
>чистка зубов минимум 2 минуты электрической зубной щеткой
Пиздец ты соевая блаженная хуета, замени на обычную и чистить как положено от корня к режущей кромке. Если щётка жёсткая - заменить на мягкую, если мягкая - на жёсткую.

Пасту заменить на другую без фтора, пробовать, экспериментировать.

Гели и прочую поеботу химическую исключить.

Под профессиональной чисткой что ты понимаешь?
Ультразвуковое удаление камней не чаще раз в пол года делается.
Аэрфлоу делать вообще нельзя, он разршуает эмаль и приводит к образованию налёта.

Вангую и ёршиками и нитками ты только больше дрочешь эмаль и делаешь хуже, я бы тоже попробовал исключить и посмотреть результат.

Ну и самое главное - исключить сахар, он ведёт к бактериальному росту.
После еды полоскать травами рот.
Опционально исключить ещё молочку, если выдержишь.

Если нихуя не поможет, как крайнюю меру можно попробовать бахнуть антибиотики от грамположительной флоры курсом на две недели, а потом заселять бактериофагами ротешник.
Аноним 26/07/25 Суб 20:29:00 1633424 18
>>1632648
>мразь
это сейчас реальность?
работают по будням до 7 вечера, для кого? по выходным запись пиздец на неделю вперед, сначала осмотр потом лечение в три приема и месяц на 1 зуб в идеальных условиях. Ой мы в субботу до 4 ой врач который лечит каналы только через месяц на 2 часа будет
Ощущения будто сплошь распиздяии и дай бох один два нормальных врача на весь город миллионик
пришел я в другую, хорошую)) клинику посмотрели записали: ой вас осматривала врач она не умеет каналы лечить, поэтому здесь у вас не 56 тыс будет а 65, лечение с микроскопом, а если не получится то зуб удаляем
ебало?
за мои деньги попытаются) попробуют полечить, ну нет так нет деньги давай. Уже готов в три раза переплатить лишь бы сделали, но одни пиздаболы
Аноним 26/07/25 Суб 21:46:29 1633435 19
>>1633424
Довольно урчу читая пост Мне каналы запломбировала в 2008 году молодая врач в районной поликлиннике по ОМС за 0 рублей за один раз на допотомном совковом оборудовании без всяких микроскопов и эндоскопов. Пломба стоит ДО СИХ ПОР.
Аноним 28/07/25 Пнд 09:13:52 1633596 20
>>1632648
будешь коронку ставить? че вообще говрят: сразу ставить или спустя какое-то время после лечения пульпита?
Аноним 28/07/25 Пнд 14:07:59 1633636 21
>>1633596
Буду, а что делать, с дыркой ходить страшно, потом все равно делать, будет еще хуже
>че вообще говрят: сразу
Да вот что говорят:>>1633424 я был ещё в трёх хороших клиниках. Сначала запись по телефону и лично ходил, говорю: я лечить хочу, не посмотреть, не поговорить, лечить сразу, ни через неделю
На приёме врач, ну короче у вас пизда, надо коронку ставить, в три приёма надеюсь получиться. Ее делать месяц будут
Ну что, вас через неделю записываем?

Блять просто начать лечить 3 третью неделю не могу. Ну хотя бы нашёл врача который не говорит, плати а потом посмотрим что будет.
Схема вообщем вскрывают, удаляют нервы, лекарство внутр и хожу с временной пломбой, потом точат временную коронку потом постоянную. На все про все 35-40 тыс подешевле, 45-65 подороже с выебонами
Аноним 29/07/25 Втр 00:02:56 1633672 22
Скоро буду ставить брекеты,по крайней мере готовлюсь,на консультациях не был. К чему готовится? Больно ставить брекеты? Не натирает? На сколько строго с пищей? Буду признателен за каждый описанный опыт с брекетами или краткому описанию о жизни с железом во рту
Аноним 29/07/25 Втр 09:59:45 1633720 23
>>1633636
видел инфу, что стоит около 6 мес. после чистки и пломбы перед коронкой подождать, т.к. могут недолеченные каналы воспалиться или киста появиться и зуб с коронкой сразу на удаление.
Ходил 2 года по врачам, говорю зуб без нерва болит, в ответ - у тебя все збс, выдумываешь. Сходил в платку к студенту, он обнаружил огромную кариозную полость между зубами, зуб без нерва уже с кистой, а соседний полностью пульпитный.
Аноним 05/08/25 Втр 18:15:32 1634836 24
2323.jpg 238Кб, 1412x2047
1412x2047
Аноны, добрый вечер.

Посоветуйте пасту зубную после пломбирования и чистки от камня передних зубов.

Спасибо.
Аноним 06/08/25 Срд 05:38:29 1634925 25
Ска, весь рот в гное, будто бы стоматит, сходил к зубным феям - сказали все збс с корнями зубов и ни одного намёка на кариес где-либо, хотя начиналось всё будто бы флюс и самый пиздец около одного зуба, прописали онли антибиотики, но самое очко , что болезненность ещё и в области мягких тканей подбородка, который и отдает в этот самый пиздец при надавливании - даже будто бы второй подбородок чуть-чуть присутствует, температура и общая слабость, есть риск флегмоны? пиздец за шо(
Аноним 06/08/25 Срд 10:08:53 1634947 26
Как профиль лица меняется после удаления восьмерок? В инете нашел только фотки до/после у женщин, и вроде как челюга уменьшается. У мужиков так же? После удаления не получится больше моггать челюхой омежек?
Аноним 07/08/25 Чтв 13:36:06 1635134 27
>>1634947
>Как профиль лица меняется после удаления восьмерок
Удаляли две, одну сверху другую снизу. Никаких изменений.
Но если у тебя они кривые и растут вбок например то конечно станет лучше

>>1633720
>6 мес. после чистки и пломбы перед коронкой подождат
Ну какие нахуй 6 месяцев? Анон я за 5 дней уже умираю нахуй, он его не долелал чтоли что я чувствую все и жевать им не могу. Буквально еду пью уже вторую неделю
Ну ебало моё представляешь, пока с одной стороны делают жуешь другой стороной, и тут ещё одна дырка на зубе. Ну не пиздец а? С обеих сторон по 1. Началась та же ипопея кто мне сделает сейчас а не через месяц. Сделали, 3 часа сидел, и успели временную пломбу поставить которая на следующий день вылетела

Вот по итогу, рот болит, зубы болят, минус 20 тыс, пью еду.
Аноним 07/08/25 Чтв 14:48:22 1635143 28
Удалял зубы мудрости, удаление сложное, резали десну, зашивали, сняли вчера швы.
После удаления первых двух прошло 4 недели. После удаления оставшихся - 2 недели. Дырочки, само собой еще не заполнились костью или чем там.
Когда мне можно будет ходить в тренажерный зал? Резких движений я там не делаю, но поднимаю тяжести.

>>1634947
Никак не поменяется. Удалил все 4 8ки чтоб брекеты поставить. Они же немного места занимают, чтоб щеки впали заметно.
Аноним 07/08/25 Чтв 17:49:51 1635159 29
пришел к стоматологу с одним зубом, ушел с двумя, увидела у меня древнюю пломбу 13летней давности и сразу же сказала, что там кариес. до этого делал чистку у другого врача, он сказал отличные зубы. эта пломба не беспокоит, зуб не болит и никогда не болел, эта сделала мне рентген и опять говорит кариес, так еще и глубокий. я в рентгенах не шарю, может она вообще пиздит мне? выставила мне счет за лечение охуительный, говорит приходите. что делать?
Аноним 07/08/25 Чтв 21:02:17 1635193 30
Привет, произошло чп бля, я ел миндаль и случайно острым концом вдавил его себе в десну, где он отломился и часть осталась, ковырял сам, но нихуя не достал только кровь пошла. Завтра утром пойду к стоматологу, а сейчас что можно сделать чтобы хуже не стало, не загноилось и тп?
Аноним 08/08/25 Птн 01:00:25 1635227 31
>>1635134
>>1635143
Спасибо, аноны.

Касательно удаления, мне сказали у меня легко удалить будет, у меня они в общем прорезались, и верхние и нижние. И брекеты я уже носил, в общем врач, что чистку мне делала, сказала, что меня спасают только ретейнеры. До этого у этого врача не делал, в любом случае пойду к еще одному чтобы услышать второе мнение.
Аноним 08/08/25 Птн 06:11:54 1635233 32
Сап аноны. Начала резаться восьмёрка нижняя. Пульсирующие боли, потом восполение капюшона. Ходил в двум стоматологам, первый сказал удалять зуб, второй сказал терпеть под лекарствами: хлоргексидин, нимисил, амоксиклав, метрогил дента — звучит как лютейщая хуета прямиком в могилу.
Учитывая цены на удаление восьмёрки звучит как будто пока терпеть без таблеток может обойдётся?
Ещё первый сказал, что у меня только 26 и 27 с кариозной полостью. А второй сказал, что только 16 и 17.
Оба ебланы?
Аноним 08/08/25 Птн 17:43:36 1635296 33
Какие же стоматолухи разводилы
Двач, ты видел хоть одного стоматолога без айфона?
Аноним 10/08/25 Вск 08:31:08 1635485 34
С пятницы поднывает область трех зубов 25-26-27.
Я думал что нитью распидорил десну, такое бывало, полоскал хлоргекседином и мазал гелем для десны.
Но не проходит, и волны поднываяния более часто стали.
Вообще как бы не острая боль, так, лайтово, но становится чаще.
Мне сегодня роняя кал идти к дежурному( который не разбираясь вхуярит пульпит?) или ловить номерок на след неделе?
Аноним 10/08/25 Вск 18:26:58 1635518 35
1000070960.jpg 313Кб, 1117x832
1117x832
1000070961.jpg 180Кб, 882x704
882x704
Зуб пятерка. Возможно такое вылечить, анонче? Отклолся как то, вообще не болит.
Аноним 11/08/25 Пнд 15:56:42 1635620 36
1754917002022.jpg 1515Кб, 3968x2976
3968x2976
Че будет завтра со мной?
Аноним 11/08/25 Пнд 16:43:32 1635630 37
Есть платина по зубной пасте? Чё купить.
>>1635143
Я через неделю уже тяжести тоскал.
>>1635159
>зуб не болит и никогда не болел,
А ну раз никогда не болел, точно наебывают. У меня так тоже два зуба не болело, а потом хуяк и их не стало в моменте. Не доверяешь врачу иди к другому, сча половина клиник делают первое посещение со снимком бесплатно.
Аноним 12/08/25 Втр 02:44:41 1635694 38
>>1635233
Восьмерки тебе никто лечить не будет. Или удаление или терпишь.
Аноним 12/08/25 Втр 05:54:12 1635698 39
Сап, медач. 28 лвл. Около восьми лет назад сделал депульпирование зуба (шестерка), надо было тогда ставить коронку, но я, естественно, забил, ибо был нищим студентом. Все было нормально до вчерашнего вечера, когда эта тварь взяла и скололась во время жевания. Ничего не болит (логично, он же депульпированный), но у меня что-то все равно играет очко, что придется теперь удалять и ставить имплант и всю еболу.
Короче, успокойте меня и скажите, что можно будет обойтись коронкой. Ну, или напугайте.
Аноним 13/08/25 Срд 18:01:37 1635836 40
image.png 2329Кб, 1284x2282
1284x2282
В каком возрасте нужно начинать исправлять зубы? Когда все молочные выпадут? В пуберат?
Аноним 14/08/25 Чтв 11:51:39 1635915 41
Вспоминаю детство, пол часа час и домой. В понедельник сделал наконец то, мне тёлки ширму для изоляции зуба, ставили 20 минут и потом она мне давила этой конструкцией на десну весь приём, в общей сложности 6 часов делали 1 зуб обычную пломбу на 7
Алсо, где стоматологи которым больше 30 лет? Везде вчерашние выпускники или максимум 30,33 года. Понятно сами стали держать кабинеты клиники но не все же
Аноним 14/08/25 Чтв 12:29:38 1635922 42
>>1631979 (OP)
Хелп. Все зубы мудрости на месте +- до конца вылезли. Но 1 на 2/3-3/4 под кожей. Есть щель между зубом и кожей. Я под кожу загоняю ерщик и чищу. Из-за этого потом там болит. Делал снимок, на нем нет кариеса. Удалять не хочу.
Есть ли операция, чтоб урезали кожу и высвободили зуб но не удаляли? Как называется?
Или что делать в моем случае?
Аноним 15/08/25 Птн 01:41:32 1636080 43
Блять сделали плобму как же зуб чешется ебаный в рот блядь. Невыносимо нахуй.
Аноним 15/08/25 Птн 14:59:40 1636160 44
68768.png 998Кб, 1178x618
1178x618
Что за процедуры были сделаны?
Аноним 15/08/25 Птн 19:42:15 1636217 45
>>1636160
Это разные люди, носы разные. Справа настоящие, просвечивающие зубы. Т.е. справа могло быть только до, а слева после. А вот причина - бруксизм или получение в табло - это вопрос открытый. Ну либо такие виниры люминиры научились делать лайк рил тиз.
Аноним 15/08/25 Птн 19:45:12 1636218 46
>>1635922
>Но 1 на 2/3-3/4 под кожей
Он вкривь растёт. Потом будут соседние выходить из десны из-за него и прикус по пизде. Выпрямлять не будут, удоляй.
>не хочу.
Ну доводи тогда, чтобы как от цинги были зубы.
Аноним 15/08/25 Птн 22:14:27 1636241 47
>>1636218
>Он вкривь растёт
Нет он идеально растет но десна-кожа не дает вылезли
Аноним 15/08/25 Птн 22:19:25 1636242 48
>>1636241
точнее мне 23 года уже. он уже вырос наверно. Он той частью которая торчит, т.е. не под кожей. касается верхнего зуба мудрости, который полностью вылез. Т.е. они участвуют в жевании
Аноним 16/08/25 Суб 02:07:50 1636274 49
>>1636217
Угол съёмки разный, движение ноздрей разное на вдохе/выдохе.
Если слева до, а справа после, я бы такую хуйню не фиксил, лол, такой-то запас по десне до старости хватит. А справа чуть гингивит ёбнет и уже рецессия пойдёт на хуй.
Аноним 17/08/25 Вск 09:53:37 1636433 50
Че если я наждачкой сточу пломбу? Я не могу две недели ждать блять пока я как даун мучаюсь с этим говном.
Аноним 17/08/25 Вск 16:56:52 1636489 51
IMG8765 Medium.jpeg 36Кб, 480x640
480x640
Что это у меня выпало? Коронка? Имплант развалился? Очевидно, буду записываться к стоматологу, однако, нужно ли что-то сделать до визита?
Аноним 18/08/25 Пнд 00:48:16 1636573 52
>>1632155
Сколько по времени удаляли нижний зуб мудрости?
Аноним 18/08/25 Пнд 01:08:09 1636575 53
Аноны, кто знает, что за высыпания с обеих сторон на слизистой рта вдоль зубов: как бы под слизистой белые пятна типа пузырьков, размером как просяные зерна, белесовато-желтые. Они у меня на слизистой лет с 15.

Спрашивал стоматолога с опытом много лет назад, сказала: ничего страшного.

До нее был на приеме у окончившей вуз с красным дипломом. Она стала спрашивать: "вы никакими заболеваниями крови мне болеете?" Отвечаю: "нет". Она медсестре: "на слизистой тоже высыпания". Стал спрашивать, что за болезнь, она: "не скажу, чтобы не обижать".

ВИЧ и гепа нет, проверялся.

Высыпания похожи на гранулы Фордайса. Причем по серединной линии изнутри рта сбоку щек. Не выдавливаются, просто как пузырьки под кожей.

Не курю, вещества не употребляю.
Аноним 18/08/25 Пнд 14:25:20 1636611 54
Кто-нибудь юзает китайские ультразвуковые чистильщики?
У меня камень стал пиздец быстро образовываться, в июле чистил, щас уже опять появился. Думаю, пока камень свежий эта хуйня должна справиться.
Аноним 18/08/25 Пнд 17:17:51 1636629 55
>>1636575
>Высыпания похожи на гранулы Фордайса
Лол ты загугли это она и есть, я так думаю. На члене на глазах ещё по моему бывает>>1636573
>Сколько по времени удаляли нижний зуб мудрости?
Мне, удалили за 6 секунд. Я натурально пришёл у меня дырка в зубе он вырос чуть в сторону, пока вкололи анестезии сижу сел в кресло рот открыл она раз раз и все говорит вставай
Потом конечно неделю ходил с синяком на пол ебала и как отпустило, болело жесть но без таблеток обошёлся
Аноним 18/08/25 Пнд 18:36:37 1636634 56
Добрый вечер. Короче мне сегодня в час дня удалили зуб, шестерку верхнюю, вроде как там киста была и тд и тп. пришел домой. Со рта до сих пор капает какато коричневая, вроде не кровь, но какаято хуета короче. Поставили шов. Это нормально? Еще врач прописал антибиотики и там на рецепте было еще написано полоскать ротик солью и содой но она зачеркнула. Сказала типа не надо. А ну и температура в 2 часа дня была 37.4 сейчас половина шестого вечера и 38.3. Доктор я умираю или все ня? Есть боюсь, еще слюна не чистая.
Аноним 18/08/25 Пнд 21:55:33 1636657 57
>>1636489
Коронка с культевой вкладкой. Копи деньги.
Аноним 18/08/25 Пнд 23:09:01 1636666 58
>>1636575
>сказала: ничего страшного.
Сама не знает.

> она: "не скажу, чтобы не обижать".
В РОФЛ НАХУЙ.

Это буквально двачер, который выёбывался зананиями, а его припёрли к стенке, ему нечего ответить и он такой - А Я МАМУ ЕБАЛ ТВОЮ.

Ходи ещё по врачам, пока не найдёшь того, кто сможет идентифицировать образование. Можешь начать с пародонтолога, сходи обязательно к хирургу-стоматологу, к челюстно-лицевому хирургу, они разделяются на несколько видов, есть те, кто именно по тканям, слизистым и т.п.

Скорее всего действительно ничего опасного нет, раз ты всю жизнь прожил, но любая безопасная хуйня может стать опасной, поэтому наблюдаться у врачей будет не лишним.
Аноним 18/08/25 Пнд 23:11:39 1636668 59
>>1636634
Ну полоскать такое себе, вымоешь сгусток кровяной, там и так от него хуй чего осталось небось.

Можешь просто подержать во рту какой-нибудь раствор чего-нибудь, фурацилин например и выплюнуть, подержать на той стороне, где нет раны, на здоровой стороне.
Аноним 19/08/25 Втр 14:49:00 1636741 60
>>1635922
ирригатор? ты десну себе можешь повредить, как итог клиновидный дефект и рецессия десны.
Аноним 19/08/25 Втр 15:53:42 1636754 61
В пятницу иду к стоматологу лечить пульпит. Стоматог бесплатный, но делают качественно. Так как бесплатно записываться на приём надо заранее. И я знаю что лечат в 2-3 приема. То через сколько дней после первого посещения идеально прийти. Обычно, вот если не знать, то записывают на недели полторы вперёд на само удаление нерва. Я не очень любитель долго бродить с времянкой, поэтому стараюсь подгадать всегда, а тут есть возможность спланировать заранее.
Аноним 19/08/25 Втр 19:11:29 1636772 62
>>1636668
крч продолжение рассказываю. с утра уже на шею немного воспаление пошло. температура была 37.4. крч решил сходить снова в стоматологию к той же няше, приняла меня, хотя на операции была (возможно это любовь...) сказала что крч абсцесс в щеке и надо рэзать))0)) выдала мне направление в областную больницу к челюстно-лицевому. потом когда я искал выход из здания, потерялся ага, чет мне так хуевенько стало думал в обморок упаду лол. но дальше. пришел в эту больницу сраную и там очкастая пизда сидит в приемной и алкаш какойто валяется без сознания. и говорит мне что хирург уже съебался. хотя работают они до 1600. времени было 1530. попросилш у нее дать мне справочку что она посылает меня на хуй, высрала что тогда нужно ждать врача, и прост съебалась кудато. и блять не отдала мне направление блядина. интересно это она так себя ведет потому что она жирная очкастая карлуша? крч надо было звонить в минздрав жаловаться. никогда не страдал таким но тут чет прям ряяяя. пошел обратно к стоматологу. хдд снова приняла меня (100%) прополоскала мне за щеку и выдала снова направление и сказала вечером въебать х2 антибиотиков и завтра утром бегом к тем пидарасам идти. крч мда. сиэжу снова температура 38.5 и полощу рот. ехх.
Аноним 19/08/25 Втр 22:02:48 1636805 63
>>1636741
>ирригатор?
Не вариант там узкая щель ерщик для брекетов сую туда. Что вытаскиваю-воняет.
Аноним 20/08/25 Срд 05:56:54 1636832 64
Почему-то крайне часто где-то в районе начала глотки или хуй знает где стали застревать комки пищи и начинать вонять. Сначала не понимал, откуда запах, пидорил все зубы щеткой и десна ниткой чуть ли не до крови, запах на нити не обнаружил, но в рту продолжало вонять. Первый раз полоскал горло и почувствовал, как проглотил какую-то хуйню и вонь прошла. Недавно опять произошло такое, но теперь комок сам попал на язык. Он был белый с чутком черных точек каких-то. Надо ещё сказать, что у меня бывают моменты, когда я не чищу зубы несколько дней подряд. Так вот, как остановить образование этой хуйни в горле и как потом сразу убирать, потому что я долго дрочусь с этим, пока комок случайным образом не отвалится сам. Бтв горло осматривал в зеркале, никаких образований и прочего не заметил.
Аноним 20/08/25 Срд 09:51:18 1636840 65
>>1636805
у тебя может быть межзубной кариес, если воняет.Похожая ситуация была, зубная нить тяжело проходила между зубами и на ней оставался запах. Оказалась огромная кариозная полость между зубами. Кариес может быть и под десной
Аноним 20/08/25 Срд 12:13:41 1636864 66
>>1636840
>и на ней оставался запах
Так а если остаётся, но ты его вычищаешь регулярно, то это же может быть просто всякая бяка, долго сидевшая там, а не прям кариес?
Аноним 20/08/25 Срд 15:06:57 1636970 67
image.png 56Кб, 281x180
281x180
>>1636864
а как бяка может долго там сидеть, если ты ежедневно очищаешь? Другое дело капюшон у зуба, куда еда забивается - оно там просто гниет, но это не кариес. Но гнилостный тухлый запах - обычно проблема с зубом (пульпит, кариес, болезнь десны). Как вариант еще камень может быть.
Еще вариант - киста, она тоже может давать боль между зубами, хотя может казаться, что порезал десну.
Тебе снимок КТ делали или обычный черно-белый? На КТ и кариес виден (но могут быть погрешности) и киста
Аноним 20/08/25 Срд 15:35:12 1636988 68
>>1636840
Нет кариеса. Я делал снимок. У меня под кожей только 1 восьмерка. Я вычищаю над ней пространство. Там налет постоянно накапливается. Ночью раз в сутки чищу ерщиком
Болит уже года 2-3 (ну и чистить начал только года 2-3 назад.
Т.е. если бы кариес был он бы за эти годы развился очень сильно
Аноним 20/08/25 Срд 15:36:41 1636990 69
>>1636970
Обычный рентген.
Но у меня не как пикрил.
У меня восьмерка. Последний зуб. Соседняя семерка в норме. Т.к. чищу под кожей над восьмым зубом сверху
Аноним 20/08/25 Срд 15:40:20 1636993 70
>>1636772
я понимаю что всем поебать но дальше, вдруг сия история про положенный хуй на флюс наставит когонибудь на путь, хотя уверен тут сидят только у мные котики :3 короче сходил в областную, ждал чела-херурга около часа. сразу же спросил буду ли я подписывать отказ от госпитализации на что я сказал да, ибо дома мамка с ревматоидным артритом, а ну еще работы у меня тож нет и деняк буквально косарь и долгов на 250к+ по картам. кредитка на 150, остаток креда на 18к и еще 2 не моих по 50. ну не суть. в общем без анестезии за 2 минуты он мне все сделал сунул дренаж и сказал пиздуй купи себе какиенибудь антибиотики. это цитата. и сказал что дальше там в поликлинику по меству жительства пиздуй пускай они с тобой дальше ебуца. голова несколько кружилась и я побрел сразу туда. там прождал еще 2 часа и вот этот хирург уже подавал признаки iq. поинтересовался че за хуйня со мной и чего началось осмотрел и тд и тп, спросил хуле я отказался от больнички. выдал пачку букажек там анализ на вич (но я не такой...) и еще чето там дал и сказал что пиздуй ты в областную пускай они там с тобой дальше ебуца. и короче сижу и думаю как жить дальше. может это того?)) прост я уже пробовал увеличить лимит по креде на 50к но мне сказали сосать. стоматологи-банкиры есть? крч завтра продолжу кулстори.
Аноним 20/08/25 Срд 22:41:20 1637047 71
Лингвальнные брекеты да или нет? Дикция сильно портится?

Можно ли брекеты без удаления 8ок?

