Не курю с 28 мая мая. Бросал с помощью табекса. Из явных плюсов пропал кашель и головные боли, очень уменьшился зубной налет. Из минусов набрал жирок на пузе и временами дико хочется скурить одну сигаретку (но желание быстро довольно таки проходит)
>>2300 В дрочении хуя нет ничего плохого, если ты это делаешь раз в неделю или около того. А если у тебя уже зависимость, то от нее, в отличии от сигарет или сахара, избавиться очень легко, достаточно занять себя делом, выйти на работу, заняться спортом, найти хобби, да хоть в компьютер играть, дрочить тебя тянуть не будет, каким бы сильным либидо у тебя не было
>>2273 (OP) Вырастил куст травы, курил каждую неделю в течении года, но диплом был близок и я решил, что с усыханием мозгов надо временно прекратить, с тех пор не курю уже три года.
Никогда не пробовал ни алкоголь, ни табак. Обожаю шоколадные пирожные, тортики и прочие сладости. Единственная радость в моей жизни, ни спорт, ни хобби такого кайфа не дают.
>>2273 (OP) Перестал бухать в общем-то благодаря замене. Ни для кого не секрет, что если убрать из механизма одну шестеренку, то вряд ли можно ожидать от него стабильной работы. Так что заменил пиво вино итд на шоколадный протеин + креатин. Также снова начал делать упражнения (спустя год скипа), во время трени пью тоже вкусный напиток -аминокислоты. Раньше мог через день брать пивко, сейчас тяги как таковой нет. Мне кажется я ловко наебал организм
>>2342 Возможно и сильным не было, но у меня до сих пор бывают дни когда я могу раз 5 передернуть за несколько часов и пару дней подряд. Никаких проблем это не создаёт, ни здоровье не ухудшает, не мешает по работе, жизни, в отношениях с тян, в сексе и тд
>>2273 (OP) Ни разу не пробовал курить Напивался около 20 раз в период с 18 до 23 Остальное время йога с десяти лет Ем простую еду, которую готовят дома
>>2385 Значит тело сильное, у меня было давно замечено, что падают силы и интеллект, потому я давно живу воздержанием насколько это возможно, есть способы и надолго, но они непроверенные и пока потенциально опасные для здоровья
>>2273 (OP) Бросил курить два с половиной месяца назад после 5 лет (с перерывами) курения. Ни о чём не жалею, хоть иногда и тянет курнуть одну сигаретку, но сразу вспоминаю, что это ловушка и ничего хорошего она мне не даст. Тем временем пью пивас и жду пятницы.
>>2273 (OP) От сахара, кстати, проблематично отказаться в современном мире, ибо он почти везде. Можно пердолиться со всякими фермерскими продуктами, но удовольствие не для нищих и заебанных РАБотяг. Сам просто стараюсь его меньше потреблять, но не из-за сектантской неграмотной хуйни для пятиклассников про "тесто", а чтоб сократить питательную среду для кариозных бактерий.
>>2417 Это достигается путём отказа покупать всякие вкусняшки, вместо этого слабосладкую не ядрёную пасту там, сырок и на хлеб. Остальная еда готовится дома Пить только воду, просто потому что так прощё
Ну, на праздники можно и сосасоллу купить, как в детстве, но это уже как захочется
Меня не тянет на сладкое, но если купить, остановиться сложно Ещё как вариант замены сладостей это или сладкие фрукты, сушёные например, йогурт, фрукты вызывают быстрое насыщение сладким
>>2417 Полностью от сахара невозможно отказаться, так как его добавляют в соусы, в супы, в овощные блюда, в тесто и ещё тонна всего. Суть отказа в том чтобы перестать намерено употреблять то где его много, всякие вкусняшки, шоколадки, кокаколы и тд
>>2595 Да, но вред от сахара происходит из за большого употребления этого сахара. В обычной банке колы 0,33 сахара под 30 грамм, в то время как например в персике или моркови 2-3 грамма. То есть ты можешь съесть целых 10 персиков или выпить 1 баночку колы
>>2669 Кушай фрукты, ягоды. Они в разы вкуснее и доставляют больше удовольствия. Займись спортом, чтобы отвлекаться от стресса и мыслей ркн. На кряйняк если все так плохо, сходи к психиатру и выпиши антидепрессанты
Я лично когда отказывался от сладкого, как наркоман ебанный был, я тогда с родителями жил, попросил не оставлять на столе ничего сладкого и убирать все в полку под замок. Так вот, я пару раз всю кухню перерыл в поисках ключа от того шкафчика. Сейчас раз в несколько месяцев я могу съесть например кусок торта на день рождения, но мне это ничего не даёт, да вкусно, но не сил, не эмоций, не дополнительной энергии ничего нет
>>2713 >Займись спортом, чтобы отвлекаться от стресса и мыслей ркн Не работает. Ходил 3 года на тяжёлую атлетику, 6 дней в неделю по 3 часа, потом ещё год просто в зале для себя. Кайфа от тренировок не было никогда, только усталость. Воспринимаю всех советчиков спорта как инопланетян, ведь ну не может от физических нагрузок возникать удовольствия! А ананасы консервированные я люблю. Пробовал отказаться от сладкого, сломался через 2 недели. Действительно наркотик.Нофап держал 4 года назад 2 месяца, вчера выпало в рулетке 67 дней.
>>2273 (OP) Перестал курить по причинам: а) надоело; б) курево скатилось; в) денег жалко.
Каждая сигарета, которую в рот тащил, знаменовало мучение, во-1 - от вкусовых качеств, а во-2 от чувства того, как будь-то глотка забивается окурками, когда затягиваюсь. Курить бросил легко и просто - просто не завернул в сторону табачки, а продолжил путь далее по своим делам.
Иногда тоскую по тем временам, когда курево доставляло.
Ах да, одно время курил самокрутки. Крутил все пальцами, но тоже бросил это дело по причине того, что мне их стало тяжеловато курить + начал играть страх грязных пальцев, а когда вымою руки, то пальцы переставали быть цепкими. Брал машинку, но она набивает табак так плотно, что глаза на лоб лезут, когда делаешь затяжку.
Одно время закидывался снюсом, но здоровые десна мне милее, нежели никотиновый приход + женный никотин > не женный, потому и не перешел на парилки.
Однако считаю, что бывших курящих не бывает. От хорошей сигары я уж точно не откажусь, а трубку курить еще не доводилось. А выкурить сигаретку под алкоголь сам бог велел.
>>2764 Сейчас курю. Честно говоря, предпочитаю курить, нежели переедать от нервяков. Я таблеткошвайн с шизой, поэтому аппетит неумерный. Сейчас нравятся папиросы бристоль, самокрутки иногда делаю, думаю купить трубку. Понимаю, что это сжирает процентов 50 от моих общих трат, а то и больше, это очень вредно, но я не знаю, как иначе гасить стресс.
>>2760 > ну не может от физических нагрузок возникать удовольствия! Так речь не об удовольствиях от этого, а в избавление от стресса. Это просто помогает забыть о проблемах, выпустить лишний пар. Я когда расстался с тян с которой 7 лет встречался, мне зал очень помог забыться и не думать об этом, в на выходе ещё и дало хорошую физическую форму. В то время как шоколад тебе дает тебе удовольствие пока кусок тает во рту, а на выходе ты получаешь лишний вес, плохую кожу и отдаешь огромную котлету стоматологу
>>2273 (OP) Бухал 10 лет, а последний год по поллиитре водяры в день. Решил все прям резко. На первый день штормило, не мог уснуть. На второй перед сном таки выпил бутылку пивка, и с тех пор 3 недели не пил ничего. Сегодня нашел 0.25 с парой капель на дне, попробовал и охуел: как я эту гавнину вообще пить мог? Теперь в планах держать трезвость до Нового Года.
Сигареты увы бросить не смог, перешел пока только на Гло.
Уважаемые, не обессудьте пожалуйста. Кто-то тут на мяу сидел? Есть какие-то варианты бросить? Два года уже прошло с последнего раза, но как выпью чего-то, то пиздец непреодолимое желание размутиться.
>>3190 >Два года уже прошло с последнего раза, но как выпью чего-то, то пиздец непреодолимое желание размутиться. Сколько дерьма перепробовал, но вот от этого держался подальше. Судя по сему не зря.
>>2273 (OP) Как бросить играть в доту? Я либо играю в неё почти всё свободное время, либо удаляю на время, но через какое-то время опять хочется скачать.
>>3555 Осознать что она приносит тебе больше негатива, чем позитива. Ты не будешь поднимать свой скилл, если не будешь играть постоянно. Это буквально постоянное дрочево и анализ ошибок. Но если скилл растет ок. Хоть писькой померяться сможешь. Если ты играешь не по фану с друзьями, а в одного дрочишься в своей 3-4к помойке годами тебе это нахуй не надо. Выкатился на 4к рейтинга в 2015 году, когда еще и мои друзья играть перестали в 23 года. Постоянно играть со школьниками не интересно, без друзей не интересно, не повышать ммр не интересно. Просто все говорило о том, чтобы я съебывал нахуй, что я и сделал.
>>3624 Я играю вообще в турбо, просто время убить. Хз, почему-то мне интереснее эти одинаковые игры на одинаковых героях, чем любое другое времяпровождение. Но это пиздец и утомляет, и от всего отвлекает, мне точно лучше жить без этой игры
>>3659 Так и не живи. Я, кстати без понятия, что там за режим турбо. При мне такой хуйни не было. Прямо сейчас берешь и удаляешь доту. Это просто привычка. Как наркоман нюхает амфетамин в надежде что его вставит также четко как и в первые разы и каждый раз обламывается так и ты заходишь в доту в надежде испытать те же эмоции которые испытывал когда вкатывался. Я тебе даже пояснить могу за разницу: ты когда вкатывался тебе поебать было на победу поражение. Ты испытывал удовольствие от процесса. Потом начал изучать игру кайфуя и от этого, замечая как скилл растет и ты становишься лучше. Со временем уперся в потолок, плюс к этому стал подмечать ошибки тиммейтов, раньше в силу неопытности ты просто этого не видел. А тут этот не так сделал, тот не так. Скилл не растет к тому же. Ну и нахуй оно? Ты свои катки отыграл, как алкаш который свою цистерну спирта выпил и больше ему нельзя. Выкатывайся.
>>3684 Алсо и также как и алкашу в силу зависимости тебе первое время будет хотеться поиграть. Это нужно перетерпеть просто. Это не алкоголь или наркотики где все жестко пиздец как. Это просто игра. Со временем по аналогии с алкашами и наркоманами желание поиграть будет возникать все реже и реже пока полностью не уйдет и ты не охуеешь от того как мог вообще в это говно играть.
>>3555 Чтобы что то бросить, нужно ответить себе на вопрос, для чего ты это хочешь, после этого уже опираясь на свою причину завязывать. Пока ты не ответишь на вопрос сам себе, доту ты никогда не бросишь
А мне бухло мешало кайфовать от чтения классики и философии, - на неделю мозги цепенели и не шевелились, а это было единственным средством отвлечься от рутины и дороги на работу, да и кайфа по свежаку от чтения Чехова и Ерофеева было больше чем от бухла, - вот и завязал.
>>2273 (OP) бросить курить оказалось легко, первый месяц заменял сиги карамельками, а дальше поддерживает мысль, что сиги - это тупая ловушка и нахуй их курить, если они даже не вставляют. проблемы с травой, не могу от нее пока отказаться, хоть и почувствовал, как она усугубляет мое психическое состояние - иногда по накурке будто мысли подменяются. Но начал хотя бы дуть более осознанно: не разгонять загоны, перестал дуть сразу после работы, чтобы позаниматься хобби на-трезвую, ибо понял, что что бы ты ни делал по накурке, ты делаешь это не вполне полноценно, и не дую поздно вечером, чтобы на утро не чувствовать себя полуовощем, которому надо покурить, чтобы выровняться. Столкнулся еще с такой проблемой, что если прям ограждаешь себя от дуйки, хочется прибухнуть, что подбешивает
>>2273 (OP) отпишусь в годном тредике. 25 лвл 1. Никогда не было жесткой зависимости от алкоголя в плане запоев или пить именно с целью нажраться. Выпивал умеренно всегда, изредка, конечно, борщил, потом проклинал все на свете. Месяц назад, смотря видос с канала "записки нарколога" (или как-то так) про пиво подумал: "А может просто исключить алкоголь полностью из своей жизни?". Ну и уже больше месяца не пью, даже не тянет. 2. Курить пробовал в основном кальян, но моя астма быстро меня от этого отучила, так что не имел никогда зависимости 3. Прон. В последнее время стал себя ловить на мысли, что приходится заставлять себя смотреть прон, чтобы пофапать и сбросить пар раз в неделю-полторы. Как раз начались размолвки с проблемной тней и количество секса упало. Раньше порнуху смотреть нравилось, а теперь чет даже уныло как-то. До каких-то жестких штук никогда не скатывался - всегда максимально ванильная хуета
>>2273 (OP) всю жизнь не курю раьнше не пил и чувствваол ебя лучше теперь дубасю шмаль и чувств юсебя хуже потому что старею блеать. Пиво- моча. сегореты для лохов ганжубас тема но дорого как перетстаь дрочить ?
>>2273 (OP) всю жизнь не курю раьнше не пил и чувствваол ебя лучше теперь дубасю шмаль и чувств юсебя хуже потому что старею блеать. Пиво- моча. сегореты для лохов ганжубас тема но дорого как перетстаь дрочить ?
>>2273 (OP) Я когда хочу что-нибудь купить вредное, типо булочки, сладости или чипсов, всегда обращаю внимание кто стоит на кассе передо мной и что у него в корзине. Как правило это полуживые старухи с хлебом, молоком и какой-нибудь сладкой хуйнёй. Смотрю как она выглядит и что жрёт, сопоставляю 2 плюс 2 и сразу желание отбивает всё это покупать. Но бывают срывы. Для меня самое сложное в этом деле это найти заменяющие продукты, потому как прислушиваешься к организму что он просит, а замены выпечки нет. Хочется подобрать для себя идеальный бюджетный рацион, чтобы повысить здоровье и уменьшить негативный фактор. К примеру сахар заменить на мёд, идея хорошая, но есть важная отличительная особенность: сахар мы едим в каком-нибудь сопутствующем продукте, например заварная трубочка, булка, йогурт и подобное, а мёд ложкой со стаканом воды, чая или просто так. В примере с сахаром калораж намного выше, чем чайная ложка мёда с чаем. Удовольствия от такого сахара выше, калорий больше. Если выбираем мёд, тогда чтобы набрать те же калории, которые организм просит в примере с сахаром, нужно дополнительно что-нибудь приготовить и съесть не сладкое, гречку с курой, картоху скажем, а потом добивать мёдом, тогда это является альтернативой сахара. То есть булочка с сахаром заменяет готовку альтернативной пищи + мёда. Ну я не видел, чтобы кто-нибудь довольствовался больше ложкой мёда, чем как вафельками или колой.
>>2273 (OP) Бросил курить дудку после 5летней ежедневной долбежки. Стало больше энергии, улучшилась концентрация и память. О, и кашлять перестал. 7 месяцев не курю маривану, брат жив. Еще бы алкашку бросить, но хз, как снимать напряжение, я ебнусь в четырех стенах сутками.
Мимо скуф 32лвл, сыч, удаленщик, тян, как вы уже догадались нет и не предвидится. Есть пара знакомых по интересам, кек
> Еще бы алкашку бросить, но хз, как снимать напряжение, я ебнусь в четырех стенах сутками.
Если есть напряжение, то могу посоветовать сходить к психиатру, он тебе пропишет курс антидепрессантов - жить станет заебись. "Побочный" эффект - бухать не тянет, просто понимаешь, что а зачем) Сам сижу на тразодоне, охуенно.
>>13753 >курс антидепрессантов Это дерьмо как раз и нарушает микрофлору и гормоны, от которых зависит твоё самочувствие, и таким образом бигфарма просто сажает тебя на вечную зависимость от таблеток. Вместо этого достаточно употреблять продукты с пробиотиками, витаминами B1 и вырабатывать витамин D от недолгих прогулок на солнце. https://youtu.be/2R7tqeQJFBU https://youtu.be/sA2GhZITTxA
Ребят, есть тут кто, балующийся или баловавшийся мифом? Как слезть? Как восстановиться после этого порошка (витамины там какие-то пить и т.п.)? Уже месяц с лишком чистый, но желание время от времени возникает+ навязчивые мысли, хотя теперь уже и слабые, нежели в начале
>>13805 >Вместо этого достаточно употреблять продукты с пробиотиками, витаминами B1 и вырабатывать витамин D от недолгих прогулок на солнце. Ты хуйню несёшь.
>>13816 >Как слезть? Сила воли и понимание того что тебе это дает или отнимает. Скажу так - отказ от этой безусловно вредной привычке даёт тебе больше независимости, более менее стабильную психику, более ровный эмоциональный фон, здоровые рецепторы и как следствие умение получать удовольствие будучи трезвым в конце концов более менее здоровый организм. >Как восстановиться после этого порошка (витамины там какие-то пить и т.п.)? Точно так же, как после алкоголя или чего угодно. Есть базовый список витаминов, которые желательно пить, особенно если имеешь ограниченный питательный рацион. Загугли витамины для поддержания здоровья >Уже месяц с лишком чистый, но желание время от времени возникает+ навязчивые мысли, хотя теперь уже и слабые Как возникает, так и пропадает, верно? А чтоб хотелось меньше - посмотри на знакомых, которые жрут эту гадость, именно присмотрись. Данный недуг проявляет в людях беспринципность, и заставляет проявлять плохие человеческие качества. Слышал истории, как люди воровали деньги у своих же друзей, причем никогда бы не подумал, что они способны на такое. Кидают, сдают и предают своих же друзей. Ладно, если в себе уверен, но тебе хочется общаться с такими? Хотя, они и сами перестанут или уже перестали с тобой общаться, ты вышел из порочного круга, и на этом ваши пути разошлись. Тебя будут зазывать обратно, ненавящиво. Не поддавайся на это.
>>13816 Тяга поёбывать с разной силой будет долго, хотя от стажа сильно зависит. А так - поливитамимны, гепатопротекторы, больше овощей и фруктов. Тормознуть не тяжело, трудно не вернутся к этому: через какое-то время скорее всего слуится так, что втоя голова начнёт сама себя разводить - мол давно не ебашил, один раз не пидорас итд. Гони от себя эти мыли нахуй, на корню прям руби, научись в такие моменты думать в другую сторону. Чем дольше будешь чистый - тем легче будет.
Алсо, по теме треда - торчал 12 лет, сначала быстрое, потом медленное, дудку с синькой я даже не считаю. В ремиссии 6 лет уже, когда совсем худо - могу бухнуть крепко, но это буквально 2-3 раза в год. А сейчас чего-то депресняк накатил последний месяц наверное, хотя антидепрессант чуть ли не с весны пью Анафранил, мож толер уже к нему, хуй знает.
>>18710 Сильно тяготит тебя жизнь без наркоты? Есть ли такое, что фоном сохраняется желание упороться, с которым приходится бороться? Как слезал - исключительно сам или какие-то группы/рехаб помогли? Ощущал ли ты свою жизнь неполноценной без наркоты и если да, то как долго? Сам торч, если что, но не такой жесткий.
>>13816 Если ты по вене баловался то тебе ничего уже не поможет поверь мне. А если по ноздре, то это детская шалость. Обязательно и резко нужно избавиться от окружения наркоманского в идеале послать их нахуй поругаться с ними. Далее просто не покупать это дерьмо и твои желания употребить будут все реже и слабее. Тут писали что срыв формируется за несколько дней, потому желание нужно душить в зачатке и сразу отвлекаться на что-то другое, да даже двача достаточно что бы отвлечься
>>18827 Да, тяготит, но с годами всё меньше, в целом - приемлемо. Желание упороться есть, но уже где-то на краю сознания там, а может я просто привык к нему и значения не предаю особо. Не буду пиздеть что я такой прям волевой и молодец, тут просто стечение обстоятельств наверное: я в дурке почти год лежал, хотели дееспособности лишить, но в Серпах не лишили и вообще диагноз сняли. Задолго до этого понимал что такая жизнь заебала в край, там были варианты мутить конечно, но я накуриваться предпочитал да всякие циклодолы с феназепамами жрать. Пока лежал - на район завезли фентанил, как мы тогда называли - китаец, короче к тому времени как я вышел весь мой круг общения помер от "сердечной недостаточности". Времени моего не употребления прилично уже прошло, я конечно поставился несколько раз, но вот как-то дальше не влез на систему и тормознул вообще. В больнице много времени и подумать было, да и из привычного круга общения выскочил, думаю что это всё очень помогло. Жизнь неполноценной ощущаю пиздец, но мне кажется это потому, что себя я в жизни после торча не нашёл, почему-то казалось что не торчать - достаточное условие для того что бы всё само собой наладилось. Кстати очень много людей видел, которым помогали группы АН, но лично мне не вкатило.
Естественный натуральный сахар и рафинированный сахар - это не одно и то же. Натуральный сахар в связке с другими молекулами и усваивается благоприятнее. Гуглите быстрые и медленные углеводы, поли- и моносахариды. Если вам кажется, что сладкое - единственная ваша радость, то открою вам правду: вам так кажется как раз потому, что вы едите сладкое. Сладкое вызывает удовольствие. Искусственная чрезмерная стимуляция центра удовольствия приводит к понижению его возбуждаемости. И для получения удовольствия вам нужны сильные стимулы. Сладкое таким и является. Перестаньте его сесть, перетерпите месяц хондру, и вы охуеете от того, что начнёте получать удовольствие от света солнца или вида неба или просто от факта существования.