Портят ли брекеты лицо? Типа щеки "съезжают" и тп
Аноним 21/08/25 Чтв 09:53:47 1637090 72
Аноним 21/08/25 Чтв 13:58:56 1637125 73
Аноним 21/08/25 Чтв 15:12:48 1637141 74
Мне ЛОР сказала что пока аденоиды не удалю ортодонт за мой открытый прикус по-хорошему браться не станет. Это правда? До ортодонта я пока не дошёл.
Аноним 21/08/25 Чтв 21:41:11 1637169 75
>>1637090
Город на букву К. Пишу из горящего танка... На самом деле уже из отделения челюстнолицевой хирургии блять так как ебало такое же круглое а воспаление ощущение по коже как будто бы уже до ключиц дошло. И вот когда я сюда попал я вспомнил как я всегда носил с собой раньше в сумке рулон туалетной бумаги. Но он мне ни разу не понадобился. И чёт когда я стал совсем сычем я на это забил. Но вот блять когда я попал блять в государственную больничку блять я понял как я был блять не прав. Точнее я всегда был прав. Если катана пригодится самураю лишь один раз в жизни он должен носить ее всю жизнь. Бумаги тут вытереть жопу нету. Воды поп ть вот я допустим в половину девятого вечера таки выполз из палаты перестав глотать кровь с гноем тоже хуй там был. Кружку свою. Хорошо в телефоне есть режим ультра экономии энергии и 35% хватит на двое суток почти. Ещё этот херург меня сегодня хотел прям по морде скальпелем своим пиздануть. Типа а чё изнутри давай снаружи тоже. Наверное он прочел мои мысли что я когда он отвернется порежу себе сонную артерию об его ножик и понял что нинада. А ещё у меня чувство что я буду как Такеши Китано на пол ебала. Хотя может это и просто из-за отека. Короче пойду начсу в баночку и спать. А ещё я сегодня ключи от квартиры проехал. Точнее оставил в кабинете флюорографии. Но няша из регистратуры их нашла и сказала что буде. Их сейвить пока меня не выпустят. Хоть чёт хорошее за день.
Аноним 21/08/25 Чтв 21:48:45 1637173 76
>>1637169
А ещё почему он херург. Он сука колет обезбол и он режет ебло как только откроет мешок со своими пыточными устройствами. Сука ну подожди ж ты хоть пару минут падла. В стоматологии областной через дорогу мне сделали 4 укола и потом ещё один когда поняли что слабовато. Хотя учитывая что тут нечем вытереть жопу не удивительно что они и на обезболе тоже экономят. Хотя возможно я чего-то не понимаю но я так блять вижу. Блять быстрее бы это говно кончилось и обратно за пекарню... Всм на 2 работы выплачивать долги.
Аноним 22/08/25 Птн 14:45:28 1637246 77
Зубы мудрости удалял кто, когда лучше утром, чтобы весь день ныло, а к вечеру более менее чтобы поспать или вечером, чтобы ночью пострадать, а утро как огурчик. И че по обезболу
Аноним 24/08/25 Вск 23:30:36 1637515 78
Откололась треть моляра (стенкв), сходил к трём стоматологам, все как попки сказали, что нужно ставить коронку. Какого чёрта? Почему нельзя просто залить светоотверждающей пломбой? Ещё почему-то говорят, что от пломбы будет нагрузка на корень и он отвалится, это вообще как понимать? Звучит как очевидная неправда.
Аноним 25/08/25 Пнд 00:59:21 1637521 79
>>1637515
Разрушение >50% коронки зуба - показаниек искусственной коронке.
Депульпированный зуб - показание коронке.
Недостаточная толщина оставшихся стенок - показание к коронке.
Чисто гипотетически можно и композитом залить, но такая пломба либо быстро выпадет, либо вызовет дальнейшее разрушение вплоть до перелома корня зуба.
Аноним 25/08/25 Пнд 03:52:38 1637530 80
Анончики, нужен совет. Лечил верхнюю 6ку, каналы, на сеансе врач предложила оставить лекарство и временную пломбу, т.к. в одном из каналов нерв болел и анестезия не помогала. Пока домой ехал, чувствовал в носу запах лекарства. Дома же заметил при наклоне, что потекло из носа, со стороы зуба, это же самое лекарство и потом в носоглотку. Позвонил врачу, та сказал, что пройдет, не надо беспокоиться.
Запах лекарства прошел, теперь нахуй просто жижа течет периодически, если голову наклонить, и если лежать на противоположнлй стороне, то течет в носоглотку жидкость какая-то. Плюсом во время приема я услышал что-то про дентальный материал, который не успеет застыть за прием.
Я таа понимаю, что мне въебали отверстие в пазуху и решили об этом ничего не говорить? Каков шанс, что это вообще пройдет, как сказал врач?))
Дипсик говорит, что это пизда и срочно бежать к хирургу, делать кт и лечиться, т.к. 100% перфорация и само не заживет
Аноним 25/08/25 Пнд 10:35:01 1637553 81
>>1637530
дипсик прав, доктор свой косяк скрывает. Лекарства вообще не должен чувствовать, оно четко в пределах корня и под пломбой должно быть. Иди к челюстно-лицевому анон, можно для начала к стоматологу-хирургу, желательно в другой клинике
Аноним 25/08/25 Пнд 10:35:07 1637554 82
>>1637521
>вызовет дальнейшее разрушение вплоть до перелома корня зуба
Каким образом? Почему бывшая стенка, которую теперь заменит пломба, не могла сломать корень зуба, а пломба теперь сможет?
Аноним 25/08/25 Пнд 11:29:09 1637559 83
>>1637553
Да, спасибо, уже записался, сегодня к стоматологу-хирургу пойду. Всю ночь жижа текла по носоглотке.
Такое консервативными методами можно решить или только хирургия?
Аноним 25/08/25 Пнд 12:38:45 1637574 84
>>1637559
и само зарасти может. Но вообще удивительно, там кость все-таки несколько см, как тебе так продробили..может это проблема ЛОРа уже
Аноним 25/08/25 Пнд 16:47:16 1637612 85
>>1637574
Там 6ки сразу к полости подходят. Сходил к хирургу, сказал, что все ок, есть несильное воспаление, вероятней всего из-за лекарства которым надышался, когда промывали. Типа в полости ничего инородного нет, возможно минимальное пробития, сказал продолжать лечение и сходить к лору, чтоб выписала лекарство и осмотрела полость
Аноним 25/08/25 Пнд 20:42:05 1637643 86
>>1637612
Поулчается, что пломба канала немного пробила стенку пазухи, и начался гайморит. Стоматолог и лор сказали, что зкб дальше ввлечить и жить. Дипсик же говорит, что его только удалять либо хирургически исправлять перфорацию, поскольку между пломбой и зубов так и будут проходить бактерии и воспалять пазуху. Хуй знает что делать с этим.
Аноним 25/08/25 Пнд 22:59:54 1637669 87
Кто-нибудь может подсказать как правильно выбрать портативный ирригатор? Стоит ли вообще за микропузырьковые переплачивать или обычного импульсного вполне достаточно?
Аноним 26/08/25 Втр 02:33:48 1637681 88
>>1637612
С него миром кто станет освобожусь этим что хочу я даже если из буду легко это но не так выбраться я или что мне не знать встретится знаю я я не.
Аноним 26/08/25 Втр 14:15:09 1637731 89
1756206908719.jpg 771Кб, 1351x1416
1351x1416
Пизда, нехуй было с флюсом и разсверленным зубом ходить. Я сука копил на перепломбировку. Теперь пол зуба ебнуло и хуй знает коронка на такое встанет
Аноним 26/08/25 Втр 14:20:06 1637733 90
1756207205962.jpg 1470Кб, 1817x2085
1817x2085
Вот бля
Аноним 26/08/25 Втр 14:24:52 1637734 91
1756207492298.jpg 249Кб, 655x652
655x652
И теперь вот
Аноним 29/08/25 Птн 03:55:37 1638091 92
Удалили зуб мудрости, не знаю чё за байки с этими зубами. Всё почти а одно касание
Аноним 29/08/25 Птн 07:04:24 1638098 93
>>1633672
Ставить не больно. После установки и каждой активации пару дней будет больно, потом легче. Натирать щеку может.

Еще в какой-то момент тебе разные резиночки давать начнут, их надо будет каждый день менять самостоятельно, крепить к брекетам. Поначалу заебно, потом привыкнешь.

Волокнистую пищу жрать не надо, заебешься вычищать. Ну и вообще лучше после каждого приема пищи зубы привыкать чистить.

Чистить будешь долго поначалу, каждый раз проходить каждый промежуток суперфлоссом или ершиком.

В общем, брекеты это долго, дорого и заебно. Но если тебе без них никак, то делай, че. Ничего прям пыточного в них нет.
Аноним 29/08/25 Птн 21:04:04 1638179 94
20241230195045.jpg 267Кб, 1600x720
1600x720
>>1638091
А мне 3 часа удаляли, 1.5 из которых обезбол действовал хуево и я каждый раз взвизгивал когда мне его пытались выкрутить.
Аноним 30/08/25 Суб 03:42:04 1638238 95
>>1638179
Может причина в том, что у меня он уже был нормальный совсем, даже на нем пломба была, т.е я его лечил когда-то, но случился небольшой скол и врач сказал, что ебаться будет нереально, лучше удалить. А так вот второй день, не болит нихуя, лунку пока не щупаю, но ем и прочее
Аноним 30/08/25 Суб 19:02:47 1638302 96
ce36a8ade41a3ae[...].jpg 73Кб, 504x419
504x419
сложно ли востонавливать скол на переднем зубе, и на сколько он будет после такого функционален? увеличится ли нагрузка при сколе на соседний? а то там коронка может ли она от этого отвалиьтся?
Аноним 04/09/25 Чтв 13:15:46 1638921 97
Аноним 04/09/25 Чтв 18:31:26 1638940 98
>>1635836
Смотря что. Если какие-то проблемы с челюстями, то надо фиксить лет до 14, когда можно пофиксить без хирургии. Аномалии прикуса можно предупредить в раннем детстве, например, отучив ребенка сосать палец. Если какие-то молочные проебались не вовремя, то ща вроде врачи как-то могут это исправить. Брекеты обычно любят на загнивающем ставить в подростковом возрасте, когда зубы уже полностью сменились, чтобы к первому курсу уже с ровными зубами ходить.
Аноним 05/09/25 Птн 16:26:20 1639051 99
Сапдвач, вы тут живые? Есть кто по специалистам кто или по пострадавшим совсем?
Интересует тема имплантации, что ставили, как долго восстанавливались, что у вас с функцией ПОЖРАТ, что вам предлагали ставить, на что согласились.

Сделали мне цистэктомию с удалением зуба переднего (резца), консервативное лечение не помогло, попутно разъебали всю кость-десну и теперь огромный провал-долина на месте где зуб был. По КТ уже было видно огромную площадь кисты и сразу сказали что костную пластику надо делать, хотели сразу после удаления но хирург разрезав сказала что киста рыхлая и хуевая и не будет делать пластику т.к. высок риск отторжения материала.
Пока что зашила меня и отправила отдыхать, через неделю осмотр, примерно через месяц сказала можно подумать будет над пластикой.
Алсо подскажите мне, нужно ли мне с имплантологом сразу до костной пластики знакомится-работать показаться или пластикой задача челюстно-лицевого хирурга заниматься, а к импантологу уже после месяца через 6 после пластики?
Аноним 05/09/25 Птн 23:46:20 1639107 100
можно ли как то продлить жизнь депульпированного зуба? какой нибудь хуитой помазать для реминерализации
Аноним 06/09/25 Суб 15:23:51 1639153 101
>>1639107
Коронку поставить, если тканей мало. А так он и тебя может пережить, если жевать аккуратно.
Аноним 07/09/25 Вск 03:11:51 1639229 102
Мне выкатили ценник на одномоментную замену отколотого жевательного зуба на имплант без коронки 57к, через 4 месяца еще поставят на него коронку за 35к. Не подскажите нормально все по ценам, плюс минус везде так?
Аноним 07/09/25 Вск 09:35:27 1639238 103
>>1639229
Хз. У нас висит реклама что все под ключ за 15 тыс делают. Незнаю почему коронка такая дорогая если на обычный зуб ее сделать и надеть стоит в районе 20к даже дешевле
Тупо сходи в две три клиники разные и поймёшь. Они хитрят делая что-то бесплатно) нагревая тебя на дальнейшем этапе или одно дешевле другое дороже
Аноним 07/09/25 Вск 12:29:40 1639246 104
На неделе лечил 8 (обычный кариес), 7 (глубокий кариес) верхние левые. Сразу как отошел обезбол - дичайше заболела голова + очень тянуло мышцу в левой стороне шеи.
Показывался после этого врачу, сошлись на том что плохая реакция на сам обезбол.
Несмотря на то что головная боль процентов на 90 прошла, шею так и тянет, периодически такая монотонная мышечная боль. Еще слева технически как будто осталась частичка онемения, ну знаете когда наркоз отходит и начинает пощипывать кожу, вот такое ощущение, буквально 1 процент.
У кого-нибудь было похожее? Жутко боюсь отхватить инфекцию. Сами новые пломбы не беспокоят.
Аноним 07/09/25 Вск 13:10:52 1639252 105
>>1639229
А че за имплант? Так ценник +- похожий на нормальный, штрауманны всякие у меня в миллионике за ~120к предлагают вставить, что попроще 70-80 по акциям.
Аноним 07/09/25 Вск 14:00:58 1639257 106
>>1639252
Корейский какой то, сказали самый дешевый, есть еще израильские ещё дороже
Аноним 08/09/25 Пнд 16:37:47 1639365 107
>>1639246
Понаблюдай, если будет тренд на уход боли со временем значит реакция похоже, там нервы всякие рядом. Если нет - опять к врачу. Там с глубоким кариесом я не спец, но надо потом понаблюдать до конца ли, вдруг там в пульпит уйдет.
>>1639257
Фига, а ты прям так не думая соглашался? Интересно конечно какой именно узнать, про израильские плохого много читал.
>>1639107
Да +- стандартно: чисти зубки хорошо пастой с фотором (мне моя стоматологиня 1450ppm +- говорит использовать), пользуйся зубной нитью\ирригатором, твердое тип сухарей-орехов в скорлупе не грызи, сахара желательно поменьше. Приходи на осмотры регулярные раз в полгода-год, там посоветоваться можно но в идеале раз в год КТ всей пасти делать чтобы увидеть всякие нехорошие вещи под пломбами и если пойду кисты в корне. И не отказываться от проф чистки если дантист считает что нужно сделать.
Аноним 09/09/25 Втр 01:32:47 1639435 108
>>1639246
Зачем ты 8 лечишь-то? На хуй с пляжа его и всё
Аноним 09/09/25 Втр 08:00:18 1639449 109
image 63Кб, 554x750
554x750
>>1631979 (OP)
Десны, на месте где зубы в них входят такая вот хуйня, отметил рядом если не понятно. Это начало парадонтита или чего-то такого? Камень года 3 не ходил чистить, каюсь. Есть связь с камнем?
Аноним 09/09/25 Втр 12:47:10 1639465 110
Короч пролечил зуб гдет месяц назад, но он болит при накусывании.
Где-то через неделю после пролечивания ходил снова туда, мне типа врач сказал "ну кариес был глубокий нерв успокоится, попей нимесил" и отправил, зуб все еще болит, иногда чешется. Есть варик что он пройдёт или всетаки идти(явно к другом врачу) чтоб уже удалили нерв нахуй?
Аноним 09/09/25 Втр 18:42:57 1639484 111
Сап стоматологач!
3 дня назад почувствовал небольшую слабость и потом слева с внутренней стороны челюсти небольшое побаливание. Зубы на вид целы, кроме того что удалили в 15 лет назад, десна вроде не опухла. Знаю что такое свищ через который гной выходит боль немного хуже. 3тий день ноет челюсть с этой стороны и немного отдаёт в зуб. Не могу понять, это зуб надо лечить или нет? Мне к терапевту или сразу к стоматологу?

в 2022м была такая же хрень справой стороны в начале года с нихуя, по рентгену ничего не увидели. Подумали что зуб мудрости, его удалили. Прошло пол года и опять такая же хрень справа. Удалили у соседнего зуба нерв и запломбировали и справа не беспокоило больше. А сейчас тоже самое но с другой стороны? Что за хуйня при целых зубах? Неужели так легко воспаление поймать в челюсть?
Аноним 09/09/25 Втр 19:42:55 1639486 112
ce36a8ade41a3ae[...].jpg 73Кб, 504x419
504x419
сложно ли востонавливать скол на переднем зубе, и на сколько он будет после такого функционален? увеличится ли нагрузка при сколе на соседний? а то там коронка может ли она от этого отвалиьтся?
Аноним 09/09/25 Втр 20:15:35 1639487 113
откололась небольшая часть у премоляра (буквально 1/8 зуба), но дырка внутрь есть. Нихуя не болит, не кровоточит. Видимо, депульпированный уже зуб.
Планирую ебнуть к стоматологу (sic!). Что мне могут предложить? Как-нибудь замазать пломбой эту хуйню можно? Имплант ставить, естественно. не буду из-за такой хуйни.
Аноним 11/09/25 Чтв 20:06:20 1639590 114
>>1639484
Сегодня добрался к врачу, но в другой клинике. Сказали тоже самое что и 3 года назад. 8ку удалять, может спадёт воспаление. А если не спадёт, то бурить 7ку. Но перед всем этим чистить зубы аэрфлоу. Почистили, был ад, весь рот в крови, голова разболелась. Завтра удалять.
Аноним 11/09/25 Чтв 21:08:21 1639599 115
>>1639449
Такая же хуйня была, пока на проф.чистку не сходил, лул.
Аноним 11/09/25 Чтв 21:15:31 1639601 116
>>1631979 (OP)
Есть все же какой-то одобренный Двачом гайд, что можно жрать с брекетами, а что нельзя?
Поставили только сегодня на верхнюю челюсть для начала, пока сижу на йогуртах, но ясен хуй, дело так далеко не пойдет, а в интернетах одни пишут, что лучше запитываться от аккумулятора, а другие, что основа здорового завтрака для брекетоносца это куски бетона со стальной стружкой. Сама врач сказала, что липкого-твердого нельзя, И ХЛЕБ ХЛЕБ БЛЯТЬ НЕ ЕШЬ, НЕ ЕШЬ СУКА ХЛЕБ
Аноним 11/09/25 Чтв 22:59:56 1639614 117
>>1632648
А какие симптомы пульпита?
Аноним 11/09/25 Чтв 23:55:50 1639622 118
Аноним 12/09/25 Птн 05:12:51 1639626 119
>>1639599
Ты про камень у основания зубов или темно-розовую обводку, скажем, на десне как у меня где десна в зубы переходят?
Аноним 12/09/25 Птн 05:17:06 1639627 120
>>1639601
>сказала, что липкого-твердого нельзя
Ну так а что ты хотел услышать? Что можно орехи колоть зубами и резиновые стейки жевать? Проще некуда, готовые блюда почти все как для беззубых делаются, всякие пюре с каклетами там, рис с мясом. ЯЙЦА в любом виде охуенно полезно и питательно, хоть пей, хоть жарь, хоть вари. Молочные продукты любые, кроме бетонных выдержанных сыров понятное дело. Ну че ты как маленький?

>И ХЛЕБ ХЛЕБ БЛЯТЬ НЕ ЕШЬ, НЕ ЕШЬ СУКА ХЛЕБ
Нахуй его вообще есть? Ты что, гой?
Аноним 12/09/25 Птн 10:04:43 1639633 121
Какую коронку выбрать на имплант?
Ладно когда на свой вылеченый зуб ставишь безметалловую, чтобы меньше обтачивать зуб под неё, но на имплант разве не все равно какую ставить она же цельнаю будет.
Аноним 12/09/25 Птн 10:24:38 1639634 122
Аноним 12/09/25 Птн 12:05:33 1639639 123
Какой имплант выбрать на большой жевательный буз на верхней целюсти, megagen anyone или osstem ?
Аноним 16/09/25 Втр 15:39:17 1640026 124
>>1639633
Единственный повод ставить металлокерамику - у тебя нет денег вот вообще, ну или ты оказался где-то в пгт на 300 душ, где альтернативы нет. Но в деньгах там на общем фоне разница будет тыщ 10 от силы.
Аноним 16/09/25 Втр 19:57:41 1640049 125
17019579436380.jpg 178Кб, 512x355
512x355
Аноним 16/09/25 Втр 20:17:30 1640050 126
>>1631979 (OP)
Хочу делать себе виниры. С детства нижний прикус, в остальном зубы ровные.
Нужно ли будет таскать берекеты или капу? Сколько это обычно занимает?
Чего сейчас по цене и материалам?
Аноним 16/09/25 Втр 20:48:49 1640055 127
>>1640050
Нахуя? Они тебе все зубы ради виниров спилят.
Аноним 16/09/25 Втр 20:51:28 1640057 128
>>1640055
Хочу красивую улыбку и более светлый оттенок зубов.
Кто-то машину хочет, кто-то кампутер. Я хочу зубы белоснежные, как с картинки.
Аноним 17/09/25 Срд 11:48:34 1640127 129
17078682746210.jpg 450Кб, 2048x1529
2048x1529
>>1640050
Сходил врачу на давление лет диспансеризацию смерили смерил степени по так провалялся диване почему к на двачике повтыкал домой на гипертония анамезу давление пришел утром.
Аноним 17/09/25 Срд 11:51:20 1640129 130
>>1640050
Приемлемыми ухмылялся мей что это ты наёмника на не я окинул желаю славу сочтёшь если даже пальцем членов касаться его однако кровопролитию взглядом гнев хиро и то вызвать меня и эльму глядя полагаю также богатство и обернулся одолеет мими к пожелает наёмника такие император и ктото получит запрещено приведёт экипажа условия император.
Аноним 17/09/25 Срд 13:42:56 1640139 131
А какие риски есть у удаления зубов мудрости на верхней челюсти? Они же часто корнями в пазухи уходят, в итоге после удаления будет дыра, прикрытая десной, это нормально?
Аноним 17/09/25 Срд 14:54:57 1640154 132
Скажите плз что такое профессиональная чистка зубов? Я пришел проверить зубы, у меня всё ок, но сказали сделать чистку зубов. Ну я думаю ладно, зубной камень там почистят, тысячи полторы-две возьмут или около того

В итоге выписали чек на 5500. 5500. При том что ничего не лечили

Я не пойму это какой-то новый разводняк или что? Поговорил с родственниками, им всем тоже впаривают эту чистку, и тоже за немалые деньги. Я всегда лечил зубы в платных клиниках и не помню чтобы условно лет 10 назад можно было прийти и с норм зубами получить немалый ценник
Аноним 17/09/25 Срд 19:41:55 1640183 133
1747655987933533.mp4 3438Кб, 1080x1198, 00:00:03
1080x1198
Аноны, это повод к стоматологу сходить, только пару месяцев назад ходил на чистку и пломбы делать, а щас какая-то какашка на зубе? Щеткой чистил не убрать
Аноним 17/09/25 Срд 20:28:35 1640188 134
>>1640183
Похоже на начинающийся кариес, через полгода сходи, когда будет дырка.
Аноним 17/09/25 Срд 20:58:26 1640192 135
>>1640188
То есть, щас уже сходить на осмотр, да? Сори я тупой хлебушек
Аноним 18/09/25 Чтв 00:28:16 1640224 136
>>1640192
Ну ты можешь сходить на осмотр, но скорее всего никто не будет зуб сверлить, если на нем только пятнышко. Будут ждать пока появится дырка.
Аноним 18/09/25 Чтв 01:12:59 1640228 137
>>1639614
Ну у чувака скол на зубе и трещина до пульпы дошла, а дальше хуй пизда Джигурда. По сути пульпит Чувствуешь, это когда у тебя нерв воспаляется и сука начинает ныть. Особенно в лежачем положении пиздец. Но на ранних стадиях порой и нихуя нету.
Аноним 18/09/25 Чтв 01:47:39 1640233 138
>>1640224
А, я думал рофл, ну схожу, мало ли там глубже пошел камень
Аноним 18/09/25 Чтв 08:11:56 1640276 139
>>1640224
>скорее всего никто не будет зуб сверлить, если на нем только пятнышко. Будут ждать пока появится дырка.
Логику объясните плс. Типа мелкая пломба держаться не будет, да и неудобно мелку ставить тип?
Аноним 18/09/25 Чтв 17:49:49 1640359 140
Аноним 19/09/25 Птн 02:18:16 1640410 141
Кто-нибудь пьёт горячий кофе в элайнерах (Star Smile, если имеет значение)? Страшно, что поплавятся.
Аноним 19/09/25 Птн 09:56:38 1640432 142
>>1640410
Так сложно не пить горячий кофе? Зачем рисковать портить дорогущие элайнеры ради такого тривиального гойского удовольствия как кофи?
Аноним 19/09/25 Птн 14:48:39 1640459 143
>>1640432
Сложно, конечно, всё остальное я и так пью в элайнерах.
Аноним 19/09/25 Птн 19:03:08 1640521 144
9999.jpg 187Кб, 587x569
587x569
>>1631979 (OP)
сап двач
удалил зубы мудрости в 16 году, а в 17-18 носил брэкеты
жевательные зубы встали в шахматном порядке типо как надо, а вот середина верхней и нижней челюсти не совпадают, ортодонт сказал что все типо ок, сейчас меня начали терзать смутные сомнения - скажите это действительно ок или мне надо бежать к другому и заново выравнивать челюсти по нормальному?
Аноним 19/09/25 Птн 22:34:38 1640572 145
>>1640154
прост цены выросли в последнее время на все(у нас 3,5к), а так нужная штука
Аноним 20/09/25 Суб 01:48:37 1640597 146
IMG202509200045[...].jpg 4062Кб, 3468x4624
3468x4624
Всем сап, растёт эта хреновина вбок из десны к щеке, только удалять?
Насколько плохо, что не озаботился этим раньше? Стало больно глотать и плевать, отдаёт болью в десну, будто потянул её
Аноним 20/09/25 Суб 03:34:20 1640612 147
что делать с пришеичными областяыми где чуток слезла десна и повысилась чувствительность?
Аноним 20/09/25 Суб 09:35:23 1640657 148
>>1640612
к пародонтологу пиздовать, наверника еще и кровоточит?
Аноним 20/09/25 Суб 13:42:07 1640703 149
>>1640657
не, уже давно так, иногда болит в этом месте иногда нет
Аноним 20/09/25 Суб 13:42:34 1640704 150
images.png 14Кб, 241x209
241x209
36-Дисиликат,16[...].jpg 70Кб, 960x720
960x720
Прошу, накидайте топ-10 клиник/конкретных стоматологов в России/Белоруссии по ЭНДОДОНТИИ и сложным сохранениям зубов.

1. СПАСИБО.КЛИНИК - подсказал анон в одном из прошлых тредов, спасибо ему еще.

Накидайте еще подобных, кто дрочит на зубосохранение, имплант вкорячить всегда успею.
Хочу проконсультироваться у 2-3 топовых эндодонтистов.

Желательно в Спб, но впринципе я рантье и удаленщик, могу себе позволить хоть на месяц заняться медтуризмом.
Аноним 20/09/25 Суб 21:16:13 1640801 151
image.png 92Кб, 232x217
232x217
Как принимается решение как устанавливать брекеты - на внешнюю сторону зубов или на внутреннюю? Можно ли чисто из эстетических соображений попросить ортодонта "хочу внутри чтоб не так видно было"? Или зависит от вида дефекта?
Аноним 21/09/25 Вск 01:06:06 1640846 152
Аноним 21/09/25 Вск 01:53:34 1640853 153
болить половина челюсти от попивания чайка, при этом тыкая пальцем или от напора иригатора не могу найти очага, что это может быть?
Аноним 21/09/25 Вск 20:11:27 1641154 154
>>1631979 (OP)
4 дня назад мне сделали проводниковую анастезию (вроде это когда прямо у нерва колят). Получилось так, что одного укола не хватило и мне добавили еще, потом у меня 40 минут правый глаз не закрывался. Сейчас проблема в том, что у меня до сих пор чувствуется легкое онемение части языка. Что делать?
Аноним 21/09/25 Вск 20:22:32 1641157 155
Аноним 21/09/25 Вск 22:23:11 1641202 156
Аноним 22/09/25 Пнд 03:21:12 1641244 157
Аноним 22/09/25 Пнд 09:21:55 1641264 158
>>1641202
который тебе укол делал, ну или к терапевту, а дальше он определит куда дальше идти
Аноним 23/09/25 Втр 00:34:07 1641369 159
>>1641244
а где они продаются?
Аноним 23/09/25 Втр 03:25:46 1641378 160
>>1640801
Внутренние в 2-3 раза дороже, вот и думай как принимать решение.
Аноним 23/09/25 Втр 16:50:01 1641450 161
IMG202509231641[...].jpg 618Кб, 2872x992
2872x992
тут есть какое воспаление или что то что может вызвать боль?
Аноним 23/09/25 Втр 17:14:27 1641453 162
сап, двантисты.
знаю, хуйня полная но все таки хочу услышать мнение. я молодой, зубы чищу два раза в день, но все равно имею на задних зубах кариес. начал чистить задние тщательнее, вроде пока не растет.
в каком моменте мне идти этот кариес лечить? каждый раз как в рот не посмотрю, то меня пугают эти маленькие черные точки.
Аноним 23/09/25 Втр 18:41:24 1641474 163
Медач, помогай, поставил много пломб в сжатые сроки, в моларах на разных сторонах, и теперь не могу найти свой прикус. Точнее теоретически я его могу найти, но мне как будто требуется усилие чтобы его удержать.
Проблема в том что нижняя челюсть теперь постоянно норовит въехать в передние зубы. И даже при разговоре начал часто клацать передними зубами.
С доктором все пломбы прошли по 10 раз, что то подполировали но все без толку, что то не знаю как мне быть дальше.
До лечения все было ан 100% ок, а теперь еще и в скулах как то ноют мышцы.
Аноним 23/09/25 Втр 21:11:53 1641500 164
>>1641453
>каком
Если у тебя черное уже, значит кариес есть, чисти не чисти - процесс пошел.
Многим похуй вообще и можешь не лечить и хуй забить.
Но если хочешь лечить - то идти тогда как увидел так и иди.
Аноним 23/09/25 Втр 21:13:18 1641501 165
>>1641474
Обращайся к своему врачу-долбаебу. Подавай на него в суд за домогательство.
Естественно не будет у тебя уже старого прикуса, потому что тебе сделали новый.
Аноним 24/09/25 Срд 02:10:30 1641577 166
>>1641450
бумп, специалистов нет?
Аноним 24/09/25 Срд 10:35:40 1641605 167
>>1641474
к ортодонту пиздуй, возможно придется брекеты носить
Аноним 24/09/25 Срд 13:08:40 1641626 168
blitzz.png 549Кб, 827x462
827x462
сап медач

Порекомендуйте какой-нибудь видеоролик, статью, книгу где подробно объясняют что и как использовать для ухода за ротовой полостью.
Можно также на английском и не одну работу, а множество.
Аноним 25/09/25 Чтв 12:21:28 1641746 169
Screenshot20250[...].jpg 244Кб, 720x1600
720x1600
175879209708150[...].jpg 1246Кб, 2640x1980
2640x1980
Двач скажи, мне гг или ещё можно что-то спасти?