>>19784 Посмотрел. Что дальше? 1. Я не говорил про дофаминовый детокс и не разделяю эту концепцию. Чисто биологичское обоснование - хуита. Но рецепторы есть рецепторы. Даже чел в видео говорит об этом. 2. Чел проецирует, говоря, что три дня покайфуете и дальше вернётесь к изначальному состоянию. Это просто не так. Индивидуальная хуйня. 3. Чел в видео говорит, что "вы всё равно будете прожигать свою жизнь" - апеллирует к культу продуктивности у современных коучей и лайфстайл-гуру. На это надо забить хуй, потому что "пржигание жизни" какая-то хуйня относительная. Суть возвращения системы поощрения в нормальное состояние в том, что ты будешь получать удовольствие просто по факту существования без нужды в стимуляции. Стабильное хорошее настроение vs хорошее настроение, скатывающееся в говно, если ты не ёбнул сахара/сигаретки/тиктокчика. 4. Чел в видео говорит, что заменял тик-ток и прочую хуиту на что-то "продуктивное", и что по итогу деревья его не стали интересовать - тоже говно. Ничего ни на что не надо заменять. Просто хуй забиваешь и возвращаешься в норму. Если будешь заменять - ты шило на мыло меняешь. 5. Чувствительность любого рецептора в организме снижается от чрезмерной стимуляции. Что нос со временем перестаёт чувствовать постоянный навязчивый запах, что язык становится менее чувствителен от постоянной стимуляции специями, что сетчатка глаза "засвечивается", если смотреть на что-то яркое долго. Да даже на коже появляется мозоль от частого трения. В сфере удовольствий это работает точно так же. Чаще стимулируешь своё удовольствие вручную - менее чувствителен становишься к нему в целом. Не веришь - ешь сладкое и живи с мыслью, что "мням пук как всё вокруг хуёво и вот пончичек и шоколадочка только спасают". Проверишь на практике, отвыкнешь от такого мышления, подкрепляемого сахаром, и поймёшь, что "хуёво" - лишь способ интерпретации. Если не поймёшь, то лечи депрессию.
А у меня проблема с алкоголем, три года как съехал от родни и плотно подсел на пиво, хотя когда жил с ними тоже периодически набухивался. Последний год так вообще каждый день после работы выпиваю минимум 1,5-2л, бывают ещё бегу за добавкой в хачмаркет ночью если не могу уснуть. Пробовал тормозится, но трезвым не игры, ни кинул ни дрочка так не заходят, тупо не тот эффект. Летом вообще выпал из реальности на неделю, проебал голную работу, попросили по собственному. Потом перебивался всякой хуетой, подработками. С осени вкатился на завод. Сильный физический заеб и атмосфера уныния вгоняют меня иногда в такую тоску, что слезы наворачиваются и я иду за бухлом, снова и снова. Постепенно осознаю что это не есть хорошо, но никаких активных действий пока не принял. Дайте совет что-ли.
>>19822 Я согласен. Это кстати не только к сладкому относится, но и к порно, и к алкахе, и к новостям, и к играм. Всего должно быть в меру.
>>20015 Крайне херовая ситуация, что сказать. Похоже на алкоголизм. Сам никогда не сталкивался, так что даже не знаю, что посоветовать. Надеюсь, аноны подскажут.
>>2273 (OP) По моему опыту, все посещающие собрания АН адски смолят и чифирят. Это вопрос к сравнению зависимостей.
Десять лет на амфетаминовой игле, спрыгнул, походив пару месяцев на собрания. Для меня-сыча там было столько страшного услышано, что стало понятно просто и быстро - зависимость от амфа\мета это не самое жестокое, что бывает с мужичком.
Соль, мипидрон меня обошли стороной, поскольку шизофреник и могу испытывать непреодолимое чувство гадливости к чему-то.
Скучаю по собранности и концентрации, которую давало мне говно. Удлинняю аттеншн спэн долгими скучными занятиями, чтение, ходьба, общение с трезвыми по жизни (чудовищная скука).
Пивас и дудос так до сих пор и остались в моей жизни, но ни фанатизма, ни постоянной жажды нет. Разве что когда длительные бессонницы (симптом f20.0).
Всем кто ДЕРЖИТСЯ - ДЕРЖИТЕСЬ! Привычки в среднем наматываются и исчезают за месяц. Про опята не могу сказать, боялся и избегал всю жизнь.
>Про опята не могу сказать А я вот скажу. Жизнь уже давно превратилась в какой-то театр абсурда и вечного обмана, были перерывы в год, но бестолку. Проблема главная в том, что в жизни не мешает(или я так думаю?) Зато когда пытаешься со всего слезать, мотивации жить, не то чтобы работать нет вообще, ибо осознаешь, что неужели все вокруг так дерьмово? Вроде эту данность принимаешь, хорошо руки и ноги есть, у кого то нет и их, но паршиво в целом становится. Да, скорее всего депрес и нужно не год, а больше, но как сцуко. Развод меня добил в последнее время. Но понимаю, что правильно все сделал, от жены удавалось скрывать, пришлось сказать, что другую полюбил. Не хочу больше ей врать и признаваться стыдно.
всем привет, , (не)зависимый, трезвый 5 сутки рекорд -- год и три месяца. в употреблении так или иначе с 14 лет. интеллект на месте, однако пользоваться им стало труднее, т.к. концентрация уровня СДВГ. что грустно, мне кажется карма такая, что пока я не откажусь от «вредных привычек» я не смогу обрести счастье с другим человеком. а он есть прямо сейчас. но вне доступа.
так занимаюсь музыкой, зачекайте, навалите просмотров и лукасов
>>20560 Снилось мне недавно, приятель, будто ставлюсь герасимусом. Это очень странно и необчно, по сравнению со снами про ширку фёдором. Боялся и избегал - не значит, что не пробовал, было дело на том старом сайте из чистого любопытства сыграл в рулетку на мёд, а годом позже на гречку как раз.
От мёда я чуть не помер, причем несколько раз. Это было откровение, что полграмма каких-то кристаллов могут стереть разом десяток жизней. Прикола не ощутил, кроме реальной возможности отрезать себе конечность и ничего не почувствовать. Два ребра тогда сломал.
А вот герасим мне зашел больше, тоже выиграл половинку и хватило на 6-7 приколюх. Но я всё равно ничего не понял. Понял, что спать классно, что тепло, в то время когда холодно.
Так какого дьявола оно снится? Это и вопрос и ответ. Наверное есть в оаятах нечто демоническое, хотя кот бы говорил.
Знаю ребят с перерывами по три-пять лет с этим делом. Свято верят в АН, посещают так много, как только могут. Говорят, только это и спасает.
Мне трудно сказать, я не фанат АН и любой промывки мозгов, хоть и посещал много. Попробуй, сократи сектанстское влияние, не верь в очевидную чушь, может и тебе зайдет.
>>2760 Может разумеется. Вот я погонял на коньках, это очень кайфово и во время и после. А когда на веле вкачусь немного в форму, и еду в хорошем настроении работая на средне-высоком пульсе, то не проезжаю метры и километры а словно поглощаю их в себя лол, возникает азарт, хочется их жрать больше и быстрее словно машина оптимизированная и настроеная на гармоничную работу систем, и это кайфово. А после работы с железом кайф на следующий день когда немножко ноют мышцы.
Кто подскажет, как лучше всего отказаться от сахара? Будучи макакичем, привык за кудахтером что-то есть чисто на фоне, никак не могу отучить себя что-то есть на фоне.
>>2355 Мои первые кусты тоже были с перерывами в несколько лет, потом я почувствовал власть, силу и уверенность и улетел на 3 года в каждодневный укур, потеряв все полимеры, гормоналку и психо-эмоциональное состояние.
>>21407 Перестань покупать и нести в дом всё что можно точить перед кудахтером. Если будет накатывать желание закинуть в себя какую-нибудь сладкую вкусняшку - вставай со стула и начинай отжиматься, пока оно не пропадёт.
>>13805 Антидепрессы существуют в разной конформации и имеют свои строгие показания, лучше действительно найти тру психиатра, желательно из знакомых. Он может подсказать чего по случаю, что бы хуйней не страдать. АД просто так тру псих не выпишет.
>>2273 (OP) Я не курю и не долблюсь, так что для меня актуален только алкоголь и сахар. Как бы это не выглядело смешно, но сахар вызывает зависимость еще посильнее чем алкоголь. Я никогда не считал себя сладкоежкой, но этой осенью решил ограничить сахар и не пить, так вот схавать какую-нибудь вкусняшку под чаек хочется гораздо сильнее чем бахнуть пивка после работы. Я конечно не в совсем убрал сахар, просто перестал жрать шоколад, конфеты и прочее. Если пил чай или кофе, то максимум с одной ложкой сахара. Это было непросто, ибо за всю жизнь уже привык, что если наливается чай, значит под него обязательно нужно еще ништяков навалить. Всё это продолжалось около полутора месяцев, никаких особых изменений в себе не заметил, сейчас опять вернулся к старому режиму.
Да, ради прикола продержался недрочабрь, но т.к. у меня есть жена это не совсем зачет. С другой стороны, это самый большой период воздержания от теребления пиструна в моей жизни с начала активного фапа еще в шкиле. Прон я все равно смотрел, если честно прям сильного желания пофапать не было, напряжение сбрасывалось с женой. Определенный плюс - секса стало точно больше, я хз это может совпало так, но и жена сама чуть ли не каждый вечер лезла, ну и я сам не прочь был по понятным причинам.
>>22685 Дело в том что их можно выписать почти каждому инидивидуму в связи с теми или иными симптомами. У нас более половины насаления страдает тревожкой и депрессией. Другое дело целесообразность, но тут уже на всё воля доктора. Одни придерживаются терапии без лекарств, другие наоборот в основу ставят курс, а сама терапия больше как корректировка. Оба подхода имеют место быть.
Всем салам, всем кто хочет бросить меф советую собраться и просто сьебаться в деревню оборвать общение со всеми солёными и просто жить без этой хуйни, сам нюхачом был месяцев 6. У меня вопрос как бросить хапку? я курю года 2 на постояннке. Сейчас думаю соскочить, но иногда так и манит природа, я пью молочище почти каждый день
>>2273 (OP) Уже писал свои говномемуары в олдаче, еще раз напишу хуле.
Начал свою нетрезвую жизнь в 13 лвл. Попробовали с пациками джин-тоник в банке и мгновенно влюбились в алкаху. Регулярно брали эти коктейли, но вскоре перешли на водку из экономии - денег было в обрез, да и продавали нам, пездюкам, далеко не всегда. В других компашках пили пивас, цыганский самогон и даже разбавленный техспирт. Но нас это обошло стороной. Мы как-то очень сознательно к этому делу подходили, почти церемониально. Любили кино и песни про алкашей и пьянчужную романтику - себя тоже приравнивали к этой "взрослой культуре".
Лет в 15 в компашке появилась дудка. Но я внезапно угорел по патриотизму, национализму и докатился до зигометательства в итоге. Резко критиковал любой нетрезвый движ, особенно по ганджубасу. Как нетрудно догадаться, был вскоре непонят и покинут друзяшками. Потом переехал в большой город на учебку, сильно страдал провинциальскими комплексами. Пытался вылезти на учебке и спортике, связался с отбитыми скинами и офниками. Благодаря им разочаровался сначала в правой движухе, а потом и вообще в политике.
Начал ходить на вписки бухать и дуть литерали каждый вечер, на дворе царил 2007й - появились спайсы и дешевые говноспиды, а уж алкаха рекой сочилась из каждой подворотни. Частенько приходилось выбирать между разными вписками на один вечер. К концу учебы начал хипстовать и сбавил обороты - пил разливное пиво и вино дома, но все равно ежедневно. Прямо помню отвращение и неловкость, вызванную состоянием трезвости - как будто зубы не почистил с утра.
Следующий этап - переход на аптечное ковбойство, тогда еще продавали глику и туссик. Начал работать, появилось лишнее бабло. Стал заказывать препараты коробками из-за границы, а там и даркнет подоспел. За 2013-2014 перепробавал весь ассортимент с силка. Проторчал 8 битков тогда)) Под кислым скроллил двощи, смотрел ютюбчик, няшил тяночку. Потом подсел на быстрые, попал в плохую компанию и чуть не приземлился.
Бежал в другой город, жил без паспорта в сквотах. Работал на стройках, но все деньги спускал на гаш, медленноту и алкаху - еду воровал в магазинах. Пару раз кидал на деньги друзей и сливался в другой город. В какой-то момент все наладилось: новая тяночка-зумерша, стабильная работка, хорошая съемная хата. Научился гровить бошки и разорвал все связи с барыгой. Но, оказалось - это было затишье перед бурей. Майор взял за жопу моего старого кореша и он меня слил без задней мысли. Меня долго искали и таки нашли на этой стабильной хате среди увесистых зарослей амнежии.
Джва месяца таскали по изоляторам, родителей включили в дело. Они много платили юристам и следакам, так что я отделался легким испугом. Но с тяночкой и светской жизнью пришлось распрощаться - вернулся в мухосрань под мамкино крылышко, которая меня и ребенком-то не особенно любила, а теперь и вовсе жрала поедом. Через год я попытался вырваться в ДС, но не получилось. Выбирая между возвращением к мамаше и РКН я выбрал второе. Очухался в дурдосе, через месяц выпустили. Еще полгода лечился АДами, нашел работу и съехал на хату, но разжирел как профура и одичал. Несколько лет общался только с двачем, а потом еще и ковид нагрянул.
На волне всеобщей апатии и не без помощи вылезатор-тредов я поверил в себя и дропнул вообще все кроме кофе. Сел на зож-питание и бады, записался в кочалку и заимел активное хобби. Но люди все равно шарахались от моей ебнутой наружности. Год спустя мое терпение лопнуло - заебало насиловать себя и превозмогать каждый день, когда все равно нихуя не меняется.
Начал пить пивасик после работы, по выхам накатывать винчика или вискаря, но без фанатизма. Брал только импортное поило под хорошую закуску. Выпившим смотрел контент, иногда звонил старым друзьям, иногда рыдал в одиночестве от тоски. На улицу и в заведения не ходил, т.к. на публике начинал ебашить бесконтрольно. Последний раз был на вписке с сосачерами из /soc/ но даже они меня отвергли из-за моей кринжовости космической.
Ну и все, так и живем. Виляю между здоровыми и вредными привычками, без крайностей. Никому ничего не советую и стараюсь ни о чем не жалеть. Работаю, отдыхаю, книжки читаю, подкастоту слушаю, салоразвиваюсь через /mov/. Скуфею, но могу еще на пробежку выйти или на велике ебу дать. Живу с удовольствием, по большей части. Много нового открываю, на что раньше даже бы смотреть не стал и это самое охуенное, как по мне.
>>2273 (OP) >помогаем другим наркоманам отказаться от вредных привычек >сахар
Согласен. Гребаная жратва, сахар и углеводы как наркотик, не оторваться. Через месяц 30, выгляжу как говно 140 на 140. Хочу ворваться в мир размеренного питания, но меня пугают меню в интернете в стиле "фрикассе, изготовленный из заколотого в первый триместр новолуния в созвездии тельца рябчика". В связи с чем я в ступоре, когда думаю о том как разработать простое меню с возможностью комбинации блюд. Хотя бы на неделю, а в идеале на месяц. И чтобы это было доступно.
Не знаю туда ли я зашел со своими мыслями, есть ли тут трендж похудения или создать его чтобы вместе улучшить ситуацию. Не ради кого-то, а прежде всего ради себя. А то один в поле не воин явно.
>>25780 Просто не жрать булки (пшеничная мука по индексу инсулиновому выше белого сахара) и сахар для начала, фрукты оставить, чтобы не охуеть, пастилу там. От одного этого только похудеешь. На каши тоже особо не налегать, белый рис, макарошки, картошка, весь этот гарнир урезать в два раза. Я хлеб ем только с бутербродным салом (так сало есть нет зубов), яички, особоенно вареные 3-4 минуты, чтоб желток был жидковат. Но это так, низкоуглеводгая диета, по экстриму если ушарнуть пробуй кетодиеты. Углеводы жратва для нищих рабов, настоящий мужик ест жирное мясо, а не булочки, поэтому у него энергия берется из жиров, а не из углей. А когда энергия из углей добывается, хочется постоянно жрать из-за выработки инсулига, хочется все время спать, жыр откладывается тупо на ляжках и не работает. У каждого первого преддиабет из-за углеводной химической жрачки.
>>25792 Все осложняется тем что у меня преддиабет перешёл в диабет (спасибо короне, но не суть). Так что даже фрукты не все можно теперь. Спасибо за совет.
Ох мужики, как же тяжело, сейчас пошёл 3 год без алкоголя, а вот никотин никак бросить не могу, периодически бросаю на пару месяцев (последний раз осенью не употреблял никотин 2 месяца), и вот зимой я снова купил себе под, попарил его месяц и понял, что дальше так продолжаться не может (солевой никотин это полная жопа), сейчас идёт 3 день без никотина, уже чуть чуть полегче, жру все подряд
Крупы, мясо, печень, яйца, творог, сметана, овощи, фрукты, пара кусков бородинского в день, масло. Можно готовить супы, рагу, каши, мясные блюда, паштеты, салаты и т.д.
Очень сильно облегчают приготовление еды мультиварки и блендеры, которые сейчас стоят копейки.
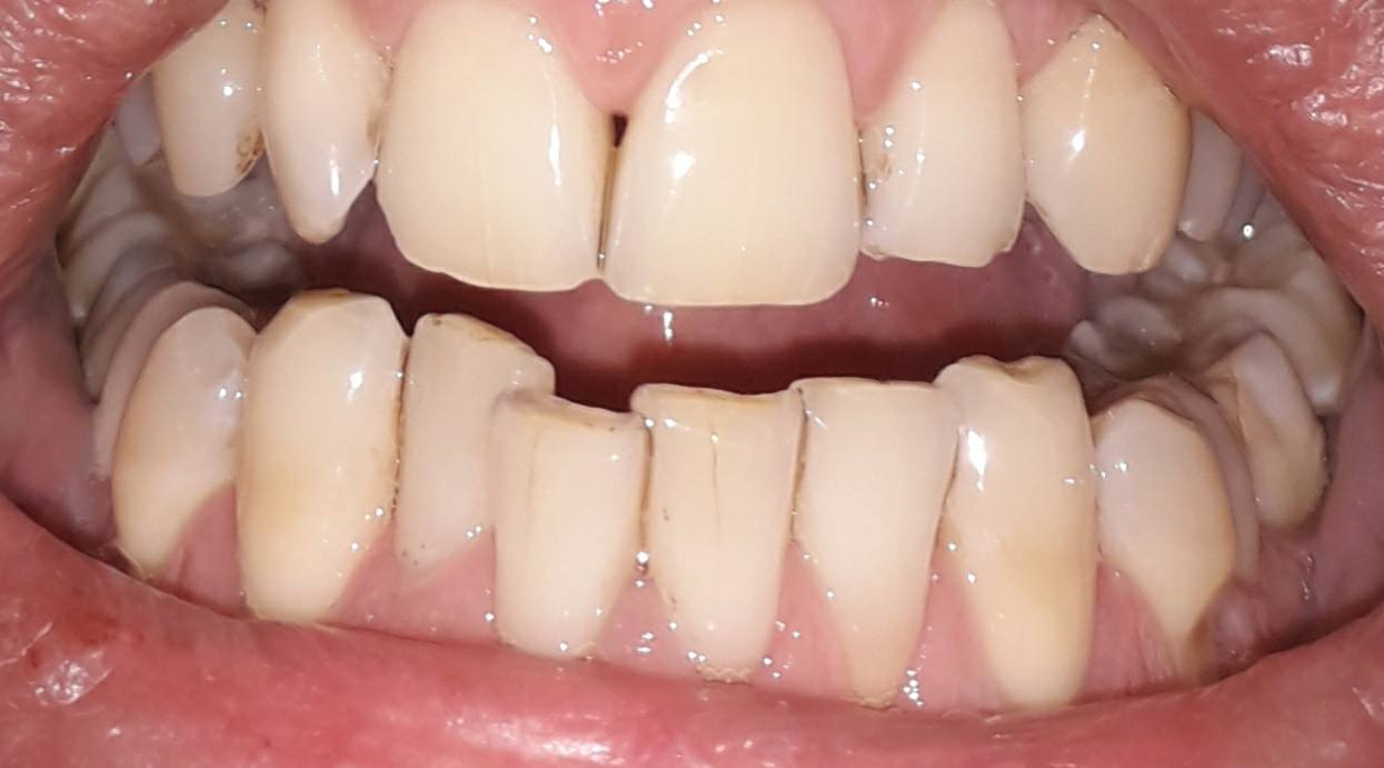
Завтра в пвз озона придет ирригатор полости рта, а послезавтра - ультразвуковой скалер и тайская полировочная паста.
Решил наконец-то заняться зубами в свои 33, а то у зубного был лет 5 назад. Сейчас к ним в нашем городке сложно записаться, мешают постоянные очереди и переносы. Лет 5 назад чистка зубов стоила 3 тысячи рублей, сколько сейчас - даже не знаю.
Счищу камень и черный налет от кофе, чая и сигарет, заполирую и отбелю зубы, теперь будет стимул бросить курить. Пробовал в очередной раз сделать это месяца 4 назад, хватило меня ровно на месяц.
Совсем не ем сладкого около года, не пью алкоголь 8 месяцев. Привычка дымить оказалась для меня самой сильной.
>>21407 Хочешь есть - заставляй себя встать из-за рабочего стола и пересесть за стол обеденный, чтобы поесть полноценно. Так и отвыкай есть за компом и перекусывать.
>>26063 Именно к частным и знакомым всегда и обращался. Всё забито с начала декабря и до начала февраля. В муниципальной - тоже, ибо трудятся там те же зуболомы. Попробую самостоятельно, начав с самого мягкого режима. Судя по отзывам, с этим справляются даже какие-то забулдыги.