Зубы вроде не болят, но в стоматологии сказали везде кариес, половину зубов пломбировать...
Ещё и чистку сказали сделать, за 8к...
Крч посоветуйте что-то, не сделают ли хуже в гос.стоматологии...
Аноним 25/09/25 Чтв 13:25:03 1641753 170
image.png 1270Кб, 1082x764
1082x764
>>1641746
хуже чем ты сделал наверно уже не будет, хз в каком там состоянии зубы, но на вскидку тебе надо удалять 2 нижних восьмерки(при том тебе скорее всего будут долбить десну чтоб горизонтальные удалить) и одну верхнюю, оставшуюся брекетами двигать если удалить огрызок, но если не готов прям щас в брекеты идти огрызки не удаляй т.к. они могут послужить основной для импланта, кроме восьмерок просто так ничего удалять не надо, очевидно это огромные бабки по нынешним временам и много усилий, если хочешь прям восстановить рот это надолго и надорого и я сомневаюсь что ты что то из этого потянешь, для человека который себя так запустил я вобще удивлен что тебя такое волнует или тебя сбил камаз и ты очнулся в теле этого бича маргинального? там наверно еще и десны воспалены(так что после чистки и заделывания кариеса к парадантологу пиздуй), действительно сперва чистка(8к это в каком городе? в нск 3,5 в гос стоматологии) и лечение кариеса, а потом..ну я бы задумался в сторону путешествия в другую страну для лечения типо дешевле, слышал краем уха про такое но подробностей не знаю, ну а так скорее всего это протезирование и видимо оно будет упираться в твои бюджеты чем дороже тем больше своих зубов или то что от них осталось сохранишь, ну а так это риально пиздец, даже у бамжей с зубами лучше
Аноним 26/09/25 Птн 06:49:20 1641853 171
Какая электрическая щётка норм, а то чуть ли не каждую рекомендуют ведущие стоматологи мира, а по сути Китай ебаный на пару месяцев.
Аноним 26/09/25 Птн 07:21:48 1641854 172
>>1641853
Я орал б/ китайскую реплику взял в мае, вроде работает, раз в одну-две недели заряжаю
Аноним 26/09/25 Птн 09:18:25 1641869 173
>>1641854
У меня орал б упала один раз и сдохла. Пришлось выкинуть.
Аноним 26/09/25 Птн 13:01:37 1641905 174
>>1641853
бери с датчиком давления, десна в 30+ скажут спасибо
Аноним 27/09/25 Суб 10:21:18 1642066 175
>>1631979 (OP)
Есть пломба между двумя самыми передними верхними зубами
Врач в турции сказал что нужно сделать диастему, потому что из за пломбы уходящей в десну будет портится десна и со временем уйдет
Но типа маленький и только около десну, и большая часть заживет тк мне 22
Сказал в любом случае если делать правильно с тз медицины он должен быть на пломбе
Я понятно не хочу зазор, пломбе уже 2 года и пока все ок

Он прав или ерунду несет?
Аноним 27/09/25 Суб 14:54:34 1642103 176
Перепад температур вреден или нет для зубов? К примеру горячее второе вприкуску с холодным овощным салатиком
Аноним 27/09/25 Суб 19:50:50 1642138 177
GvY5DYuXsAEEpGa.jpg 74Кб, 720x900
720x900
Есть коронка. Стояла нормально. Тут чет стало между зубов забиваться. Ну я как-то пару дней не обращал внимание. Сегодня ниткой прошелся, а у меня уже шишка на десне, под коронкой. Как будто под десну что-то забилось. Все воспалилось. И уже болит. Что делать? Хочется как-то дома решить эти дела.
Аноним 27/09/25 Суб 20:18:36 1642144 178
>>1642138
ротоканом конечно прополоскай, если уверен что это только снаружи
Аноним 28/09/25 Вск 09:51:17 1642192 179
>>1642138
Сходи к врачу лучше,дешевле будет
Аноним 28/09/25 Вск 11:10:48 1642198 180
>>1642192
А какие последствия? Что загноится и надо будет весь зуб удалять?
Аноним 28/09/25 Вск 13:13:17 1642213 181
>>1642198
Всяко может быть, влетишь в копеечку. Ну подожди день два, если не пройдёт то очевидно надо сходить
Аноним 28/09/25 Вск 21:36:02 1642240 182
Как выбрать клинику для установки брекетов в СПб? И чтобы вышло не очень дорого.
Аноним 02/10/25 Чтв 06:30:46 1642519 183
Недавно удаляли нервы и пломбу ставили, неделю ходил с временной, был привкус неприятный иногда, думал из-за неё. Щас стоит постоянная, привкус периодически появляется тот же самый, то ли резины то ли лекарства.
Аноним 02/10/25 Чтв 09:34:23 1642527 184
>>1631979 (OP)
Вопрос об анестезии:
Перелечивал недавно семёрку, был глубокий кариес, сделали в общей сумме 3 укола, но до конца обезболить не получилось и пришлось терпеть. Причем на этом зубе в первый раз когда лечили тоже были больно. По каким причинам анестезия могла не сработать? Не попали уколом куда надо? Я теперь очень боюсь вдруг на этом зубе пульпит разовьётся, уже думаю под общей анестезией делать, чтобы "во сне".
И вопрос к тем кто лечил пульпит, сколько раз лечили и каждый ли раз было больно?
Аноним 02/10/25 Чтв 12:32:33 1642540 185
>>1642527
Пульпит с анастезией никак не пересекается. Не подействовать могло по многим причинам, но скорее всего skill issue, особенно если врач молодой, за них в госухе уколы ставят хирурги.
А вот пульпит после временной девитализирующей пломбы вообще лечится без анестезии, нерв мертв - болеть нечему.
Аноним 02/10/25 Чтв 12:36:31 1642541 186
>>1642540
> Пульпит с анастезией никак не пересекается. Не подействовать могло по многим причинам, но скорее всего skill issue, особенно если врач молодой, за них в госухе уколы ставят хирурги.
> А вот пульпит после временной девитализирующей пломбы вообще лечится без анестезии, нерв мертв - болеть нечему.
У моей знакомой 6 зубов с пульпитом было вылечено, каждый раз болезненно. И да, в 4-5 этапов делали, с "лекарством" и временной пломбой. И я вот не понимаю почему так.
Аноним 02/10/25 Чтв 12:42:07 1642542 187
>>1642541
У меня 4, опять же ощущения относительны, потому что собственно сам пульпит болит так что хочется вырвать этот зуб нахуй самому.
После этого пломбировка уже в любом случае ощущается как облегчение (особенно если заболело на выходных или в отпуске, ммм).
Аноним 03/10/25 Птн 18:37:57 1642818 188
>>1637734
Это в бесплатной пломбы ставили?
Аноним 03/10/25 Птн 19:28:14 1642821 189
>>1641746
Помимо очевидного пиздеца, хотелось бы отметить просто эталонно всратые 8ки.
Кажется хуже вырости просто невозможно.
Аноним 03/10/25 Птн 22:50:49 1642834 190
3gz-2tzWEXEzxfg.jpg 52Кб, 640x480
640x480
Анон, а у тебя есть пломбы на передних зубах?
Расскажи как оно ощущается в процессе и потом в жизни?
После профгигиены обнаружилась точка на переднем зубе сзади, охренеть, сам никогда бы не заметил, а ведь это буквально два зуба которые я нормально чищу, лол. Так что молодым советую не забивать болт.
Аноним 04/10/25 Суб 22:32:35 1642993 191
>>1642834
у меня 4 передних зуба в пломбах. 3 из них без нерва. ниче не чувствую необычного. просто теперь боюсь их сломать и не нагружаю. яблоки с ножом ем и тд. ты умрешь и тд
Аноним 05/10/25 Вск 16:34:19 1643146 192
Что делать, если кость под имплантом уходит?
Аноним 05/10/25 Вск 18:34:16 1643176 193
1759678455236.jpg 1558Кб, 2536x3256
2536x3256
1759678455268.jpg 1853Кб, 2252x3434
2252x3434
1759678455308.jpg 217Кб, 1056x1126
1056x1126
1000076562.jpg 534Кб, 1920x1440
1920x1440
1759678455314.jpg 479Кб, 1920x1440
1920x1440
1759678455331.jpg 508Кб, 1920x1440
1920x1440
1759678455339.jpg 562Кб, 1920x1440
1920x1440
Насколько все плохо? Сколько готовить?

Живу в Москве, боюсь. Так что придется искать тех, кто с наркозом работает.
Аноним 06/10/25 Пнд 17:32:41 1643249 194
>>1643176
Тысяч по 5-7 за зуб, а там хз, смотря сколько зубов делать.
Аноним 06/10/25 Пнд 18:27:45 1643253 195
Если я реминерализующий гель буду просто давить в рот и смесь слюны и геля катать по зубам, это будет приносить пользу? Нет возможности взять каппу, чтобы делать аппликации из геля. Вроде в инструкции сказано, что при действовать гель начинает при взаимодействии со слюной, но я не уверен, будет ли водянистая пенка (95% слюны, 5% геля) приносить пользу зубкам. Без каппы гель просто вымывается.
Аноним 06/10/25 Пнд 18:51:09 1643258 196
>>1643249
Ну а на вид. Зубов 10 делать? Скок анестезия полная стоит? Я боюсь, мне шприц в рот не засунут
Аноним 06/10/25 Пнд 19:20:57 1643265 197
>>1643253
Двачую вопрос.
Но гель же вроде густой (рокс), его когда наносишь на зубы, то он сохраняет свою субстанцию некоторое время
Аноним 06/10/25 Пнд 22:00:17 1643358 198
image.png 146Кб, 579x434
579x434
>>1643253
Если не можешь позволить в каком плане(?) каппу то зачем тогда гель? Любая зубная паста с hpa-novamin/фтор подойдет, пол часа не смывать.
Или тус-мус, например, вот пишут что со слюной и должно работать.
>>1643265
Даже если сильно верить в существование реминерализации, то в роксе же нет рабочих компонентов вообще?
Аноним 07/10/25 Втр 00:15:54 1643404 199
>>1643258
> Ну а на вид. Зубов 10 делать?
К стоматологу сходи на осмотр и он скажет. Мне недавно 9 зубов запилили.
Аноним 07/10/25 Втр 05:59:36 1643423 200
>>1643358
Там ксилит и ещё что-то, фтора нет
Аноним 07/10/25 Втр 13:18:51 1643461 201
Уже больше года выделяется кровь изо рта, именно когда собираю слюни и сплевываю. Бывает дохуя крови, а бывает что вообще с 3-4 харчка маленькая писюлька. Итак я год позабивал пока у меня дичайше не начал болеть зуб. Попиздовал в клинику чтобы удалить его, а оказалось что это зуб мудрости и врачиха сказала, что он мне дырку там какую то захуярил и что это пиздец и у меня все гниет. Напугала пизда и сказала что еще два зуба надо нахуй удалять. Я попиздовал после этого к другому врачу, в другую клинику. Там я удалял уже другой зуб и там меня успокоили и сказали, что та врачиха напиздела и пока что спокойно можешь типо ходить не ссать, а через время удалишь. Про кровь тоже сказал, но там нихуя не обнаружили, врач сказал что нихуя не видит никаких кровей и из горла тоже, ну ок думаю, наверное из за зуба мудрости так было. Прошло три месяца, у меня все так же каждый день харчки с кровью, начал болеть другой зуб и кажется опять зуб мудрости. Что мне делать сейчас и что это может быть? Пока что денег нет чтобы сходить к стоматологу, а в бесплатку не могу пойти по определенным причинам. И что делать с новым зубом мудрости, он время от времени болит.
Аноним 07/10/25 Втр 22:17:29 1643542 202
Иду лечить пульпит в платную клинику, если я скажу им чтоб они нахуй обкололи меня анестетиком до онемения головы, то есть шанс что я не почувствую боли или пиздец будет в любом случае? Как уменьшить вероятность пиздеца?
Аноним 08/10/25 Срд 00:31:19 1643546 203
Аноним 08/10/25 Срд 01:37:53 1643548 204
image.png 510Кб, 550x873
550x873
>>1643176
С виду вполне прилично, даже хорошо, кроме дальних жевательных, по хуевым фоткам кариесы как будто бы.
Не в москве глубокий кариес ~5-6 тыщ за зуб, что-то попроще соответственно дешевле. Тыщ 50 максимум наверно по факту 10 или меньше будет скорее всего или может нихуя только чисткой обойдется этих карманов, профчистка 3-5к. Точнее ток стоматолог скажет поковыряв.
>>1643542
Последние 3 месяца латаю зубы и до этого дохуя переделал, полпасти мертвой с пройденными корнями. Скажи врачу что боишься и обезбола тебе побольше ну и сразу мычи-кряхти если больно в процессе, подколоть можно попросить. А так, мне кололи какой-то йоба хуйней за 1200 за анастезию, работает мгновенно даже ждать не надо и 0 отходняка, ощущается обезбол в процессе как будто его и нет при этом не больно, но мой организм вымывает его за ~30-40 минут поэтому пару раз подкалывали в процессе. Нижние зубы обезболить посложнее, более чувствительны.
Попроси еще в процессе тебя успокаивать рассказывая что врач делает и чем это грозит (например щас повибрирует, щас пошуршит, щас надавим).
А так, всверливаются в зуб для доступа, на специальную иглу наматывают нервы-кишки зуба (самая больная часть если анестезии нет или хуевая но 95% что ничего не почувствуешь, максимум легкое подергивание) и все по сути, дальше у зуба 0 чувствительность будут шуршать-чистить. Могут еще за пределы корня выйти и кольнуть в ткани за зубом, как током ебнет по ощущению, сразу мыкнешь-пыкнешь, врач уйдет оттуда. Но по идее в нормальном месте тебе замерят апекс локатором длину корней и будут использовать инструмент подходящей длинны и все будет нормально. Так же в нормальном месте при пломбировке каналов коффердам (перчатка такая на зуб чтобы его изолировать от твоей пасти) установят, там зажимы такие на зуб надеваются может быть неприятно и чуток больно когда его заглубляют в десну но тоже обычно обезболят или попросить можно.


А так зашел за вопросами: поясните мне за коронки (и имплант заодно). Нужно будет ставить на 14, 12, 24, 25 и 37, 21 и имплант на 11, корни там сделаны давным-давно но этим летом переделывал пол пасти с распломбировкой и перепломбировкой корней с нуля, предыдущий дантист хуево мне накосоебила там все и много где в гранулемы-кисты ушло.
Самый сохранившийся 14, она мне поставила стекловолоконный штифт, в остальные говорит пока ставить не буду а то нагрузит слишком и боюсь ты корни наебнешь. Слепила пока мне коронковые части пломбой, сказала примерно полгодика походить аккуратно можно и заодно потом КТ сделать, посмотреть ушли ли воспаления.
Вопросы:
1) лайфхаки как найти ортопеда что не наебашит мне так, что потом опять полпасти переделывать?
2) Я так понимаю на передние е-максы ставить а на премоляры и моляр циркониевые?
3) Пишут срок службы 7-15 лет в зависимости от типа, если аккуратно пользоваться орехи-сухари не грызть и регулярно посещать стоматолога все равно они под замену через ~10 лет или срок службы можно увеличить? Еще про реставрации какие-то пишут, можно ли условно говоря ТО сделать на этом сроке чтобы мне опять не влетело в копейку процедура.
4) на какой ценник ориентироваться, поглядел по клиникам где-то предлагают "под ключ" за 26-28к циркониевую например за штуку, а в клиниках помажорнее под 40+ просят. Где тут правда +- реалистичный прайс чтобы не совсем дно но не переплачивать? Пока как будто бы мне надо ~300к готовить, охуеть можно...
6) на чем я смогу сэкономить по процедурам, делая все у одного врача\клинике и целесообразно ли будет разнести по времени установку, например по коронке в месяц? Можно ли попробовать поторговаться уровня дайте скидку за количество если у вас все делаю?
7) и по имплантам, коронковую часть тоже получается надо раз в 10-15 лет менять или за счет конструкций они носятся много дольше вплоть до пожизненного, если не ебланить?
Аноним 08/10/25 Срд 14:12:01 1643589 205
Посоветуйте хорошего пародонтолога и стоматолога в Москве. В будущем надо ставить брекеты и делать операцию , а у меня помимо кариеса(поверхностного) на множестве зубов еще и десна раздражены и кровоточат (особенно вокруг одного зуба видны ранки и прям очень чувствуются неприятные ощущения как будто там какая-то инфекция хз). На других местах есть воспаление но такого нет. Вобщем всю эту хуйню надо полечить. Посоветуйте пожалуйста
Аноним 08/10/25 Срд 21:24:30 1643770 206
изображение2025[...].png 889Кб, 1280x853
1280x853
image.png 879Кб, 958x1085
958x1085
ку двощ, так вышло, что упал зубами об камень, на одном переднем получил на удивление небольшой скол. Нужно ли идти к стоматологу с этим сколом или можно забить и все будет норм?
Аноним 08/10/25 Срд 23:39:56 1643830 207
>>1643548
> Не в москве глубокий кариес ~5-6 тыщ за зуб, что-то попроще соответственно дешевле. Тыщ 50 максимум наверно по факту 10 или меньше будет скорее всего или может нихуя только чисткой обойдется этих карманов, профчистка 3-5к. Точнее ток стоматолог скажет поковыряв.
Та мне в профосомотре сказали, что всё плохо.


по ДМС стоит идти в медси или зуб.ру в Москве? Я вообще ищу клинику, где с наркозом будут лечить
Аноним 09/10/25 Чтв 15:12:41 1643919 208
>>1643358
На вахте сейчас, в качестве профилактики для зубов, помимо пасты взял и этот гель. Чищу на ночь зубы, после этого полощу рот содой/солью/йодом, после этого выдавливаю в рот гель, жду, пока свяжется со слюной и катаю эту пенистую жижу по рту минут 10, сплевывая излишки.

Ясен-красен, что концентрация (и эффективность) постепенно снижается, т.к. слюны становится больше, а активных частиц геля меньше, но мне было интересно, даёт ли это вообще соизмеримый с применением геля "по науке" эффект или же даже 10% от эффективности не даст. Хотелось бы хотя бы половину или треть эффекта ощущать.
Аноним 11/10/25 Суб 00:41:25 1644347 209
>>1643542
98% времени боли не будет. Когда ковыряются в каналах могут быть острые вспышки на секунду-другую, но вполне терпимо.
Аноним 11/10/25 Суб 00:57:10 1644353 210
>>1643548
>или срок службы можно увеличить?
Гипотетически тебе спустя сколько-то лет, если не проебался зуб под коронкой, могут их снять и впихнуть еще одну. А так хуй знает, я пиздел с ортопедом на эту тему, говорит типа срока как такового нет (типа у кого-то отъебывает и гниет, у кого-то норм), работаю 20 лет, у некоторых моих первых пациентов еще норм все.
>на какой ценник ориентироваться
В 2023 делал в среднеплатке цирконий за 35к штука под ключ (предварительные работы типа лечения/депульпирования не включены)
>целесообразно ли будет разнести по времени установку, например по коронке в месяц?
Нахуя? Он тебе просто их несколько за раз сделает. Обточит, сделает снимки, поставит времянки времянки ща такие. что эстетически выглядят почти как зубы. Хотя если у тебя их там штук 6 мб придется несколько раз посетить. Мне два соседних зуба делал одновременно.
Аноним 11/10/25 Суб 03:51:55 1644364 211
1111.jpg 90Кб, 980x517
980x517
>>1644353
>В 2023 делал в среднеплатке цирконий за 35к штука под ключ
А какая локация?
Терапевт мне зубы подготовила уже, но возможно штифт сверху еще нужно будет поставить, это уже говорит ортопед скажет надо или нет.
>20 лет у пациентов еще норм
Ну, немного обнадеживает, а то я прихуею с ценника их менять даже раз в 10 лет
>нахуя разносить
6 коронок ну где-то в 200к получается предварительно посмотрев, и в этот же период надо уже имплант ставить (еще примерно 90-120к) и возможно придется сделать пластику десны (еще около 40 судя по всему), очень дохуя расходов за месяца-два, хочется как-то сгладить во времени. Просто там наверно у слепков всяких, как и у снимков\КТ, есть срок действия когда они актуальны или может еще какие приколы, что не позволят или будет проще сделать сразу, чем по 100 раз эти допы делать.
>времянки
А их для чего ставят, эстетика или как примерка и какие-то функциональные особенности несут? А как долго с ними ходить? Жевать ими можно аккуратно? Так-то уже с дыркой хожу на самом видном месте после удаления зуба и кисты, травму эмоциональную по эстетике перенес, не страшно уже.

Вот кстати фоточки, если кому интересно, было-стало сразу после операции, поэтому если у вас киста какая и прочая ебатня зубная, не запускайте и не доводите.
Там потом еще на месте швов где побелела десна она порвалась в швах и ушла вверх. Надеюсь с костной пластикой хирург согласится попробовать и сможет десну заштопать покрасивее, без забора лоскутов с неба какого. Ну и оба соседних зуба от удаленного под коронки пойдут, правый уже пломбой наполовину был восстановлен лет 8 назад, но как видно скольчики образовались куда налет набивается по всей линии соприкосновения пломба-родной кусок зуба.
Аноним 11/10/25 Суб 04:27:22 1644366 212
image.png 1410Кб, 1920x1282
1920x1282
>>1644364
>А какая локация?
ДС, среднерайон: не центр, но и не спальник-спальник.
>дорого за раз
Поспрашивай баб на ресепшене, в моей можно было то ли в рассрочку, то ли в кредит, но я не уточнял.
>А их для чего ставят
Чтобы ты жевал нормально и обточенные зубы не сломал, которые становятся чем-то типа пика. Вот на них надевают времянку, а потом постоянную.
>А как долго с ними ходить?
У меня весь процесс занял месяца полтора, но там попали майские+ у врача 1 слот свободный в 10 дней+ прикус сложный, ему пришлось чото переделывать и 2 лишних раза меня приглашать. Нормисам по идее должны ставить в три визита или типа того.
>пик
ЖУтковато.
Аноним 11/10/25 Суб 12:40:43 1644403 213
>>1643770
в школьные времена ебнулся об кафельный пол, никуда не ходил
немного грубоватый край был и чувствительный, потом прошло
состояние стабильно уже 20+ лет
Аноним 14/10/25 Втр 18:30:36 1644864 214
Слышал о способе убивать нерв электричеством. Ну, собственно, провода в розетку и на зуб. Как при этом не ебануть себе в пасть, т е. там же довольно резко тряханет и, вероятно, провода токнут ещё куда-нибудь во рту. Я на полном серьезн, если что. Бывают ситуации, когда просто уже невозможно терпеть, а помощи не будет.
Аноним 15/10/25 Срд 07:40:19 1644924 215
>>1644864
> Бывают ситуации, когда просто уже невозможно терпеть, а помощи не будет.
Про боль могу понять, но почему не будет помощи? Можете в бесплатной клинике вырвать зуб просто, вас должны принять при острой боли без очередей.
Аноним 15/10/25 Срд 19:51:35 1644986 216
>>1644864
не суй ничего в розетку, я на рабте как то провод без ничего с вилкой случайно воткнул в розетку и там нахуй пробки выбило провода на растоянии были и руки тоже но в результате втыкания в розетку даж меня малеха дернуло, если у тебя будут провода во рту даже не касаясь непосредственно плоти, то тебя все равно по итогу ебнет, так что не надо так делать, ничего не суй в розетку(хуй тоже)
Аноним 18/10/25 Суб 22:43:34 1645453 217
>>1644864
Ебло, иди к врачу, он тебе все по науке сделает. Ты все равно не сделаешь грамотно, зато рисков целый вагон. Завязывай давай с самодеятельностью.
Аноним 19/10/25 Вск 20:31:18 1645580 218
Сап
Аноним 19/10/25 Вск 20:31:52 1645581 219
>1644353
Стоматологи, поясните за этапы установки коронки

Например есть безнервный зуб, на который надо поставить коронку.