>>26072 Сам себе доктор. Пару раз удалил себе зубы мудрости, думав, что это - кисты. Через пару месяцев пошел к знакомому зуботологу, и тот мне поведал, что именно я сделал, сказав, что для такой операции в домашних условиях - очень даже неплохой уровень. В шутку позвал меня работать к ним, хехех.
Купил себе фул издание Таркова за 3,5к, жена сказала ок но не бухать весь январь, пока полёт нормальный. До этого пил день через день. Главное мотивация)
Ирригатор, как я и предполагал, оказался в принципе бесполезной ерундой, если просто регулярно чистить зубы. При постоянной чистке ему просто нечего выполаскивать и удалять остатки еды между зубами и из-под десен, с этим лучше справляется зубочистка. Заказывал самый дешевый, поэтому кому-нибудь подарю, продам или выброшу.
Скалер приятно удивил. Жаль, что пришлось долго понимать то, как им лучше чистить, ибо в ютубе и в инструкции - какая-то ерунда, не приносящая результата. Зато, после того, как разобрался, минут за 20 почистил до такого состояния, как на фото.
Паста - ничего такая, хорошо освежает, замечательно пенится, а главное - ее нужно настолько мало, что банки должно хватить на пару лет, хехех. Моментальный эффект, конечно, не наступил, но в отзывах и в интеренете пишут, что по-немногу ее действие станет заметным уже через неделю-две.
>>26171 Зубочистка хуйня, надо зубной ниткой чистить, зубочистки стоматолтги не уважают. Я хожу раз в год на чистку к стоматологу, 4800 было до нг в питере. Дохуя лет зубами не занимался, чистил обычной щеткой абы как, курил, десны были мягкие, плюс скученность зубов ахуевшая. Стал ниткой пользоваться, электрощетку купил с насадками мягкими, паста китайская радонта уже есть в вб, перевели этикетку на русский язык, вечерняя и утренняя есть, заебись всë чистится, чищу раз в два дня где-то, как чувствую, что налет какой-то на зубах ебовый, а два раза в день чистить считаю, что хуйня, просто так в рекламе говорят, чтоб производитеди паст богатели (типа как по две подушки жвачки жевать). Стоматологичка сказала, что молодца, не верила в меня, думала у меня все зубы отвалятся.
>>27044 Если ты зависим от информации - придется искать какой-то аналог, а его не существует.
Вкатывайся в походы. Джве недельки поживешь в палатке, по соседству с медведями - научишься довольствоваться более скромными СМИ - книгами, подкастами и т.д. Может даже не захочешь потом возвращаться обратно на ЮТ.
Привет мужикам! Я олдскул 45 лвл. Жена, трое детей. Пью, курю, курю запретку, но только натуралку. Дрочу периодически. Полный набор!))) Всё, от чего бы отказался, так это от сигарет и синьки. В принципе легко отказываюсь от всего, кроме сигарет. Бухать начал в 14 до 25, потом 10 лет перерыв, сейчас уже 10 лет как каждый день. Дозы разные. В хуёвые моменты випивал 0,5 вискаря или водки по вечерам. Всегда на работе. Но бывали и запои на пару дней, когда в сутки выпиваешь больше 0,5. Зависимость дикая была. ХЗ, просто едешь домой, организм не просит, а просто по привычке в КБ заезжаешь и всё..... Потом начал контролить этот процесс, раз уж не могу завязать, перешёл на лёгкие настойки градусов19-24, не более... 0,5 в день за ужином. Так последние пару лет... Сейчас хочу полностью отказаться, так как уже возраст не тот и реагирует на каждую лишнюю рюмку хуёво... Все проблемы от мужских депресняков и проблем: то работа, то семья, тоещё какая хуйня... Увлекаюсь психологией и понимаю, что в сё в голове!!! Все зависимости от неуверенности в себе и непостоянстве внешнего мира: то кризис, то хуизис, то жена кажется отдоляется, то на работе долги образуются... В общем что хочу сказать: отказываться от весго не реально и не нужно! Дрочить, это нормально! Это полезно для здоровья, так простатита не будет. Пару раз в неделю мужик должен оспрожнять яйца, иначе каналы забьются и привет простатит и импотенция Бухать тоже нормально, но нужно контролить это процесс: по праздникам, в компании, на природе... Но не каждый вечер Курить это хуёво! курить не нужно! Курю с 14 и ничего в этом нет, это зависимость! кКуришка натуралка тоже необходима! Расслабляет мозг. Но тоже, не в говно, а слегка... Всё остальное от лукавого! Спорт тоже для тонуса и поддержки, но без фанатизма. В охотку дома штангу тягаю, держу себя в форме!!! Кому что интересно, спрашивайте, расскажу, так как за зависимостями и работой организвма при этом наблюдаю, как в себе, так и в других и знаю что и как делать, чтоб завязать, но....сцуко, нет желания, не хочется быть "снобом", хочется "по лайту". В общем, всё понимаю, но нихуя не делаю)))
Я не знаю, можно ли это назвать вредной привычкой, но я не могу перестать ебаться на стороне. Причем я понимаю, что я реально человек зависимый. Какое-то время втирал сам себе оправдания, что это все так делают, все изменяют и ТД ИТП. Но, блять. Потом понял, что это просто оправдания для лохов. Попытка оправдать, что ты просто мудила. На определенном этапе разогнал всех блядей, причем получилось без всяких скандалов-интриг-расследований. Понял, что хочу жить честной жизнь в семье. С женой и ребенком. Но потом приходит оно. Какой-нибудь незапланированный бухач, телки рядом и пиздец. Я либо просыпаюсь с ними рядом, либо ловлю себя на мысли что мои пальцы уже в чьей-то пизле. С алко проблем нет, хочу пью, не хочу не пью. Похуй вообще. Иногда курю траву. Сам не знаю, что с этим делать. Понимаю, что я ебаное животное-наркоман, но это не прекращается. 29лвл, обычный нормис-работяга.
>>27065 Привет, могу разобрать тезисно >то кризис, то хуизис, Проблемы с планированием денег у меня тоже есть, тут ничего посоветовать не могу. Сам пользуюсь Monefy (30% денег на еду уходит и так понятно) >то жена кажется отдоляется Разговариваешь с ней о своих чувствах? Вроде бы психологией увлекаешься >то на работе долги образуются... Тоже самое, по-разному решить можно, если проблемы с самоорганизией то Pomodoro таймер (научишься делать важное в течение 25 минут) >В общем что хочу сказать: отказываться от всего не реально и не нужно! Можно отказываться от всего, но постепенно. При этом параллельно вырабатывать положительные привычки. Пример: Не курить, а бегать. Не пить, а читать >Курить это хуёво! курить не нужно! Курю с 14 и ничего в этом нет, это зависимость! Частично не соглашусь с тем что это зависимость, это очень аддиктивная пагубная привычка. Есть и хорошая новость: Ты можешь бросить курить прямо сейчас, для этого найди причину для себя, я бросил, потому что зубы жалко стало и запах отпугивает большинство людей Я посмотрел этот ролик, курил еще недели две, после чего бросил в течение 1 дня. https://www.youtube.com/watch?v=pq1Z1uK7J3w Как бросать: Оставить утреннюю сигарету и еще одну в течение дня, на следующий день не курить. Бэкграунд -- Попробовал всё что можно, 2 года вв, курение. Отказаться от курения было сложнее всего, курил 9 лет.
После долгого перерыва решил доложить анонам ,лол . Хуй знает как понять держусь или нет: частенько поджираю фенибут в кол-ве 30-60 колёс за сутки, раньше раз в месяц, но сдуру выклянчил рецепт и стал чаще. Пару дней назад узнал что умер последний человек из старого круга общения, которого я мог назвать другом, как и он меня. Нахуярился знатно. Но с другой стороны - вроде как начал вылезать из овощного нихуянеделания, в котором пребывал большую часть времени с момента отказа от употребления. Но вылезаторствую благодаря охуенному стимулу. Я в такое бы нихуя не поверил, если бы мне кто рассказал, но тем не менее: Как уже писал - очень много времени в дурке провёл, не по вопросам ебанутости, хотя несколько эпизодов были, когда я пьяный на кумарах чудил, а ложился я туда сперва перекумарить, потом уже самоизолироваться, когда тяга ебала особенно сильно и боялся сорваться. Лёг в дурку - и доступа к веществам практически нет на самом деле при желании торчать можно хлеще чем на воле, но я не за тем ложился. Лежал больше 10 лет в одном и том же отделении, практически все мои 28 госпитализаий. Так получыилось что стал хорошо общаться с персоналом, со многими поддерживал отношения и по воле. - там медсестра устроилась работать года 3 назад, милая, приятная и на мой взгляд очень красивая девушка моего возраста мне 36 Мне иногда казалось что я ей нравлюсь, но гнал от себя эти мысли, потому как это бред какой-то - я торчёк, пациент дурки, она - без пяти минут врач, получает 2ую вышку. Случайно наткнулся на её акк в ВКшечке, списались, пообщались, созвонились, встретились. Блядь, и оказалось что я реально ей нравлюсь, я до сих пор до конца поверить не могу. Да, ей сложно доверять мне из за моего надеюсь прошлого, но по её же словам её ко мне влечёт, да и меня к ней тоже. Отношения (хотя хуй знает, можно ли назвать это с уверенностью отношениями) развиваются более чем плавно, но я и не тороплюсь, она мне реально интересна. Короче, это всё послужило мне пинком - сгонял с стоматологу, понял что нужны хоть какие-то деньги кроме пенсии и части бабла за аренду 2ой хаты, сходил на пару собесов, решил что мне сложновато будет, пока курьером поработаю, но хоть что-то для начала. Такие дела, анончики.
>>28522 Лол, хочешь насмешить бога - расскажи ему в роли бога сейчас харкач - расскажи ему о своих планах. Нет у меня и надежды на тянучку теперь. Но без вопросов - сам виноват. Как она написала - доверия и так не было, а теперь его вообще не стало. Что ж сам виноват. Хуй знает зачем пишу даже это, но больше нет никого а подлеиться почему-то нужно стало, все мои друзья тут были.
>>28553 Бля, братишка, хёвый стимул наверное, по крайней мере если он один. Но я 12 лет на медленном, в ремиссии думать перестал об отношениях каких-то, решил что эти страницы жизни больше не про мою честь. А они сами меня нашли, хотя не сказал бы что по внешке я ультра чед, по характеру правда может от Ерохи что то осталось. В люом случае - 3 месяца не срок, и как понял на своём горьком опыте - от одного только прекращения употребления жизнь нихуя не наладится. Хз какой у тебя стаж, но 3 месяца ремисса - ИМХО не срок, и кстати самое такое критичное время в плане срыва. А с другой стороны - хуй знает что произойти у тебя в жизни должно, что б стимул был в ремиссию уходить. Постарайся это найти. В любом случае сил тебе на тяжёлом пиздец каком пути и добра.
>>28545 Рассказывай как бросить курить? Курю айкос, но и он уже остопиздел, раньше были сигареты, стаж большой. Бросал на полтора года, прям сразу отказался, потом закурил вновь по причине жизненного обстоятельства, и вот сейчас вообще не могу собраться. Уже какой раз говорю себе что с завтрашнего дня не курю, выкидываю все в помойку, а с утра иду в магазин за сраными стиками.
Дорогой харкачик, все мои друзья тут. Спешу сообщить о том, о чем и помыслить не мог после стольких лет употребления. Поцеловался с тянучкой, к которой чувства испытываю, трезвый, и ебать мой хуй, это такой кайф! Я правда думал что такие эмоции после отказа от веществ мне не доступны. Я этот>>28558 хуй, если что.
>>28669 Просто не куришь и не употребляешь никотин любым из известных способов. Чтоб не сорваться в первые дни, игнорируешь любые сцены курения у себя перед глазами. Ну и пепельницу бы вынести и убрать куда-нибудь. Конечно в магазинах нужно перестать покупать сигареты. А так же запомни одно правило, если прошло Х дней как ты бросил курить - затянешься хоть один раз, все Х дней уйдут насмарку.
>>28669 Врач в треде. Никотино филы давно поняли, что зависимость в голове. Чтобы решиться бросить курить, надо "уговорить" свой мозг, это лично мое предположение. Тупо докажи самому себе, зачем тебе надо бросить курить. Лично у меня слабые бронхи, как простуда - так бронхит. Для меня проблема была очевидна. Бросил я в 2011 году. Естественно, было много попыток до этого. Потом опять заболел, кашлял, а в это время не охота курить. После недельки болезни физической зависимости уже не было, а с психологической зависимостью я расстался спустя лет 10.
В общем спустя пару лет активноготраспития кофе и/или энергосов почти каждый день, последствия дают о себе знать (нервы+почки. не сильно, но дает о себе знать, что с ними уже не все совсем в порядке). При (по итогу) кратковременных попытках бросить были частые головные боли, плюс потребление всей этой жижи вошло в привычку, стало ритуалом, как например у многих с курением. (А еще, да, дорого их столько пить)
И что с этим всем делать? Кушать обезболивающее и пить чаи с газировкой, дабы подлерживать =форму= ритуала? Какие-либо стратегии по бросанию? Буду рад принять помощь советом. Зарание спасибо.
Короче, спешу сообщить. Всем я пиздел и в первую очередь себе. Люди наверное реально не меняются. Ехал к тянучке на встречу, попались типы знакомые, бахнул 150, при чём даже не думал в тот момент о последстивияхЮ о том зачем мне это и прочем. Просто предложили - голова выключилась и "Немедленно выпил". На свиданку поехал конечно, но перегар был учуян, тянучка рассроилась это больнее всего, но мы в кафешке посидели, она правда молчала в основном и я как я понял злилась чтоль на меня, ну что то вроде того. Я развлекать пытался. но тщетно, ИМХО выглядело так, как будто я пытаюсь тему сменить от того что перегаром от меня пахнет. И тут то я понял - тщетная хуйня это всё, кого я наебать пытаюс - всю жизнь торчком был, и то что я тормознул - по сути не меняет нихуя. Разошлись, она даже поцеловать не далась, я прям у её метро с типами познакомился и выжрали вместе. Хотели даже мутить пойти, но я решил что ну его в пизду. Короче от осознания того, каке мы разные у меня прросто руки опустились нахуй. Бля, я жизнь то видал, как я подумать мог что что-то получится. Короче руки опустились нахуй И самое смешное - виноват то только я во всём. Короче, руки опустились, решил что мы те кто мы есть, ща чаю попью и пойду или мутить поправится или бухать. Сука, какой же я наивный дегенерат, а вроде думал что жизнь знаю, лол.
Сорян что вообще высрал это всё, но недавно узнал, что последний тип, кого я мог назвать другом - умер.
Ну что, постараюсь отказаться от пива по выходным, да, приносит какое то расслабление, но по утрам уже вставать сложновато. Да и вообще алкоголь не приносит уже ничего хорошего...
>>28940 У меня нет пепельницы, я айкос курю, и каждое утро иду в магазин за этими сраными стиками, хотя вечером перед сном прям лянусь что брошу, а с утра невмоготу уже. И так уже не знаю сколько раз. порой уже загоняюсь и считаю что с айкоса слезть сложнее и начинаю курить сигареты, потом наоборот и так по-кругу, какой-то маразм просто. 4
>>28949 >Какие-либо стратегии по бросанию? Буду рад принять помощь советом Чаи без газиовки. Натуральные чаи, желательно чтоб было из чего выбрать, чтоб не один пуэр хлебать. Морсы, ромашку попробуй. Самодельные коктейли. Но тебе ведь нравится не только энергетик, но и сам процесс - держат ьв руке красивую банку, с вкуснопахнущим напитком. Так вот, есть специальные термосы под чай - смотрятся дохуя эстетично, можно заварить в любой удобный момент.
>>29337 Я слез с Айкоса. Тоже закончились стики, было на улице -25 и никакого желания выходить за ними. Подумал что вот пойду на работу куплю или мб попробовать бросить? Ну вот я пока не курю с 13 января. Повыкидывал все предметы что вызывают желание курить.
Айкос уже думал родственникам отнести.
Я это все к чему говорю, слезать нужно не с айкоса или сигарет, нужно слезать с Никотина. Он везде одинаково действует. А единственное правило чтоб слезть с Никотина - не употреблять Никотин. Такая же история как с Героином.
Курево бросил в 24 после 9 лет стажа, потому что пошло оно нахуй. Один из лучших поступков в моей жизни.
Фап (почти) бросил в 27, нашёл тянку с нормальным либидо. Сейчас могу под настроение по-царски всфапнуть 1-2 раза в месяц, и то не каждый.
Прибухивать бросил около года назад, вроде бы держусь, полёт нормальный. Жёстко не бухал никогда, в запои не уходил ни разу, и даже напиваться - напивался нечасто, ну может 1-2 раза в год. Но бухлишко попивал регулярно и явно имелась зависимость. Дропнул на фоне того, что алкоголь стал действовать на меня иначе. Раньше выпить пару-тройку пива = получить расслабон и хороший сон. Но со временем стал замечать, что позитивный эффект полностью обнулился, зато через час-полтора после пивка настроение дропается просто как булыжник с обрыва. В голову начинают лезть всякие невесёлые мысли, начинают возвращаться самые мрачные воспоминания из жизни и т.д. Вот есть разные категории людей в плане воздействия алкоголя: кто-то ловит агрессию и идёт искать приключения и бить ебала. Кто-то начинает пиздеть без остановки про сралена, пыню, госдеп, тэтчер, вьетнам, баб, Небо и Аллаха. Кто-то становится комфи и засыпает под пледиком, а кто-то - начинает плакаться в жилетку всем окружающим. И я, видимо, по какой-то причине начал перекатываться из третьей категории в четвёртую. Отвратительно, но, может, оно и к лучшему: появилась отличная мотивация завязать.
Как у вас происходит подсадка? Я и бухать пытался, и курить, не берёт. С алкоголем происходит отвращение, хотя я бухал его около полугода, частенько через не хочу. Кайфа вообще не понял. Сигареты тоже не понял. 4 сиги выкурил, а где кайф? В чём состоит влечение?
>>2273 (OP) на связи кун 21лвл, решил уйти в отказ, пока что только от алкоголя и энергетиков. алкоголем никогда особо не злоупотреблял, но подумал то что вариант пить один два раза в месяц тоже меня не очень устраивает, потому что алкоголь выводится из организма месяц примерно, поэтому проще просто полностью отказаться. с энергетиками ситуация куда сложнее, пил с 14 лет регулярно, последние пару лет каждый раз как плотно пообедаю само собой возникало желание запить энергетиком всё, примерно по банке в день и пил. сейчас посмотрю как организм на полный отказ отреагирует.
Ничего кроме еды не приносит удовольствия. Ничего. Бухать не нравится, курить не нравится, вещества не пробовал. Мне бы лишь похавать чего-то. Анон сверху сказал, что спорт для него это лишь рутина и страдания, я уж думал, что я такой один. Ходил в качалку, занимался дома, много гулял - без толку. Первые полчаса ощущения какие-то более менее интересные, но затем остаётся лишь боль и ощущение, что у меня теперь две работы за одну из которых я сам плачу лол блядь.
Надежда осталась на вкат в какие-нибудь единоборства или фехтование, дабы было какое-то чувство победы над противником и прогресс ощущался не только в циферках на блинах. но скорее всего словлю дизмораль от получения пропиздонов
>>30630 Подсаживаются те, кому надо. У кого какие-то проблемы и определенный наркотик (в общем смысле, игры туда же, фап, женщины, власть) как бы закрывает это потребность, ну или прикрывает. Скорее прикрывает. Что человек ширнутся героином, из них десять ширнутся второй раз, из них пятеро ширнутся ещё тысячу раз, грубо говоря.
>>30630 Я как-то недавно купил алкоголь, который мне очень понравился дизайном бутылки. Вроде как неплохой, ну, по нищим меркам. Я не смог выпить больше рюмки, а когда брал в руку новую меня просто тошнило. Так и выкинул бутылку. Всего 250 было энивей.
>>2273 (OP) - Ходишь на унылую работу продавцов - фу лох нищий 500р смена 2010 г - Шабаши электрику как пидор обделочник - фуу лох официально не трудоустроен. - Едешь в тай без денег бомжиком с ноутубкоми 100 $ в 2015 - фу дурачек, где контент где фул ашди 4к видосы ? (на дворе 2015 год телеграма то еще нету) - Открываешь мастерскую - заказов жопой жуй, делать некому - фу лох не можешь заработать сразу 300к наносек(2018) - Едешь в ЕС учися ради ВНЖ на шару за 30к билет + виза - фу лох ты даже в Рязанине сомг в радике отучиться (2019) - Едешь в мрачный криминал в ростов - фу лох претспуник машшшеник. кстати сколько заработал займи пару косарей заебал (так никто и не отдал 2020 ) - Суешь бабло в западные фонды и ETF , сам кушаешь макарошки и дешевый рязанский жигуль - фу лох отнес деньги недржуственный западу - все проебал-ебать ты тупой инвестор, толи дело в кремле УМНЫЕ и МУДРЫЕ ЛЮДИ СИДЯТ - ОН ДАЖЕ ЦЕЛЫЙ ЗВР в валюте хранили на западе. а еще у них куча недвижки и дети чучатся в этих странах НАТО. - Возишь товар на Ozon напрямую с Кетая. даже продается но туго - фу тупой не угадал нищу проебался с сертификатами соотвествия и декларацией качества - Вон Танька еЕохина уже 5 ПВЗ в городе открыла на новом кроссоврее уже ездеет. - Начинаешь лутать контент с помоечек - фу лох бомжара извращенец ,педовифл травокур. найди работу уже бомжара - Едешь в тай с донатов и даже какое-то время живешь там - фу лохъ где фул ашид конент где стримы как у мелстроя, где 3- часовый обзоры на тур места и буддийски храмы на севере лаоса ? - Едешь в Грузию на халяву воровать свои замороженые деньги у PAYPAL через грузинский банк - фу лох в Грузию любой релокант трясун может доехать - страна помойка ,ты заебал там бухать кинзмарауле по 2 литра в день и кушать хинаклли- лучше бы на завод пошел лох, у нас целых 600 $ платят на оборонке. - начал шабашить работать руками и штробить - фу лох пидорнадель обделочник, опять неофицально - лох иди лучше на завод. ну и таких историй полно могу вам рассказать
Алкоголь, никотин и сладкое это более-менее понятная история. А что насчет относительно нового пристрастия - компьютерная/интернет зависимость? Аноны, есть у кого опыт/действенные методики отказа от этого? Много лет часами провожу в ютубе смотря, как мне кажется "очень важные" видео, содержание которых забываю уже через сутки. Можно отключить интернет, но слишком он бывает нужен по другим причинам. При этом чувствую что мозги тупеют от такого времяпровождения.
>>32464 Ты не живешь, поэтому смотришь как живут другие. Методика одна - жить жизнь. Пока у тебя нет жизни, ты так и будешь проводить время таким образом.
Алкоголь бросил. Героин бросал. Снова возвращался. Опять бросил, но чую что опять вернусь. Сигареты самое дерьмо, бросить не могу. Стараюсь не покупать, стреляю у знакомых чтоб курить меньше. Помогает. Габапентин, прегабалин, заменили алкоголь, помогали переломаться с хмурого. Употребляю редко, проблем с ними особо нет.
Но без употребления всякого дерьма пропадает желание жить. Не в том смысле что суицидальные мысли посещают, а в том что абсолютно нет желания хоть чем либо заниматься. Такое было почти всегда, но я все еще помню как недавно вмазанный, бухой, или под таблами занимался чем угодно, и получал от этого удовольствие. Можно ли такого состояния добиться трезвым, я не знаю. Но если можно, то мне это явно нужно, иначе будет два путя. В аморфное состояние овоща, либо обратно в наркоманию и алкоголизм. Второй вариант это жуть, но хоть перед смертью не обидно будет, как если лежать овощем и проебать всю жизнь.
Дофаминовый детокс помогает, но не долго, и не дает никакой энергии. Есть советы?
>>33135 Сейм кстати. Хоть у меня понятное дело не так всё плохо, но если я не жру еду вагонами, то в целом ничего не хочу делать. Просто напросто скучно жить.
Курил обычные и электронные сигареты с 15 лет, сейчас почти 20 и вот уже как две недели не курю. За все эти две недели всего один раз пришлось заставить себя не курить (пошёл в бар), а так всё гладко. Курил электронки, сигареты, сигариллы, кальяны, кидал снюс - пробовал всё и думал, что без никотина и жизнь не та. В один прекрасный день вышел из дома, закурил по привычке электронную хуйню, оглядел её и больше не курил. Первые пару дней читал Карра, но быстро понял, что никакой тяги к курению уже и нету, что удивительно. Блять, бросил доту из-за нервов и отсутствия прогресса, бросил никотин, т.к. цнс сжёг, теперь днями напролёт сижу в шортсах и на дваче. Улыбаюсь чаще, но потому что в край отупел.
Блин, не в тему может, но все ж мы знаем, что где отказ - там и срыв. Такое дело - я проебался пиздец, вместо тянучи поехал на замут, это блядь после 12 лет ремииса, да и хуй бы с ним, меня кяли наркоманы наебали неожиданно, лол. Я брал мёд и амф, по итогу получил вместо амфа соль. Там и было то не сильно много наверное пол-капсулыот какого-то лекарства , но мне без толера хватило более чем. Поставил это говно за 2 раза. Бля, опять я гоню, а уже то ли 3 то ли 4 сутки идут. Короче, суть вопроса - уйдут ли, и если да, то через сколько, измена и паранойа? Я тупо что бы пост этот написать - выпил банку корвалола.
>>33135 >занимался чем угодно, и получал от этого удовольствие. Можно ли такого состояния добиться трезвым Можно. Это не так быстро и не так ярко выражено, зато и побочки будут лайтовее. Если ты нихуя не умеешь - ты и под кайфом ничего путного не сделаешь. А научиться что-то делать можно только по трезвой.
Пошла вторая сухая неделя. До этого пил пиво почти каждый день аж с НГ. Скучно, пиздец, но острого желания бахнуть нет. Я понял, что это не выход. И потом неделя - это какой-никакой прогресс. Глядишь - дотяну это комбо до месяца, а летом уже не так будет скучно.
>>33381 Спасибо! >>33377 Накликал беду на себя. Сегодня с утра литерали все из рук валится. Люди вокруг раздражают, на работке духота, апатия, слабость. Еще после обеда с работки отпустили, на улице жара - только мудак упустит такой шанс ебануть пивка в сквере под ласкающий ветерок и приветливые лучи. Сука, вишенкой на торте яндекс подкинул мне артиста, под которого я раньше обожал накидываться и танцевать. Удар ниже пояса.
Но я просто уже иду на принцип: чем сильнее искушение - тем прочнее я выставляю защиту, как кевлар. Просто такой бессмысленный подростковый каприз. Другому человеку я бы сам покрутил у виска, сказал бы мол "ну не судьба, зачем себя насиловать? В другой раз завяжешь, а сегодня отдохни, раз так звезды сложились..." Но мне больше не нужен такой отдых, я не могу себе его позволить. Решительно прошел мимо КБ, возле дома взял мяса и овощей на рынке - накрутил шаурмы с курой и грибами, вкусненько обожрался. Сейчас чай заварится с ромашкой и мятой, под него залипну в книжку и отрублюсь до вечера.
Если бы поддался и забухал сегодня - сейчас меня уже отпустил бы эйфор, лежал бы тупил в ютюб или игры, в фоновом режиме ненавидя себя за безволие. Но я победил, я сегодня красавчик. Посмотрим, что от меня останется к пятнице - впереди пиздецовая рабочая неделя.
В любом случае на загоняйся, если понравился ей наверняка еще кому то понравишься, хотя понимаю наверняка сейчас ощущение что только хочешь с ней быть и ни с кем другим больше и спасибо за твои посты, тебе и таким как ты, вы мне очень помогаете в моей борьбе за здоровую жизнь
ПС - братец а что случилось? начудил как то и она ушла?
Привет всем. На связи 33 лвл .Осознал что у меня есть пагубная привычка и это алкаха. Раньше к алкоголю относился спокойно мог выпить а мог и по пол года не пить. В унике попал в спортивную сборную и соответсвенно мог попить пЕвка очень редко. После уника сменив пару работ попал в коллектив веселый и там каждую пт по вс пьянки,гулянки.Вместе справляли праздники ещдили к друг другу на дачи в деревни оставались наночевки стоило говорить что это приправлялась большим количеством алкоголя? Но на другой уровень я вышел когда купил самогонный аппарат и освоил мат часть а затеи и пивоварню. Я начал бухать и побудням с колегами и соло накидывался, пробовал новые рецепты дегустировал их и нажирался оборудовал бар на лоджии и..... и вес еачал идти в верх начал превращаться в свиноту да я даже тренироваться под алкахой пробовал.))) Уволился с работы начал опять тренить скинул все говно стал похож на человека. Ушел от того круга общения веселых подруг и друзей. Познакомился с няшей и через некоторое время начал жить с ней и... И опять только уже вкусная вредная еда а и потом певко много певка мог ведро выпить и начал опять превращаться в пельменя. Сейчас опять бросил пить начал упарыться по спорту всю алкаху перевез на другую кв пусть там лежит. Вообщем синька чмо. Я зависим от этого говна буду бороть себя и стараться если употреблять то поминимуму
>>33539 > стараться если употреблять то поминимуму Скорее всего уже не получится. Любая доза будет как спусковой крючок и остановиться будет практически невозможно. Лучше уже не рисковать, а завязать полностью. Ты же уже понимаешь, что эффект не стоит последствий.
>>33425 >Посмотрим, что от меня останется к пятнице Ну вот я и дожил до выходных. Впереди единственный нерабочий вечер недели. Друзья и коллеги сегодня будут куражиться всю ночь. А я хуй знает, что делать. Хочется отдохнуть, но при этом ничего не охота, даже кино смотреть или ютюб. На улицу лучше не выходить - иначе это 100% будет срыв.
Похоже сегодня самое сильное испытание за эти 2 недели. Нет конкретной тяги к спиртному - есть только необходимость вырваться из повседневности, отключить мозги от заебавшей работы, которая возобновится уже завтра вечером. Сейчас пороюсь в аптечке, может есть валерьянка или другие седативные. Закинусь и лягу спать нахуй в 8 вечера. Ебал я в рот с самим собой сегодня ссориться.
Зависимости, зависимости... А у меня вопрсо другой: кто как с отёчностью боролся? Прибухиваю каждый день. Чуть чуть, вечером. Но по еблету, скоро местные бомжи за руку здороваться начнут))). По работе общаюсь много с людьми, но испытываю дискомфорт, так как на ебале написано, что я бухарь. Кто как с этим боролся? Какие таблетки может? Пил Вершпурон, но поймал другой эффект))). Фурасемид жёстко....
>>33425 Лол с тянучкой вроде налаживается всё. Сказала только голову на место поставить. Я ебал конечно эти кочели, но у меня и выбора нет, такой пиздатой у меня никогда не будет. С этой хуитой ВРОДЕ разобрался, зато теперь под следствием, лол. 228.1 и это на 2ом замуте прям. Вчера на работке работаю яндекс курой + пенсия по дурке - взнос по кредиту на зубы въебал 2 банки корвалола и 4 пива крепеньких на харе, лол. В соседнем городе, хоть тут и недалеко МСК область, голосил около мусорского отдела, лол. Вышли, прогнали нахуй. к 6 утрам пива попил ещё и домой вернулся, хотя работал с 12 до 12. Сегодня девушка написала что я норм должен быть, соответствовать так сказать). но это и правильно. Сегодня поспал 2-3 часа, ща уберусь наверное да спать лягу. Бля, заебала эта хуита - 4-6 матрасов Фенибута почти каждый день. Завтра на работе попытаюсь не брать Фенибут хотя бы, ну и без пива всякого с корвалолом. зубы доделаю, с разменом хаты буду решать, короче делами займусь. Если не проебусь конечно, как всегда, лол. И надо бы норм работу искать, да какая работа под подпиской и ещё с моими всевозможными учётами да судимостями. Хорошо если не закроют. Не торчите, посоны. Всем добра!
>>33456 Вотсап подвёл, лол. Накидался да хуиты ей написал. При том что договаривались что я без неё не пью. Короче блядь, хули, стараться буду, хули мне ещё. вот мой пост если что.>>33801
>>33801 >Хорошо если не закроют Таки ничего хорошего. У тебя крутое пике на дно, но ты этого не увидишь, пока не протрезвеешь. Как это обычно и бывает у аптечных ковбоев. Тюрьмы, конечно, никому не пожелаю, но вот пара месяцев в дурдосе тебе точно не повредит. Не доводи до беды - обратись за помощью.
>>33808 Да я б лёг, но 2 сурьёзных причины мешают: подписка не позволяет, девушку проебу, она там медсестрой работает, лол. Да я писал выше. Я вижу что жопа, но 1ый раз в жизни меня что-то останавливает, надеюсь не проебу это и это поможет тормознуть. Не отмазка ни разу, но я за 36 лет жизни встречал 3 причины отказа от употребления : ненависть, прям нечеловеческая, вера в Бога и любовь. Хуй знает как у меня насчёт любви, но чувства я к ней испытываю действительно серьёзные. Я когда поцеловал её 1ый раз - пропёрло пиздец, я не думал что без веществ могу вообще эмоции получать, а ещё такие. Но конечно совет твой дельный, подумаю в эту сторону.
>>33812 >девушку проебу А если ты на швабру уедешь она не проебется? А если она узнает, что ты торч - не проебется? >я не думал что без веществ могу вообще эмоции получать Ты их и не получал. Любви твоей неуемной хватит на месяц от силы - потом побежишь в аптеку, как миленький. И не дай бог ей у тебя на пути встать.
Если у нее взаимные чувства - она все возможное сделает, чтобы помочь тебе с завязкой. Проспишься в клинике, выссышь всю дрянь из организма и будете жить-поживать, добра наживать. Если же доиграешься до тюрьмы - выйдешь уже 40летним мужиком, с дополнительными травмами. И перед тобой встанет выбор - начать юзать снова или пытаться найти новое место в мире, где ты нахуй никому не сдался и для тебя больше нет никакой радости.
Я вот выбрал второй вариант. После тюрьмы 5 лет боролся с ркн-депрой, прежде чем снова почувствовал желание жить и поверил в будущее. Тяночка моя, кстати, давно замужем. Она знала, что я юзаю, верила, что однажды завяжу. Но после суда - развела руками и быстренько нашла себе нормиса.
>>33822 Благодарен за ответ такой подробный. Уеду так уеду, надеяться что дождёться не стану, наоборот постараюсь освободить от себя. Насчёт аптеки - что б ты понимал - э вообще и близко не из аптечных. 12 лет на хмуром, 6 лет ремиссии, ща вот проебался. Себя оправыдывать дело последнее, но рушится прям всё. А за неё держался. Она бля за все годы мои единственным чем-то стоящим в жизни состоит. Выйду я ща уже за 40 получается, лол, сейчас то 36 уже, а срока приличные по 228. Да бля, раз под подписку отпустили - тешу надеждой что не закроют. Насчёт тянучки, как тут говорят - обо всём в курсе, кроме последних событий моей жизни - срыва, следствия итд. Она медсестрой в том же отделении работает, где я дохуя раз лежал. Я до сих пор не пойму что увидела во мне, она то 2ую вышку получает, без 5 минут психиатр, на там пару лет учёбы + ординатура осталась. Умница, красавица, итд. Я кстати перекумариваться ложился 1ый раз, года 24 мне было, лол. Кто ж знал что всё затянется так. Терять-то, бкак банально б не звучало нехуя. Говорил, за всю жизнь одним человеком дорожил, ну друг был ещё, но тот умер давно. Свобода, как я это вижу, не велика потеря. Что б ты понимал - я кроме 28 госпитализаций, 3. года почти в дурке одним разом отдыхал., так вышло, вопрос с дееспособностью ставили, в итоге в Серпах вообще диагноз сняли. Но я долбоёб, мать послушал да на пенсию повёлся, 2ой раз получил. Так что я на принуд лечение поеду если что, а там всё знакомо.
А насчёт чувств - хуй знает. Смешно, но у меня человеческих отношений то и не было, это 1ые. А она сейчас понять не может что со мной. Мне бы пропасть на недельку - поработать, в себя придти, трудотерапия самое норм, но она ж волнуется.
>>2273 (OP) Отпишусь в тред, может кому интересно будет. Иногда с друзьями или один выпивал по пятницам, потом пивасик через день после работы и постепенно перешел к хлестанию каждый день 1-2 бутылки вина под ужин, либо 2-3 литра пиваса. Шел к этому лет 5, а каждодневное хлестание шло года 4. В течение этих лет было множество попыток бросить. И вот 1 января 2022 г. последняя попытка оказалась успешной и я пиздец как рад этому, считаю одним из важнейших решений в жизни
>>34169 Двачую и понимаю. Не при каких обстоятельствах не нормально жрать вино бутылками и пиво литрами за присест. К такому может прийти лишь человек с убитой системой. Когда вырываешься из этого порочного круга - как будто на другую планету попадаешь.
>>34181 Да. Ну, на самом деле намеренное вливание в себя спирта в любом количестве в принципе не нормально. Правда к этому понимаю сложно прийти, когда с детства нам внушили, что якобы алкоголь это тоже самое, что еда и напитки, и вообще традиция. Так же и с сосанием дымящихся палочек
>>34247 https://youtu.be/NFrs_QPByh0 Как говорится, не оружие убивает людей. Хороший напиток в умеренном количестве не вреден. Это быстрый способ размотать нервы, наладить социальный контакт и отдохнуть от бытового стресса, что, в общем-то полезно и необходимо делать взрослому человеку. Проблема в том, что вырабатывается толерантность - чтобы кайфануть как раньше приходится пить все больше. И если у тебя нет чувства меры и других ценностей, которые тебя стопорнут - придется бить себя по рукам и завязывать надолго/насовсем.
>>34242 Я наоборот пересел на жыжу с красных сиг 17 лет стажа. Сразу стал потреблять значительно меньше никотина в связи с тем, что вейп можно пыхнуть пару раз и успокоиться, а сигу ты если зажигаешь - то по-любому докуриваешь до конца, через полчаса снова. Через год у меня наебнулся девайс, а новый покупать я не стал. Просто потерпел 3 дня и освободился от никотина навсегда. Еще я накануне пофиксил зубы за ~80к в общей сложности - как-то не хотелось поганить свежесобранную голливудскую улыбку дымом от вонючей смолы.
>>34250 Он вреден по определению. Просто в умеренном количестве наблюдаемые последствия незначительны в моменте (но не в перспективе). По своему определению алкоголь является депрессантом, а не антидепрессантом. То, что создает стресс для организма и ЦНС не может его же и снимать, абсурд же. И такого абсурда много в алкокультуре и в остальных вещах, вызывающих зависимость. В человеке от природы заложены все необходимые механизмы, чтобы отдыхать и снимать усталость. Большинство людей являются полноценными с этой точки зрения, но они считают (точнее им внушили культурой и сами друг другу внушают), что не смогут расслабиться без каких-то сторонних веществ. Если разложить по фактам, что на самом деле происходит с организмом в момент этого умеренного употребления для расслабления, то там не будет этих обтекаемых фраз типа расслабление, успокоение нервов, сбросить напряжение и прочих иллюзий. А будут сухие факты, которые говорят об обратном - сбой работы ЦНС, стресс для системы пищеварения, угнетение когнитивных способностей, поражение клеток и т.п. дохуя всего, за справкой в гугл. Да, это приводит к иллюзорному расслаблению, а проще - к добровольному одурению. Это так и с курением, за ширмой "снятие стресса" скрывается кислородное голодание мозга. Почему бы тогда просто не РКН себя влегкую? Иллюзия работает хорошо, но иллюзией быть не перестает, даже когда о ней знаешь. Почему-то слегка выпившие люди не вызывают желания налаживать с ними социальный контакт, когда сам находишься в здравом уме. Это коллективная тема. Надо вместе дружненько прихуёвить сознание, тогда вечеринка склеится. Настоящий отдых без бухла дает настоящее расслабление, просто все, кто привык расслабляться бухлом забыли, как расслабляться без него, тут придется привыкать, что поделать. Я выпивал каждый день как раз с целью расслабиться и отвлечься, у меня заебистая и нервная работа, я думал, что мне это помогает. На самом деле, оно и создавало дополнительный стресс в течение следующих дней, который снова приходилось глушить и так в цикле. От бытового стресса можно отдохнуть без бухла, проще простого. А налаживать социальный контакт приятнее, когда ты в трезвом уме, уверенно и прекрасно себя ощущаешь. >Это быстрый способ размотать нервы, наладить социальный контакт и отдохнуть от бытового стресса Даже если опустить всё, что я выше описал, всё равно, то состояние, которое я себе вернул после избавления от синьки просто несравненно пизже. Похудение на 12 кг, бодрость, ровное психическое состояние всегда, охуенный сон каждый день, помолодело лицо, поднялось либидо, показатели в тренировках, сэкономил 200-200к за это время епта. Да имея такие активы я легче справляюсь с заебами и проблемами, легко и быстро отдыхаю от стресса. Отдых в компании пьющих вполне допустим, просто сейчас четко стал различать, когда встреча и компания по настоящему хорошая, а когда на самом деле унылая
Как бросить дотку 2, мужики. 33 года была импотенция игровая, потом затянуло наконец и в самую пучину. По 20 каток в день может запой зайти. Жена мозг пилит. Я сам все понимаю, что ммр в реальной жизни падает и бабло, внимание к другим, но ничего поделать не могу, и как в отместку жене, я же мужик че хочу то и делаю, сижу катаю. Раньше бросал - переходил на цивилизацию 5/дарк соулс, все заебывало и дропал полностью грибование.
>>34534 Я бросил МОБА после 10+ лет стажа. Просто в одну секунду произошло осознание, что я бездарно геноцидю чудовищные объемы свободного времени. Причем я не имею ничего против самого факта убийства времени, если в ответ получаешь хоть какую-то радость, опыт, воспоминания или отдых. Но катая сутками в паб ты не получаешь вообще ничего. Даже если повезет, выдастся потная катка и тяжелая победа - радость от нее испарится через несколько минут, пока ищешь новый матч. A на одну интересную катку выдается 100 унылых тягомотен или динамичных сливов, который ничего в твою жизнь не принесет - просто минус один час этой жизни.
Каждая катка - это одна и та же игра, один и тот же сценарий, который ты отыгрывал десятки и сотни раз. Ничего нового в принципе не может произойти - либо кто-то из твоей тимы хуево играет, либо кто-то из вражеской тимы хуево и играет. Даже про-игроки вынуждены придерживаться заученной тактики, потому что игра такая - в ней анальный баланс, шаг влево, пук вправо - и ты уже потерял преимущество.
Больше всего на меня давил факт, что я добровольно тусуюсь с конченными ноулайферами, которые необоснованно и бессмысленно сыпят руганью - для них это нормальное общение. Но не для меня, мне-то это зачем? Я не получаю удовольствия от оскорбления тиммейта, независимо от того насколько он плохо играет. Короче тл;др - ни разу не пожалел об отказе от МОБА и не испытал желания засесть снова. Даже на бухалово проебанного времени не так жалко.
>>34534 чтобы бросить доту 2, нужно просто перестать в неё играть. нет секретного способа побороть зависимость. но есть некоторые фишки, которые помогут в этой нелёгкой борьбе. вбей в поисковике запрос "как освободиться от зависимости", и ты узнаешь их все.
>я же мужик че хочу то и делаю насчёт жены понимаю прекрасно.
желаю тебе сил и терпения.
мимо 22 лвл тоже бросаю играть в доту, отчислился из универа назло всем родственникам.