1. Сначала он стачивается
2. Потом обрабатывется антисептиком. Каким? Какойто специальный или просто хлоргексидин?
3. Потом вставляют штифт или культевую вкладку. На что ее крепят? Специальный клей? Или стоматологический цемент? Что это вообще за цемент, из чего состоит?
4. Потом уже точат коронку и ставят на зуб и крепят на цемент

И по пломбам тот же самый вопрос. Чем обрабатывают зуб перед пломбой? Какой антисептик? И вроде еще кислотой протравливают, что это за кислота? И на какой клей пломбы клеят?
Аноним 19/10/25 Вск 20:34:18 1645582 220
Аноним 20/10/25 Пнд 14:52:11 1645693 221
Появился коричневый налет и зубной камень на всех зубах после курения, чая и кофе, чищу зубы 2 раза в день, полоскаю водой раз 10, и опаласкивателем 2 раза, налет коричневеет в геометрической прогрессии все равно. 22 лвл. Возможно ли убрать его или сделать хотябы бледнее содой?
Аноним 20/10/25 Пнд 15:22:34 1645697 222
>>1645693
Иди к стоматологу на профессиональную чистку, заодно осмотр сделай что там где подлатать надо. Камень дома ты уже не уберешь самостоятельно.
Алсо бросай курить, после чая-кофе водичкой рот споласкивай. Ополаскиватели там надо на состав смотреть но особого толка нету.
Еще посмотри на водичку что ты пьешь, всякие растворенные минералы (они же накипь на чайнике образовывают) тоже ускоряют накопление налета и камня, бывает аще пиздец вода но +- для любой не помешает фильтр (и своевременная замена картриджей).
>>1645581
Не стоматолог, но гипохлоридом мне заливали все что двигается при лечении, при коронках по идее тоже используют.
Штифты\культевые вкладки по ситуации ставят, зависит от зуба, состояния корня и остатка родной коронковой части, тут только с ортопедом на конкретном случае узнать.
Цементы насколько я знаю зависит от материала коронки что используют. Состав можешь почитать посмотрев магазины с расходниками стоматологическим если интересно или какой-нить гпт спросить.
Пломбы не клеят, это композит из смеси смол и неорганического наполнителя, он в процессе отвердения сам клеится к твоим родным тканям.
По кислоте ортофосфорной обрабатывают зуб и какой-то праймер еще есть, которым как я понял вот этими пластиковыми палочками мазюкают.
Аноним 21/10/25 Втр 00:15:33 1645756 223
Распедальте за пасты, заебали. И в шапку что ли засуньте, а то вообще куцый тред. Нужна БАЗА. Или не принципиально, какая паста, главное - регулярность?
Аноним 21/10/25 Втр 00:32:50 1645757 224
>>1645756
Мнений дохуя разных слышал, мой стоматолог сказала что принципиальной разницы нет для меня (чувствительностью не страдаю но есть много потенциальных мест развития кариеса) какую пасту покупать, главное чтобы был фторид был 1450ppm и не отбеливающую. В остальном говорит там чисто маркетинг, бери что нравится хоть бич колгейт
По личным тестам всяких роксов-колгейтов-лакалютов-президентов-сплатов просто обычный колгейт ощущается лучше субъективно как по поверхности после чистки так и по запаху-вкусу после. По памяти белндамед еще нравился но оффлайн найти очень трудно + ценник конский.
Регулярность тоже абсолютная база + правильная техника чистки + достаточное время чистки.
Аноним 22/10/25 Срд 01:44:54 1645928 225
>>1645697
>праймер еще есть, которым как я понял вот этими пластиковыми палочками мазюкают.
Праймер только для пломб применяют или для коронок тоже?
Аноним 22/10/25 Срд 02:00:55 1645930 226
>>1645697
>праймер еще есть, которым как я понял вот этими пластиковыми палочками мазюкают.
Праймер только для пломб применяют или для коронок тоже?
Аноним 22/10/25 Срд 02:03:18 1645931 227
>>1645756
А че распедпливать. 80% паст сожержат диоксид титана - канцерогенное вещество. Для еды во многих странах запрещено

В любом учебнике по стоматологии так же написано про неээфктивность чистки зубов против кариеса.
Аноним 22/10/25 Срд 03:04:12 1645935 228
>>1645928
Ну я прям не шарю, но вроде как для коронок тоже применяются, по крайней мере гугол говорит что да. Создает подготавливает поверхность к которой лучше клеится пломба\цемент через создание шершавостей и химического слоя которые реагирует и цепляется на цементы\пломбы.
Аноним 22/10/25 Срд 07:04:24 1645945 229
>>1645931
> В любом учебнике по стоматологии так же написано про неээфктивность чистки зубов против кариеса.
Дай хоть один пример
Аноним 22/10/25 Срд 07:21:55 1645946 230
Обломился зуб верхний резец, пошёл к стоматологу-ортопеду. Тот посмотрел рентген зуба и сказал, что корневой канал запломбирован не до конца (не пройден где-то 1 мм), и надо бы его перепломбировать во избежание воспаления прежде чем делать штифтовкладку.
Прихожу к другому врачу на перепломбирование канала. Она смотрит тот же рентген и говорит, что раз канал был запломбирован 25 лет назад (а это так), то бояться инфекции сейчас - глупость. И вообще, такой монолитный материал можно рассверлить только под микроскопом.
Теперь не знаю, что и делать. Просить ортопеда, чтобы устанавливал штифт на зуб как он есть? Или искать, где мне канал всё-таки рассверлят? Мне как-то тоже не верится в инфекцию спустя 25 лет. Или так бывает после установки штифта?
И опять же - не надо ли мне перепломбироваться более мягким материалом, если канал придётся частично проходить для штифта?
Аноним 22/10/25 Срд 07:47:47 1645947 231
image.png 143Кб, 273x373
273x373
Аноним 22/10/25 Срд 09:29:17 1645956 232
>>1645946
В общем, записался на консультацию врача, который работает под микроскопом. Раз два мнения разошлись, нужно третье мнение.
Аноним 22/10/25 Срд 10:54:39 1645963 233
>>1645946
Если 25 лет назад тебе возможно залили ебалой это уровня герметика а не гуттаперчей. Если инфекция не вылезла хорошо, но в теории при установке ортопедической конструкции у тебя герметичность нарушится и есть шанс попадания инфекции, которая с шансом может проникнуть дальше в корень и поселиться в пустом пространстве, из которого организм ее не убьет и разовьется киста,
Ортопед видимо не хочет рисковать поэтому и предлагает переделать канал что справедливо. Стотматолог видимо не хочет возиться со сложным случаем или уверена субъективно.
По хорошему надо переделать, можно и не переделать тогда ответственность твоя контролировать и это в копеечку выйдет потом если все же инфекция попадет и даст воспаление лечить, если вовремя не отловишь то может до потери зуба дойти. Но есть некоторый шанс что переделав как надо что-то пойдет не по плану и инфекция какая попадет и так, где-то видел статистику давали ~75% успеха при повторном проходе каналов и все равно надо переделать.
Под микроскопом шансы много выше что пройдет лучше.
На твоем месте я бы переделывал.
Аноним 22/10/25 Срд 14:18:31 1645977 234
В бесплатной клинике мне врач предложил самостоятельно купить ультракаин. В аптеках его нет у меня. Артикаин+адреналин пойдет? Лидокаин вообще бесполезно
Аноним 26/10/25 Вск 05:14:38 1646404 235
>>1645977
Подозреваю, что он тебя наебывает, запишет, что поставил тебе укол по омс, а сам лишнюю дозу продаст какому-нибудь трясунчику за пятихатку в карман в кабинете.
Аноним 26/10/25 Вск 08:30:50 1646412 236
>>1645963
Op того терапию из снова антибиотиками что повторно нашли прохожу хеликобактор еще и за.
Пререкающуюся протрёте перетёртое канонизированного верблюду
Аноним 27/10/25 Пнд 05:04:18 1646501 237
У вас есть примеры, когда из-за неудаления зубов мудрости начались реальные проблемы и пиздец, но конечно при условии, что на зубах кариеса не было? Я просто боюсь удаления и в целом мало верю в такую необходимость, буду тянуть до последнего.

Это как сейчас стоматологи прогревают на свои имплантаты, мол если сейчас не вставишь, то завтра уже соседние зубы начнут смещаться и весь ряд съедет, хотя я знаю множество примеров людей, которые потеряли один зуб и всё у них годами хорошо, если широко не улыбаться.
Аноним 27/10/25 Пнд 09:25:53 1646505 238
>>1646501
Кариес на них рано или поздно будет - они довольно слабые обычно и нагрузки на них нет, плохо снабжаются питательными веществами + их сложно чистить. Вопрос времени в общем когда ебанут. Если вылезли по мудацки то может начать всякая ебала в десневые карманы набиваться.
У меня мудрости эти снизу росли чуть под углом и скололи 7ки, оба раза вылетело когда теплую пищу ел, из-за расширения-сужения тканей и давления отлетели такие нехилые куски. Слева пришлось депульпировать, справа пломбой обошлось.
Пока молодой и организм хорошо восстанавливается в целом имеет смысл удалить.
>прогревают на импланты
И правильно делают, лучший способ протезирования что пока придуман чтобы потом не быть ущербным. Торопят по простой причине - имплант надо вставлять в кость для прочного основания, а у тебя кость эта уходить начинает без зуба чуть ли не на следующую неделю после удаления.
Организм решает раз нет функциональной нагрузки нахуй тогда на содержание тратить ресурсы тканей. Обратно эта кость уже не отрастет и нужно будет делать костную пластику. Это довольно травмирующая операция - тебе разрезают десну и отгибают лоскутом, там начинают наскребывать, наваливают костной крошки искусственной наращивая объем, потом закрывают мембранами и зашивают все обратно.
Стоит это ДОРОГО (от места зависит но все равно дорого) - около 10-20к за работу + расходники, я буду на этой неделе делать, мне порядка 45к насчитали в довольно дешевом месте. В более дорогих или если надо больше расходника то может легко и в 60 и в 80 и в отдельных случаях за сотку и больше быть.
Аноним 29/10/25 Срд 02:42:16 1646720 239
>>1646505
Это типа после удаления коренного зуба, можно зуб себе замутить?

У меня сука четыре зуба удаленно сверху и снизу, жевательные которые, сука боюсь лишь бы ебало не ушло нахуй в разные стороны.

Но у меня ещё ебаный бруксизм, щас хочу хотя бы на нижнюю челюсть брекеты поставить не знаю сколько по деньгам стоить будет. А импланты ставить совсем ебанусь
Аноним 29/10/25 Срд 03:21:04 1646729 240
>>1646501
>>1646720
Зубы не удаляй ни в какую. Импланты не делай. Если поставишь брекеты, то обязательно займись осанкой/стопами. Без брекетов тоже этим займись. Главное это стопы, а в рот не лезь.
Аноним 29/10/25 Срд 04:14:09 1646732 241
>>1646729
Так уже зубы удалены. Осанка ровная, вроде как, на турнике вешу
Аноним 29/10/25 Срд 09:42:01 1646744 242
>>1646720
>Это типа после удаления коренного зуба, можно зуб себе замутить?
Имплант? Да, суть его как раз вставить искусственный корень в челюсть и потом уже, если все успешно, он остается у тебя на всю жизнь и сверху на него накручивается конструкция из упрощено говоря переходника и сверху коронка - видимый за десной часть зуба. Коронки надо периодически как и на обычных зубах осматривать и со временем будет износ с заменой, лет через 10-15 в зависимости от интенсивности и материалов.
Бруксизм тут я хз надо консультироваться уже со стоматологами, это по идее противопоказание установке коронок.
С брекетами там опять же надо консультироваться, щас есть варианты под ключи всякие в пределах 100к или подешевле, конкретнее тебе только по факту скажут. По идее брекетами надо заняться перед имплантами, имплант заебешься двигать и там отдельные сложности с ними идут.
По ебанешься прикинь, пасть дело не быстрое + дорогое, имеет смысл начать раньше и предотвратить всякие атрофирования и деструктивные процессы без зубовные. А то потом совсем без зубов останешься и у тебя будет выбор страдать или выкладывать от 400к до пары миллионов на новые челюсти.
Аноним 29/10/25 Срд 10:14:56 1646746 243
>>1631979 (OP)
Сап.
Сходил к стоматологу, чтобы поставить пломбы и штифты под дальнейшие коронки которые хуй знает когда поставлю вы цены вообще видели?. Вспомнил как ебано было лечить запущенный пульпит на одном из зубов, где не помогала анестезия и я охуевающе терпел полчаса или около того пока мне выкорчуют нерв прокапанный ультракаинами всеми этими а потом на втором приеме охуевал от того как гуттаперча неприятно встает рядом с кончиком корня зуба поскольку дальше-то нервные окончания имеются. В общем, спросил у врача, какие зубы лечим дальше, она там натыкала штуки две или три с развитым кариесом, говорит ну вот тут процесс уже глубоко, неизвестно останется ли зуб живым. А это для меня пиздец какая больная тема, дохлые зубы считай что кандидаты на протезирование через n лет. Сказала что скорее всего до нерва инфекция добралась тоже, тк дентин рыхлый. На уточняющий вопрос как дела с дентином на других зубах ответила, что да, именно такой он у меня и есть, в отличие от везунчиков с плотной тканью.
Не понимаю, какого хуя столько процессов во всем рту происходит, если визуально все более-менее в порядке. Понимаю, но бесит, особенно с лечением, которое приносит боль и страдания, блядь.
Аноним 29/10/25 Срд 10:17:19 1646747 244
>>1646746
А, бля, отдельно охуел с того что сегодня дополнительно лечили кариес на одной из стенок уже почти долеченного зуба. Типа основной процесс купировали, нервы удалили, пломбу временную поставили, а стенку оставили на потом, тк если бы ее лечили сразу, то от верхней части зуба нихуя бы не осталось (а от него и так почти нихуя кроме небольшого фрагмента стенки). Пиздец.
Аноним 29/10/25 Срд 10:48:56 1646751 245
>>1646746
>вы цены вообще видели?
По идее будет еще дороже, имеет смысл сейчас. ~35к за керамическую коронку\зуб. По времени мне стоматолог лепила из пломбы коронковую часть и говорит +- полгодика можно ходить аккуратно. Есть еще один зуб, где я в свое время коронку зассал ставить и потом хуй забил, мне тогда тоже вкладку поставили + слепили пломбой. Прошло примерно 8 лет, вот только щас совсем непотребного вида стал, но так делать не надо.
С анастезиями у меня была проблема только если врач хуево тыкнули и не попали и если за верхушку корня вышли.
С гуттаперчей, если не выходить за пределы корня, никак не ощущалось у меня, неприятно только давление на челюсть психологическое, когда ее всовывают и уплотняют.
Дохлый зуб может очень долго отходить если пролечен хорошо и коронковая часть не убита. Под коронкой по идее если вовремя будешь менять и контролировать до самой крышки гробовой.
>охуел от стенки
У меня есть зуб где осталась только 1 родная стенка. вот как раз недавно перелечивал каналы в нем. За один прием мне его вскрыли, убрали весь говняк из корня и восстановили стенки, часа 3 ебалась стоматолог. И потом в 2 визита еще сверху перепломбировали канал и доделали коронковую часть постоянной пломбой чтобы пока походил до протезирования, дальше тоже надо ставить коронку.
>визуально дырочка небольшая была
Кариес он обычно имеет как раз малое входное отверстие и там уже в дырке резвится куда не попадает слюна и щетка, поэтому визуально может казаться что хуйня.
>какого хуя процессы во рту происходят
Отсутствие регулярных осмотров + образ питания хуевый с кучей мягкой пищи и углеводов + плохая гигиена-чистка рта + бонусом всякие возможно недосыпания, стрессы, обезвоживание и недостаточное увлажнение слюной и-за этого. Бонусом возможно победитель по генетической лотерее.
Аноним 30/10/25 Чтв 12:53:59 1646933 246
>>1631979 (OP)
Острые клыки во рту это норма?
Аноним 30/10/25 Чтв 15:58:58 1646959 247
>>1646933
Если прям режут губы\язык обрати внимание что кусаешь и какой у тебя прикус, возможно стачиваешь кончики о что-то. Если явных причин нет но беспокоит - повод обратиться к стоматологу.
А так, что наролил по генетике. У меня клыки мощные и острые визуально + хорошо впиваются в еду, но достаточно тупые чтобы не травмировать самого себя.
Аноним 30/10/25 Чтв 16:28:01 1646968 248
>>1646959
А что насчет диастем и трем? Зубы нормального размера, ровные, растут вроде бы правильно, но присутствует диастема и тремы и сверху и снизу, это норма?
Аноним 30/10/25 Чтв 18:17:58 1646983 249
>>1646968
Ну я сам не врач если что. Пишут где-то у каждого 5го диастемы, тут буду капитаном очевидностью и лучше всего посоветоваться с ортодонтом. Но если тебе это не мешает и никаких проблем с деснами нет в этих промежутках по идее скорее всего вариант нормы, только чисти эти промежутки хорошо, с большими промежутками лучше наверно будет ирригатором пользоваться чем ниткой зубной.
Дальше сам решай хочешь ли ты заебаться с брекетами\элайнерами\винирами всякими или тебе так нормально. Вопрос коррекции в общем случае 5-12 месяцев и примерно 50-100к рублей если брекеты на всю челюсть надо.
Аноним 30/10/25 Чтв 23:16:46 1647004 250
>>1646751
>недостаточное увлажнение слюной и-за этого
Сам недавно об этом думал, более того мне кажется остальные факторы без слюны также делятся на ноль.
Даже если просто храпишь ночью, вся слюна высыхает и оседает камнями на деснах, ну а если еще и днем то мои соболезнования, попросту весь механизм придуманный эволюцией перестает работать.

Просто надо принять сам факт что дышишь ртом = минус зубы.
Аноним 30/10/25 Чтв 23:22:02 1647005 251
>>1646720
>У меня сука четыре зуба удаленно сверху и снизу, жевательные которые, сука боюсь лишь бы ебало не ушло нахуй в разные стороны.
Это какие? В целом консенсус такой что обязательно нужны только 6, имплантировать 7 это уже роскошь.
Аноним 30/10/25 Чтв 23:29:26 1647009 252
1747303160986917.jpg 78Кб, 670x538
670x538
Аноним 31/10/25 Птн 11:45:30 1647040 253
>>1646983
Говорят после брекетов диастемы и тремы вскоре появляются снова, чтобы не появились нужно потом всю жизнь металлическую проволку на зубах носить
Аноним 31/10/25 Птн 11:47:39 1647041 254
>>1646983
Брекеты и элайнеры же для выпрямления зубов и правильно прикуса придумали а не для того чтобы убирать диастемы и тремы, именно лечения диастемы и трем нету, это надо ставить брекеты которые еще и выравнивают зубы и прикус
Насчет прикуса не знаю, но зубы у меня ровные, по крайне мере ровные передние зубы, а что там с жевательными не так важно
Аноним 31/10/25 Птн 11:48:14 1647042 255
>>1646983
Недавно зуб восстановили с помощью штифта, посадили на штифт и теперь снизу зуба два гвоздика видны, это норма?
Аноним 31/10/25 Птн 11:49:27 1647043 256
>>1646983
Кстати я удалил 3 зуба мудрости а 4 зуб мудрости у меня так и не вырос, его нету или он там внутри? Меня это немного напрягает
А 3 зуба мудрости я удалил сразу как они прорезались в 18 лет кстати..
Аноним 31/10/25 Птн 14:05:30 1647048 257
>>1647042
Если у тебя зуб довольно прозрачный а штифт из материала что свет не пропускает по идее может быть виден. Мне ставили стекловолоконный, он прозрачный.
>>1647040
>>1647041
Ну это надо с врачом уже обсудить лучше по причинам почему и как. Причины почему могло появится и их устранение может и так может и сяк быть.
>>1647043
Сделать снимок и посмотреть. Может быть внутри полностью.
Аноним 31/10/25 Птн 14:35:21 1647052 258
>>1647048
Он виден снизу только - два гвоздика, выглядит некрасиво, но сбоку выглядит как настоящий зуб, родной

>надо с врачом уже обсудить лучше по причинам почему и как
Обсуждал со стоматологами - размеры зубов нормальные, ровные, привкус "ну..нормальный" ответили, а вот челюсть говорят широкая из-за этого и промежутки зубами - одна сказала что это еще и из-за того что я удалил зубы мудрости как только они выросли, но я помню что эти промежутки были и до их удаления

Кроме того что это выглядит уродливо особенно вблизи по-моему других минусов абсолютно нету, даже плюсы есть, можно через диастему свистеть и плевать а так же вдыхать и выдыхать воздух через эти дырки
Аноним 31/10/25 Птн 14:37:50 1647053 259
>>1647048
Еще мне говорили о том что у меня зубы желтые но это меня ни разу не смущало по жизни, это только от них узнал
Но это менять я не сильно хочу, белые голливудские идеальные зубы вышли из моды и стали вульгарщиной почти как золотые коронки раньше - все чаще вижу людей с желтыми зубами даже в медийном поле которые скалят их и не парятся по этому поводу, а вот дырки между зубов это вообще не модно, вижу что многие пытаются их закрыть, модно сейчас
Аноним 01/11/25 Суб 16:24:41 1647229 260
>>1647052
>>1647053
Ну, если нормально, тогда живи как есть. Тогда по идее можно всякими пластинками приклееными объем нарастить но если нет жесткой потребности моральной и функционально все хорошо не трогать.
Желтые зубки смотреть надо, где естественный оттенок а где налет который лучше счищать. Отбелять до крипоты совсем белой я тоже не сторонник, но проф чистку сделать регулярно (раз в полгодика примерно) не ошибка.
Аноним 01/11/25 Суб 22:12:52 1647261 261
>>1647229
Меня не сильно смущают желтые зубы, даже наверное белые слепящие зубы святящиеся как фонарь больше бы комплексов вызывали а вот дырочки между зубов заставляют комплексовать - но их дорого очень и муторно фиксить, если после брекетов не одеть вечную проволку и не одевать элайнеры ночью всю жизнь рано или поздно случится рецедив сказали стоматологи и нейронка

И вообще я стоматологию рот ебал, очень противная херня, у меня есть пару точек черных и дырочку вроде как нащупал языком одну - но настолько лень с этим всем ебаться просто пиздец
Аноним 02/11/25 Вск 14:04:58 1647319 262
>>1647261
Покажи фотку, оценим.
>настолько лень заниматься дырочками
А зря. Сначала просто налет который легко чистится. Потом который легко чистится только проф чисткой. Потом дырочка которую можно чуток полирнуть-чиркануть и все уйдет. Потом средняя дырочка. Потом глубокая. А потом минус весь зуб внутри. А потом минус весь зуб.
Несравнимо дешевле, быстрее, приятнее и долговечнее сделать как можно раньше. Ну при условии что надо делать, если языком нащупывается то уже хуево.
Аноним 05/11/25 Срд 00:16:17 1647589 263
IMG1025.jpeg 391Кб, 1284x1726
1284x1726
IMG1024.jpeg 313Кб, 1284x1732
1284x1732
IMG1021.jpeg 311Кб, 1284x1747
1284x1747
IMG1023.jpeg 404Кб, 1284x1728
1284x1728
Всем салам. Всю жизнь страдаю от плохого запаха изо рта, ощущение что появляется именно после кофе и хлебобулочного и сладкого. Странный привкус во рту появляется. Так же зубы уже несколько лет имеют темный налет. Имею сильный бруксизм по ночам. Ощущение что плохой запах появляется вместе со слюной, и начинается как только почищу зубы, усиляется к вечеру. Не знаю что делать, подскажите плс, это ЛОР, внутренние органы или зубы гниют ? Дантист говорит что это не зубы…
Аноним 05/11/25 Срд 11:35:50 1647625 264
>>1647589
Выглядит как тотальный пиздец по налету и камням, как минимум профчистку весь этот говняк убрать и там надо посмотреть че под ним, возможно всякий кариозный говняк.
Сладное-хлебобулки всякие это сахара которые обожают кушать всякие бактерии, вызывающие кариес, они же запах могут давать. Поэтому кушай поменьше сладкого и убирай клейкие комки от булок всяких сразу после еды что остаются как минимум.
Аноним 05/11/25 Срд 13:52:23 1647641 265
>>1647589
А ты не ходил к парадонтологу (гигиенисту ) ? У тебя же явный пародонтит в запущенной стадии . Из-за этого восполнены десна (запах изо рта) и щели между зубов (костная ткань ушла). Пиздуй к парадонтологу .
Аноним 05/11/25 Срд 21:40:07 1647695 266
20251105212156.jpg 722Кб, 2208x1231
2208x1231
20251105212312.jpg 333Кб, 2208x657
2208x657
Сап, стоматологач.
30 лет, зубы уже ощутимо начали идти по пизде. Никогда толком не лечил их и по стоматологам не ходил, кроме двух случаев (об этом ниже).
Понял, что пора бы пролечить, поэтому базовый вопрос: где в Москве их выгоднее и при этом относительно качественнее лечить, чтобы по деньгам по минимуму наебали, и при этом лечили?
Вообще не шарю, а в реале у знакомых как-то влом спросить по теме (да, я, как стереотипный двачер, с ограниченными контактами в реале).

Из проблем:
1) нет одной "пятёрки" наверху (ещё в 20 лет довёл до удаления); вторая "пятёрка" тоже наполовину откололась пару месяцев назад; нижние тоже - один пролеченный после периодонтита с выпавшей пломбой (надо вставить), а также другой нижний параллельно тоже слегка откололся и с кариесом;
2) один верхний зуб мудрости наполовину сгнил, а у второго - чуть снизу десна усохла, обнажив корень (пародонтит это?) - их вообще удалять надо, наверно, пофиг; ...а вот с нижними зубами мудрости всё норм;
3) небольшой кариес на одном верхнем клыке.

Кидаю фото челюстей на обозрение.
Качество так себе, но уж как есть.
Аноним 05/11/25 Срд 21:42:22 1647696 267
>>1647695
А, забыл добавить, что меня в частной стоматологии развели при острой боли на лечение периодонтита за 30 косарей.
Поэтому и нужны советы о том, где их бюджетнее лечить, чтобы опять не доводить до этого.
Аноним 06/11/25 Чтв 09:57:49 1647743 268
везде пишут, что световые пломбы бесплатно не ставят, но когда я ходил в бесплатную, то мне в рот светили какой-то хуйнёй на пломбы, это не световые были?
Аноним 06/11/25 Чтв 13:12:47 1647762 269
>>1647743
Да вроде везде уже ставят, уточни.
>>1647695
В миллионике по ценам примерно:
-имплант корейский ~60-70, побогаче приличные ~80-90, супер-пупер ~120, по акциям цена за имплант+коронку+промежуточные работы.
-отколовшийся надо смотреть по корням и что внутри. Зачистить и запломбировать корни на жевательных ~12к. Коронка не бомжовская ~30-40к. Промежуточные этапы вроде КТ на все лицо ~4к, снимок один в районе 500-800, установка штифта до 5к.
Кариесы 3-8к в зависимости от глубины.
Удаление в районе 6-10 в зависимости от сложности.

Для москвы соответственно где-то 10-25% сверху накидывай. Судя по описанию сумма к сотке и выше может быть за общее лечение всего, но точнее только после осмотра будет видно. Там и спрашивай сколько чего, в нормальной клинике тебе план лечения накидают и сколько это будет стоить по пунктам, сразу можно конечно не соглашаться и пойти подумать и сравнить.
Где выгодно и хорошо по москве не подскажу, но вот интересная статейка на тему как выбирать стоматолога общие советы для нуба
https://habr.com/ru/companies/belayaraduga/articles/844538/
И учитывай что сначала попадает к терапевту, они смотрят и лечат кариесы, делают каналы. Всякие коронки делает отдельный дохтур. Импланты и операции на деснах хирурги тоже отдельный врач, они же обычно зубы удаляют.
Аноним 06/11/25 Чтв 17:17:01 1647816 270
треснул зуб под коронкой, что делать?
Аноним 06/11/25 Чтв 18:21:14 1647830 271
>>1631979 (OP)
всегда думал, что стоматология это скам. но сейчас подумал, что это же схоже с хирургией, такие же риски и прочее, надо также орудовать над живым (пока что) человеком, ценник на услуги вполне оправдан.
Аноним 06/11/25 Чтв 19:36:09 1647847 272
>>1647816
Посетить стоматолога. По инторнету сказать сложно, возможно не трещина а просто ебала какая или поверхностная и все нормально и\или снять коронку и подкорректировать-закрыть если треснула коронковая часть. Если треснул корень то высок шанс что походить сколько походит (недолго) и под удаление, если явный перелом корня и пока ничего еще не занесено и не воспалено возможно будет иметь смысл удалить с одномоментной имплантацией сразу.
В общем точнее только в кресле скажут.
Аноним 06/11/25 Чтв 22:07:51 1647864 273
Xray.png 221Кб, 463x265
463x265
image.png 107Кб, 444x311
444x311
image.png 53Кб, 356x222
356x222
Под 10 летним депульпированным зубом нашлась киста.
Мой терпапевт сразу отправил удалять. Терапевт к которому я ходил за вторым мнением сказал можно попробовать перелечить потому что там есть пропущенный канал.
Теперь мне нужно третье мнение, может кто проходил через подобный пиздец?
Алсо не болит и не ощущается совершенно, откололся кусочек пломбы когда делали зуб рядом.
Аноним 07/11/25 Птн 04:41:50 1647898 274
>>1647864
>Алсо не болит и не ощущается совершенно, откололся кусочек пломбы когда делали зуб рядом

Ну и нахуя его удалять, если он тебя не беспокоит и не болит?
Пиздец шиза. Поставь пломбу и дальше ходи.
У меня такое воспаление под многими зубами, 15 лет хожу и ниче.
Удалятели блять.

Я бы даже не стал эндо перелечивать.
Аноним 07/11/25 Птн 21:14:45 1647967 275
>>1646501
На неделе удалил, тоже ссался пиздец. в итоге сама процедура заняла всего пару минут. вкололи анестезию, через 5 мин дернули зуб.
Днем немного болело, закинул таблеточку, на след день уже ничего не болело и жил, как обычно. хлоргекседином еще ванночки поделал и усе.

Совет, ищи хирурга от 40+ лет в частных клиниках. В госе если, то в платном отделении тоже 40-45+
Там у таких мужиков опыт ебейший и рука легкая.
Перед дерганьем сделай КТ зубов или ренген, чтобы понятно было чего там с корнями.
По хорошему лучше дергать, пока зубы эти здоровые, если будут хуевыми, то их всеравно только удалят, но при этом есть нихуевый шанс, что они развалятся и их будут пилить, а тебе десну резать.
Аноним 07/11/25 Птн 21:19:43 1647968 276
1111.jpg 87Кб, 972x460
972x460
>>1647864
>>1647898
Конечно пробуй пролечить повторно, удалить всегда успеешь. Очень желательно врач опытный + под микроскопом, но в целом если практики хорошие в клинике - используют апекс локатор, кофердам, гиппохлоридом тотально заливают все при пломбировке и нормальная гуттаперча шансы я читал примерно ~70% на успешный исход в общем случае по статистике. У тебя уже большевата но сойдет. Дальше там если не будет получаться надо с хирургом советоваться возможно будут показания к резекции коря.
Я вот в процессе, у меня тоже у 4х пролеченых у хуевого стоматолога вылезло от немного гранулемы до пиздец кисты размером с 2 зуба, угрожающем проплавить мне гноем носовое дно. Пролечил 3 заново, там будет видно через полгода-год что получилось. И 4й пробовали консервативно хуй там плавал, сходили к хирургу по поводу резекции говорит уже хуй там че отрежешь, зуб 100% под удаление. Сделали цисэктомию и планировали костную пластику сразу под имплант, но в процессе как вскрыли решили пластику не делать ибо киста была рыхлая и насрала по всем окружающим тканям. Вот только-только сделал пластику неделю назад и месяца через 4 если все хорошо ставлю имплант.

Вот фоточка до и после как подзажило. По КТ красным выделил примерно зону поражения глубоко внутри самой кости, какие размахи.
Аноним 07/11/25 Птн 22:25:11 1647978 277
image.png 711Кб, 588x1280
588x1280
Учитесь как прогреть гоев на 500к
Аноним 08/11/25 Суб 21:38:48 1648093 278
>>1647898
>Ну и нахуя его удалять, если он тебя не беспокоит и не болит?
Дохтора пугают инфекцией в мягких тканях и пазухе.

>>1647967
>На неделе удалил, тоже ссался пиздец. в итоге сама процедура заняла всего пару минут. вкололи анестезию, через 5 мин дернули зуб.
А мне чел на консультации говорил что будут удалять, че то там закладывать и зашивать. 3 месяца гулять и потом имплантация.
В целом если бы болело то дернул бы не раздумывая.

>>1647968
>Я вот в процессе, у меня тоже у 4х пролеченых у хуевого стоматолога вылезло от немного гранулемы
Вот и у меня такая же история.
Проебал три шестерки довольно рано, и лечил в госухе. Две нижних разъебало почти моментально, верхний вот пока держится. И как я понял у них у всех нестандартные корни - такое в условиях госухи конечно не вылечить (как щас помню общая очередь на рентген, на пленку, олд скул)
Аноним 08/11/25 Суб 22:38:13 1648102 279
>>1648093
>Дохтора пугают инфекцией в мягких тканях и пазухе.
Инфекция как раз и будет гранулема\киста, если с иммунитетом не пиздец он их сдерживает и может так годами\десятилетиями. Но сама инфекция живет в непропечённых частях-полостях а организм туда не добирается и не может убить источник. Пролечивание повторное как раз добраться через них через сам зуб и тотально все залить кислотой чтобы убить всю патогенную хуету, вычистить максимально, закрыть пространство материалом чтобы остаткам инфекции и прочей ебале снаруже негде было прятаться. Или, когда делают резекцию корня, доступ обеспечивают через десну и отпиливают кусок корня выскабливая все пораженные ткани, если не получается добраться через каналы.
>чет закладывать
Ну, значит будут костную крошку подкладывать, +- тоже самое что и мне делали. Пробуй пролечить повторно корни, это лучше, чем сразу удалять. Цена неудачи - ~12к рублей, 1-3 посещения и несколько часов твоей жизни. Через полгодика будет понятно примерно получилось или нет, там уже окончательно решение по импланту можно принять.
>госуха
Зависит от госухи, но отношение больше как к конвееру это точно. В частной все же много гибче, материалы зачастую лучше и зубной работает не в таком стрессе и на тебя у них время всегда найдется. Мне вот 7ку делали за 3 посещения совокупно примерно 5 часов, с корнями в ней ебались, в госке никто столько времени тратить не будет.
Аноним 08/11/25 Суб 23:56:52 1648111 280
image.png 463Кб, 958x562
958x562
image.png 322Кб, 720x648
720x648
>>1647319
Показываю, оценивай
Аноним 09/11/25 Вск 00:01:30 1648113 281
image.png 736Кб, 1280x604
1280x604
>>1647319
А это в сомкнутом состоянии
Аноним 09/11/25 Вск 00:12:46 1648115 282
>>1648113
А, ну вообще хуйня тогда, выглядит нормально. Только чисти зубки лучше, у тебя налет\камень у десны снизу и поебота между вторым и 1м справа на фотке, проверь на тему кариеса под ну и чисти опять же лучше.
Аноним 09/11/25 Вск 01:02:41 1648118 283
>>1648115
Зубы я раньше вообще не чистил годами - ближе к 25-26 годам стал заставлять себя чистить хотя бы иногда
Желтизна никогда не смущала, у кумира молодежи папича вообще зубы желтые как золото но он не парится и скалится ими очень часто
А вот своей диастемы он постоянно стеснялся

Наверное мои стандарты нормы опять же пошли от него, потому что я смотрел пару стримов с ним и пару десятков хайлайтов на ютубе лет 7 назад
Аноним 09/11/25 Вск 02:16:10 1648123 284
>>1648115
А что будет если их не чистить? Что с ними случится? Весь перечень..Потому что если они просто будут желтого цвета с кусами еды между ними я не то чтобы сильно против
Аноним 09/11/25 Вск 03:12:05 1648126 285
Здравствуйте. Нужно сделать МРТ головы. Сейчас брекеты. Через 2 мес+- снимать-хотят поставить 2 ретейнера (на 2 челюсти).
Они не исказят МРТ мозга? Или уговорить на КАПЫ, вместо ретейнеров? Как мне сделать МРТ?
Аноним 09/11/25 Вск 03:14:00 1648127 286
хелп. стоят брекеты. скоро снимать. на внутренней стороне нижнего клыка есть ямка-типа откололась эмаль.
кариеса нет. ямке много лет.
ортодонт настаивает чтоб заделали ее пломбой ведь там будет ретейнер и 100% образуется кариес из-за того что будет ретейнер и не прочистить ни как будет.
Просто так удалять часть зуба чтоб туда поставить пломбу ЗДОРОВОГО ЗУБА, не хочется.
Что делать? Верить ортодонту, но не ставить ретейнер, а просить капы?
Аноним 09/11/25 Вск 04:15:52 1648129 287
>>1648118
Ну повезло, что еще зубы не перегнили все с такими привычками... в общем чисти 2 раза в день по всем правилам если не хочешь потом без зубов остаться.
>>1648123
Во рту живет множество бактерий и прочего говняка. В нормальном состоянии организм придумал слюну, чтобы поддерживать неблагоприятный для бактерий кислотно-щелочной баланс, доставлять до эмали питательные вещества, восстанавливая ее, и смывать весь лишний говняк.
В древние времена пища человека была гораздо тверже и грубее и сама по себе пища выступала своеобразной зубной щеткой, механически очищая зубы. В наши времена пища стала очень мягкой + появилось огромное количество углеводов и сахаров.
А бактерии и прочий говняк во рту обожает сахара и углеводы и начинает их усилено жрать. Оставляя куски еды они начинают у тебя гнить во рту - их жрет все что находится у тебя во рту, стремительно размножаясь. Они начинают объединяться и формируют биопленку, помогая друг другу закрепиться между собой и на зубах. Со временем эта биопленка начинает накапливать подохшие бактерии и минералы, формируя зубной камень - эти всякие наросты твердые и желтизна зубов это оно и есть. Зубной камень выступает в качестве стенки, бактериям в нем и под ним живется хорошо как в домике. В процессе жизнедеятельности они начинают буквально срать тебе на зубах кислотой, которая разрушает эмаль. Под биопленкой и камнем слюна уже не может восстанавливать эмаль и отсюда появляются углубления, которые растут в дырки - кариес. Внутри дырок да и вообще во всяких углублениях естественных и не очень, между зубами бактерии живут как в пентхаусе - защищены от внешней среды и им еще хавчик поставляется сверху.
Затем, как бактерии насрут достаточно кислотой, разрушая эмаль, дырка дорастает до пульпы (живая часть зуба, где располагаются нервы и кровеносные сосуды). Организм охуевает что появилась какая-то неродная хуета и начинает ее пиздить вызывая воспаления тканей живых внутри зуба - пульпит. Т.к. зуб закрытая структура а ткани при воспалении вырастают в размерах + появляется гной - они сдавливают нерв от чего появляется дикая боль.
Дальше, если каким-то чудом человек затерпел всю боль и по какой-то причине иммунитет больше не справляется с инфекцией, бактерии захватывают весь зуб изнутри. Перестают поступать питательные вещества изнутри и зуб становится гораздо более хрупким + пустой внутри, велик шанс что расколется\сколется.
Затем инфекция начнет атаковать организм через корни зуба прям в окружающие ткани челюсти и кости самой. Реакция организма опять же воспаление + выделение гноя. Т.к. это все внутри кости будет увеличиваться давление и может сдавить нервы - дикая боль + гной начинает разрушать кость вокруг. Разрушит крепление зуба и он выпадет, пойдет дальше выпадут соседние. Это как раз уже киста.
Затем в запущенном случае инфекция просто будет расти дальше и там уже можно лишиться челюсти, могут образоваться дырки в тканях (например дырка из рта в носовую или гайморитовую пазуху), инфекция попадает в кровоток и начнется сепсис.

Это со стороны зуба изнутри. А может быть еще внешне, когда зубной камень и бактерии начинают набиваться в карман между десной и зубом. Последствия похожи - разрушение зуба, реакция организма от слизистых - воспаления, кровь, гной. Разрушается связка и кость, которая держит зуб и он выпадает.
>МНОГАБУКАФ
Если кратко: бактерии едят остатки пищи. Срут кислотой. Кислота разрушает зуб. В разрушение набивается жратва и бактерии->разрушается еще сильнее пока не дойдет до пульпы. Пульпит. Невыносимо больно. Если не лечить зуб умирает->нет питательных веществ, зуб становится слабый. Инфекция выходит за корни зуба внутрь тебя. Воспаление, очень больно. Гной+инфекция разрушает кость и челюсть. Иммунитет упал? Очаг растет, некрозы кусков тебя. Ничего не сделал? Инфекция победила, ты умер.
>что делает чистка зубов?
Убирает остатки пищи чтобы нечего было жрать бактериям.
Убирает биопленку и сами бактерии, не давая им размножаться и закрепляться, формировать зубной камень.
Паста с фтором закрепляется к эмали, увеличивая ее прочность против кислот + подавляет рост бактерий.
Аноним 09/11/25 Вск 19:40:30 1648198 288
>>1648093
>Дохтора пугают инфекцией в мягких тканях и пазухе.

Пусть пугают. Это все индивидуально, зависит от генетики и иммунитета. Я бы посмотрел в динамике.
Аноним 09/11/25 Вск 19:42:10 1648199 289
>>1648118
>Зубы я раньше вообще не чистил годами

СДВГ у тебя случаем нет, братиш?
Аноним 09/11/25 Вск 23:04:01 1648219 290
Есть ли вариант попасть на приём в рандомной поликлинике по острой зубной боли + темп 38.6, если проебан паспорт? Или 100% на лапу нужно будет? снилс, полис есть
Аноним 09/11/25 Вск 23:42:11 1648223 291
Аноним 10/11/25 Пнд 05:42:03 1648236 292
>>1648223
Такая же хуйня.
Бляди просто не могут легализовать ебучий метилфенидат, из-за этого все полимеры по жизни проебаны.
Аноним 10/11/25 Пнд 16:19:41 1648293 293
Сап. Сгонял на чистку, там направили к пародонтологу, мол кровоточат десна, а там направили к ортодонту типо это из-за прикуса.
Ортодонт 0,00000002 наносек посмотрел в пасть и полтора часа рассказывал какие брекеты пизже, разницу между Японией и Германией и что общий ценник всего этого как снимать норм хату в моем ДС-миллионнике
Сам чет не хочу ставить железо в зубы тк 22 лвл, а их носить 2+ лет
Также слышал от одного типочка из медвуза, что это вообще заговор на брекеты и их ставят по приколу и чтоб дантист сгонял на Мальдивы
Че думайте аноны?
Аноним 10/11/25 Пнд 17:44:44 1648303 294
У тян, почти 60лвл, стала мучительно болеть челюсть, стоматолог сказала это пульпит зуба мудрости. И что по описанию боли он уже глубоко ушел, у восьмерок там куча запутанных каналов, в общем зуб надо удалять. Или можно поискать другого стоматолога, иногда кто-то без гарантий готов попытаться вылечить.
Это правда безнадежный случай и зуб только удалять?
Насколько тяжело переносится удаление в таком возрасте?
Будут проблемы от удаления только одного зуба, без противоположного?
Аноним 10/11/25 Пнд 18:10:50 1648308 295
>>1648303
У восьмерок в среднем 3 канала, бывает 4-5, бывают запутанными, глубокие, при всем этом восьмерку трудно лечить из-за удаленности, жевательной нагрузки на восьмерку почти нет, считай, бесполезный зуб. Если зуб нормально расположен, то удалить его просто, если ретинированный/дистопированный, то придется повозиться, но для опытного хирурга проблем не будет. Если нет каких-то тяжелых хронических заболеваний или аллергии на анестезию (а ее и при пульпите применяют), то нормально переносится. Проблем не будет.
Аноним 10/11/25 Пнд 18:26:18 1648312 296
>>1648293
Если я мог поставить в 22 года, то поставил.
Теперь приходится ставить в 35. По прогнозам на 1,5года
Аноним 11/11/25 Втр 17:12:41 1648373 297
Ношу элайнеры, сегодня надели межчелюстные тяги. Как их в ресторане-то по-человечески снимать и надевать снова? Нестрашно, если я 2-3 часа без них похожу и дома новые надену?
Аноним 11/11/25 Втр 17:45:15 1648376 298
Какие же стоматологи пидорасы. В моем ПГТ 3-4 стоматологички и везде работают по графику уровня пн-пт с 11:00 до 14:00 и везде запись на месяцы вперед. Внатуре хуесосы, как мне блядь рабочему человеку к ним попасть
Аноним 12/11/25 Срд 05:27:23 1648411 299
>>1648303
Восьмерки, за редкими исключениями идеальных челюстей, где они в прикусе, врачи не лечат. Сразу отправляют рвать. Пациенту - экономия, врачу - не ебаться с бесполезными зубами, с которыми тяжело работать.
>>1648373
Попробуй в туалете перед зеркалом, хз что тебе посоветовать.
Аноним 12/11/25 Срд 19:31:49 1648459 300
>>1648303
8ки в пульпите лечить смысла нет - велик шанс проебаться из-за удаленности и сложности структуры. Вылечишь ты, хватит на полгодика ну или несколько лет если повезет и под зубом киста выйдет, еще хуже.
Удаление наверно тяжело пройдет, от зуба зависит насколько он хуево располагается и вредные у него корни, иммунитета человека и общего физ состояния. В любом случае заживать будет порядка 2-3 недель даже у здорового молодого организма.
В идеале удалять парами верх-низ т.к. даже ту минимальную жевательную функцию перестает выполнять и просто там во рту болтается и в перспективе так же ебнет. Тут по факту лучше со стоматологом консультироваться готовы ли и на состояние человека смотреть как переносит всякое.
Аноним 12/11/25 Срд 19:53:30 1648461 301
1000013978.jpg 67Кб, 1150x1069
1150x1069
Сходил по омс в москвабаде в поликлинику. Есть тут двачеры-стоматологи, к которым можно на осмотр придти? У стоматологов бываю редко, в последний раз полтора года назад удалили полусгнивший зуб мудрости слева внизу, до этого пару раз за всю жизнь ходил пломбу поставить. Я к тому, что может меня наебать хотят?
Отправили на рентген, там чё то написано было "36,37, ...непонятная хрень, ?"
38 это удаленный зуб мудрости. Врач сказала, что нужно удалять зуб(прослушал какой, вроде как 37), хотя я хотел, чтобы мне пломбу поставили. Не понимаю, зачем мне его удалять, если дырка между 36 и 37 и при кормёжке пхы болит там.
Аноним 12/11/25 Срд 20:34:36 1648468 302
>>1648461
> Есть тут двачеры-стоматологи, к которым можно на осмотр придти
Есть.
Аноним 13/11/25 Чтв 21:56:35 1648594 303
репчатый лук для профилактики норм тема?
Аноним 14/11/25 Птн 11:14:33 1648633 304
тайские пасты в баночках годные? сколько стоматологов из 10 советуют?
Аноним 14/11/25 Птн 11:43:12 1648635 305
>>1648303
У меня кстати тоже болела челюсть, прям отдавало куда-то вглубь. Я полагал что из-за зуба мудрости полуретинированного, выросшего в бок, пошел в клинику платную, мат мне это с радостью подтвердили и предложили удалить, удаление пиздецки сложным и шло 3.5 часа. Но после удаления боль не ушла никуда, оказалось что это из-за того что я сжимал челюсти и жевательные мышцы были в постоянном гипертонусе, ну может 8-ка тоже как-то влияла, но как только я стал расслаблять челюсть, ходить с полуоткрытым ртом и надевать каппу на ночь то боль постепенно ушла. 5 лет мьюинга итоги
Аноним 14/11/25 Птн 15:39:58 1648656 306
Всем спасибо.

>>1648308
> для опытного хирурга проблем не будет
Она, вроде, не хирург, но удаляет сама. С удалением обычного зуба у другого человека проблем не было.
> нормально переносится
Я имел ввиду послеоперационные мучения. Особенно учитывая возраст.

>>1648411
> врачи не лечат. Сразу отправляют рвать
Да у нас вообще в медицине чуть что - сразу на операцию, удалять нахуй, какая-то ебанутая традиция.

>>1648459
Жаль, такого я и опасался.
> и в перспективе так же ебнет
Это же от невылеченного кариеса происходит? Ну т.е. если контролировать профилактические посещения стоматолога, то этого можно будет избежать.
Общее физ состояние нормальное, но от стоматологии тряска жесткая.
Хочется чтобы были минимальные мучения от боли.
Аноним 14/11/25 Птн 19:23:11 1648681 307
>>1648633
> тайские пасты в баночках годные? сколько стоматологов из 10 советуют?
Нисколько. Сплат актив лучшая паста из всех.
Аноним 15/11/25 Суб 03:18:16 1648716 308
>>1648656
>Да у нас вообще в медицине чуть что - сразу на операцию, удалять нахуй, какая-то ебанутая традиция.
Ну на самом деле в случае зубов вообще нет. Пациента лечат до упора: врачу бабосики за пломбы и коронки, пациенту моральное спокойствие и малоинвазивные процедуры с откладыванием имплантации на потом. Просто восьмёрки - ну а нахуй тебе их лечить, если ты ими не жуешь Доступ для врача хуевый, зачастую они кривые-косые и мешают остальным зубам.. Если выросли нормально и ты ими жуешь - лечат, а так нет.
Аноним 15/11/25 Суб 05:48:38 1648719 309
>>1648656
>вроде, не хирург
Именно к хирургу лучше будет сходить, который постоянно занимается операциями и удалениями, у них рука набита лучше как правило.
>послеоперационные мучения
Да все как у всех - соблюдайте все рекомендации по препаратам, если что обезбол попить, не стороне что удалили не лежать, не кушать на ней, тяжести не поднимать, давление не разгонять, не переохлаждать и не нагревать область, кушать мягкую пищу. Чистить зубки хорошо в остальной ротовой полости, нельзя полоскать и убирать сгустки крови и потом формируемый белый налет-фибрин. Мазать метрогил дентой или асептой что врач скажет.

У меня две 8ки удалили, одну удаляла стоматолог-терапевт посредственная и она ебалась порядка часа на полностью вышедшем зубе. Дико болело потом первые дня 4, я вообще не мог с кровати встать и чет делать.
Второй удалял полуретенированый уже у челюстно-лицевового хирурга с большой и постоянной практикой, она сейчас специализируется в основном на каких-то сложных случаях по опухолям на лице или челюсти всяких хрустиков собирает заново. Удалила минут за 40 с минимальной болью, выпил только 1 таблетку обезбола в день операции на ночь и усе, дальше вообще никак не беспокоило.
>чуть что сразу удалять
Для 8рок это оправдано - у нас челюсти стали меньше и им просто места мало, начинают разрушать и сдвигать соседние + сильнее подвержены разрушениям и патологиям как правило + в труднодоступном месте - проблема как с гигиеной, так и добраться до него что-то делать дантисту. В жевании еды участвуют слабо, у некоторых из-за прикуса вообще бесполезны никакой функции не выполняют.
>пульпит от кариеса
Ну да, кариес дырку проделывает в зубе, доходит до пульпы и получается воспаление - пульпит. Бывает еще просто из-за формы и положения очень плохо снабжается изнутри и снаружи питательными веществами и разваливается и гниет сам по себе, в сколы-трещины попадают бактерии которые оттуда с трудом можно вычистить и начинают там резвиться разрушая зуб дальше
>профилактические посещения
Ну, это база да, каждые полгода приходить на осмотры. У нас к сожалению культура в этом плане из-за совка и нищеты 90-2000х ужасная.
>>1648681
Мой стоматолог сказала по брендам +- разницы никакой нет и просто посоветовала с фтором 1450ppm, какая симпатична и не отбеливающая.
>>1648594
В целом употреблять его тема неплохая, но именно пожрать ради профилактики затея спорная. Эффективнее гораздо будет есть меньше сахаров, очищать поверхность от липнущих углеводов вроде хлеба как можно быстрее после еды, регулярно и хорошо чистить зубы, пользоваться нитками зубными и ирригатором, не забывать пить достаточно жидкости, не употреблять часто газировки и не пить слишком жесткую воду.
>>1648716
Редко но встречаются "а давайте мы вам все нахуй дернем и нет проблем!" не совсем компетентные врачи к сожалению. Но там уже палачи прям.
Аноним 15/11/25 Суб 09:31:46 1648727 310
Народ подскажите или дайте ссылку. Крошение зубов после короновирусной инфекции, все зубы как песок, лечить не берутся.к кому обращаться?
Аноним 15/11/25 Суб 13:26:34 1648740 311
16128846938460.jpg 40Кб, 1060x1060
1060x1060
Ну вот, в 30 лет и 3 годика собрался сходить к стоматологу в первый раз. До этого ходил только одну восьмерку вырывать.
Несколько лет периодически ныла пятерка, а потом как-то перестала, и недавно от нее отломилась внутренняя часть. Посмотрел в зеркало - остатки зуба как-то потемнели, но держатся прочно, и не болят. Я так понимаю зубу пизда, нерв отмер, и сделать с ним ничего нельзя уже, сколько может в теории простоять?
Хочу очистить зубы от табачного налета, просто чистка не особо помогает, и подровнять передние зубы (они с детства в мелких сколах, хреново выглядит).
Куда податься, в какую стоматологию, и во сколько примерно это обойдется?
Локация - сзао дс.
Аноним 15/11/25 Суб 19:30:01 1648767 312
>>1648740
По москве не скажу, цены миллионика (в мск прибавляй ~20-40%):
-чистка около 4к рублей
-зуб надо смотреть, если откололась часть хуево, удаление 4-8к в зависимости от сложности, если можно спасти наверняка депульпирование ~8-12к в зависимости от сложности + потенциально коронку на него, порядка 35к. Если нет лучше сразу подумать над имплантацией - от 70к.
-подровнять сильно зависит как именно хочешь. Просто обточить мелкие моментики недорого, корректировать форму уже всякими винирами или накладками 20к и дальше насколько фантазии хватит и хотелок. Если просто трещинки возможно просто реминилизация решит вопрос. недорого.
Куда податься тоже не скажу но смотри где клиника выглядит симпатично по оборудованию-обстановке, неплохой признак будет если записаться проблематично из-за забитости расписания врачей, сначала тебе к терапевту. Можно поглядеть еще на отзывы именно на врачей клиники и прошерстить их стаж + образование на всяких доктор.ру, выше стаж лучше но обратить внимание на всякие переподготовки и повышения квалификации, свежие если есть и их много это хорошо.
Опционально поспрашивать знакомых кто куда ходит и какие впечатления-результаты ну иил на крайний случай соседей всяких и прочие соц группы территориальные.
Аноним 16/11/25 Вск 05:26:56 1648813 313
>>1648767
>Куда податься тоже не скажу но смотри где клиника выглядит симпатично по оборудованию

Очень, очень спорный совет. Можно серьезно лохануться.
Не выбирайте клинику по одному лишь только этому критерию (если вы не из ДС).
И ваще - выбирают врача, а не клинику.
Аноним 16/11/25 Вск 08:01:32 1648817 314
>>1648813
Я в совокупности говорю, обычно нормальный врач не будет работать в клинике где пощарпанные потолки-стены а кресло выглядит как будто прямиком из ссср либо поебано жизнью сильно.
Аноним 16/11/25 Вск 08:19:39 1648820 315
>>1648817
Я тебе скажу, что в городах где нет конкуренции очень серьезно этим пользуются. У нас открылась современная клиника с микроскопом, коффердамом, томографами и прочими ебами. Все туда побежали, потому что типа западные протоколы и стильномолодежно. Но под красивой оберткой серьезная гниль. Цен на сайте нет. Цены подбирают под клиента. Врачей натаскивают психологи продавать дорогое лечение. Ебучая текучка, персонал держат за рабов и за любую хуйню штрафуют и лишают зарплат. Работают врачи со средне-специальным образованием. Используют недоказанные методы или одни процедуры маскируют под другие. Кароче - это просто худшая клиника просто чтобы раздевать лохов и любой хуй в подвале сделает лучше. Это я щас пишу и кажется что все очевидно, но нихуя, на это надо потратить хуеву тучу времени, чтобы это понять, обычный мимокрок въебется как нехуй делать.
Ищите врача. Хороший врач и так не будет работать на говноматериалах и оборудовании.
Аноним 16/11/25 Вск 08:32:49 1648821 316
>>1648820
>Ищите врача
Ну, тут согласен. А так мимо крок в этом и проблема что не сможет отличить хорошего от посредственного. Я выше на хабр кидал ссылку где общие рекомендации есть как мимо кроку попробовать найти своего врача, статейка написана стоматологом.
У меня в миллионике выбора много, в дс я думаю вообще допизды этих клиник.
С маскировкой-методами тут разве что только самому изучать что как должно быть. Ценники примерные можно по больнице посмотрев у других клиник, они +- все одинаковые ставят кроме лухари-элитарных, в кресле стоматолога уже уточнить все моменты что и как будет делать и сразу обсудить сколько времени это займет и сколько будет стоить. Нормальный стоматолог сразу скажет или точную стоимость или вилку, если непонятно снаружи как глубоко например кариес ушел.
Можно только на осмотр прийти послушать-посмотреть на врача и не делать сразу, а потом изучить конкретного врача уже с кем говорил и поразмыслить то тебе сказали и как это бьется с реальностью.
Психологии психологией, но таймаут - лучшая защита от развода.
Можно еще на плохие отзывы посмотреть кто на какие ошибки жалуется, там тоже не 100% защита, но в более худших случаях или врача линия будет тянуться так или иначе.