>>20015 >но трезвым ни игры, ни кино, ни дрочка так не заходят, тупо не тот эффект Это погоня за ритуалами и ностальгией - ты пытаешься снова пережить приятный опыт, который получил ранее. И это всегда бессмысленная, вредная затея. Два раза в одну реку не зайдешь.
У меня такая проблема была с прогулками под алкаху. Однажды я сделался ЛЮБИТЕЛЕМ ПОГУЛЯТЬ под музычку - просто ходил по незнакомым местам, искал интересные виды, делал фотки. В какой-то момент начал брать с собой китайский чай или крепкий кофе, а позже заменил его на пивасик и минивинчик из КБ.
Вскоре я заметил, что перестал искать новые споты, вместо этого топал на автомате в один и тот же сквер или заброшку. Причем обязательно под ту же музыку, которую я слушал, когда впервые там оказался. Тут-то я и понял, что изначальная идея этих прогулок исчезла - я больше не стремлюсь узнать или испытать что-то новое, я просто хочу опять пережить старое. И это получается все хуже, ведь музыка быстро теряет новизну, а алкоголь вызывает толерантность.
Закончилось все тем, что я просто стал нахуяриваться до неадеквата, под трешовые попсовые треки из детства-юности, которые по трезвой брезгую слушать. Прекратить это удалось только полной завязкой с алкоголем. Но и прогулки пришлось дропнуть, все равно от них больше кайфа нет. И таких как я очень много, многие не умеют на трезвую танцевать, играть, заниматься творчеством или даже сексом. И все оправдывают ностальгию, называют ее своей традицией, стилем, увлечением, призванием. Но это хуйня все. Ты просто выбираешь самый быстрый и простой путь, потому что ленишься искать что-то другое или боишься, что другого у тебя не получится.
>>28007 Вот это самый сложный парадокс, с одной стороны ты понимаешь что нужно быть моногамным чедом "уважать себя и свой выбор", с другой стороны у тебя в башку вшита матушкой природой программа ебать всё что движется а что не движется двигать и ебать, и вот на почве этой хуйни (дисонанса) могут появится проблемы с башней. Выбирай или верный муж переломивший своё начало, или ебаная козлина но в соответствии с естественным отбором. Похуй кого ебать главное новую?
Я вот читаю ваши истории и не понимаю, откуда столько проблем? Вы тут все либо шизики, либо наркеты, либо и то и другое. За очень малым исключением! Я куревом только баловался в отрочестве, после момента, когда мне нужно было пробежаться, я даже баловаться перестал! Единственное, что любил певасъ! И то - завтра 10 месяцев без алкоголя, и это второй результат за всю жизнь! Шел к этому месяц,и не сказать, чтобы претерпевал какие-то муки во время отказа. Что хочу сказать всем шизонаркетам и алкотунеядцам - приезжайте в какую-нибудь глухую деревню, приобретайте дом (там реально копейки выйдут 40-50 кило вечнодеревянных) и начинайте разрабатывать огород, и возьмите какую-нибудь живность - поросят, овец, коз. Питайтесь плодами трудов своих и не следите за политикой и прочей гадостью. Поверьте, через пару лет в обретёте спокойствие, постигнете дао и достигните нирвану, следовательно, станете счастливыми! Это рецепт счастья от человека, который не спился в деревне, в 35 лет от роду получил высшее образование и практически счастлив!
>>34677 >в 35 лет от роду получил высшее образование Смысл высшего образования в 35 лет? Смысл высшего образования, если ты там коз доишь в глухой деревне?
>>34677 >40-50 кило вечнодеревянных Рублей чтоли? Этого даже на бытовку не хватит. А помимо покупки и оформления дома с участком нужно еще купить и поставить водопровод, отопление. Скотина твоя обойдется дороже магазинного мяса, если вообще своей смертью не подохнет от твоих безумных сельхоз умений. На картохе одной долго не протянешь - все равно придется в магазине докупать продукты и хозяйственную поебень. На это уйдут остатки твоих сбережений, т.к. времени и сил на заработки после выкрутасов с лопатой на огороде у тебя не останется.
На самом деле дауншифт действительно обладает мощным эффектом. Только вкатываться нужно постепенно. На летний сезон можно дачу купить или в аренду взять, а зимовать в хруще с центральным отоплением и Магнитом во дворе.
>>35137 Бросил парить поды. Короче я тупо не менял испарик, парил пока уже гарь прям не пошла. И перелез от этого на сиги, но не смейтесь. Потом с пару месяцев я в день выкуривал 2-4 сигареты, постепенно снижая до 1, щас вот уже и не хочется само по себе даже одной.
Вся опасность вейпов в том, что ты можешь его парить хоть целый день, что и у меня было. Я отвращал себя от него гарью от старого испарика, потом же сигами. Сиги не покурить где угодно, но при ломке они помогали. Да и по состоянию организма, я чувствовал себя намного лучше, куря пару сиг в день, чем когда регулярно парил.
>>35137 Также как и любой другой никотин: выбрасываешь в мусорку все курево, а новое не покупаешь. Пока курево есть под рукой - дропнуть его не получится, но перспектива тащиться до магазина хоть какую-то фору даст твоей немощной воле.
>>3190 Бросил год назад из-за проблем с здоровьем + судимость теперь за хранение. По пьяне не хочется, но когда лежишь ночью и думаешь обо всем, вспоминаешь моментами и все тело ломится. Мерзость.
Всё, котоны, ПОЧТИ. Бросил алкаху, хожу в качал очку, считаю калории держу вес в норме. Бросил дрочку, наладил личную жизнь. Даже конплуктерные игры почти бросил, я видел в них уже всё, все сюжеты кажутся тупыми и банальными, весь экшон - однообразным, на графоний вообще похуй.
Единственное исключение - ебучий ВАРТАНДЕР. War Thunder – это самая масштабная бесплатная многопользовательская онлайн-игра из числа посвященных боевой технике. Доступны образцы времен самых разных войн и конфликтов – с начала XX века и до наших дней. Авиация, наземные силы и флот сражаются вместе в одном бою, как это и происходило в настоящих сражениях. В War Thunder можно поиграть на PC (Windows или Linux), Mac, PlayStation 4, PlayStation 5, Xbox One и Xbox Series X|S. На самом деле и тундру-то почти прошёл. Нагриндил уже всё, что хотел, геймплей заебал, топы вызывают зевоту, никакой тряски насчёт обновлений и прочего. Но Спитфайр, сука, не отпускает. КАКОЙ же он охуенный, просто не могу отказать себе в удовольствии сделать хотя бы один вылет в день. Остальное уже остоебенило с концами, надеюсь, и Спит надоест в обозримом будущем.
А, ну могу раз в неделю погонять в Третьих, но это так, считай, медитация, как раскидать пасьянс или расклад на Таро. Ну и с тянкой периодически друг другу морды в Теккене бьём, но это уже вообще другое, даже интимнее, чем секс, потому что тянок я в своей жизни трахнул овер 20, а вот в файтинги херачился только с четырьмя, из них с двумя - в сопливом детстве :3
Для меня вечер без трех банок пива это не вечер, а утро без виски это не утро. Уснуть сложнее будучи трезвым. Заебался. В качалку хожу года два наверное, но все равно нет ничего лучше пары баночек пива после хорошей трени. Сигареты курю крайне редко, но регулярно использую системы нагревания табака. Для меня еще есть шанс?
>>35820 Ты - это почти я пару лет назад. У меня как-то само пофиксилось... если это можно так назвать. Просто в какой-то момент начал замечать, что посли литрушки-полторашки пива стал меняться эффект. Всю жизнь ловил от этого расслабон, чилл, дзен и сонливость, но потом всё изменилось. Заметил, что некоторое время назад после пива стало скакать-снижаться настроение, такой нисходящей синусоидой. Выпьешь пивка, и в голову через полчасика начинают лезть дурные мысли, неприятные воспоминания, какие-то заёбы насчёт прошлых неудач, упущенных возможностей и прочего дерьма. Возможно, я начал трансформироваться в ту категорию людей, которые, выпив, начинают скулить и плакаться в жилетку окружающим и самому себе. В общем, на этой ноте и дропнул это всё. Мимо 35 лвл
>>35820 >В качалку хожу года два С похмела ты даже вполсилы не сделаешь упражнение, а похмелье продолжается больше суток, я гарантирую это. Никотин, независимо от происхождения, лишний раз угнетает ЦНС и снижает общую выносливость. Я сам не одобряю хардкорный фитнес, но ты мог бы получать в разы больше удовлетворения и прогресса от тренировок, если бы сам себя не связывал по рукам и ногам.
>вечер без трех банок пива это не вечер Если речь о стандартных банках 0,5 - это очень дохуя. Вангую, ты синячишь в одно жало, отчего не можешь адекватно контролировать степень опьянения. А если это происходит на ежедневной основе - у тебя толерантность и похеренная гормоналка. Как бы там ни было - это идеальная почва для алкоголизма и необратимых разрушений здоровья и психики. >утро без виски это не утро Вот это уже полный пиздец, если ты не утрируешь. Рекомендую ради любопытства отказаться полностью от алкоголя хотя бы на месяц - своими глазами увидишь, насколько глубока кроличья нора.
>>2273 (OP) Короче я тот анон, у которого было 6 лет ремисси после 12 лет медленной системы. Ключевое слово - было. Короче вмазался солью по синьке, причем меня наебали, лол, брал как амф. А на обратногм пути ещё и менты -приняли, суда ваот жду. Вмазавшись ещё раза 4 я понимаю что сам хуй тормозну, ложусь в дурку, причём в то отделение, где медсестрой работает тянучка, с которой я строил отношения, считал её компенсацией судьбы за всю хуйню в моей жизги. А ещё я позвонил ей пока ждал скоряк и признался во всём. Бля, на самом деле я переживал не из-за суда, проёбанной ремиссии и всего прочего, а из-за того что чувс вовала она, узнав обо всём. Выхожу из дурки, сразу же звоню ей,, разговариваем часа 2, в итоге она говорит что если остынет - продолжит со мной общаться. Я решаю что это пиздец и что делаю? - Всё верно, иду за пивом, хотя знал чем кончится с вероятностью 99%. Выпиваю 3 пив, скидываюсь с типом на ебучую чоль трескаюсь им пишу девочке чуть знакомой что из дурки вышел.3. Она меня кстати при знакомстве подогрела граммами 8 мефа, простор блядь -незнакомого на тот момент типа. В итоге доёбываем остатки соли, а потом просто пиздец: она говорит чтор ей нужно ехать за кол-вом меф, которое я только в новостях видел. Конечно предлагаю поехать с -ней, она соглашаетсяу. Я так то отличаюсь жадностью до кайфа огромной даже по меркам торчков, а тот пиздец - ставлюсь по пол-веса чуть ли не раз в полчаса. Все руки в задувах синяках, это был пиздец, у меня раньше после нкедельных марафонов винтовых. В итогге зависаю у неё 3 дня. На дорожку даёт мне ещё хуй знает сколько, грамм 5-7 точно. А на пути домой пишет дувушк,, мол разблокировала в вотсапе. Чувствую пиздец опять. Приезжа домой на 4 сутках вмазываюсь и опять переписываюсь с ней, постоянно вмазываясь и тщетно пытаясь подрочить. Сегодня поставил то что отложил, и поехал к психиатру. Не спалился, лол. Приехал, вмазался пытался подрочить, но никак и я вот это всё нааписал. Кайфа больше нет, хуй знает остоновлюсь сейчас или нет, но скорее всего врядли.
>>2273 (OP) За последние 3-4 года я постепенно отказался от алкоголя, сигарет, кофе, энергетиков, почти не ем сладкое, и в последнее время перешел на учет сожранных калорий, чтобы окончательно избавиться от лишнего жира и обрести молодецкую стройность. Само собой немного практикую турничок, который дома повесил. Также юзаю бодибар, гирю, гантельки, резинки, эспандеры. Не люблю дрочить одно и тоже упражнение, поэтому постоянно делаю что-то разное, лишь бы мышцы были в тонусе. Когда-то разожрался до 106 кг. В несколько этапов похудел на 20 кг. Хочу еще хотя бы на 5. Внешне сильно помолодел и вообще стал выглядеть более здоровым, а не как типичный заебанный жизнью скуфидон. Отказ от бухла сильно сократил мой круг общения. Люди отвалились сами собой. Новых особо не появилось. Да и в целом жизнь сильно изменилась. Высвободилось очень много времени, чтобы подумать о своей сраной жизни. Не сказал бы, что это сильно утешает. Какие-то вещи я проработал, а какие-то гнетут меня до сих пор. Раньше, я заливал свои травмы и переживания бухлом, тусил с такими же уебанами. А теперь вот всё нужно проживать, как-то решать. Частенько загоняюсь лишнего, но в петлю вроде пока не лезу. Характер стал совершенно другим. Становишься каким-то резким, жестким, грубоватым. Терпимость ко всякой хуете вообще нулевая. Хули удивляться, впервые в жизни в организме тестостерона стало больше, чем у девочки. Даже волосы стали темнее и кое где стали расти немного гуще, что меня совсем уж удивило. При этом твой эмоциональный фон становится более ровным. Нет лютого веселья и сильных упадков. Ты всегда примерно одинаковый, даже если ситуация требует как-то соответствую реагировать. Страхи почти все ушли. Как-то само собой начинаешь замечать, что вот эта хуеты вызывала раньше переживания на весь день, а теперь ты с трудом вспоминаешь, что там за хуйло вообще открывало рот и почему тебе должно быть не похуй.
Такая хуйня. Если себя перестать гробить, то реально больше на мужика начинаешь походить. Но не сказал бы, что эта гарантия хорошей счастливой жизни. Работы еще предстоит много. Просто хотя бы есть силы и желание что-то менять.
>>36160 Вот сука, все крутые истории такие начинаются с отказа от бухла и сигарет. Я бы с радостью тоже бросил, если бы пил и курил. Но я и не начинал. Один хуй жирный полуинвалид.
>>36164 Я бы не сказал, что это крутая история. У меня большую часть времени было ощущение, что я проебал годы, здоровье и возможности. Это вот когда ты трезво на жизнь свою начинаешь смотреть, то осознаешь сколько ты потратить, сколько всего упустил, во что себя превратил. И что впереди у тебя годы уйдут, чтобы стать хотя бы приблизительно нормальным человеком. От таких прозрений обычно тянет нажраться сильнее обычного, чтобы просто не думать об этом.
Ну а у тебя-то скорее всего есть что-то другое, с помощью чего ты убегаешь от проблем этого мира. Вот с этим и завяжи. Сразу найдется время.
>>36131 В общем всем спасибо за то что читали мои загоны. С тянкой окончательно пиздец, по трезвому подумал - она единственное что держало меня, как оказалось, хотя ей я конечно этого не скажу, нахуя груз такой на неё вещать. Нихуя не держит, значит ебашу до талого, на сколько оставшегося здоровья хватит. Ебись конём всё, хана. Не будьте как я анончики, цените трезвость, а я всё.
>>36309 Да, сдавал. Точный цифр сейчас не назову, но у меня снизился пролактин, высор тест, поднялся уровень витамина д и что то ещё, уже не помню что. Помню, что в целом кровь здоровая, но по этим показателям я бы за пределами референсов.
Не знаю, возможно таких людей не мало, но мне лично всегда было скучно пить или курить. Да! Всё так просто! Просто было скучно и потом становилось лень.
>>13745 Бросил курить дудку 10 лет назад. Курил год-полтора каждый день. Стал ловить думки и депресняки по накурке. Может быть лет через 30 будет лигалайз и на пенсии буду релаксировать. Но на данный момент это проблемы с законом и непонятный состав (ДВ, химка)
>>37861 А нахуя его жрать то? Я как-то с самых юных лет понял, что фастфуд параша ещё та, ем его только когда в маскву набегаю, ибо там с доступными едальнями напряг полный, либо шаурма/макдачка, либо рестораны с салатиком за сто тысяч. А что касается моих краёв, то за 300-350р я беру в вьетнамской жральне комплексный обед, куда входит примерно тонна еды суп, дохуя риса, жареное яйцо, куриная нога, свинина с курятиной кусочками, спринг ролл и салатик и объедаюсь до отвала, когда в вкусноточке на 300-350р я разве что за щёку могу взять, хули этот гамбургер с картошкой несчастной, через полчаса опять голодный.
Когда в шараге учился, то в общаге за четыре года обучения перебрал четыре разных соседа, и сука каждый раз я единственный готовил, а они на своих чебупелях, пельменях и дошиках сидели, хотя казалось бы, купи ты сраный кусок мяса и пожарь его, ничего сложного нет.
>>37868 >то за 300-350р я беру в вьетнамской жральне комплексный обед, куда входит примерно тонна еды суп, дохуя риса, жареное яйцо, куриная нога, свинина с курятиной кусочками, спринг ролл и салатик Что за коммунизм. Во всех вьетнамскх и паназиатских жральных сприн роллы по 250 руб за 2 штуки. Суп рублей 400 и второе блюдо тоже 400-500. Единственные кто ещё по ценам не с ума сошёл это шаурма.
>>37869 >Сложно, напряжно, невкусно. Взял кусок мяса, порезал на кубики, замариновал (моё любимое комбо - черный перец, кориандр, горчица и соевый соус), раскочегарил сковороду, закинул лук, пожарил. Параллельно на соседней конфорке гарнир по вкусу. Охуеть как сложно. Если хочется чего-то АЗИАТСКОГО, то в светофоре продается удон по 35р, дальше то же самое мясо порезать уже тонкими полосками, в красный перец и залить соевым соусом (лучше взять с вб китайский, отечественный параша), обжарить с болгарским перцем, соединить с лапшой - профит.И это я описал самые простые рецепты, будь в те времена у меня духовка, жизнь была бы ещё лучше. В хостеле вон недавно жил, иногда тушил картошку с мясом на всех, 40-50+ лвл мужики аж причмокивали и говорили "бля заебись братан", было приятно. >>37870 >Что за коммунизм. Это ты просто в места для лохов ходишь. Я с восточной части, иногда обитаю в городе с купюры, там в спальных районах есть трушные въетнамки, с туалетной бумагой вместо салфеток и ноткой антисанитарии. Спрингроллы тоже 350-400, но за 6 штук, всякие фобо и прочая хуйня по 300-350р. На пике этот самый комплексный, вроде кажется немного, но из-за риса никогда не смог доесть, хотя я ещё тот любитель пожрат. Ну и в зависимости от места разные вариации, где две ноги дают, где бедро, а где и вообще кальмар. В бульон ещё можно бахнуть красного перца, вообще охуенно выходит.
Бросил пить на волевых. Самочувствие оставляет желать. Ночью сплю ужасно. Сил еле хватает двигаться. Одышка от сигарет, которые пока не бросил, а то совсем помру от одиночества. Настроение, кстати, тоже говно. Ну, думаю, через пару месяцев полегче станет.
сап двач. был на "вахте" 3 недели, похудел на 4 кг. сейчас решил не терять прогресс, каждый день дома отжимания+подтягивания+планка+гиря. бросаю курить, но под алко это очень сложно. поэтому сделал выбор курить только когда пью. так легче(надеюсь). как сегодня😋
>>37761 Я гровил несколько лет подряд, больше 40 кустов скурил в одно рыло. В какой-то момент перестало приносить удовольствие, буквально первые 30 минут весело, а потом ничего хорошего - тупняк на полдня. И дальнейшие догонялки только усугубляют. Еще один день бессмысленно спущен в унитаз, и еще один, и еще. Толер растет не по дням, а по часам. Работать или просто сделать что-то полезное под этим делом нереально. А вот проебать работу, или внешку из-за обжорства, или приличный круг общения, или несудимость - это запросто.
И таки да - зависимость от дудки есть. Мозгу все равно приятнее нихуя не делать вообще, чем бороться со скукой и другими бытовыми проблемами.
В компании, конечно, курить веселее и расход гораздо меньше. Но ставить кого-то в известность об этом своем увлечении - первый и главный шаг под опеку майора. Если знает один даже ближайший друг детства - знают и все его друзья и их друзья тоже. А постоянно параноить об этом не хочется и когда тебя возьмут под белы руки, ты даже не сразу поймешь, что случилось.
>>37861 Тяжелая хрень. Обычно она сопровождается какими-то ритуалами, например видеоигры, просмотр сериалов под чипсики, встреча с друзьями в фастфуд-кафе. Поэтому ты бессознательно жрешь гораздо больше, чем хочешь. Если научишься смаковать небольшими порциями - они сильного вреда не нанесут. А после перейдешь на действительно вкусную еду, вместо этой перемороженной химозной суррогатины.
>>38723 ебашу уже лет 12 наверно, с небольшими перерывами. хуй знает как бросить, не бухаю. вроде решился подвязать и спустя время опять, не очень приятно если честно. зависимость есть, глупо это отрицать.
>>38731 Если не мешает жить - ебашь дальше. Как ни крути, это лучше алкоголизма и других зависимостей.
Если мешает жить - подходи с этой стороны. Обозначай, проговаривай с людьми, в идеале прописывай в дневнике свои ценности, которым мешает осуществиться нетрезвая голова. Тогда получится равноценный обмен: ты меняешь сиюминутный летучий кайф на инвестиции в будущее, которое принесет гораздо больше ништяков и удовольствия.
>>37868 >с доступными едальнями напряг полный Насчет ДС сейчас не знаю, а вот по мухосрани узбечки до сих вне конкуренции в этом плане. А шавуха - этож просто салатик с маянезом и 50г тухлого мяса.
>>38099 Держись в любом случае. Я бросил на волевых 8 лет назад. Сказать что мне вставили новый технологичный мозг - это ничего не сказать. Будто был муравьем, а стал доктором Манхэттеном) ну плюс я люблю психологию и изучаю сознание сам, книг 100+ прочитано по саморазвитию, психологии, религии, осознанности. Пришел уже к тому, что вижу программы психики свои и людей, вмжу как они формируют желания и тд. Чистота мозга от любой херни (алко, нарко, никотин, любые лекарства и бады) делают просто чудеса на долгой дистанции. Ты становишься властью , а не внешние вещества и смены настроений.