Ну и конечно если есть знакомые изучить их опыт, очень желательно кто ходит или постоянно или прошло больгода-год, косяки в лечении обычно как раз где-то за 0.5-4 года вылезают.
Аноним 17/11/25 Пнд 00:03:49 1648932 317
17066054506210.jpg 96Кб, 912x681
912x681
>>1648817
Донашивающем кливажа.
Аноним 17/11/25 Пнд 00:11:59 1648933 318
>>1648817
Стен плаче достигнув за тонким цикад металлом полувздохполусмешок никого в и её так не растворился.
Аноним 17/11/25 Пнд 01:22:26 1648937 319
Я когда резко кидаю голову на подушку чувствую какбудто некий гидроудар по левому жевательному зубу. если бы это был гной оно бы болело. эта хуйня довольно давно. че это может быть? может нерв трясется просто? а еще у меня какаято хуета во рту выросла. по картинкам в интернете похожа на фиброму. очень впадлу идти на прием и вырезать эту хрень, особенно если не дай бог накосячат
Аноним 17/11/25 Пнд 08:05:39 1648948 320
>>1648129
Интересно ты прогнал, аж захотелось зубы почистить
Спасибо тебе
Аноним 17/11/25 Пнд 14:08:28 1648976 321
Взял скалер ультразвуковой, есть опыт у кого?
Аноним 18/11/25 Втр 03:50:58 1649059 322
image.png 111Кб, 589x182
589x182
image.png 431Кб, 1090x460
1090x460
>>1648129
Я сделал проф.чистку анонче, прикладываю фото до и после
Посчитал раз я не могу нормально зубы чистить то лучше уж потратиться
Аноним 18/11/25 Втр 05:14:18 1649060 323
Аноним 18/11/25 Втр 05:15:13 1649061 324
>>1648740
Что блять? Чего блять? Ты ни разу пломбу не ставил что-ли?
Аноним 18/11/25 Втр 05:44:36 1649062 325
Помню мне было 18 лет, я психанул пошел и удалил все восьмерки что у меня были(а их было трое)
Мне казалось то что они чуть ли не врастают в щеку чем-то супер кринжовым и неудобным я был уверен что если их удалить то щеки и язык во рту больше никогда не будут царапаться - ошибся

И сейчас в 26 лет нахлынуло сожалению о сделанном, тоска какая-то, что у меня не 32 зуба а 28. Что на том месте должны вроде как быть зубы а на деле там пустота
Стало от этого ощущения пустоты неуютно немного

Что анон по этому поводу может сказать? Зря загоняюсь?
Аноним 18/11/25 Втр 05:47:22 1649063 326
>>1649062
А еще я прочитал что в США для профилактики по умолчанию сразу удаляют третьи маляры
Это правда?
Аноним 18/11/25 Втр 05:57:00 1649065 327
Еще пользуясь случаем спрошу
У меня в 18 лет вылезли три третьих маляра и я их сразу удалил, вот мне уже 26 годиков и даже намека на четвертый третий маляр снизу справа нету, какова вероятность что он не то чтобы не вылез а его вообще нету?
Аноним 18/11/25 Втр 06:24:54 1649066 328
Аноним 18/11/25 Втр 06:44:16 1649068 329
>>1649060
Камни убрать. Кстати сработало, нижний ряд немного почистил, свободнее стало
Аноним 18/11/25 Втр 08:09:35 1649072 330
>>1649066
То-есть мне не нужно было удалять третьи маляры?
Аноним 18/11/25 Втр 09:13:57 1649077 331
>>1649059
Красава. Только учти, что это не отменяет ежедневной чистки зубов 2 раза в день. Дополнительно поизучай еще техники как правильно чистить, наверняка чистишь еще неправильно. Чистить надо пару минут хотя бы, все зоны - бока снаружи, жевательную часть, внутреннюю, линию десны. И движения должны быть не просто в стороны а выметающие от десны наружу, можно круговые и проходиться по зубам медленно.
Алсо не забудь сменить зубную щетку после чистки (и делать это хотя бы раз в 3 месяца) и желательно пару дней не есть и не пить ничего красящего.
>>1649062
Прально сделал, нахуй эти 8ки не нужны, одни проблемы от них. Пустое место это хорошо - у тебя зона доступа к 7ке сбоку хорошая прочищать. В жевании они все равно почти не участвуют и объективно в 21м веке уже не нужны. Потенциально упредил кучу проблем, у меня 8ки сдвинули верхний ряд и снизу эти падлы скололи соседние давлением на них, доведя 7ку слева до пульпита.
>намека нет
Может в десне лежать недоразвитой залупой, на снимке будет видно. Если есть полностью скрытый посоветоваться с хирургом, наверно оставить если никаких проблем не доставляет. Слышал истории что у кого-то они разрушаться-гнить начинали прямо в десне и приводило к отекам и челюстным операциям, но это вроде больше исключения.
Аноним 18/11/25 Втр 09:17:03 1649078 332
Аноним 18/11/25 Втр 09:55:13 1649082 333
>>1649077
Про красящее меня не предупредили я колы выпил спустя буквально за час после чистки, блять..
Про щетку предупредили, уже заказал себе новую

А у меня есть электрощетка например, как быть с ней?
Я обычно в последнее время в основном ей чищу + ополаскиватель + ирригатор
Аноним 18/11/25 Втр 10:07:46 1649083 334
>>1649077
Проблема еще в том что когда у меня нет налета у меня на нижних совсем маленькие дырочки есть, прямо совсем микроскопические, их не видно если не приближать камеру супер близко - эстетического дискомфорта нету, но когда в них упирается язык неприятное ощущение - это когда налет полностью счищен. А когда зубном камень и налет был он закрывает эти дырки и они как цельные зубы - нет никаких промежностей. Это одна из причин почему я не люблю чистить зубы, зубной камень в этом плане дефает и с эстетической стороны и со стороны упирания языка в нижние зубы.
Аноним 18/11/25 Втр 10:09:10 1649084 335
image.png 566Кб, 1280x487
1280x487
>>1649077
Вот тут слегка видно это дырку нижнюю, но туда даже зубная нить проходить не сильно хорошо, ее нужно постараться чтобы увидеть единственная проблема в языке который упирается в зубы
Аноним 18/11/25 Втр 10:12:08 1649085 336
>>1649077
Я кстати чаще вижу людей у которых внизу щербины есть а вверху нету - думал щербины внизу это пох, главное чтобы вверху не было, но я теперь понимаю что ошибаюсь, их то не видно как верхние, но языком в них упираться такое себе ощущение - не из приятных, хотя выглядит со стороны нормально со стороны эстетики вопросов особых нету
Аноним 18/11/25 Втр 10:22:31 1649088 337
>>1649077
Читал в интернетах что в отличии от Российской стоматологии в стоматологии США восьмерки рекомендуют удалят для профилактики а не когда они заболят
Насколько я помню два верхних мне без проблем удалили а вот на третьем нижнем мне пришлось уговаривать потому что я подумал - ну а хули у меня будет одна восьмерка без антагониста даже, они ж без антагониста бесполезны я правильно понимаю? Как жевать? Только десну травмировать или же я хз, но они же жуют когда друг об друга стучат

>Может в десне лежать недоразвитой залупой, на снимке будет видно
Да это понятно, ну а какова вероятность что его вообще нет? Нет и все
Аноним 18/11/25 Втр 11:39:57 1649098 338
>>1649082
>колы выпил
Газированные напитки тоже кстати лучше пить по минимуму в целом, газы бомбят эмаль.
>электрощетка
Заебись тогда, если она не из подвала китайского нонейма, чистят лучше. Я сам пользуюсь филипсовской у которой насадка вибрирует. Там попроще и техника отличается от ручной - берешь щетку подушками пальчиков, затем подносишь к зубу на примерно 45 градусов и начинаешь медленно водить по поверхности зуба, слега прижимая но не сильно. Рот делишь на четверть, я вожу сначала по линии десны, потом по линии зуба основной (примерно 45 градусов выдерживая), потом по жевательной и с обратной стороны основная поверхность-линия десны. Щетка у меня пиликает примерно раз в 30 сек но я подольше чищу на минуту-полторы где-то.
Еще слышал предлагают способ останавливаться на каждом зубе и считать 1-2-3 и к следующему идти, так же с 3х сторон.
На ютубе можешь посмотреть рекомендации в том числе от производителя.
>>1649083
> налет был он закрывает эти дырки
Это и хуево, эти дырки потом превратились бы в полноценные дупла. А так забей, трясись поменьше, к новым ощущениям во рту привыкнешь со временем.

Алсо чистку профессиональную делай хотя бы раз в год, советуют в общем случае раз в полгода + осмотр.
>>1649088
>они ж без антагониста бесполезны я правильно понимаю
Ну да, у тебя при смыкании получается зазор между зубом и пустотой удаленного, максимум банан какой-нить отжевать можно в таком формате.
>какова вероятность что может не быть
Статистика говорит ~35% что нету ничего или зачаток с которым ничего не надо делать. Сказать я тебе уж точно не смогу, снимок надо если визуально не видно ничего.
Аноним 18/11/25 Втр 12:04:16 1649099 339
image.png 21Кб, 181x103
181x103
Не подскажет кто это брекеты или пластинки?
Если брекеты то годные или хуевые?
Что в целом по этим зубам можете сказать?
Аноним 18/11/25 Втр 12:06:14 1649100 340
А могут ли зубы от камня искривиться?
Аноним 18/11/25 Втр 12:20:42 1649105 341
>>1649098
А чай Рич? Я только его и пью, холодный в бутылках
Аноним 18/11/25 Втр 12:49:37 1649106 342
>>1649105
Да по идее ничего, красителей там особо нет вроде хотя это водичка+сахар, я лично подсел на зеленый чай, хотя раньше считал его непригодным для потребления.
Аноним 18/11/25 Втр 13:16:33 1649111 343
Screenshot 2025[...].png 743Кб, 988x768
988x768
Насколько дорого лечить под микроскопом, дохуя кариеса и пломба вылетела, анон выручай дай советов мудрых куда податься в ДС по цене-качеству
Аноним 18/11/25 Втр 13:58:38 1649115 344
image.png 70Кб, 184x274
184x274
>>1649098
А эти дырки случайно не из-за зубного камня появились? Я просто никогда там сильно их не счищал, а что там было до его появления еще в детстве я слабо помню

Мне одна стоматологиня сказала дескать брекеты не помогут от диастем, после брекетов все разъедется назад, это только винирами можно законтрить, но я никогда не хотел себе виниры и не совсем понимаю для чего и зачем это делается - во первых ебать как дорого неподъемно, во-вторых зубы обтачиваются и если ты захочешь снять виниры то зубы у тебя уже будут выглядит супер ужасно как на пикриле

Зачем делать виниры, не проще ли сразу повставлять себе импланты в зубы?
Аноним 18/11/25 Втр 15:31:45 1649128 345
>>1649115
Хз, углубления в зубах могут быть естественными. У меня на верхних 7ках на боках например как долины такие приличные углубления. На передних нижних и на левом 5м тоже ямочка такая есть на боку, правда снаружи.
>зачем виниры
У кого-то шиза они готовы не только зубы но и сиськи-письки-жопы себе переделать.
Виниры там есть тоненькие как пластинки без серьезной обточки, но я не спец чтобы сказать в каких случаях чего подойдет.
Про импланты ты наверно про коронки? Которые по сути дела тоже накладки на зубы под них как раз как пикрил у тебя зубы обтачивают до пеньков и на них надевают. Но коронки ставят как правило при разрушениях своей родной коронковой части больше чем на 60%. Корень зуба при этом родной остается, импланты это уже крайний случай когда совсем ничего не осталось. Это и дорого и травматично и долго + имплант не так хорошо передает нагрузки от жевания т.к. он врастает в кость саму, а родная связка зуб+кость все же подвижна и амортизирует нагрузку.
Аноним 18/11/25 Втр 22:42:21 1649175 346
image.png 293Кб, 537x454
537x454
Сап!
Плюс-минус пол года назад откололся кусок зуба между премолярами (вроде?) (пик), когда что-то кушаю плотное типа курочки то десна на месте скола вспухивает и пульсирует, нездоровые ощущения держатся сутки, двое максимум. Но хавка там застревает, с утра оттуда ужин выковорить можно с характерным после ночного маринада привкусом, там заметная такая чёрная дырка. Это нездорово, да и надоело жевать одной стороной и думаю пойти к дантисту, но нищий и потому вопрос - чё это примерно такое (кариес или пульпит? или ещё мб какой зверь?) и какая ценовая вилка лечения?
Пока план такой - записаться к терапевту в госухе, послушать что он скажет, потом к частнику зарулить и выслушать его мнение.
(Ещё у меня какого-то зубы в два ряда растут, лол)
Аноним 19/11/25 Срд 01:49:04 1649191 347
1682415850802.png 1680Кб, 2434x1239
2434x1239

>>1648740
> Ну вот, в 30 лет и 3 годика собрался сходить к стоматологу в первый раз. До этого ходил только одну восьмерку вырывать.
Тоби пизда.

У меня в 32 года вот такое всё
>>1643176

Лечить чёт в районе 200к, пока ток наметил работы.
Аноним 19/11/25 Срд 02:27:22 1649194 348
Сап
если через 5 дней после тяжёлого удаления зуба (семёрки) и образования "сухой лунки" начинает снова сочиться кровь - её лучше убирать же? Не стоит надеяться, что она образует тот самый нужный сгусток?
У врача был на четвёртый день, он сказал все ок в целом, в ближайшие несколько дней не смогу до него дойти, к сожалению.
Аноним 19/11/25 Срд 03:55:31 1649196 349
Аноним 19/11/25 Срд 05:48:06 1649197 350
Аноним 19/11/25 Срд 08:09:19 1649202 351
>>1649197
>у меня в 32 года вот такое
Об этом.
Аноним 19/11/25 Срд 09:12:05 1649207 352
>>1649128
а че нет имплантов с амортизацией?
Аноним 19/11/25 Срд 09:13:38 1649208 353
>>1649191
стори давай
как выбрал стоматолога
че делать будут
Аноним 19/11/25 Срд 09:14:19 1649209 354
>>1649194
а про имплант думаешь?
Аноним 19/11/25 Срд 09:15:22 1649210 355
>>1649194
короче нашли мне какого-то стоматолога, он сказал ну и заебись, что лунку залило. Делайте с этой информацией что хотите
Аноним 19/11/25 Срд 09:16:19 1649211 356
>>1649209
при чем тут имплант? Зуб только-только удалили
Аноним 19/11/25 Срд 09:24:29 1649212 357
>>1649211
это самый лучший период ставить имплант
Аноним 19/11/25 Срд 09:42:15 1649213 358
image.png 881Кб, 1120x630
1120x630
image.png 247Кб, 800x533
800x533
>>1649207
Нет, повторять естественную связку не научились. Импланты сейчас это кусок титана какого-нибудь с резьбой, который вкручивается в кость как обычный бытовой саморез. вот на картинках видно он снизу, вкручивается напрямую в кость и резьба зацепляется за нее. Затем организм т.к. получил травму при имплантации начинает обволакивать имплант новыми клетками и кровью и срастается кость с ним, получается жесткая конструкция т.к. клетки вокруг это все костные, которая со временем минерализируется и обретает твердость.
Затем на него накручивается съемная часть абатмент (на 2й картинке промежуточный такой конус) который уже выступает в промежутке десны и наружу и на него уже надевается коронка. Подвижности в норме между ними нет, там жёсткая связка керамика+метал. Природный зуб все же может немного сжиматься-расширяться и гнуться, кстати одна из причин почему современные пломбы все равно иногда отваливаются или дают трещины-зазоры т.к. не могу повторить механические свойства натурального зуба на все 100%.
>>1649211
Если это не мудрости удалены задумайся над имплантацией прямо сейчас, если все в десне-кости хорошо могут устанавливать импланты сразу после удаления зуба, потом через месяца 4-6 у тебя в этом месте кость начнет уходить.
Аноним 19/11/25 Срд 10:24:19 1649222 359
>>1649175
Кариес зуб разъел, 20к готовь на всё про всё
Аноним 19/11/25 Срд 11:23:35 1649236 360
Мне поставили, на 6 зуб коронку. Ладно я ахуел что сделали за восемь 8 приёмов его. Но когда десна обволакивать его начнёт? 2 месяца уже прошло
Суть, я жру какие нибудь баранки кусаю и она на пополам разламываясь чиркает по зубу по этой короне в месте где она прилегает где начинается это прилегание и больно блять, десна как будто отходит от коронки и болит
В эту щель ничего не попадает, но мне кажется если я чаще буду так есть то будут

Я неправильно ем? Десна заростет? Потому что у обычных зубов, ощущение обычное, ну да неприятно но ничего критичного а здесь беспокоит
Аноним 20/11/25 Чтв 01:47:21 1649312 361
>>1649208
> как выбрал стоматолога
К знакомому пошёл. Сейчас идти к 2 стоматологу.

> че делать будут
8 зубов или чёт такое.

>>1649202
> Об этом.
О чём именно? Всё сносно неплохо, но 8 кариесов.
Аноним 20/11/25 Чтв 06:25:01 1649313 362
>>1649213
Мне через год и 5 месяцев сделали имплант. Ну как, я сам не приходил. Пришёл сделать и он сказал, что кости нормально. Коронку ещё не ставили, но скоро поставят. Уже 4 месяца прошло почти, щас формирователь десны
Аноним 20/11/25 Чтв 07:18:56 1649314 363
1763612324866.jpeg 1281Кб, 3000x4000
3000x4000
Аноним 20/11/25 Чтв 07:49:03 1649316 364
1es09td.mp4 8898Кб, 720x1280, 00:00:15
720x1280
Какой расклад по стоматологии?Есть в мск( у савеловской особенно) рекомендации частных? пока пломбу поставить.
И ещё есть ли смысл под микроскопом делать там слышал сразу +10к к прайсу.
А может вообще есть смысл в государственной сделать? Может в центре какие-то супер врачи будут в госке?
Аноним 20/11/25 Чтв 07:52:33 1649317 365
>>1649213
>>cовременные пломбы все равно иногда отваливаются
а что за пломбы такие у меня видимо не современные отваливаются все нахоцй
Аноним 20/11/25 Чтв 08:17:55 1649321 366
Можно ли ставить пломбу на пломбу? Стоматолог сказал, что непременно надо удалять старую, иначе это будет ямочный ремонт. Но что если она прочно держится, просто стенка зуба выкрошилась, логично нарастить стенку, а то что держится не трогать
Аноним 20/11/25 Чтв 09:25:19 1649327 367
>>1649312
>но 8 кариесов
О, ну это еще ничего так. Я с этого лета половину пасти переделываю: 2 депульпирования, 3 перепроходки каналов в уже депульпированых, неудачная попытка спасения с удалением и вырезанием кисты, костная пластика, 1 удаление и еще нужно провести удаление, 1 штифт. Потом требуется 6 коронок и имплант, под имплант жду результатов костной пластики и буду делать параллельно коронки обговорив что там как мне по коронкам делать, будут по бокам от импланта чтобы согласовать формы.
>>1649313
Ну это хорошо. Рассказывай тоже историю какой зуб, какой имплант, че почем, как консультация и установка проходила?
>>1649317
Ну который световые, тебе ультрафиолетом светят. Они по сути дела крошка твердая + полимерные смолы связующие это все, которые отвердевают под светом этим как раз.
С отвалом смотри что по нагрузке, твердые сухари и прочие ломы грызть не рекомендуется как и создавать перепады температуры, пломбы и зуб расширяются от температуры по разному от чего и может треснуть\отвалиться соединение пломба-зуб.
Аноним 20/11/25 Чтв 12:22:24 1649340 368
Пожалуйста, дайте совет как поступить. Сразу скажу, что я долбоеб и допустил то что к середине своей жизни практически все жевательные зубы в хуевом состоянии и с пломбами и вот у меня нахуй разрушилась нижняя восьмерка со стороны щеки, её как будто разьело изнутри. Зуб болел и болел сильно, долго. В итоге сегодня боль прекратилась, вероятно потому что пульпит дошёл до того, что нерв или нервы умерли, а болело до этого нормально так, но я терпел (знаю ебанько я)
Сегодня решился на поход в бесплатную больницу где я рассчитывал на быстрое удаление (я дурачок думал, что будет просто), а мне сказали сделать снимок потому что зуб может быть сложный. По итогу просидел в очереди сделал снимок (на котором кстати два корня обычные прямые и не шибко большие правда вид только сбоку) и в смотровой кабинете мне сказали, что врач на военной медкомиссии и она придёт через несколько часов.
Я короче сдрейфил и не пошёл, хотя судя по всему у меня уже идёт к тому, что зараза вылезет за пределы зуба. Начал изучать обсуждения на тему того, а стоит ли удалять нижнюю восьмерку, если она нормально прорезавшаяся и корни не кривые. Инфы особо не нашёл, кроме того, что восьмёрка внизу якобы поддерживают угол челюсти (хз правда ли это).
Может есть смысл попробовать зачистить этот зуб и запломбировать каналы бахнуть пломбу и пусть стоит пока не развалится? Ещё я так понял с удалением беда может произойти. У меня ещё все усугубьяется тем, что на этой же стороне где эта несчастная восьмёрка считай нет шестого зуба и от него лишь корешок и после экстракшена восьмнрки семёрка будет единственным зубом, который как мне кажется может вывалить я или завалиться, а так его восьмёрка с одной стороны как бы держит.
Я в полной фрустрации. Даже в платную готов пойти, но вдруг мне там скажут удалять. И сколько у меня есть времени прежде чем инфекция и сгнившего канала перейдёт в мягкие ткани?
Аноним 20/11/25 Чтв 13:47:32 1649357 369
>>1649340
Удаляй. Без снимка только гадать но по описанию ты тотально запустил и там наверняка спасать просто нечего уже. Даже если кто-то согласится его сделать велики шансы что инфекция где-то останется и ебнет тебе его повторно через полгода-год с кистой уже под зубом (возможно уже есть). И велики шансы что после зачистки зуба от говянка останутся тонкие стенки которые при жевании просто лопнут.
С 6ку надо смотреть, если у тебя пенек от нее есть и с корнями все хорошо ставь коронку. Если все плохо то ставь имплант.
Аноним 20/11/25 Чтв 21:09:46 1649417 370
image.png 127Кб, 285x306
285x306
>>1649340
Каналы на 8ке никто не будет делать, чисто из спортивного интереса возможно ли это вообще, лол.

Единственный минус при удалении что если корни вжимались в канал где проходят нервы то может быть небольшой отходняк с онемением, поэтому я бы на твоем месте сходил сделал качественное ОПТГ (меньше 1к в платке), и по нему уже смотри, может и КТ пригодится.
Во, смотри какой у меня есть всратыш, но вроде то что канал идет поверх это хороший знак.

Ну и вообще к терапевту любому запишись, это будет либо бесплатно в качестве заманухи, либо там какие то копейки, 650 я чтоли платил в прошлый раз. Но опять же без ОПТГ там делать нехуй.
Аноним 21/11/25 Птн 00:44:37 1649454 371
>>1649327
> О, ну это еще ничего так. Я с этого лета половину пасти переделываю: 2 депульпирования, 3 перепроходки каналов в уже депульпированых, неудачная попытка спасения с удалением и вырезанием кисты, костная пластика, 1 удаление и еще нужно провести удаление, 1 штифт. Потом требуется 6 коронок и имплант, под имплант жду результатов костной пластики и буду делать параллельно коронки обговорив что там как мне по коронкам делать, будут по бокам от импланта чтобы согласовать формы.
Это скок тебе лет?
Аноним 21/11/25 Птн 00:45:03 1649455 372
>>1649316
Никто не знает. Я вообще по ДМС делал и всё норм
Аноним 21/11/25 Птн 07:51:27 1649464 373
>>1649454
28.... последствия ежедневного жранья шоколадок-конфеток-сладкого с сахарами по 2 ложки в каждой кружке и гонянием чаев-кофиев по 5-8 кружек в день. И периодами тяжелыми в жизни забиванием на гигиены хуй как и посещение стоматологов.
Исправляемся, несколько лет назад радикально сократил потребление сладкого и полностью отказался от сахара в напитках, стал лучше за всем следить но тут уже упущено.
Алсо по каналам что переделали и кистой там где-то точно, где-то очень вероятно была ошибка предыдущего стоматолога. В одном зубе пропустила она ответвление канала, в другом не до конца корня была гутаперча уложена и еще один судя по всему нарушение протокола\стерильности, у меня под пломбой выгнила гутаперча посреди зуба, хотя визуально снаружи зуб красивый и корни были до конца пройдены и запечатаны, просто мутновато на снимке выглядело решили проверить а там пиздец.
Аноним 21/11/25 Птн 08:54:29 1649470 374
>>1649464
> 28.... последствия ежедневного жранья шоколадок-конфеток-
У меня тоже самое
Аноним 22/11/25 Суб 00:10:00 1649554 375
IMG202511220008[...].jpg 19Кб, 292x309
292x309
Подскажите тёмное пятно это кариес?
Аноним 22/11/25 Суб 02:08:57 1649562 376
Привет, зубач. Вопрос немного нетипичный. Но мы ж тут по большей части тревожники с проблемами адаптации? Понимание нужно.
Короче, в кои веки разболелись зубы. Даже локализовать не получается - просто половина челюсти. ХЗ почему и что это именно такое - пусть специально обученные люди разбираются. Вот только смущает кое-что. Я ж могу по ОМС пойти просто с государственную стоматологию и сделать все, ничего не платя? Просто потому что денег тупо нету. Или там один хрен вымогать будут или сделают на отъебись, вдобавок забудут анестезию поставить?
Не надо смеяться, пожалуйста. И без вас тошно по стенам бегать вместо того, чтоб спать.
Аноним 22/11/25 Суб 02:09:48 1649563 377
>>1649554
Это даже не пятно, это углубление в эмали и дентине. Конечно, это он.
Аноним 22/11/25 Суб 08:47:32 1649572 378
Как бля наносить метрогил, чтобы он держался?
Аноним 22/11/25 Суб 09:14:57 1649576 379
>>1649572
Помазать и закрыть марлевой салфеткой. Алсо есть Асепта адгезивная мазь, охуенная вещь что клеется к десне, в зависимости от зоны может держаться до 5-8 часов.
Аноним 22/11/25 Суб 20:36:51 1649683 380
>>1649563
А пломбу в такое место реально поставить?
Аноним 23/11/25 Вск 16:13:14 1649800 381
>>1649683
Конечно, вопрос скила стоматолога и что под зубом. Если неглубокий и до пульпы не дошел, то тебе высверлят все лишнее и запломбируют. Пломба она же жидкая такая в шприце, зубик тебе протравят кислотой как почистят, намажут и слоями будут светить фонариком для отвердения пломбы пока не нарастят сколько надо объема. Отделить от соседнего зуба либо после нанесения и минимального отвердения пломбы можно прорезать ее такой пластиной-лезвием или если место-доступ есть на зуб такую юбку надевают в виде металлического зажима, который выполняет роль стенки-формирования в процессе лепки пломбы отделяя от соседнего зуба ее.
Аноним 24/11/25 Пнд 02:29:43 1649873 382
Аноним 24/11/25 Пнд 08:46:42 1649896 383
>>1649562
Мб за анастезию или снимок попросят
Аноним 24/11/25 Пнд 18:46:14 1649972 384
1763999173306.jpg 204Кб, 1440x1408
1440x1408
Аноним 25/11/25 Втр 04:21:37 1650049 385
>>1649873
>>1649972
Если ты не шиз. который от страха кидается с ножом на врачей, то наркоз то что называют тебе наркозом тебе нахуй не нужен, а стоит он овердохуя. Боли при лечении зубов при стандартной анестезии за пятихатку нет. Ну мб за 40 минут работы секунд 20 неприятных ощущений испытаешь.
Аноним 25/11/25 Втр 05:02:04 1650051 386
>>1650049
> Если ты не шиз. который от страха кидается с ножом на врачей
ну по сути дела да.

Я могу рефлекторно схватить врача, плюс у меня может начаться спазм.
Аноним 25/11/25 Втр 08:25:40 1650059 387
>>1650051
Хватай за подлокотники, а врача хватать не надо, он может от неожиданности тебе что-нибудь куда-нить во рту не туда тыкнуть.
Предупреди заранее то страшно шопиздец ссусь-боюсь памахите-успокойте ну и попроси в общих чертах рассказывать что там происходит, чтобы мозг не так сильно пугался и как бы думал, то все под контролем. Первые пару сеансов страшно будет потом начнет отпускать.
Где больно - говори сразу да и все. Я обычно или мычу или гримасы корчу очевидные меня сразу спрашивают что не так и где.
Аноним 25/11/25 Втр 22:47:39 1650190 388
Проебал 2 верхних премоляра 10 месяцев назад с одной стороны. Мне норм. Жру как жрал, ничего не замечаю. Схарчить жесткое мясо или шавуху - не вопрос вообще. Знакомый стоматолог говорит, что надо с этим чё-то делать. Импланты, хуе-мое.

Как проебались зубы: они были под коронками ~15 лет, но что-то пошло не так. Раскрошенные корни с пломбировочным материалом попали в пазуху и возникла грибковая инфекция. Делал операцию по чистке. Вычистили пазухи, часть куска корня осталась, цитирую, суб-мукозно. ЛОР сказал, если на КТ в 2026 и 2027 инфекция не вернется, то и хуй с ним.

По имплантам - очкую. Во-первых, невнятная ситуация с костями: остеопороз (уже давно и никакой витамин Д не помог). Во-вторых, невнятная ситуация с инфекцией. В третьих, дорого (наверняка синус-лифтинг нужен) - и проблема не в самой стоимости, а в шансе, что за бабки можно получить отторжения, воспаления и прочее говно.

Так вот, что делать-то? Смотрю на батю - он вставную челюсть не носит, ничего у него во рту не перекосило. Зубы как зубы.

Насколько долбоёбским решением будет отказ от имплантов? Возраст - под 40, если что.
Я просто чувствую, что лично мне это нахуй не нужно, нервы, стресс, удар по кошельку.
Аноним 25/11/25 Втр 23:36:01 1650195 389
>>1650190
А, ещё смущает вопрос гигиены полости рта. Везде пишут, раз поставил имплант = обязан вычищать так, словно экзамен на говночиста ротовой полости сдаешь. Ты уже не живешь нормальной жизнью, ты живешь ради зуба. Не имеешь право на распиздяйство, несешь полную ответственность за срок службы.

Тем временем, как я живу
> проснулся в 8:00: а зачем зубы чистить, я после еды почищу
> сел поработать, к 10:00 вспомнил про завтрак, пока жрал - еще работал
> ой блять, а зубы-то надо почистить, а хотя ладно, я еще чайку попью
> в 12:00 схрючил чаю со сладостями, подрочил, еще поработал
> время 14:00, наконец оторвал жопу от стула и пошёл чистить зубы
Ну то есть, огребу я проблем за собственные денежки с такими привычками, да?
Аноним 26/11/25 Срд 01:51:54 1650205 390
>>1631979 (OP)
Сап.
Десна то ли от того что чем-то уколол, то ли от зуба у которого одна стенка уже несколько месяцев как отколота (хотя он не прям над тем местом, а следующий в ряду) увеличилась в размере и болит. Раньше при механическом повреждении десен тоже такое бывало, но боль и лимфоузел под челюстью (тоже болезненный) в месте "укола" обычно не появлялись. Идти к обычному стоматологу куда угодно хоть в городскую или тут острое и ждать нельзя?
Аноним 26/11/25 Срд 05:39:14 1650210 391
>>1649357
Да там на самом деле только со стороны щеки зуб разрушился, но разрушился так, что оголился этот сосудисто нервный пучок. Снимок приложить не смогу, но я его когда глянул - там корни были не сильно большие и закрученые. На мое удивление, но у соседней семерки один корень какой то изогнутый и длинный был а второй коротенький, а у восьмерки просто два корешка таких толстеньких не очень длинных.
Я чёт тянул тянул в итоге пошёл удалять бесплатно, но меня сперва к стоматологу отправили она глянула, инструментом у меня там тыкнула я дернулся и она сказала, что там нерв зияет наружу. Сказала, что сохранить нельзя потому что запущено (уж не знаю искренне она это сказала или нет, может просто решила что я по омс его восстанавливать буду и сразу обозначила. Я то даже за деньги могу попробовать)
И тут самое интересное - она мне туда мяшьяк хуйнула и временной пломбой закрыла на 2 дня. Ничего не сверлила. Сказала "хирург зуб с нервом удалять не будет" Это же не делается так? Ну то есть я про такое точно не слышал. Перед удалением восьмерки нерв убивать? Я потом спустя полчаса 20 минут такой ебейшей боли испытал. Вот это веселуха была конечно.
>>1649417
Ну вот у меня похоже на твою, только вырос он прямо и семёрки не касался и корни покороче так глубоко не уходят как у тебя. Единственное сзади со всех сторон окружён слизистой и сломался сбоку прям ниже десны даже чутка. Я просто боюсь, что если вырву восьмой, а у меня шестой по сути отсутствует седьмой просто вывалится нахрен. Или он даже без опор слева справа постоит ещё пока имплант не ебну?
Аноним 26/11/25 Срд 09:19:49 1650219 392
>>1650195
Гигиена +- такая же как и с коронками, у тебя же снаружи только коронковая часть торчать будет.
Единственное что надо на профосмотрах повнимательнее смотреть на конструкциями и не забивать хуй на осмотры раз в полгода ну или хотя бы год, тогда ничего крошиться с инфекциями внезапных не вырастет (во рту патологические процессы месяцами развиваются).
Живешь ты хуево по жопе себе пошлепай. Проблем ты так ис родными зубами огребешь.
Делай проще: встал например в 8 на работу, раздуплился, к 8:30-9 там минимально по работе утренний говняк разгреб позавтракав и все, бегом зубки чистить.
Потом после еды каждой рос споласкиваешь водичкой, опционально ирригатором проходишься если есть ну или на крайняк жевачки без сахара или что-нибудь довольно твердое вроде яблочка.
Не забываешь пить достаточно воды.
Вечером часов в 10 проходишься после ужинов зубной ниточкой когда больше ничего есть не будешь и чистишь. Опционально, если ночью сидишь, просто сделай разбег между чистками в ~12 часов.
>>1650205
Отколотая стенка = рай для бактерий говняка и близко к пульпе, попадание в пульпу = инфекция-воспаление и боли. Конечно иди, идти как обычно к нормальному дохтуру по возможности.
>>1650210
Какая-то пыточная по описанию. Бесплатки это хуета если честно. Насколько я знаю нет никаких проблем удалить зуб с нервом, видимо просто им лень и не хотят возиться.
Аноним 26/11/25 Срд 10:27:59 1650223 393
>>1650219
>Вечером часов в 10 проходишься после ужинов зубной ниточкой
Это я и так делал. Кстати, подозреваю, что пиздец со старыми зубами под коронками случился из-за ниток - наверняка загнал инфекцию, бывало нить цеплялась за край коронки.
В любом случае, если скажут, что надо всякие синуслифтинги делать, то я наверное так и останусь без двух зубов.

>Проблем ты так ис родными зубами огребешь.
Я тут ходил к одним навороченным йоба-лечителям с микроскопами. Накидали мне прайс на 200к за лечение.

Потом сходил к знакомому, он на этот прайс посмотрел, потом провел осмотр и прошелся по списку в прайсе
> пиздят
> пиздят
> пиздят
Вот так-то.
Аноним 26/11/25 Срд 11:47:26 1650227 394
>>1650223
>бывало нить цеплялась за край коронки
Как вариант у тебя изначально прилегание было не очень или ты чистишь неправильно ниткой и разъебываешь десны. Надо аккуратно нитку запускать в межзубный промежуток движениями туда-сюда не пиля десну как нитка запустится в промежуток, в идеале максимум с десной легкое соприкосновение должно быть но не больше.
Попробуй еще ирригатор юзать он по идее менее травматичен и лучше вымывает всякую какаху.
>с микроскопами
Ну там ценник заметно выше по дефолту.
А вообще когда выкатывают фул прайс за лечение всей пасти это подозрительно имхо. Примерную вилку можно сказать но в основном на месте уже по итогу понятно как запилишь-пропилишь, кроме прям совсем пиздеца где однозначно например депульпирование или удаление.
Аноним 26/11/25 Срд 11:54:10 1650228 395
>>1650227
В конторке с микроскопами пугали запущенными пульпитами, хуитами, тыкая пальцем в КТ (которое я приносил с собой). Из подозрительного - прайс они выкатили, но несмотря на все эти пульпиты, которые вот-вот съедят зубы, они вскукарекнули про
>ну вы можете сразу не делать, приходите как будут деньги, по одному зубу в месяц
Так что будьте осторожны. Наеб существует. Год прошел, ни один зуб не заболел.
Аноним 26/11/25 Срд 12:43:02 1650234 396
>>1650228
Ну тут че сказать, КТ можно и самому минимально почитать посмотреть а так если есть сомнения конечно можно и в другом месте проконсультироваться.
https://habr.com/ru/companies/belayaraduga/articles/660435/
вот небольшой гайд с примерами есть
Но частично "можете все не сразу делать" это так и есть, у тебя не за 1-3 дня развивается проблема а месяцами (кроме совсем крайних стадий когда уже боли отчётливые что на стенку лезешь с гноищей-кровищей.
Аноним 26/11/25 Срд 12:49:25 1650235 397
>>1650234
Там и без гайдов было видно, что все зубы одинаково выглядят.
Там вообще идиотская ситуация была. В клинике, где изначально сделали КТ, пытались впарить лечение совершенно других зубов по сравнению с микроскопистами (им я про это ничего не сказал).

В общем, доверие к этим конторкам на нуле.
Аноним 26/11/25 Срд 12:51:35 1650236 398
>>1650235
>
>Там и без гайдов было видно, что все зубы одинаково выглядят.
Ну то есть видно, что бросающихся в глаза отчетливых косяков нет. Врач сидит и тыкает пальцем в экран, ротешник открывает со словами "пульпит", а по соседству такой же зуб видно. Словно детскую книжку про найди отличия на картинке смотришь.
Аноним 26/11/25 Срд 13:19:23 1650243 399
Не говоря уже о том что в самой КТ конторе можно запросить опись по всем зубам за 3 копейки.
Аноним 26/11/25 Срд 13:44:10 1650248 400
>>1650235
Ну, возможно.
Я со своим терапевтом когда впервые пришел она смотрит и тоже говорит там кариес тут кариес там-сям здесь пиздец здесь кирдык. Делаем чистку смотрим дальше, а вот кстати какой-то пиздец на направление на КТ. Крутил-вертел КТ она мне прям показывала где затемнения всякие под вопросом и чем это грозит. Где кариес до пульпы дошел там прям видно отчетливое потемнение-канал, под пломбами тоже видно затемнения. Ну и всякие кисты-гранулемы в корнях. Хотя это не прям 100% средство диагностики, что-то на КТ не видно будет что-то мутновато. Как например 1 пломба с отошедшим краем кариес под ней есть, на КТ он вроде виден а без визуального осмотра и нельзя сказать однозначно что там что-то есть. Или как другой зуб визуально чуть-чуть под вопросом, на КТ все хорошо а внутри вместо гуттаперчи каша-гниль уже.
Но, по итогу, из кариесов, 1 на потом оставили там ерунда, 1 когда зачищали в пульпу провалились, 1 просто глубокий обошлось и 1 дырочка. Остальное полирнули насколько полируется и дальше наблюдать, там начальный который при гигиене не разовьется дальше а пилить сейчас только портить зуб.
Аноним 26/11/25 Срд 17:17:05 1650262 401
>>1650248
Мой врач посмотрел, сказал это какая-то микро-точка и распердоливать зуб из-за нее будет только некомпетентный придурок или вредитель. Может щас у нового поколения врачевателей поменялись и взгляды и всякие протоколы (как надо и как не надо делать), но позиция лечившего зубы 30+ лет мужика была именно такой.

>>1650243
Скорее 3 тысячи. Что тоже не бесплатно.
Аноним 26/11/25 Срд 21:04:14 1650281 402
>>1650223
брух, синус-лифтинг это не так страшно, как оказалось
три дня с опухшим ебалом походишь и норм, главное рекомендации соблюдать
Аноним 26/11/25 Срд 22:05:58 1650290 403
5 лет назад поставили пломбу (это было 4-е сверление зуба по счету), пломба была глубокая. С тех пор этот зуб периодически ноет. На снимке ничего нет. К врачу ходил год назад с этой проблемой - сказал, что, мол, это пломба может на зуб давить. Если менять пломбу, то придется удалять нерв.

Удалять нерв не хочу, у меня и так один имплант и один зуб без нерва. Терплю.

Опасно ли это? Или сдаться и удалить нерв?

Или существуют ли способы убрать эту боль, не удаляя нерв?
Аноним 26/11/25 Срд 22:47:11 1650295 404
>>1650290
Нерв не удаляй.
>существуют ли способы убрать эту боль, не удаляя нерв?
Нет, в обычной медицине не существует. Там, где болит зуб, всегда есть сильное сжатие тканей. Дёсна от этого постоянного сжатия воспаляются и болят.
Аноним 26/11/25 Срд 23:11:35 1650297 405
>>1650059
> Хватай за подлокотники, а врача хватать не надо
Ты рассказываешь прям как те совковые бабки дедки.

Нет смысла так говорить.
Аноним 27/11/25 Чтв 05:04:25 1650314 406
>>1650290
>К врачу ходил год назад с этой проблемой - сказал, что, мол, это пломба может на зуб давить

Может, нужно аккуратно снять пломбу и посмотреть, что там с пульпой, сохранить пульпу шанс есть, но нужно делать все грамотно и аккуратно.

>Опасно ли это? Или сдаться и удалить нерв?

Идти к стоматологу в любом случае нужно. Затягивание ничего не даст, а вот навредить может.

>Или существуют ли способы убрать эту боль, не удаляя нерв?

Существуют, если пульпит обратимый.
Аноним 27/11/25 Чтв 10:49:53 1650328 407
>>1650059
>>1649191
>>1648740

Сегодня когда сдавал анализы на операцию по лечению зубов случился приступ. Спазм и чуть не задохнулся лол.
Аноним 27/11/25 Чтв 11:52:51 1650331 408
>>1650328
Ну, ты сильно эмоционально себя не накручивай.
Я тоже ссу вмешательств и при заборе крови какой-нибудь могу сознание потерять, но в зубах в целом как привыкнешь уже не страшно, последние приемы вообще лежишь отдыхаешь. Попроси стоматолога в общих чертах рассказывать как все идет говоря что все хорошо, предупреждать что там пошуршит тут повибрирует, сюда нажмет.
Алсо почитай еще техники тогда как с паническими атаками справляться. В последней операции, когда меня опять вырубать стало на фоне стресса и вмешательства, физических ощущений как таковых не было, хоть мне и пол челюсти распороли, так, чисто неприятно то здесь пошуршали и что-то там скребется передает звук на уши. Очень сильно помогло закрыть глаза, чтобы не видеть страшилок с кровью, и сконцентрироваться на салфетке с нашатырем как она там в руках ощущается, какая у нее текстура, какая она мягкая если помять.
Аноним 27/11/25 Чтв 12:03:34 1650332 409
>>1650331
>но в зубах в целом как привыкнешь уже не страшно

Это ты пульпит без анестезии, не лечил, лол.
Аноним 27/11/25 Чтв 12:24:29 1650334 410
image.png 81Кб, 259x194
259x194
image.png 1176Кб, 1000x671
1000x671
>>1650332
Щас все исключительно с анестезией лечат. 500-1000р на свой комфорт и отсутствие мучений потратиться не ошибка.
А так я помню еще совковые уебищные коридоры в поликлиниках с желтой полуразвалившейся плиткой, свистящими деревянными облезлыми окнами, желтыми креслами с лампами которые еле-еле светят, примитивные буры, запах жженого дентина и полнейшее отсутствие мотивации у персонала работать и лечить. Анестезии тоже не было, на живую помню мне кололи молочные зубы прям с нервами на удаление, доставая по кускам, хотя хренли тетка весом кило в 80 не могла выдрать цельно - непонятно.
Аноним 27/11/25 Чтв 12:33:45 1650337 411
>>1650334
>Щас все исключительно с анестезией лечат

Мне в детской 10 лет назад без анестезии 4 зуба с пульпитом лечили. Если ты хотя бы чуть представляешь какой это ад, то ты меня поймешь. После этого я проклинаю врачей, у которых была анастезия, но они почему-то мне ее не ввели, своих родителей, которые меня в этот ад привели, и власть, которая до этого довела, будь она вечно гореть в аду.
Аноним 27/11/25 Чтв 12:48:59 1650339 412
>>1650337
Ну, когда ты ребенок это реально проеб родителей что зажали 500р. Щас просто абсолютно везде анестезия есть, даже в бесплатках но там могут запросить доп плату за нее. А в конце 90х-начале 2000х, когда я застал руины совковой медицины, там анестезия отсутствовала в принципе, есть у тебя бабки на нее или нет неважно. Только в 2010е появилась в госках, частные в середине 2000х точно уже были хоть приходилось искать где согласятся пиздюка до 18 лет лечить т.к. все на взрослых было.
Аноним 27/11/25 Чтв 12:52:58 1650341 413
>>1650339
>Ну, когда ты ребенок это реально проеб родителей что зажали 500р.

Никто ничего не предлагал.
И да, анестезия бесплатна.
Аноним 27/11/25 Чтв 12:56:35 1650343 414
>>1650339
>Только в 2010е появилась в госках

Реально? Это как раз эти года где-то и были, может реально не было. Пиздец там вой стоял из кабинетов на всю поликлинику. Это реально живодерство.
Аноним 27/11/25 Чтв 14:07:24 1650349 415
>>1650339
Да хуета, была анестезия и в мухосранских государственных клиниках в девяностые, мне перед тем как вырвать молочный зуб обкалывали другой вопрос, что рвать молочные зубы супер нежелательно, но что делать А вот кариес лечили без анестезии, хотя мб врачиха просто спиздила ампулу.
Аноним 27/11/25 Чтв 15:26:58 1650357 416
>>1650341
Уже бесплатна? Раньше только за денежку. Я всегда настаивал на обезболе даже если "ой да там хуйня чуток подпилить вжик-вжик", пару раз мне так вжикнули уже, знаем.
>>1650343
Ну как-то так, по крайней мере в моем селении-поселении миллионом.
>>1650349
Повезло наверно. Хотя у меня поликлиника выблядская была прям апофеоз совковый 80х годов, но в другие места мать говорила пыталась меня возить там тоже ничего не было.
Аноним 27/11/25 Чтв 16:17:19 1650366 417
>>1650281
Ну тут как бы вот это:
>>1650190
>Во-первых, невнятная ситуация с костями: остеопороз (уже давно и никакой витамин Д не помог)

Импланты - и так ебка с костями, а тут еще что-то делать надо. У меня ощущение, что я хуевый кандидат на эту процедуру, ведь помимо прочего я жру горстями омепразолы-пантопразолы-рабепразолы, которые по мнению многих шакалят костную ткань. inb4 выгоняй H.Pylori - травил уже пять раз в разных клиниках у разных врачей, сохраняя историю перепробованных методов и антибиотиков. Без толку, я с этой бактерией уже ~15 лет живу.

Ладно, потом отчитаюсь (в январе) че врач скажет. Решили под новый год не начинать пока.
Аноним 27/11/25 Чтв 17:24:50 1650380 418
>>1650331
> Ну, ты сильно эмоционально себя не накручивай.
Да я и не накручивал. Просто так случилось.
Аноним 27/11/25 Чтв 23:56:53 1650412 419
1764277012804.jpg 93Кб, 2271x982
2271x982
Однажды появился скол на зубе и его починили какой-то пластинкой. Потом, лет 6 спустя треснула сама пластинка почти так же и ее поменяли на новую пластинку. Это было, когда коронки ещё были по полису.
Потом треснула она и сейчас уже несколько лет хожу вот с таким сколом. Плюс с возрастом почему-то появилась ебаная непонятная щербина, хотя семечки не лузгаю вообще и нет вредных привычек. Правда разжирел и возможно от этого зуба расходятся вшить, хз, научно ли это.

Сколько в 2025 году стоит починить подобный скол за минимум денег? На какой-то бюджет ориентироваться?
Реально ли новой пластинкой убрать и ебануть щербинку?
Это же к ортопеду?
Как искать нормальную доступную клинику в дс, чтобы не развели на всю зп?
Аноним 28/11/25 Птн 00:59:46 1650415 420
image.png 1601Кб, 1280x960
1280x960
>>1650412
Ну если не брезгуешь в устаревшем заведении оказаться, типа никаких модных микроскопов - газуй на Бабушкинскую в Евростом-1. Можешь даже не записываться, спроси когда Давид Фадеевич работает и зарули на пару минут разговора в коридоре. Мужик добряк такой, в треде пару раз упоминался - подскажет на что ориентироваться без наеба. Где лечиться сам уже разберешься, цены сейчас даже у них к сожалению подскочили - раньшебылолучше.
Аноним 28/11/25 Птн 01:03:08 1650416 421
>>1650412
>>1650415
Если что, сам там пару пломб ставил и коронку (20к за керамику что ли вышло с год назад, щас уже поди 30к+ сдерут). Про других зубодеров не знаю, не бывал.
Аноним 28/11/25 Птн 11:47:49 1650437 422
>>1650357
>Уже бесплатна? Раньше только за денежку.

Ну есть импортная, которая платная, а есть обычная бесплатная. Не могут щас зуб лечить вообще без анестезии, это точно.
Аноним 28/11/25 Птн 11:51:37 1650438 423
>>1650412
>Сколько в 2025 году стоит починить подобный скол за минимум денег? На какой-то бюджет ориентироваться?

По идее тут обычная пломба нужна (но я не спец). Недорого.
Аноним 28/11/25 Птн 12:08:18 1650439 424
>>1650437
Прогресс хоть какой-то есть значит.
>>1650412
По идее можно пломбой закрыть дефект но жуя агрессивно она отвалится через те же лет 5. Конструкции посложнее из керамики всякой подолговечнее будет ~10-15 лет но опять же если не будешь железные ломы грызть.
Вопрос цены от 5к за простую лепуху пломбы и дальше 20-50 за всякие конструкции, в москве наверно +10-20% к цене.
Аноним 28/11/25 Птн 20:59:20 1650507 425
1655237733897.jpg 101Кб, 540x570
540x570
Сколько стоит нормальная коронка на маляр с установкой итд в Москве?
Аноним 28/11/25 Птн 23:50:08 1650522 426
>>1650507
> Сколько стоит нормальная коронка на маляр с установкой итд в Москве?
10
Аноним 29/11/25 Суб 03:14:48 1650527 427
>>1637731
>>1637733
>>1637734
И в итоге сегодня 6-ка окончательно выпала. Ебать там дырень теперь, палец можно просунуть. Будем копить на вставной зуб, хули еще остается делать
Аноним 29/11/25 Суб 13:58:57 1650604 428
>>1648129
>Во рту живет множество бактерий и прочего говняка
Кислоту, разрушающую эмаль вызывает ровно один вид бактерий. Если этой бактерии во рту нету, кариеса не будет, даже если вообще не чистишь. А если она есть, то кариес будет, даже если чистишь.

Любой, кто скрывает этот факт - пиздит
Аноним 29/11/25 Суб 14:01:36 1650605 429
>>1647864
Кисты отлично лечатся, не торопись удалять. Вот только тупо перелечить канал это не лечение, а хуйня.

Нормальное лечение кисты это когда в канал закладывают кальций, если не путаю и не наебываю. Тогда там воспаление за год-два уходит.

А если просто перепломбировать нихуя не будет.
Аноним 29/11/25 Суб 17:06:47 1650631 430
>>1650507
> Сколько стоит нормальная коронка на маляр с установкой итд в Москве?