Други, я вот выше ответил анону бросающему, крч 8 лет ни капли алко, нарко и никотина. В 2016 после 3ей передозировки амфом и бутиратом бросил нахуй это все вместе с синькой и сигами в один день, первые полгода чисто тянуло психологически сильно. Первый года два не сильно уже, но психологически иногда тащило поднывало, думал, как же теперь отдыхать расслабляться и веселиться то без всех этих вещей. Но вместе со всеми плохими веществами и напитками я решил в итоге еще и бросить общаться вообще со всеми, с кем когда либо пил или делил дозу (обязательное условие для тех, кто бросает нарко) , ибо со временем выяснилось, когда уже был чистый , сидя с ними в компаниях мы говорим о том, как когда то пили, либо планируем как будем когда-нить круто пить. Все друзья собутыльниками оказались, а не родственными душами. Так вот. Параллельно изучал сознание человека , психологию, развивался нравственно и морально, чтоб заменить чем то всю эту шнягу. И получилось очень удачно. Понял, что бывшие наркоманы бывают и все бросить реально и даже не так чтобы пиздец сложно, просто физически не употребляй, а психология подтянется. Не скажу что зожник, осталась привычка похавать вкусно в лучших рестиках и вес лишний - теперь это тоже стараюсь контролировать. Ну и главное - мозга стало больше, точнее, его возможностей, интереса к бизнесу, миру, семье, живому потоку стало гораздо больше. Будто был соленым огурцом в банке раньше замаринованным в одном месте под стеклом, а теперь снова свежий огурец) чувств больше, вернулось ощущение как в детстве когда кайфуешь от прогулок, кайф от секса как в 15 лет, и сам секс по 20 минут уже не напряг. Надо не бросать и циклиться на мыслях об этом, а бросать и тут же желательно заменять это другим чем то, но обязательно интересным реально кайфовым для тебя - да хоть даже в приставку рубануться пару часов - лучше чем нахуяриться с друзьями и потерять вечер и следующий день ) интересы сам создаешь себе и ебашишь жизнь в кайф) Всем чистоты и покоя на душе, братья! Бросить можно все и вернуться к любым своим исходным данным с любой точки - ГАРАНТИРОВАННО. НУЖНО ТОЛЬКО РЕАЛЬНО ХОТЕТЬ ЭТОГО И НЕ ПИЗДЕТЬ СЕБЕ.
>>38941 >бросать и тут же желательно заменять это другим чем то Спасибо, что держишь в курсе - сами бы не догадались. >в приставку рубануться пару часов В том-то и проблема, что не интересно больше играть в приставки, клеить танчики и записывать репчик. Также не интересно с друзьями встречаться, хоть на трезвую, хоть за пивом - все одно и тоже, из года в год одни заезженные темы и воспоминания.
Есть ты, есть твоя работа, есть свободный от работы вечер и есть скука, которую не всегда получается побороть чаепитиями и йогой. Купить бухла - это один миллисекундный импульс. Но только ты даешь ему волю - все пропало. Держать этого джина под пробкой - занятие утомительное, долгое, а главное - бессмысленное в сухом остатке.
Для одинокого олда-сыча, без амбиций, без больших денег, без соцскиллов и без иллюзий есть только 2 стула, на которых можно усидеть в завязке: 1. Кормить себя каждый день мантрами про пользу саморазвития. 2. Найти уже бабу и завести семью. В других ситуациях от трезвости никаких профитов, к сожалению((
>>38971 Ну в общем, каждый сам себе дает определения и ставит себе рамки, а также сам себе разрешает или запрещает что то. От твоих сообщений фонит пессимизмом не потому, что ты реалист, а потому, что ты выбираешь страдать. Выбери не страдать и прислушиваться к себе получше - чего хочется реально в душе, ну заведи жену, заведи детей, заведи собаку, хоть кого, просто без живых рядом , без близости хоть с кем то - конечно человек начинает верить в то, что ничего хорошего в жизни нет. Мы ж все социальные существа. Хотя в монастырях вон ребята (в разных вообще религиях) не жалуются так сильно и не видят выхода в синеве. Но опять же - ты сам это себе говоришь и сам в это веришь, никто нам никогда не навязывает картины мира. Сами себя закидываем и ставим в условия и рамки. Придумали себе концепцию и в ней играемся, драмы устраиваем, переживания, будто блеять это все настолько реально. Верой своей только разгоняем трагедию.
>>39048 > Но опять же - ты сам это себе говоришь и сам в это веришь, никто нам никогда не навязывает картины мира. Сами себя закидываем и ставим в условия и рамки. Придумали себе концепцию и в ней играемся, драмы устраиваем, переживания, будто блеять это все настолько реально. Верой своей только разгоняем трагедию. Я так понимаю нарко очень сильно отупляет, если такие простые вещи становятся откровением?
бросил кофе и вобще стало не интересно играть в игры . Вобще трезвая жизнь в которой большая часть повседневной бытовухи у меня крайне унылая. Хочется хоть иногда разъебаться хоть чем то , только для того чтоб было банально повеселее жить . А так в жизни к сожалению с годами все меньше и меньше радости увы. Иногда так задумываешься , когда уже конец этой тягомотине . А вот в молодом возрасте " отказаться " от чего то вредного это прям событие - интересно за собой наблюдать и за изменениями , но когда уже делаешь это хуеву тучу раз , то уже не особо в этом есть смысл . Да лучше чувствуешь себя , легче жить , но не более
>>39404 добавлю Жаль , что в жизни при таких сногсшибательных масштабах творения и возможностях ,у обычного человека со средними возможностями так много переживаний , проблем и забот , что сильно невелирует эту радость бытия и праздника жизни . Поэтому осуждать петровича который сел на скамеечке вечером после работы выпить бутылочку "Степана Разина" нельзя, пусть пьет на здоровье, есле это не вредит окружению и хоть как-то облегчает ему непростую жизнь обычного гражданина 2024
Не курю уже 62 дня. Полностью отказался от никотина. В целом употреблял никотин: нюхательный табак, насвай, снюсс, сигареты и вейп около 10-11 лет. Сплошные плюсы во всём: Наладился режим сна - стал ложиться раньше и вставать раньше, зубы стали светлее, нет очевидного запаха изо рта и от пальцев, нет этого блядского желания покурить каждый час, не говоря о тревоги, если нет сигарет, судя по приложению сэкономил уже 7к рублей. Так же, увеличилось кол-во свободного времени - на одну сижку уходило всего 5 минут, но как отказался, такое чувство, что прибавилось несколько часов.
>>36590 Нихуя, к сожалению даже моему, как оказалось, Ебать, тупо который раз на те же грабли, а думал я хотя и умом то не блещу, прямо сказать, правда при поверхностном знакомстве, поскольку читать люблю до сих пор, это в глаза не бросается, тупо за счёт эрудиции, которую с какого-то хера многие принимают за основной признак ума, лол. А уж поступки если взять, то конченный дебил, ахах ебать я усугубил ситуацию, которая и так то не очень была, лол, предполагая что хуже не станет уже, но как всегда наебался
>>39508 Сразу обозначу, что во первых настолко хз что делать и к кому с такими вопросами пойти, что в интернеты вылез, да ещё в вк, и решил обратиться к тем, кто ещё живой из комьюнити ДЮ, который застал ещё винклубом, многое для себя почерпнул, ну как тогда думал) в смысле как варить да про вреда снижение, что сохранило мне жизнь пару раз, это те, которые сейчас, спустя 6 лет ремиссии всплыли в голове сразу, как толко упомянул.
Реально на дурку я первый раз отпавился года в 22 наверное, по совету старого торчка, внезапно снизошедшего, как мне показалось, до меня ( хотя теперь примерно понимаю естественно его чувства, ну точнее предполагаю, что чувствует то же по отношению к молодым товарищам по несчастью. Какую то смесь из бессильного сочувствия что ли, при этом осознание что слова мимо пройдут скорее всего) лет за 50 прожитых, и половину из них она на лагере провёл, это сейчас думаю в ту сторону, что это не в его пользу наверное говорит хотя тогда это по другому воспринималось, причём не только мной, да и было, на тот момент наверное действительно за идею чтоль какую-то, не в смысле Людскую, но не мог же человек раз за разом на лагерь заезжать, по убеждениям одним, он вроде Вором то не был. Хотя если вдуматься, с дуркой то идентичная история у меня, хаха одно время даже с санитарами накуривался, которые мутили через меня, хотя выглядит это пиздежом откровенным, как и легенды, о том что сотрудники на ночь уходили спать, оставив, сознательным торчкам, которые там преобладают среди соображающего населеления, потому как я то и не один такой оказался, Так бля, отвлекаюсь пиздец, пока пишу, бОльшая часть скорее всего сочтёт это гоном и заморочкой упоровшегося завсегдатая дурдома, что возмо так и есть, ахаха, толко сейчас в эту сторону подумал)Ебать, да я только тем как мыслью растекаюсь палюсь) Хотя тут то чего скрывать, анонимность же, пускай и относительная. Но то что палюсь, точнее прям ментам в глаза бросаюсь, стало последней каплей, это не паранойя если что, сами вчера сказали, когда тормознули, когда я толко отошёл от адреса, где не нашёл, и в тот то момент тупо заржал от радости скорее, с ментами привык попрще быть, но они сказали что за километр видно что упоротый, не смотря на то что ночь, ахаха, и вроде не пиздили, по крайней мере они ж не моглли знать сколкьно я там в перекрышке лазать буду, да и то что не нашёл тоже о том что не ждали спецом меня там, да и последующее общение в ту же сторну говорило. Как всегда, "запрещенные предметы, и вещества иметете при себе?"Ну а посколку я в таком виде был, и осознавал это, да и машинки, хоть и не юзаные, в сумке, что при себе была, не оставляли вариантов, а может внезапно честность не вовремя выскочила, я ж все 6 с хуем лет учился не пиздеть, нихуя не научился особо, а вот честность нихуя ещё не вовремя проявляется, что ещё больше осложняет общение с нормальными, в смысле не употребляющими, людьми. Из которых мне правда только один и был важен, причём появилась она просто по какой то, как я думал, хотя в Бога не верю, в судьбу тоже, но хз, компенсацией или наоборот, кредитом, выданным мне, за 12 лет только медленной системы, в чём я до недавнего времени корень своих проблем видел, сепйчас уже не так уверен, хаха, подвели как раз стимуляторы, которых я возжелал, конечно после синьки, которую употребил чисто решив, что основная угроза за столко время хоть и не исчезла, но подрассосалась что ли, хотя всегда знал что так и бывает всегда, причем сначала тупо слова об этом и не воспринимал от людей других, как известно дураки только на своих ошибках учаться, но вот заметил, что все кто смог тормознуть при жизни, именно так и заканчивали, мира им и покоя, хоть на том свете, хотя лично я уверен после клинической, естественно, полученным по классике - развязав по синей дыне ремиссию длинной в ЦЕЛЫЕ, 6 недель чтоли, тогда достижением было для меня, лет в районе 25 мне чтоли было, стаж то на тот момент приличный был, я чёта рано заторчал, первый раз вмазался, сам кстати, амфом в школе ещё, ебааать, когда ж это было, класс 10 вроде, до этого нюхал только, хотя история то всем тут знакомая, если вдруг не по себе, то по близким людям. Трава до этого, которая дала мысли о том, что не так страшны все наркотики, меня ж как и всех учили что наркоманы обколятся марихуаной и в жопы ябуться, как сейчас малолетки под мефом, хоть и не осуждаю их в общем-то, сейчас всё вроде по другому стало, да и меф ебашить мне состояние вен не позволяет, да и то, что стопа у меня нету совсем, причём до сих пор, как оказалось, попал в ситуацию, к слову совершенно случайно, когда стаффа было неограниченное колличество, только попробовав, ставил столко, что на половине баяна на приходе тупо баян выскакивал не только из вены, но тупо из рук и валился на приход, который до того думал что приходом только с винта ощущения можно назвать, что подкупило конечно в том числе, но когда домой поехал, тупо был вынужден бинтами эластичными руки замотать, за хз какие марафоны, когда тупо нахлобученый казнился, уже дажде не видя где вены, в надежде на счастливый случай что ли, тыкал тупо в руку, и пытался контроль взять, потому что как-то в самом начале мне это удалось исполнить. Бля я уже на столько потерялся, что пиздец, с трудом вспоминаю о чём не то что наинал писать, а вот писал толко что))) Но думаю что здесь это знакомо многим, потому продолжу что ли, кто до сих пор это читает, если такие будут - по каким то не вполне ясным мне причинам дочитали, скорее всего и продолжат, может кстати тупо как у меня с Войной и Миром история была, хаха, первые 2 тома читал, в ожидании чего-то интересного, оставшиеся 2 из принципа какого-то дочитывал. Ебать меня вообще несёт не туда, а я начиная только это писать думал что гоню, хаха, как всегда - оказалось что даже с казалось бы дна, есть куда упасть.
Ебаать, думал отредактировать потом, но видно не буду, силы чёта оставляют, а догоняться пойду - надеюсь хоть подрочить заморочает, а то бля всё время отвлекаюсь, открыв 100 вкладок в начале блуждаю, выискивая что-то) Так вот, нахуя я писать то начал, только вспомнил, ну вернулся мыслью, хоть и с трудом. А то чёта вывалил всё говно, хотя и не думал что его столько, ха. Вопрос, ну на данный момент по крайней мере я пребываю в уверенности, что он важен:
Коро)че говоря, прямо в 2ух словах, да догоняться пойду уже, а то потом хуй смогу,вены, казалось бы вылезшие, причём совершенно неожиданно, так же внезапно ушли, хотя берёг остатки как мог, да и корме вышеупомянутого мефового марафона, берёг, осознавая, что видимо не раз придтся ими пользоваться , берёг, да как сберечь то, видимость одна как оказалось, фотку бы скинул, да боюсь деанона)) аха, интересно, это параноя уже? Ебать, да какая разница, хули я так стремлюсь понять мотивы всех своих поступков а порой и мыслей, сейчас вообще нее в тему это Ебать, снова отвлёкся, да что ж такое)) Хотя хули я удивляюсь, Въебал сразу почти четверть грамма, альфы конечно, хотя когда она пошла на дурке отдыхал около 11 месяцев, ибо заебал врача тем что, не успев выписаться, тут же, не своей волей правда, прогуляв пару недель буквально, при том что лежали там как и сейчас, по 21-18 дней, которые тогда в силу пивычки и наверное юности, вечностью казаллись, да и не адаптировался я тогда к тамошним реалиям да и тупо порядкам, взять хотя бы что 10 сигарет на сутки давали(когда я только поступал было именно так, сейчас в других отделениях, не всех правда, даже сотрудники курить за территорию вынуждены ходить, а дураки о сигаретах дже не мечтают, но я же наркоман, да ещё живой, и даже если и с диагнозом, который в Склифе правда сняли, когда я врача заебал, о чём выше вроде писал, а может и нет, хаха. Бля, вроде пол-девятого сделал четвертину за 2 раза, внезапно поняв это даже испугался, хотя толера то и быть не должно, не пиздел я про 5-6 раз, наркоман конечно всегда врёт, о чём во всеуслышание заявлял Вася В, из команды Кирпичи, в пестне, торчи, пидорас, торчи!) Ебаать ну всё, совсем несёт уже. Внезапно осознал, что этот абзац, начал ссо слов: -Коро)че говоря, прямо в 2ух словах, короче на этом пока закончу, а то случано обнаружил залежи качественной эротики старой, в вк, думал загон, а оказалось реально акк сэротикой, правда не только, но это тот случай как раз, когда ошибка приводит к удивительным открытиям. Я то чщетно в порнхаб упёрся, на заморочках одно и тоже искал
>>39509 Хотел в группе вк сейчас поинтересоваться к чему, готовиться, вот такую хуйню выдал, не отправил слава богу, но там и так дохуя сказано, не смотря на то что оборвалось всё, когда на эротику наткнулся, ахах, прада так и и не приступил к делу, ради которого и взял в этот раз, думал на последок юность вспомню, в итоге опять роковая ошибка, чудом пронесло,
Бля, ещё к этому и то привело, что порнуха не сортирована, и идёт в перемешку с видео, которые тоже для меня интересны. Держу в курсе, лол. Блин, странная хуйня эта альфа, в том плане что не привычно совершенно,вроде и стимулятор, но эйфории нихера и нету, что списывал сначала на то что гормоны удовольствия не вырабатываються после столких лет на опиях. В любом случае - это говно, тут двух мнений быть не может, но мефом догоняться каждые полчаса нужно, я охуел, когда совершенно случайно оказался доступны любые колличества на халяву, это когда девочку совершенно не знакомую, до этого, но которая мне, на тот момент абсолютно левому типупу, который ныл и взять просил помочь, аха, изначально рассчитывая что тупо перекидают на большую часть денег и я оставлю эту идею, подогрела меня аж 10 граммами, 5 из которых я правда проебал, тупо поехав к типу в той же группе, поправленный, и думая что торчки теперь другие стали, ахаха, но тот был старой закалки т, из за чего я правда ещё больше расслабился, потому что подьезжая, был готов к тому, что это менты, после последнего оопыта общения с которыми у меня язык их не поворачивается мусорами называть, аха, изменилось всё пиздец. Ебаать, я вроде об этом в вышезапощенной простыне писал. Не, принимаю волевое решение, презрев параною, отправится сделаться и приступить в делу, ради которго я и брал стимуляторы практически всегда)
Ахах, из группы, то пидорнули удивлён правда что так быстро, лол, писал туда, оправдывая себя следующими причинами, ну на тот момент казалось вполне себе норм, да и если бы не нафлудил столько - оно б так и было, но ебать меня просто понесло, ахаха.Вместо кратко сформулированного вопроса, который решил задать, посчитав, что писать в комментах ту запощенную выше простынь тупо не прилично, ахах, а в итоге всё вылилось в прсостыню же, но чуть меньше, ебаать, этого даже старые торчки с ДЮ не потерпели, хотя я б тоже до последних событий именно так и отнёсся бы сам. Короче, эти вот высеры должны были в моей упоротой голове как минимум пояснить, если не мои чувсств и мысли, оказалось, внезапно, да и к двачу привык, лол пришёл то при Педалике ещё, хотя и на тот момент ньюфагов не котировали, это мне в даанный
>>39440 Как говорил Марк Твен: нет ничего проще, чем бросить курить. У меня уже раз 10 получалось.
>Сплошные плюсы во всём Двачую. От большинства зависимостей есть ощутимые профиты - ты понимаешь зачем конкретно хочешь выпить, юзануть или обожраться какие изменения после этого произойдут в голове. А никотин просто куришь, чтобы сбросить желание покурить на короткое время и все. Сам создал себе проблему и сам ее героически преодолеваешь, еще и платишь за это деньгами и здоровьем.
>>2273 (OP) Импульсивным анонам, которые испытывают трудности с подавлением, рекомендую попробовать дыхательные медитативные практики. Знаю, звучит сомнительно, мне самому помогает 1 раз из 10. Но помогает. Может кто-то сможет выдавить из этой техники больше пользы. Тем более что она элементарна в исполнении и бесплатна - почему бы не попробовать.
Короче, когда накатывает навязчивое желание, выпить например, и ты понимаешь умом, что это ничем хорошим не закончится, но ни о чем другом больше думать не можешь - попробуй взять по контроль поток мыслей. Сядь в спокойное место, где никто и ничто тебя не отвлечет - создай полную пустоту вокруг себя и закрой глаза. Следи за дыханием - делай какой хочешь глубокий вдох и выдох в 2 раза медленнее. Думай о чем хочешь, но соблюдай это единственное простое правило, которое вскоре окажется нихуя не простым - сердце ебашит, мысли тянут сознание одновременно в 10 разных сторон. Когда поймешь это - попытайся вручную закрыть лишние процессы, оставаясь сосредоточенным на одном - правильном дыхании. Через несколько минут почувствуешь себя намного легче, голова освободится от мусора, в т.ч. навязчивых желаний.
Вредные импульсы сложно блокировать когда они кружатся в бесконтрольном информационном вихре вперемешку с работой и бытовухой. Тебе кажется, что ты спокойно и адекватно занимаешься своими делами, а на самом деле ты как затравленный пес кидаешься на все подряд, что попадает в поле зрения.
а вот скажи мне, двач, что за хуйня с алкоголем русским? Выпьешь банку пива или стопку чего покрепче и всё, пиздец, не остановишься, прям тянет продолжать пить.. Купишь пива чешского или немецкого, выпил баночку, утолил пивную жажду и всё, больше не хочется. С водкой или вискарём такая же петрушка, даже с пахмы не болеешь и похмелиться не тянет... Мне кажется, что дело всё же в качестве алкоголя, а не в человеках... (это я про алкашей, сам такой)))
>>40037 >>НИСМЕТЬ АБИЖЯТЬ ИНАСТРАНЫЙ СТЕКЛОМОЙ!! ОН НИТАКОЙ ОН ДРУГОЙ БОЛИЕ КАЧЫСВИНЫЙ И НОТУРАЛЬНЫЙ И АПЬЯНЕНЕЕ АТ НИВО БОЛЕЕ ДРУГОЕ БЛАГОДАТНОЕ ТАКОЕ ЦЕВЕЛЕЗОВАНАЯ НИ ТОШТА У НАС!
>>39979 Батя когда бросал курить, сказал что сигарет нормальных почти не осталось. Если раньше он курил и чувствовал запах табака, то потом курил и чувствовал запах жженой бумаги. Никакого удовольствия уже курить не было, вот и бросил. Или другой пример. Я как-то купил российский закос под Liton, 37 рублей за пол литра. Мало того, что бутылкой будто в футбол играли, так само пойло на вкус обжигает горло пиздец и безвкусное, как это пить я ума не приложу. Так что да, смехдержава обосралась даже в производстве сигарет/напитков. Про алкоголь сказать не могу, к своему счастью не пробовал вообще.