От 25
Аноним 30/11/25 Вск 11:11:27 1650734 431
orig.jpeg 137Кб, 1000x1000
1000x1000
i.jpeg 288Кб, 2013x1080
2013x1080
Не, знаю, где пасту обсуждают.
В последний раз пользовался типа пик1 (упаковку не помню, может и она была ибо трёхцветная была).
Сейчас имею пик2, что о ней скажете в плане кд чистки и борьбы с налетом? Или есть вариант получше? Просто мне мятная уже надоела, хотелось бы другой аромат. Бюджет от пары - до хотя бы 500р.
P.s. На чистку в основном забивал, но начал следить, особенно в последнее время, т.к. хожу к врачу, чтобы лечить сколотые и нелеченые зубы. Врач даже сказала, что налета гораздо меньше стало.
Аноним 30/11/25 Вск 11:15:41 1650735 432
>>1650734
P.s. Ещё забыл добавить, в детстве у меня была какая то с изображением морского дна, брендОвая какая то, аромат вроде норм был, вспомнить бы или найти что похожее...
Аноним 30/11/25 Вск 13:35:07 1650752 433
orig.webp 106Кб, 1933x540
1933x540
>>1650734
> Или есть вариант получше?
Аноним 30/11/25 Вск 13:56:42 1650755 434
>>1650735
Поморин штоле? Просто макни влажной щёткой в солонку - вот и будет тебе морское дно
Аноним 30/11/25 Вск 16:01:07 1650770 435
>>1650631
Мне 80 насчитали. Хотя зуб подготовлен уже.
Аноним 30/11/25 Вск 16:06:50 1650771 436
>>1650770
Либо ты лечишься в супер элитной клинике, либо тебя разводят.
Аноним 30/11/25 Вск 17:59:12 1650784 437
>>1650771
Я у них много чего делал уже не первый год. Просто я там наблюдаюсь у ортодонта и боюсь если поставлю коронку в другом месте, то вдруг какие-то гарантии отвалятся итд.
Аноним 01/12/25 Пнд 09:27:34 1650829 438
>>1650507
В миллионнике топ5 населения ~35 за циркониевые. Ну 45 максимум если в йоба клинике, 80к звучит как наебалово. Спроси напрямую сфигали так дорого.
>>1650605
Как мне пояснила терапевт, киста это защитная реакция организма на инфекцию. Инфекция живет где-то в пустотах зуба которые не закрыли по какой-то причине или если там дырка откуда-то нарисовалась или негерметично был закрыт. Организм источник инфекции в зубе убить не может, поэтому каналы перелечивают закрывая все что возможно убирая источник инфекции. Дальше если все хорошо и организм способный от кисту обычных размеров отпиздошит остатки сам.
Кальции всякие и прочие йоба препараты закладывают если там совсем пиздец или явное четкое воспаление. По крайней мере такая тактика лечения была в моем случае (зуб правда уже поздно было спасать по итогу). И там не кальций а какая-то паста антибактериальная, их как минимум 2 вида есть.
>>1650734
Спроси врача как вариант сам. Мне моя советовала с фтором 1450ppm не отбеливающую, в остальном говорит разницы +- нет какой бренд. Юзаю обычный колгейт. Ранье блендамед нравился но его сюда не возят уже а барыги просят неадекватный прайс.
Аноним 01/12/25 Пнд 09:51:37 1650830 439
Отличается ли по болевым ощущениям удаление живого и мертвого зуба?
Аноним 01/12/25 Пнд 12:57:27 1650849 440
>>1650830
В теории да, если драть без анестезии. С анастезией пофиг должно быть.
Аноним 02/12/25 Втр 19:48:49 1650971 441
>>1650412
у меня был скол на зубе переднем, само заросло, в тырнете пишут - невозможно, пиздят, факты говорят об обратном.
Аноним 02/12/25 Втр 19:59:44 1650972 442
>живёшь в лесу
>заболел зуб
>умираешь

>живешь в обществе
>заболел зуб
>везде очереди
>умираешь

не вижу разницы
Аноним 03/12/25 Срд 08:15:43 1651000 443
>>1650972
В городских поликлиниках с острой болью вне очередей можно. По крайней мере в стоматологической у меня так было, круглосуточно.
Аноним 03/12/25 Срд 09:50:28 1651009 444
У кого-нибудь были травмы от завышенной пломбы?
Аноним 03/12/25 Срд 20:47:43 1651040 445
Анон, что думаешь, можно было спасти?
У меня тоже очень все так себе с зубами, у стоматолога не был десятки лет и теперь боюсь идти, страх, что тоже все зубы повыдергивают. У меня всё не так плохо, как на видео, но тоже не идеально

https://youtube.com/shorts/KcdOyaQ_b4Q?si=q6QvR9L6A_tWLHaM
Аноним 03/12/25 Срд 20:52:13 1651042 446
За сколько в спб брекеты можно поставмть?
Что-то ценник в 300+ к пугает
Аноним 03/12/25 Срд 20:52:21 1651043 447
>>1651000
в этом проблема, боли нет, но визуально он болен. я записался на январь. в платных тоже очереди внезапно
Аноним 04/12/25 Чтв 07:28:20 1651069 448
>>1650829
Короче. Сходил на прием, спросил врача о пасте. Ну, она начала перечислять с какими составами она бывает, даже упомянула зубной порошок в СССР и говорит, что смысл чистки заключается в правильной щетке, нежели в пасте. Простыми словами - паста пастой, а качественная щетка это правильнее и лучше. Она права?
По ходу, мне теперь нужен совет по покупке щетки, ибо у меня простая ноунеймовская за пару рублей.
Аноним 04/12/25 Чтв 08:22:14 1651070 449
image.png 386Кб, 811x1000
811x1000
>>1651069
Интересный подход. Может она тебе больше задвигала мысль что техника чистки много важнее, чем паста? а правильность щетки нухз, такое мнение не слышал особо кроме общего средней жесткости щетина + без всяких маркетинговых выебонов-форм, прямая щетка оптимально якобы. Ну и менять их периодически каждые месяца ~3.
Я использую электрическую филипсовскую sonic care, жужжалку такую.
Аноним 04/12/25 Чтв 22:23:25 1651110 450
Анон, сколько сейчас стоит бюгельный протез? Какие ценовые диапазоны не наебалово?
Аноним 05/12/25 Птн 17:19:02 1651140 451
Клип+.mp4 6333Кб, 720x1280, 00:00:34
720x1280
>>1651069
>Она права?

Нет.

>даже упомянула зубной порошок в СССР

Что ты еще хотел услышать от тупой совковой бляди?
Аноним 05/12/25 Птн 17:27:11 1651141 452
Аноним 06/12/25 Суб 21:22:48 1651277 453
>>1651140
Наверно просто все опции упомянула. Паста конечно попиздатее порошка будет.
>>1651110
Смотрел прайсы на всякие протезирование как будто 50+ уверенно будет.
Аноним 07/12/25 Вск 04:57:50 1651300 454
235235252.jpg 10Кб, 312x344
312x344
Господа медачеры. Дернули мне 2 зуба. Дохтур сказал, что "лекарство" поставил два слоя. Внутренний слой это губка альвостаз. А вот что за второй слой, вот эти нитки? Хирург чёта говорил, что дня через 2-3 слой начнёт вылезать, вроде. Но я немного подохуевший был и не помню точно.
Аноним 07/12/25 Вск 06:09:12 1651301 455
>>1631979 (OP)
Я когда бухну у меня левая верхняя десна начинает "чесаться" хочется сжать челюсть и подвигать влево-вправо и тогда и полегче становится, что эот за хуйня?
Аноним 07/12/25 Вск 13:52:01 1651334 456
image.png 536Кб, 576x720
576x720
>>1631979 (OP)
Сегодня был у стоматолога, сказал на верхней восьмерке пульпит и она сгнила, надо удалять. Это не говоря уже о том что обычный кариес на еще примерно 10 зубах + надо делать чистку.

Сижу трясусь как сука, никогда зубы не удалял. Предложили прям на месте сегодня дернуть, я обоссался и роняя кал убежал из клиники.

Что посоветуете?
Аноним 07/12/25 Вск 14:32:41 1651340 457
>>1651334
Делай.
Чистка неприятно когда камни удаляют ультразвуковой херотой под десневые карманы залезают и чувствительные зубки поноют, в остальном пофиг. Приготовь новую зубную щетку (и меняй каждые хотя бы 6 месяцев) и еды без красителей на 2-3 дня (говорят можно после ~12 часов уже но для лучшего результата лучше 2-3 дня).

Удалять ничего страшного, тебе вколят лошадиную дозу обезбола, будешь давление ощущать только без компоненты боли (если больно - просишь подколоть).
Затем, в зависимости от зуба, возьмут такую ерунду вроде стаместки чтобы отслоить десну, возьмут щипцы, пошатают его в стороны чтобы ослабить (в этот момент будет хруст и треск в ушах громкий по кости передаваться, не пугайся) да потянут. Если зуб полностью вылез, не уебанские корни и не развалится + скил у врача - вытянут одним движением буквально за 5-10 минут.
Если корни хуевые\развалится или сложно подлезть опционально бор машинкой его распилят на куски и достанут по частям + возможно потыкают экстрактором (тоже на стамеску похожа) выковыривая остатки корней.
Затем заложат тампон сверху ватка и свободен. Дадут листочек с рекомендациями, им следуй. Обычно какие-нить ванночки хлоргексина + метрогил дентой какой мазать + антибиотик неделю + обезбол по желанию. На стороне где удалили не спать и не есть, ничего оттуда не выковыривать, не полоскать, убрать нагрузки физические ну и далее по списку дадут. Алсо обязательно спроси заложат ли тебе что в саму лунку и когда убирать, на случай, если другой врач будет осмотр делать или забудет - напомни, а то у меня так 1 раз чуть не забыли достать.

Мне 3 зуба дергали, 2 из них 8ки. Одну удаляла не очень дантистка, минут 50 мучалась и потом болела дырень долго, дня 3 встать с кровати не мог. Второй и 3й удаляла челюстно-лицевой хирург, 8ка наполовину в десне была и на боку лежала, около часа удаляла с разрезом десны и распилом зуба на 3 части и ковырялась потом с корнями полчаса. Несмотря на объем вмешательства прошло замечательно, боль была легко-умеренная первый вечер, обезбол выпил чтобы не мешала спать и после не пил даже, так хорошо было. После нового к ней пойду 3ю 8ку удалять.
Аноним 07/12/25 Вск 15:31:04 1651353 458
Сап, аноны. Вопрос немного тупой, но как есть: каковы шансы того, что под молочным зубом не будет коренного, особенно если он выпал во взрослом возрасте? У меня на днях (24 лвл), выпал клык с верхней челюсти. Выпал не просто так, он уже 2 года как крошился и гнил и в итоге вчера, когда я жевал бутер, он и выпал. До этого в позапрошлом году ходил к стоматологу на профосмотр, он сказал да молочный есть, но все ок, без надобности не трогать. Щяс он выпал и я очкую, а что если под ним нет коренного зуба? Или он есть но растет в бок? Или ещё что. Стоит ли бежать к стоматологу на консультацию (она платная), делать рентген челюсти или ещё что, или я просто зря тревожусь, анон?
Аноним 07/12/25 Вск 16:40:29 1651362 459
В чем разница между протезом и имплантом. Что стоит выбрать точно, что оверпрайс и на какие суммы ориентироваться в пердях.
Аноним 07/12/25 Вск 18:31:17 1651381 460
>>1651353
Снимок делай. Ебать тупые вопросы
Аноним 07/12/25 Вск 18:32:16 1651382 461
>>1651362
От протеза могут альвеолярные гребни меньше стать
Аноним 07/12/25 Вск 19:08:41 1651390 462
image.png 5736Кб, 2560x1920
2560x1920
>>1651334
Я этот анон. Посмотрите на мой снимок. Удалять будут зуб на котором есть подчеркивания ручкой. Как видите его корни уходят в гайморову пазуху
Значит ли это что после удаления у меня будет там дырка и гайморит?

Как предотвратить?
Аноним 07/12/25 Вск 19:20:59 1651393 463
>>1651381
Окей, анон. Попробую выцепить запись в стоматологию и там же сделать панорамный рентгеновский снимок зубов. Просто с молодости от зубных остались неприятные впечатления и щас каждый раз приходится собирать мысли в кулак чтоб заставить себя сходить на осмотр.
Аноним 07/12/25 Вск 20:06:56 1651402 464
>>1651393
Нахуй тебе панорамный, прицельный делай
Аноним 07/12/25 Вск 20:11:36 1651404 465
>>1651362
>В чем разница между протезом и имплантом

Имплант в кость вкручивают, а протез просто накладывается

>Что стоит выбрать точно

Имплант 100500%

> что оверпрайс и на какие суммы ориентироваться в пердях.

Ориентируйся не на сумму, а на конкретного врача, вне зависимости от того, где он будет находиться! Щас бы на своем здоровье экономить.
Аноним 07/12/25 Вск 22:34:22 1651423 466
>>1651353
>молочный есть
>24 года
Звучит как аномалия или ты неправильно знаешь зубы, молочные все должны смениться к 12-13 года на постоянные.
Посмотреть только снимок если ли что-то в десне, но раз такой возраст велик шанс что если и есть оно уже не отрастет.
>>1651362
Имплант это искусственный корень, что ввинчивается в кость. Сверху потом навинчивается коронка (видимая часть зуба).
Протез это разнообразные конструкции что опираются на существующие корни\другие зубы. Имплант в зависимости от бренда средне-дешевый около 60, средний в районе 90-100, йоба варианты 120-150. Протезы надо смотреть какой и для чего, закрыть косметически дырку без функции жевания - 30-40. Посложнее может стоить 50+.
Если нет зуба - лучше всего имплант ставить и желательно быстрее после потери зуба т.к. если сильно долго прождешь у тебя уйдет кость и еще попадешь на костную пластику 30к+ и месяца 4-6 дополнительного времени.
Есть еще какие-то нонейм и ру варианты до 50к но я бы не рисковал, все же слишком затратная процедура с перспективой на всю жизнь, сэкономив можешь наебаться на 10х прайс потом лечения.
>>1651390
Посоветоваться с хирургом. По идее там какая-то пленка на дне пазухи и ее если не повредить ничего страшного, если повредить надо зашивать. В общем челюстно-лицевой хирург тебе в помощь, у обычного стоматолога без практики подобных случаев я бы не удалял.
>>1651393
Ходи регулярно и лечи если надо + соблюдай гигиену, ремонтировать всю пасть куда неприятнее чем раз в полгода посидеть на осмотре и заиметь пломбу за 20 минут которая потом мозги ебать не будет лет 5-10.
>>1651404
>на конкретного врача
Тоже верно, желательно выбрать врача с большим опытом, прям в лоб задать вопрос сколько имплантаций делал, были ли неуспешные и что пошло не так. Нормальный врач не боится такие вещи рассказывать.
Аноним 08/12/25 Пнд 03:01:16 1651456 467
>>1651423
Чем тогда винтовая фиксация лучше цементовой
Ну и 60к посмотрел. К лету может быть
Аноним 08/12/25 Пнд 03:06:14 1651459 468
>>1651456
>Чем тогда винтовая фиксация лучше цементовой

Тем что цемент не забьется под десну и не начнется воспаление - переимплантит, которое может привести к отторжению импланта.
Ну и тем что при винтовой коронку можно легко открутить, снять, починить/заменить и закрутить обратно.
Аноним 08/12/25 Пнд 03:09:26 1651460 469
>>1651456
>Ну и 60к

В целом, стандартная цена для бюджетных имплантов.
Но это базово, закладывай еще возможные костные пластики и/или синус-лифтинги, а так же цифровое планирование (если будет использоваться).
Аноним 08/12/25 Пнд 03:33:07 1651466 470
>>1651459
А как в принципе возможно открутить потом, если зубы по идее вплотную стоят
Аноним 08/12/25 Пнд 03:59:38 1651468 471
c69a1b69e03bd41[...].jpg 67Кб, 880x442
880x442
fiksacija-koron[...].webp 88Кб, 2560x1609
2560x1609
>>1651466
Откручиваешь винт с помощью ключа и специальной отвертки и снимаешь.
Аноним 08/12/25 Пнд 06:04:14 1651479 472
1765163051871.jpeg 1230Кб, 3994x2088
3994x2088
1765163051998.jpeg 1635Кб, 4000x3000
4000x3000
Аноним 08/12/25 Пнд 07:28:35 1651487 473
>>1651468
Винт потайной или как
Аноним 08/12/25 Пнд 08:29:45 1651494 474
>>1651456
Насколько я знаю на цемент к импланту ничего не крепят, там винты. А ценементом коронку на остатки своего зуба.
К лету ты смотри, у тебя по времени могут за полгода успеть начать ехать зубы и уход кости если не уже. Тоже заебешься потом выпрямлять все и костные пластики делать и это неифига не дешево.
>>1651479
Нихило с тебя содрали, в 1 прием чтоль все сделали? Дорого, у меня 8к за глубокие кариесы берут, за мелочь до 5к будет.
Аноним 08/12/25 Пнд 12:31:56 1651520 475
Сколько стоит поставить брекеты с удалением двух зубов в Питере? Сколько денег нужно иметь сразу, а сколько нужно будет платить потом?
Аноним 08/12/25 Пнд 12:59:33 1651526 476
>>1651494
Да у меня как бы давно уже. Одна из шестёрок после выпадения молочного не выросла. Вот и начали двигаться, там же восьмерка на 90 градусов повернута. Позже тройка выпала, а теперь другая шестерка. Правда корень сидит
Аноним 08/12/25 Пнд 13:45:21 1651529 477
Аноним 08/12/25 Пнд 15:54:18 1651547 478
Сделал коронку на 7 зуб, обычная металокерамика, все нормально ни че не болит прошло уже 3 месяца
ну и кусаю печеньку, она разламывается пополам и краешком чиркает по зубу, в том месте где коронка к десне прилегает, и как бы задирает ее. Неделю жру нормально, потом раз и из-за ерунды задирается, ладно она не болит но явно когда то сильно задеру или в щель будет грязь забиваться
Как заусенец на пальце
Че теперь заново жрать учится?
Аноним 08/12/25 Пнд 19:40:00 1651576 479
>>1651479
Ебать, это ты сколько пломбпоставил?
Аноним 08/12/25 Пнд 19:57:03 1651579 480
>>1651576
> Ебать, это ты сколько пломбпоставил?
Да.


>>1651494
> Нихило с тебя содрали, в 1 прием чтоль все сделали?
Да.

> Дорого, у меня 8к за глубокие кариесы берут, за мелочь до 5к будет.
У меня по крайней мере несколько глубоких было плюс два вообще на тонкого на верхних клыках.
Аноним 08/12/25 Пнд 22:09:47 1651618 481
>>1651547
>Че теперь заново жрать учится?

К врачу идти.
Такого не должно быть.
Аноним 09/12/25 Втр 14:09:05 1651687 482
copyImage.webp 48Кб, 800x454
800x454
Самая жопа это удаление зуба мудрости а именно после нее восстановление. Какой же пиздец отхожу. Я уже передумал брекеты делать. Просто у меня еще веселее нужно верхнию часть челюсти сначала расширить. Таким специальной штукой месяц или два носить читал в отзывах и уточнял говорят ад самый ад. Потом еще хуячить брекеты. Ну его на хуй такое ужовольствие
Аноним 09/12/25 Втр 14:10:14 1651688 483
>>1651494
Если это дс то норм за 1 пломбу
Аноним 09/12/25 Втр 15:36:08 1651699 484
>>1651456
Невозможно нормально посадить цементом коронку на абатмент т.к. при этом выделяются излишки цемента и попадают прямо между сформированной десной и самой коронкой, отсюда зазор, раздражение мягких тканей и переимплантит в итоге.
Если лепят цементом это уже фейл, что то пошло не по плану и коронка уже не попадает как задумывалось (но и то щас если норм клиника то постараются индивидуальным абатментом вывести), крайняя мера короче чтобы походить лет 5.
Аноним 09/12/25 Втр 17:17:12 1651722 485
Что делать если у меня кривая челюсть?
Аноним 09/12/25 Втр 18:18:53 1651728 486
Как называется способ закрытия здорового скола на зубе? Ну т.е. не пломба. Акрил, или эпоксидка? Там сверлят под него дырку, или тупо закрывают скол без сверления сразу?
Аноним 09/12/25 Втр 19:29:31 1651736 487
>>1651728
Эстетическая реставрация.
Аноним 09/12/25 Втр 19:30:30 1651737 488
>>1651722
Зависит от целей и задач.
Аноним 09/12/25 Втр 19:46:30 1651740 489
>>1651737
А какие могут быть цели
Аноним 09/12/25 Втр 20:22:08 1651742 490
>>1651740
1. Оставить все как есть
2. Начать исправлять (для чего? Исправление функции, либо эстетики, либо и того, и другого)
Аноним 09/12/25 Втр 20:28:01 1651744 491
>>1651742
Ну для эстетики допустим
Аноним 09/12/25 Втр 20:32:44 1651746 492
1765301563298.jpg 231Кб, 1282x821
1282x821
1765301563305.jpg 110Кб, 1058x608
1058x608
1765301563307.jpg 778Кб, 1284x830
1284x830
1765301563321.jpg 628Кб, 1284x823
1284x823
1765301563330.jpg 167Кб, 1282x826
1282x826
Ну чё скажете в итоге?
Аноним 09/12/25 Втр 20:48:52 1651753 493
>>1651744
К челюстно-лицевому пластическому хирургу.
Аноним 09/12/25 Втр 20:49:48 1651755 494
>>1651746
Всё весьма неплохо.
Аноним 09/12/25 Втр 21:38:24 1651765 495
>>1651753
А скока это стоить будет
Аноним 09/12/25 Втр 23:20:31 1651773 496
>>1651755
> Всё весьма неплохо.
Это я тот чел кто делал за 150к зубы.
Аноним 10/12/25 Срд 20:32:31 1651898 497
>>1651479
80 тыщ в наркоз въебать, а мог бы все сделать в два раза дешевле.
Аноним 10/12/25 Срд 20:44:25 1651901 498
>>1651898
Кстати да. Хуйня какая-то.

>>1651746
Ты реально поверхностный кариес под наркозом лечил??
Аноним 10/12/25 Срд 21:12:32 1651908 499
IMG202512101947[...].jpg 2249Кб, 2976x3968
2976x3968
>>1651423
>>1651402
Крч, апдейт по выпавшему молочному зубу: это оказался не клык, а левый верхний боковой резец, причем его у меня вообще нет, там только небольшой кусок от молочки остался и все. Стоматолог посоветовал пойти к хирургу и проговорить насчёт имплантации, а я думаю это как то можно править смещением зубного ряда с помощью брекетов, без необходимости ставить имплант и сверлить челюсть? Или надо сначала оформить место под имплант через брекеты а потом уже все равно делать имплантацию? Есть ли какие либо ликбезы/гайды по имплантам, что стоит рассмотреть, а что оверпрайс за дохуя денег? Пикрелейтед прицельный снимок того места, где должен был быть зуб.
Аноним 10/12/25 Срд 21:21:59 1651909 500
>>1651908
>смещением зубного ряда с помощью брекетов, без необходимости ставить имплант и сверлить челюсть?

Как ты брекетами компенсируешь отсутствующий зуб? Это невозможно.

>Или надо сначала оформить место под имплант через брекеты а потом уже все равно делать имплантацию?

Скорее это. Сначала брекеты, потом имплант.

>что стоит рассмотреть, а что оверпрайс за дохуя денег?

Неквалифицированный врач априори оверпрайс за дохуя денег, сколько бы он не взял за свою работу.

Касаемо систем имплантов нет большой разницы. Главное, чтобы они входили в ТОП-10 рейтингов.
Аноним 10/12/25 Срд 23:48:08 1651938 501
>>1651901
> Ты реально поверхностный кариес под наркозом лечил??
Да. Я адский трясун. Вопросы? У меня панические атаки.

>>1651898
> 80 тыщ в наркоз въебать, а мог бы все сделать в два раза дешевле.
Не мог. Я даже зондом поковыряться не давал в зубах, какой там делать
Аноним 11/12/25 Чтв 02:15:38 1651940 502
>>1651908
К сожалению в тот момент когда они вошли на территорию огненного духа и разбудили ее иОни пришли в Гильдию для расследования прося нас проверить есть ли искатель приключений с мощным классом убийства Я узнала об этом только потому что помогала с расследованием Чистое совпадение Мне показалось что они и не надеялись найти какихлибо потенциальных подозреваемых Подожди почему я тебе все это рассказываю
х жизнь была практически обречена
Аноним 11/12/25 Чтв 23:16:46 1652010 503
подскажите как уменьшить рос зубного камня.А то я в рот ебал ходить на чистку каждые 3 месяца. Помогает ли с этим полоскание бальзамом? так чищу зубы регулярно плюс нить.
Аноним 12/12/25 Птн 08:36:14 1652030 504
>>1652010
Обрати внимание на жесткость воды, есть ли накипь там осадок на кружках\чайниках, она может сильно влиять. Решение - фильтра и ультимативно осмос ставить. Пищу пожестче еще можно есть и\или после еды основной съедать какую морковку\яблочко счищать остатки еды + полоскать водой.
Аноним 12/12/25 Птн 18:54:39 1652089 505
>>1652010
Изи, после обычной чистки пройдись без пасты
Аноним 13/12/25 Суб 07:25:29 1652121 506
>>1652010
> подскажите как уменьшить рос зубного камня
Чистить зубы, юзать зубную нить
Аноним 14/12/25 Вск 03:38:02 1652196 507
>>1651938
Нда, чел, я порой когда с кариесом прихожу, то без обезбола делаю ибо 15-20 минут на всё или 30 минут, так как ждать пока замерзнет
Аноним 14/12/25 Вск 19:16:53 1652285 508
>>1652196
> Нда, чел, я порой когда с кариесом прихожу, то без обезбола делаю ибо 15-20 минут на всё или 30 минут, так как ждать пока замерзнет
И? К чему мне эта информация? Я заплатил 150к и сделал зубы уснул-проснулся
Аноним 14/12/25 Вск 22:52:17 1652289 509
Мне кололи заморозку которая действует почти мгновенно, ждать не требовалось, пока там достанут шприц из пасти после укола, пока вставят бур в машинку за минуту-полторы схватывается и можно спокойно пилить.
Аноним 16/12/25 Втр 15:06:58 1652400 510
Катиться будем?
Аноним 20/12/25 Суб 22:55:54 1652744 511
Аноним 22/12/25 Пнд 01:25:16 1652844 512
>>1631979 (OP)
Аноним 31 год, все зубы свои, все 32, то есть зубы мудрости на месте. Лечил каналы на семёрке в верхней челюсти 10 лет назад. Недавно он раскололся, то есть откололась стенка запломбированного депульпированного зуба. Врач вытащила осколок, запломбировала и предложила поставить коронку. Поставил коронку на этот уже давно мёртвый зуб. Поставили коронку из цельного циркония, всё хорошо, удобно (правда пришлось один раз ходить на коррекцию, ибо было очень неудобно). Сколько продержится ещё этот зуб при условии что коронка не отклеится? Что сломается первее: корень зуба или коронка? На сколько лет примерно рассчитывать. Всё лечение зуба, то есть извлечение осколка, пломбировка, коронка, стоили мне около 35к рублей. Понимаю, что предугадать сколько продержится невозможно, но есть же статистика по эти случаям? Кстати, соседняя с коронкой шестёрка начала немного дискомфорта давать при жевании, видимо небольшое смещение пошло, надеюсь пройдёт
Аноним 04/01/26 Вск 12:14:54 1653943 513
Коллеги, У МЕНЯ ПУЛЬПИТ ЧТО ДЕЛАТЬ?
Мне сказали будут делать укол и еще нерв удалять? Как мне пережить это что в рот будут ставить укол???
Аноним 06/01/26 Втр 00:52:30 1654073 514
>>1653943
Все нормально! Укол оказывается такая хуйня даже не почувствовал, но на меня 120 кг кабана видимо было мало анестезии что была боль при первом бурении зуба. Дальше дозу увеличили (также не заметил что сделали укол) и все норм уже лежал кайфовал. Потом было неприятно когда какие-то саморезы в меня вкручивали и всё. Только 2 негативных момента и не более, друзья! Больше наверно не боюсь, всем здоровых зубов!
Настройки X
Ответить в тред X
15000
Добавить файл/ctrl-v
Стикеры X
Избранное / Топ тредов