>>40034 >>40053 Это какой-то особый алкоголизм, который просыпается только для российского пойла?
>>2273 (OP) Вот все говорят что сахар сложно бросить, но уже 6 недель ничего сладкого не ел и не тянет. А вот с алко не получается. Решил завязать пятничные посиделки с бухлом у компа, та неделя прошло отлично, пятницу как-то проскочил из-за хуевой погоды, а вот вчера вечером вышел пробздеться и в итоге вернулся с 6 банками пива.
>>40129 Сочувствую, сам иногда срываюсь на казуальный запой, хотя в свое время успешно дропнул вещ-ва, никотин и сахар.
Могу порекомендовать анально расписывать каждый день, чтобы некогда было скучать. Если фрилансишь - переноси основной объем работы на вторую половину дня. Фиксируй выполненные задачи, чтобы не заниматься самобичеванием на срывах. Если пьешь кофе - переходи на чай. Заметил, что под кофе значительно труднее контролировать алкоимпульсы.
>вышел пробздеться и в итоге вернулся с 6 банками Вот это вообще засада. Гулять обязательно надо каждый день, но КБ манит своими огнями за километр. 9 из 10 моих срывов по этой причине происходят. Можно попробовать выходить без денег, лол. А если серьезно, надо просто обозначить в голове алкомагазины как вредные, заминированные точки. Как аномалии в Сталкере.
>>40167 Только если пьешь ради вкуса, а не опьянения. Но мне кажется таких людей не бывает в природе. Сомелье и прочие хипсторы не в счет - они кайф ловят от своей элитности, а не от напитка.
У меня ебанутый организм, я влезают в любое говно, довольно урча надеюсь его до блевотины и теряю к нему всякий интерес. Просто надоело и дропнул без мучений алкоголь, шишки/гаш, меф, мамоёбство, сладкое. Давно надоело просто до выцветшей пустышки, не хочу и нахуй не надо.
Пока не могу бросить курить только. Пробовал воздерживаться - пару дней как бы чуть чуть ломает, но потом ок. Зато через месяц без сигарет меня прям на работе накрыла паническая атака, в голове миллиарды мыслей бегают, пульс 150, ощущение что если щас не закурю то уеду в дурку/на кладбище. Выкурил 2 сижки подряд, вернулся в полную норму и решил хуй с ним лучше портить здоровье дымом, чем вот так. Как слезть в итоге без такой ломки я хз
>>40215 >У меня ебанутый организм Организм в норме, иначе мы бы с тобой не разговаривали. У тебя со психикой проблемы. Скорее всего в детстве недолюбили или может резко разлюбили как было со мной - обычно такие дети вырастают в торчей, алкашей и социопатов, по пути обзаводясь букетом психических расстройств.
Хочется внимания, заботы, ярких ощущений и всеобщего праздника нон-стоп 24-7. Но в жизни так не бывает - любая Флорентина тебе надоест, если будешь жрать только ее всю неделю. ДР и НГ потому такие охуенные, что только раз в году бывают.
>Как слезть в итоге без такой ломки Никак. Любишь кататься - люби и саночки возить. Если нервную систему не нагружать до предела - тогда и сильного кайфа не получишь. Но регулярные перегрузки не проходят без последствий.
>надеюсь его до блевотины и теряю к нему всякий интерес У меня также. Я уже знаю, что если меня сейчас что-то сильно захватило, то я буду им обмазываться день и ночь, пока тошно не станет. Единственный способ этого избежать - вручную затормозить и переключиться на что-то другое. Только самоконтроль и дисциплина: собираешь яйца в кулак и не спускаешь себя с поводка. Хотя, как показывает опыт - это решение совсем неоднозначное. Например, если тебе сейчас 16 лвл и ты тащишься от трендов тиктока и мемов про унитазы в ГМ - лучше сейчас ими насладиться. Потому что через 5-10 лет такое будет уже не интересно и не с кем будет ололокать.
Ну и, конечно, больше знаний и открытий, чтобы не прекращался поток новых ништяков, на которых можно заморочиться. Когда начнешь серьезно разбираться в науке или искусстве - ебу дашь какое там непаханое поле драгоценностей, при этом совершенно бесплатных и безвредных.
>>2273 (OP) >сахар не пью не курю от сладкого держался до 32 лет, в крови было строго 4,5 потом сорвался и сахар в крови стал 5,5...6 резко ухудшилась кожа, уменьшилась мышца и в целом ухудшилось здоровье
>>41849 А ещё я сегодня или вчера, или хуй знаети когда узнал, что с недел ьного солевого марафона перекрывает вообще пиздец, амф или винт тот же и рядом не стояли. А снятся, оказывается поставившись полкой мефа. хоть какая-тор польза от этого говна есть, лол. Ну, мало-ли, приггодится кому.
>>40984 Смех смехом, а я недавно узнал, что являюсь бессознательным пальценюхом. Короче работаю на удаленке, как-то просматривал старые записи и с ужасом узрел, как рефлекторно чешу затылок, а после подношу пальцы к носу. Коллеги и клиенты тоже это видят. Пиздец. Осознанно я бы такого никогда не сделал, даже сам поглумился бы над такой мерзкой привычкой. Но когда погружаюсь в рабочий процесс - бессознательная моторика лезет наружу.
Теперь ищу способ максимально зашакалить запись с вебки. Каждый день этот позор вспоминаю.
>>42052 Короче пора в ремиссию, хоть ненадолго. Тупо почти вес задул, нахуй так жить.Вены ушли с этого говна в момент.Ща последний камень таки задвинул ввв, но даже не подрочить( Корвалола баночку и спать. Держу в курсе
>>40129 Как хорошо что я за свою жизнь так и не начал пить. А вот зависимость от сахара я не могу побороть. Каждый день возникает острое желание съесть что-то шоколадное.
Докладываю. Нахуячил мимо вены на абсцесс, и с 16 октября не кололся. Ну, правда дуки покурил пару раз, вообще случайно досталась. Но без соли этой голимой. Деньги сразу правда девочке отдаю. Ебать как она меня терпит.
>>40129 Скоро пятницы перерастут в каждый день. Эта херня всегда прогрессирует по определению. Лучше завязывай, потом будет очень сложно очень сложно будет морально попрощаться с бухлом и переключить мозг, а дальше дело техники, если всё правильно делать
Полгода назад бросил пить и курить, заменил пивас качественной минералкой, а перекуры - турником. 3 месяца не употреблял ничего сахарного. Стал чисто радоваться жизни и набрал мышечную массу. Бросай дерьмовые зависимости, анон, оно того стоит.
>заменил пивас качественной минералкой Это как заменить просмотр аниме вышиванием крестиком: тоже хорошо, но связи нет. Чтобы отказаться от подпивасных вечеров нужно найти что-то аналогично расслабляющее и доступное - для работающего скуфа это почти нереально. >перекуры - турником Физуху двачую. С утра побегал - весь день красавчик.
>>43992 >А я перешел на пуэр Чайная магия быстро набирает толер - приходится делать перерывы. Благо есть альтернативы из БАДов.
>>2785 может стоит сменить потребляемые лекарства, раз стрессуешь постоянно?
Я просто хочу выговориться...
Мужик09/12/24 Пнд 21:55:06№44611312
Всем привет, ребята) Хочу немного поделиться своей историей, скорее мне нужно просто выговориться , ибо мое окружение совершенно меня не понимает да и я сам не хочу смотреть на скучные лица , которые якобы слушают меня=) Мне 23 года, приближается 24! Года два назад я начал задумываться о своём образе жизни, всё из-за мелки проблем со здоровьем. Я в целом никогда не жаловался на внешность и какие-то проблемы= ибо меня всё устраивало , но в один момент в моём организме как будто что то изменилось. Это начало происходить довольно быстро. Лицо начало покрываться акне, хотя в школьный период меня это никогда не трогало. Проблемы с самочуствием, постоянная тревога или апатия. Если коротко говорить, то с первым своим наркотиком я познакомился в 14-15 лет - это был никотин. Только с годами начал понимать слова - всё начинается с малого. Так вот, начал пока курить сигареты , хотя до этого всю жизнь посвятил футболу, но переезд в маленький город и знакомство с новой компанией повлекло за собой массу вредных привычек. Так вот, пока сигареты, потом лет в 16 в арсенале появилась травка, курил её так же как и сигареты вплоть до 23 лет. Естественно в старших классах начал выпивать алко, достаточно много. Совершенно забил на спорт( иногда конечно занимался , но уже, раз в неделю мог на турники сходить. Короче, весь этот аморальный для здоровья образ жизни, как я пониаю дал о себе знать во всей красе в этом году. И вот, я единственный из своего окружения, кто начал биться за самого себя, за своё здоровье, но боже, сколько же трудностей я переживаю. Сигареты уже не курю два месяца, врать не буду, с никотина я пока не слез, подсел на снюсы, но вот завтра собираюсь отказаться и от этого( именно чувство того, что завтра я начинаю своё полностью здоровый образ жизни, сподвигло меня написать такой огромный пост). Иногда случалось, что бывал без никотина двое суток... очень странные этапы, как будто я был не в своем теле, весь ватный( не знаю с чем это связанно), конечно же бывал в такие моменты очень нервным и агрессивным. Сейчас даже интересно, а что будет через неделю? Этот интерес тоже движет мной. Интерес того , как живут люди без вредных привычек, как они себя чувствуют? Отказ от алко и травки на меня никак не повлиял, нет какой то тяги, я как будто перенасытился этим. Поэтому не вижу смысла даже говорить про это. Хотя врать не буду, пить не пью уже очень давно, могу тоолько на праздниках выпить пару стаканов домашнего вина, но вот пару раз травку всё же дунул - за что очень себя винил, всё же срывы иногда заставляют ощуить чувство, что зря столкьо времени жил без этого, но конечно же не грустил долго, всё же мелкими шагами к большим достижениям! К чему я это всё, не хочу заебывать... хотя уже как будто наныл на целую книгу=) А к тому, что пожелайте мне удачи и не сорваться! Всё же завтра я начинаю своё тяжелый путь! Завтра я отказываюсь от любой формы наркотиков!(для заметки- употреблял в своей жизни лсд, фарму, бывал пару раз меф, но это всё уже забыто, никогда не тянуло к этому, скорее разовые случаи и то, для интереса) Если всё же сорвусь, обязательно ( для себя) тут отпишу! ДУмаю, если смогу продержаться, буду раз в неделю описывать своё самочувствие, да и в целом что и как происходит. Всем добра, удачи и сил , что бы победить эти вредные привычки!
>>39979 >хуйня с алкоголем русским Место прОклятое. Не пей воду, в неё что-то добавляют. Я помню в юности очень знатно охуел, когда решил как-то на выходных расслабиться, отпустить тормоза и немножко наебениться. Взял 0,5 Абсолюта, подготовился как надо: картошечка, грибочки, сало, огурчики солёные - красота. Уговорил всё это дело, и на следующее утро ВООБЩЕ НИКАКИХ последствий, ни похмелья, ни перегара, ни тем более "ощущения, что ты до сих пор бухой" - как будто чай пил. Что происходило с моим телом, если я пытался повторить подобный приколдэс, но с Парламентом или любой другой рассеянской водкой вообще, любого качества и ценового сегмента - даже вспоминать не хочется. При том, что всегда брал НОРМАЛЬНУЮ водку, тупо спирт+вода, а не всякую бодягу с сахарными сиропами, мёдом и прочим говном, от которого сдохнуть хочется. И неважно, чего там за спирт, Люкс, Альфа, Хуяльфа - результат всегда один.
С пивасом немного другая история. Выпьешь импортного - освежает, поднимает настроение, или согревает, если это крепкий портер какой. В этом плане всегда любил ультра-лёгкое азиатское рисовое пивко, с крепостью 3-3,5. А выпьешь пару пива нашего - настроение начинает скакать по ебаной синусоиде, в голову лезут самые мрачные мысли и самые хуёвые воспоминания, хочется купить ещё литра 3-4, чтобы наебениться уже окончательно, удариться о дно и забыться. И, опять же, неважно, что это - крафт-хуяфт, или ссанина "сваренная по лицензии под контролем оФФициальных контролёров".
всю жизнь ел сладкое с самого детства, сейчас пытаюсь слезть, сегодня начал. решил полностью и резко отказаться, тк когда пытался отказываться постепенно, то это постепенно перерастало в обычное состояние. также от фапа пытаюсь избавиться как от зависимости, потому что занимаюсь этим даже когда не хочу. щас 5 дней держу, рекорд был 40 с чем-то максимум.
Сап. Тред не читал Есть кто интернет-зависимый? Это пиздец, это высасывает из меня жизненные силы но остановиться я не могу. Схема такая, двач-ютуб-инстаграм, по кругу, без остановки, всегда. Во время работы - слушаю видосики, во время засыпания тоже. Остальное время это чтение двачей или залипание в инсту. Мне просто жаль своего времени и своей жизни на потребление этого кала, но у меня сложилась настолько нездоровая тяга, что если встать утром и попытаться держаться не беря в руки телефон, то кажется, что я вот прям щас просираю столько всего важного интересного и мне надо срочно туда залезть. Хотя умом я понимаю что я дёргаю дофаминовый рычаг и заглушаю тревогу. Как выбираться не придумал, понятия не имею. Даже если я устраиваю себе какой-то активный отдых, то после этого садясь за комп работать я подрубаю ютубчик чтоб сидеть было повеселей, а потом в середине дня обнаруживаю себя на диване с телефоном в руках вот уже час и со спущенными шатанами
>>45064 Че ты в инстасраме-то смотришь, нормис? Рецепт только один: брать и не смотреть. Мамка с ремнем больше не прибежит и компудахтер не отнимет, так что думай сам.
>>3659 Это похоже на РАС(расстройство аутистического спектра), прикреплю тесты, а так вообще нужно жить жизнь, жить ее так что бы времени на такую хуйню не хватало, я сам в доту играю, но не много, с кентами чисто вечерком могу сгонять. Если хочешь раз и на всегда отказаться, то тут как и со всеми другими зависимостями - просто дай себе обещание что больше никогда ее не скачаешь, никогда больше туда не зайдешь. если хоть чуточку себя уважаешь - избавишься.
>>42264 Я еще живой, псосны. Хоитя кого это ебет) Вроде тормознул, но теперь жопа оказалась не только в употреблении. Рзъебал телеофн - соответственно работать не могу, паспорт тоже хз где, лол. Пенсия прийдет - хуй снимишь. Зато не торчу бля. Только нахуя, лол. Девочка мириться хочет, а у меня нет уверенности что не сорвусь и не огорчу ее. С одной стороны хочется быть с ней, с другой - если сорвусь - она опять огорчится. а с нее хватит этого говна.
Бросил курить, но все равно что-то с легкими.
Мужик13/02/25 Чтв 01:58:50№47125324
23 лвл, нормис. Бросил сигареты и начался хрип в легких. К врачу ходил! Постоянно хуячит мне бронхит. Из-за того что слышит хрипы. Пью сиропчик неделю - все проходит. После недели/двух начинается тоже самое. Жить никак не мешает. Ярко не выражено. Просто хрипы и свисты когда лежу, кашля нет, мокроты тоже. Астмой не страдал. Была аллергия на березовую пыльцу, во время которой начинался этот злоебучий бронхит, после АСИТ терапии ушла и уже нет ее лет 5. Курить бросил год и 8 месяцев назад. Стаж небольшой был по меркам куряг - около 5 лет. Кому интересен способ - слез сначала с сигарет на снюс, снюсом пользовался месяца 3, потом и его бросил. Грубо говоря убрал психологическую зависимость( ритуалы наподобие покурить после еды или утром на сральнике ) , а потом физиологическую ( каждый месяц снижал крепость снюса который покупал вплоть до табачного крепостью 11мг ) Максимум иногда хочется кальян, но скорее из-за культуры его курения, сам процесс. К сигаретам или аналогам никотиносодержащим не тянет совсем. После того как бросил сигареты, месяц подряд извергал из себя мокроту с легких, особенно во время занятий типа кардио в зале. Но никаких хрипов и свистов не было. А спустя около года началось. Хожу 8-й месяц с этим хрипом. В жизни не мешает. Но чисто как факт наличия - заебывает) Имею лишнего веса 20 кило. Может это входит в список причин «хрипения» ( при росте 188 вес 110 ). Не прошу советов, просто делюсь своей злободневной хуйней))) И лежу хриплю блять))
Привет, мужики! Не беру во внимание курение, алкоголь и анашу, потому что особо не мешает, да и не любитель напиваться и укуриваться, посему делаю это крайне редко и умею себя остановить вовремя (кроме, наверное, курения сиг, пару раз отказывался, но потом возвращался. Напрягает только вонь и когда покурю погано как-то на душе)
Однако, самой неприятной отравляющей жизнь вещью является прон. Ну вообще не получается от этого избавиться. Дошёл до того что смотрю исключительно унизительный прон с неграми с чмырением со стороны женщин которых ебут (да, пидорство ебаное, на то я и хочу избавиться от этого). При чем еще часто совмещаю это с представлением о том что это моя бывшая/знакомая. И фапаю при этом максимально унизительно шлёпая себя по яйцам. Не хочу быть чмоней Вердиктом, при всём при этом не листва 21лвл, тяны подкатывают, и никогда бы не допустил того чтобы мою тню ебали а я смотрел, но мысли об этом очень будоражат. Что делать, подскажите знающие?
P. S. Некоторое время замещал это спортивными нагрузками и встречами еблей с тянами, но не особо помогло, ведь стоит остаться одному дома как пошло поехало по новой.
>>47178 у тебя комбинированная психотравма русского мира, вычищай говно из головы. Дело в том, что твое подсознание очевидно не соответствует линии партии, а прошивка требует соответствия, дальше сам.
парил 4 года с 12 лет. в начале сентября бросил буквально за неделю. Совет-снижать концентрацию никотина по средству постепенного долива в опустевающий бак нулевки. потом подумаешь бля чет не торкает и главное потом отложить его куда нибуть далеко. я отложил подик на придомовую территорию тк живу в частном. + не фапаю с прошлого года, онли ловлю полюции. конкретно так наладил цнс и дофаминовую систему
>>47178 не дрочи прост. думай о чем либо другом освобождаю голову от мыслей подрочить и от похотливых фантазий. мейби начиай мысленно петь или спамить одним словом рандомным (кукуруза кукуруза кукуруза). медитируй.
Привет, анон 36дед в треде. Внезапно для себя - бросил алкоголь. С начала года. В общем-то не планировал никак. Но вот это вот пятничное пиво, потом проебаная ленивая суббота (не потому что все болит и не можешь встать, а потому что просто лень). Недосып постоянный тоже как-то подзаебал из-за алкоголя. А отсюда - пониженный тест, всякие неурядицы, нервяки. В итоге просто с 1 января ни разу не употреблял. Пишу больше чтоб хоть анонимно как-то отметиться, самоподдержку ебануть). Скоро поди-ка друзья все потеряются куда-то. Но я для себя решил что если сам не сдамся - буду пассивно-агрессивно продвигать в массы.
>>44611 всем еще раз привет, вернулся спустя долго времени отсутствия, хочу сказать , что к сигам так и не вернулся, хотя до сих пор на снюсе)) травку так и не закурил!!! чувствую себя отлично! тренировки постепенно вернул в свою жизнь! всем удачи кто начал новую жизнь без наркотиков! это не так сложно как кажется=) всё у нас в голове.
Привет аноны, проблема такая что за 5 лет учёбы в универе из-за стресса наел себе бока (в 11 классе весил около 75-77кг, сейчас 95кг, рост 179см), разумеется люблю всякие сладости, конфеты и тд. Начал ходить в зал с другом, сам бросил пить газировки и энергетики, чипсы, сухари, но порой не могу с собой совладать и беру там себе в магазине какой-нибудь багет чесночный или 1-2 сникерса. Как перебороть это в себе, чтобы полностью слезть с этой зависимости, или такие небольшие перекусы сильно не помешают в сбросе веса?
>>48164 Лично мне помогло заместить это дело всякими фруктами. По началу можно совмещать по типу сникерс + рандомное яблоко. Впоследствии для перекуса будет достаточно только того же яблока
>>2273 (OP) Бухал с 13 до 27, допился до жестких запоев, под конец начал еще и торчать на мефе, но подсесть вроде не успел на него. Пьяным куражил постоянно, тратил кучу денег, имею 700 к долгов (было 800 к, гашу потихоньку). Съехал к родителям обратно с арендной квартиры из-за долгов, лол. Сейчас бросил пить, не пью больше месяца. Из зависимостей еще снюс и обжиралово (вес имел 100 кг, сейчас сбросил до 95, цель - 75). Первый месяц без пьянства дал себе отдохнуть, ничего не бросал, не вылезаторствовал особо, охуевал от жизни, отдыхал. Сейчас планирую бросить снюс и наладить питание, дабы похудеть. Проблема со снюсом и едой в том, что если с алкоголем я отчетливо понимаю, что пить мне нельзя, иначе запой на несколько дней и мучительный отходняк (опционально проеб денег, работы, телефона, попадание в ментовку, ссора с людьми, пьяные драки), то тут такого прямого вреда нет, и мне не страшно их принимать, поэтому и тяжело не кайфовать от этого, так как кайфовать я люблю больше всего в жизни.
Я пивозавр, крепкое пью раз в пятилетку, изредка могу выпить вина, но это скорее исключение из правил, пиво - мой основной алкогольный напиток. Я редко напиваюсь прям в говно, чтобы на утро было хуево, люблю просто вечерком бахнуть 3-4 банки, утром после этого даже нет особых последствий. В основном стараюсь делать это только на выходных, но иногда бывает и чаще (крайний раз было на НГ, там праздники совпали с переездом, наебавшись за день я вечером брал пивас чтобы расслабиться, мне кажется я с 31 где-то до 9 каждый вечер накатывал). Несколько раз я ради интереса пробовал бросать на месяц-два, в принципе терпимо, где-то через неделю-две воздержания уже забываешь вкус и как-то особо не тянет, но организм все равно требует какой-нибудь жижи в больших количествах, летом это обычно квас, зимой чаи или кофе. Пробовал переходить на безалкогольное пиво, довольно долго его практиковал, но потом в КБ исчезли два моих любимых сорта, остальное было совсем мерзкое. Никаких приливов сил или эмоциональных бонусов во время воздержания я не почуствовал, все было примерно так же. Ну да, килограмма 3 веса слетает за счет этого без лишних телодвижений.
Я понимаю, что я не запойный алкаш, но и пью явно побольше чем стоило бы. С другой стороны это никак не сказывается негативно на моей жизни, я не валяюсь под забором, не трачу последние деньги. Возникает вопрос, а стоит ли лишать себя удовольствия?
>>39979 > Купишь пива чешского или немецкого, выпил баночку, утолил пивную жажду и всё, больше не хочется Так пиво разное бывает. Есть даже такой термин "питкость пива". Если пить что-нибудь плотненькое, типа хороших стаутов или апы, то ты при всем желании их много не выпьешь. А если вливать в себя лёгкие лагерки, то можно литрами потреблять, особенно если в жару. Ты если был в Турции должен был заметить что там в отелях именно такое пиво и наливают, его можно тупо весь день сосать, и ты при этом даже не опьянеешь почти.
Так что всё зависит от задачи. Если ты хочешь выпить мало - бери что-то качественное и плотное, если добавишь еще хорошего закусона, то в тебя больше одной бутылки и не влезет скорее всего. Если же нужен легкий фоновый напиток на весь вечер, тогда берешь что-то полегче, типа короны.
>>13423 Бля, амотивационный синдром. Нахуй это всё. Я вот как с женой развелся перестал дуть. Сначала поиграл в игры по совету врачихи вместо того, что бы дуть как лох, а сейчас вот не играю и не дую. Иногда срывает на алкашку в духе полтора литра пиваса. Дуть не хочется, хотя у меня дохуя курева лежит дома. Жена это стресс ебаный был/, приходил домой как на ТВД, она меня доёбывала и я уходил гулять по льду озера свои 4 косяка сосать и слушать дебилов на ютубе. Она отъебалась и так хорошо стало, мозги восстановились, в первую очередь от постоянного стресса, во вторую очередь от травы ёбаной. Понимаешь, мне эти 4 косака это чисто ритуал был побыть с собой и успокоиться, игры так же действовали, короче я Диско Элизиум прошел и в Кенши гоняю иногда. Хуёвые привычки на самом деле.
Спортягу свою не забросил, но по зиме килограммов на 5 отожрался. Может опять сяду на диету к лету. Довелось недавно выпить бокал медовухи. Ну думал, что сейчас-то точно развяжусь по полной. И был дико разочарован тем, что вообще не испытал той привычной эйфории, которая раньше у меня была буквально с первого глотка пива. Закончилось всё тем, что я просто лег спать. В общем, если уж и пить что-то, так хотя бы квас. Но в основном гоняю только чаи. Иногда потягиваю кофе, от которого воздерживался полгода. Вкусно, но прилива бодрости не испытываю, и прежней нервозности не ощущаю. Раньше оно как-то разгоняло, а теперь это просто напиток. Вообще, я слегка напрягся от этой ситуации. Когда-то я думал так, что если в жизни всё пойдет по пизде, то я всегда смогу всё бросить и тупо начать бухать, ведь это всегда был надежный источник удовольствия. Но нихуя. Когда-то ощутил, что синька больше ничего мне не дает. Хз что такое случилось. Перегорели что ли какие-то рецепторы. В общем, печально даже. Раньше хотел быть вечно молодым, вечно пьяным. А теперь не такой уж и молодой, и вечно трезвый, епт.
Характер теперь конечно пиздец полный. Если раньше это были лишь зарождающиеся мужские нотки, то теперь башка пронизана принципами, весь какой-то резкий стал. Ну не вот что на людей бросаюсь и сходу в драку лечу, но далеко не та мямля, что был когда-то. И еще какая-то ебейшая стойкость появилась. Раньше если на меня поднадавить, то я мог уступить в чем-то. Мог сам отступить в ситуации, где мне станет страшно за последствия. А теперь - сгорел сарай, гори и хата. Вот пусть хоть всё в пизду летит, то как баран упираешься на своей и всё тут. Из за этого жизнь крепко меняется. Прежних людей всё меньше, контактировать тяжелее. С работой напряги, потому что там привыкли с послушному сброду. А я без задней мысли отказался делать буквально всё, за что мне не платят напрямую, что уже неплохо так напрягло всех. Наверное свалю оттуда скоро. Давно пора, в общем-то.
Про сигареты даже не вспоминаю. И что интересно, я просто перестал контактировать с курящими. Как-то само собой получилось, что они исчезли из круга общения. Жалею о том, как много денег я спустил на этот ебучий дымок. Слизистые все восстановились. Легкие долго что-то откашливали при любом удобном случае. Но уже давно дышится свободно. Нет никаких неприятный ощущений. Даже зубы здоровее.
Единственное с чего немного охуеваю - как же тяжело выбираться из этого говна в социальном плане. У меня лет до 25-30 вся жизнь крутилась вокруг бухла. Весь мой круг общения, образ жизни и мышления был построен на этом. И когда бросаешь, то жизнь твоя будто непрерывно разрушается. От нее отваливается всё, что было связано с бухлом. Но ничего нового не приходит. Ты будто в пустоту падаешь. И вот это самое тяжелое. Ты остаешься один со своими проблемами. Всем похуй на тебя. Ты повсюду чужой. Отчего, видимо, многие и возвращаются в прежнее русло, чтобы уже долбить до победного.
>>3199 Нет, "чтобы не хотелось" с вещ-вами не получится. У всех торчей жизнь делится сугубо на "до" и "после". Если хочешь нормальную нормисную жизнь - придется вручную себя сдерживать. Прокручивать в голове мантры, что ты это всё проходил, что всё это закончится либо плохо либо очень плохо, что тебе это не нужно, что тебе есть что терять и т.д. И так до конца.
>>3624 >она приносит тебе больше негатива, чем позитива Двачую неистово. Просто посчитай на бумажке сколько минут неделю ты играешь с азартом и удовлетворением, и сколько часов ты играешь просто потому что лень заниматься чем-то еще или нельзя ливануть. выкатился из мобы после 15 лет стажа, хлопнув дверью
>>49943 Ну мне на тебя не похуй, да и другим пацанам с двача. Всё нормально, у нас так же всё происходит и те же вопросы решаем.Ты ещё столкнулся с завистью, которая маскируется под непонимание, типа "вот мы бухаем, а ты как крыса не бухешь?".
>>50035 Да, и это не считая годы задротства в КС, Кваку и другие игрульки до знакомства с Докой 1. Я стараюсь не жалеть ни о чем из прошлого - что было то было. Но вот игровому задротству, особенно МОБА, я не могу найти оправдания - просто бессмысленный геноцид свободного времени. А если учесть, что это была молодость, которая уже никогда не вернется - то пиздец обидно и грустно. Ни одного полезного навыка я не получил за эти годы, ни одного приятного знакомства. Даже приятного воспоминания я не припомню, чтобы ностальгических дровишек подбросить - ничего. Просто смытые в унитаз дни, месяцы и годы.
>>49943 >Но ничего нового не приходит. Ты будто в пустоту падаешь. Это никак не связано с бухлом - возраст такой. Идет переоценка твоих первых "взрослых" решений и установок, которые по факту представляют собой протухший винегрет из полузабытого родительского воспитания и максималистского подросткового куража.
Если ты посмотришь со стороны на ИРЛ лесополосу - быстро поймешь, что это глубоко несчастные люди, у которых в жизни ничего нет. И дружбы между ними нет - так, шутейки, новости, ностальгические воспоминания и, в особо запущенных случаях - самоутверждение за счет окружающих, бычка и драка. Они боятся, что если отпустят эту веревочку в юность - не останется вообще ничего, только мрак, пустота, одиночество и безумие. Многие перешагивают страх заводя семью: тогда не нужно принимать важные решения - природа все сама сделает.
Но на самом деле 30 лвл - это очень молодой возраст для мозга. Он без труда найдет новые источники серотонина, если ты дашь ему время осмотреться по сторонам и перестанешь травить алкоголем и другими вещами.
>>50038 Я, если честно, в шоке, хотя сам не сахар. Вот с наркоманами винт варил - но у меня остались те друзья-нарки, хоть мы больше и не варимся и не ебошим. Вот потом с другими нарками коноплю растил и мы это курили - и эти нарки тоже остались со мной, ну, пара людей выходит на связь более менее регулярно. А как так получилось, что дока вообще ничего не дале?
>>50041 Слушай, для меня это немного дико читать потому, что я за 32 года не испытал такое. Я не тот анон, но ты можешь пояснить что такое первые "взрослые" установки? Я тогда сравню с своим опытом.
>>50047 >что такое первые "взрослые" установки? Это решения, оказывающие сильные эффекты и имеющие долгие последствия в твоей жизни. От банального выбора своего внешнего вида и рациона питания, до развлечений, политических и философских убеждений, круга общения.
До конца школы и как правило студенчества эти решения за тебя принимают родители. Но после 20 ты больше сам распределяешь бюджет и досуг. Особенно драматично получается, когда ты за этот бюджет гнешь спину, а свободного времени так мало, что совсем нет желания или сил тратить его на сложные занятия - делаешь выбор в пользу простых, сильных, но доступных ощущений.
Ирония жизни в том, что эти установки ты на 100% считаешь собственными, ведь ты принимаешь их независимо, иногда даже наперекор родительской позиции. Но это иллюзия - ты все равно привязываешься эмоционально к своей тусовочке, к своей тяночке, иногда даже к вымышленным персонажам из художки или соц сетей и, конечно же, к повесточке от политиков и маркетологов, которые решают что сегодня круто, а что нет. Потому что у тебя просто нет другого выбора - нет еще достаточного опыта принятия важных решений, и, что более важно - у тебя нет опыта разруливания последствий. Исключения бывают, при грамотном воспитании или при получении ебейшей психотравмы, например, но не будем отвлекаться. Поэтому все кажется таким простым доступным и неважным.
И это норма. На то она и юность, чтобы творить хуйню, чтобы пробовать все, испытывать на прочность лед под ногами, любить и ненавидеть, обретать и терять навсегда. Изучать окружающий мир, прежде всего разбираться в людях, лишь мельком обращая внимание на собственные чувства. Потому что рано или поздно молодость пройдет. Твои первые "взрослые" установки не пройдут проверку временем и, как заношенные джинсы, все хуже будут выглядеть с каждым подходом к зеркалу. На смену авантюризму и похуизму приходит прагматизм и скептицизм.
Иногда это происходит очень резко - за секунду все обваливается, и никто не готов это спокойно принять: "но ведь это же мои установки! Я же сам их нашел и принял. Выходит, я был совсем не прав? Значит нужно кидаться в другую крайность? А может лучше просто не думать об этом и продолжать жить как раньше, заливаясь кофеином и алкоголем каждый день? Эх, жаль рядом нет мамочки, которая за меня сама все решит..." Нутыпонел. Отсюда растут ноги у посетителей клуба 27 и сословия 30 летних ипотечных женатиков.
>>50049 Ну, видать я свой путь начал с правильных вопросов самму себе и правильных действий и мои установки прошли проверку временем. Меня, например, девушки пытались увлечь ношением белых ленточек в 12м году, я спросил у них: а как я смогу повлиять на происходящу вокруг политику если буду это делать? Они мне не дали ответа и я не стал их носить, потому, что они исполняли чужую волю ради непонятных целей. Я тогда ничего не знал про политику, просто, ну, пришел к эдакому примитивному нидивидуализму и он меня не подводил. Потом, я стал наркоманом из-за невелой жизни, но никогда не покупал наркотики, я их себе делал своими руками, поэтому, наверное, я не стал тратить деньги, выносить из дома, и не оказался на дне. Опять же, я не продавал наркотики никогда, потому, что все хорошее, как по мне, должно даваться даром, быть продуктом, а не товаром, поэтому у меня всегда были лучшие наркотики из возможных и верные друзь, которые остались и после того, как мы вместе бросили торчать. Потом, я понял, что делать добрые дела надо так, чтоб было хорошо мне, и было хорошо лдям вокруг меня - тогда они остаются верны и это верно понятый индивидуализм. Не крысить, не наёбывать, а чётко уделять на общее, но нельзя никогда для кого-то делать себе в ущерб. И это меня не подводило. Потом, если что-то мне не нравится, чуйка срабатывает, люди просят сделать что-то условно выгодное - надо сказать "нет" сразу и вообще заранее обсуждать условия сотрудничества, а не по ходу дела - и это меня не подводило. Потом, что нельзя просто так жить "чтоб в жало потом кайфовать", надо всегда иметь некую такую цель, которая тебе нужна и всем людям вокруг в будущем - её не стыдно озвучить, под неё найдутся новые друзья всегда, в лбом месте. И это меня не подводило. А ещё я сам за несправедливость давал пизды и видел, что люди за это уважают, и мне давали пизды за то, что я поступил как скот и крыса - и я уяснил этот урок. Просто судьба меня пожалела или хз что, но эти вот мысли не подводят и они являются как бы основой моей личности. Я, конечно и хуйню творил, и склонен к зависимостям, и всякое с бабами и с судами связаное хуёвое у меня было, но разочарования или кризиса какого-то я не испытал. Часто нахожу возрастных друзей.
>>50033 > Но это не пиздец, а, наоборот улучшение. Субъективно воспринимается как пиздец потому, что порой даже самому непривычно от своих действий. Ты вроде привык, что вот тут ты заднюю дашь, тут промолчишь, тут наоборот поддакнешь из за страха последствий, выберешь комфорт и безопасность, вместо того, чтобы настоять на своем. И тут внезапно что-то началось такое, что ты раз за разом совершаешь поступки, которые явно разрушают твою привычную жизнь. Это немного пугает, то походу назад дороги нет. Как это со стороны воспринимается, даже не представляю. Пару раз меня спрашивали, почему я там "психанул" в какой-то ситуации. А суть в том, что они под этим словом имели ввиду не какой-то эмоциональный всплеск или истерику, а то, что я поступил настолько вопреки своему привычному поведению, что многие вообще не понимали, что происходит. От таких перемер быстро растет дистанция с людьми, что тоже воспринимается немного тревожно поначалу.
>>50034 Наверное, поэтому я и здесь. Вот прямым текстом мне такое не говорили, но когда еще ходил по всяких сборищам, то замечал язвительные шуточки, замечания. Один раз столкнулся с ситуацикй, что один мудак хотел мне подлить бухла в безалкогольный напиток. Это я краем уха услышал, когда выходил из помещения. Никто само собой ничего не подливал, но тогда я решил, что конкретно в этом коллективе мне делать больше нечего. На самом деле мне там уже давно было нечего делать. Достаточно на любую пьянку посмотреть трезвыми глазами всего один раз, чтобы понять, как ты просто превращаешься в животное с каждым глотком.
>>50041 > не останется вообще ничего, только мрак Года два назад у меня был лютейший кризис на эту тему. Меня не покидает мысль, что я как будто через ночной лес перешел или может какой-то пропасть преодолел, хз, типа того. Всё в жизни будто рушилось, то ли сама жизнь от тебя отваливалась, то ли ты от нее. И печально, и страшно, и ненависть ко всему внутри. Всю жизнь свою пережевывал ежедневно. Причем когда понял, что что-то происходит, то начал целенаправленно работать с эмоциями и воспоминаниями, поднимая всё более глубокие пласты. Это было очень тяжело. И понимаю, почему многие не хотят это даже начинать. Ты будто сам себе какое-то воспаление вырезать пытаешься.
Потом вроде разбираешься со всем. Не сказать бы, что особо позитивным становишься, просто перестаешь бояться, что внутри тебя есть что-то, что лучше не трогать. Снимаешь это напряжение и жить полегче. Вот после этого обычно и перестает тянуть что-то употребить, лишь бы поскорее уйти из мира в какое-то иллюзорное удовольствие. Более того, вообще ко вредным привычкам становишься равнодушен. У тебя и чрезмерного отрицания тоже нет. Ты не трясешься в ужасе, при виде бутылки пива.
>>50063 >Потом вроде разбираешься со всем Вот именно. Просто идешь спокойно по своей тропинке - без истерик и без оглядки назад. Ничего не от жизни ждешь, но и со своих квадратных аршинов не слазеешь - пошла она нахуй. И в какой-то момент замечаешь, что стало жить стало лучше, жить стало веселей.
>>50070 > что стало жить стало лучше, жить стало веселей. Ну вот тут я оптимизмом особо не пылаю, конечно. Трудно не замечать, что жить стало откровенно уныло. Уже нет никаких всплесков эмоций, нет каких-то ярких событий, веселых посиделок и т.д. Нет и сильных провалов настроения, всё вполне ровно, но воспринимается это как угнетающая рутина. Из за тотального одиночества очень трудно чем-либо заниматься. Ну реально, буквально любое дело веселее делать с кем-то. Даже банально гулять интереснее с кем-то.
>>50080 >Уже нет никаких всплесков эмоций Если сравнивать с юностью, особенно с триповой юностью - конечно так сильно уже не будет. Но это все равно что жалеть, что больше не будет садика с тихим часом или летнего лагеря с дискотеками. Всему свое время, все проходит и это далеко не всегда плохо.
Вещ-ва в этом вопросе не помогут, проверено. Ну ок, может зароешь голову в песок на один вечер, а потом что? Опять отходосы и суета с мутками. Все вернется на круги своя, когда протрезвеешь, трезвость - это естественное состояние разума и он будет в него возвращаться, нравится тебе это или нет. Поэтому нужно искать новые впечатления на трезвую голову. Они не такие сильные и непосредственные как интоксикация, но зато их много - бесконечно много, если любишь учиться и умеешь искать. А когда у тебя вся жизнь выстраивается вокруг измененного сознания и эскапизма - ты себя обрекаешь на провал и страдания с самого начала.
>нет каких-то ярких событий, веселых посиделок А с чем ты сравниваешь? Посиделки в падике с блазиром? Полночные забеги в КС? Темные ритуалы по призыву гнома-матерщинника на заброшке? Сомневаюсь, что тебе вкатит сейчас этот экспириенс, даже если получится найти единомышленников. Это было весело в детстве и юности, потому что лучшего ничего не знали. Но теперь знаем и нужно искать что-то новое.
>Из-за тотального одиночества очень трудно чем-либо заниматься Да, одиночество-сволочь(( Не знаю какие у тебя причины, но я себя сам посадил в этот зиндан, когда решил, что лучше никакого общения, чем некачественное общение - я у мамы интроверт и все тут. Эта мысль помогает мне не фокуситься на одиночестве + есть много увлечений которые можно и даже лучше делать одному спортик, книжки, кино, творчество, работа руками.
Еще небольшой лайфхак по этой теме, хотя возможно это только с моим характером работает - общение с мимокроками в поездках. Я много езжу по работе и в отпуска, живу преимущественно в хостелах - там всегда есть общая гостиная где чилят открытые к общению челики самого разного происхождения. Иногда удается поебаться зацепиться с кем-то на пару дней или пару недель, вместе гулять сутками напролет, а потом просто разойтись молчком, навсегда исчезнуть из жизни друг друга. Нет привязанности - нет ответственности. Получается что-то вроде ИРЛ двача. Попробуй, может тоже вкатит.
>>50082 Только не надо начинать про то, что дудка и грибы не вызывают привыкания и не руинят жизни. Не так стремительно и тотально как быстрые и медленные, понятное дело. Но если есть кайф - будет и зависимость.
>>50089 Только не надо начинать про то, что бухло не вызывает привыкания и не руинят жизни. Не так стремительно и тотально как быстрые и медленные, понятное дело. Но если есть кайф - будет и зависимость.
>>50082 >Есть благородные типа травы и грибов, Эта хуета нихуя не вставляет. Если пробовал только это, считай, настоящего кайфа от веществ не получал. Лучше вести полностью трезвый образ жизни, чем употреблять только это говно. От бухла и то больше кайфа.
>>50090 Только не надо начинать про то, что кофеин и сахар не вызывают привыкания и не руинят жизни. Не так стремительно и тотально как быстрые и медленные, понятное дело. Но если есть кайф - будет и зависимость.
Только не надо начинать про то, что дрочка и чайлдфри не вызывают привыкания и не руинят жизни. Не так стремительно и тотально как быстрые и медленные, понятное дело. Но если есть кайф - будет и зависимость.
>>50096 Только не надо начинать про то, что аниме и котики не вызывают привыкания и не руинят жизни. Не так стремительно и тотально как быстрые и медленные, понятное дело. Но если есть кайф - будет и зависимость.
>>50093 Ты просто не способен честно признать, что боишься подсесть на настоящий кайф, боишься получать яркие ощущения, но и в счастливую трезвую жизнь ты не можешь, поэтому выдумываешь благородство всяких лайтовых веществ.
>>50090 >некоторые вещи хороши в меру Так о чем и базар. Проблемы начинаются, когда меру соблюсти не удается.
А хуже всего - не удается даже этическую дилемму решить на государственном уровне: если запрещать - будет подпольный рынок и нарушение свободы личности, если разрешать - будут дохлые малолетки в клубах и неадекваты со шприцами в подъездах.
Пацаны, давайте договоримся, что мы тут бросаем вещества ёбаные, а не пытаемся друг друга уговорить ебошить заново. А то, блядь, как в притоне ёбаном "один раз не пидорас" "иногда можно" и т.п., а я вот наторчался и не хочу больше нихуя понимаете ну в пизду и траву и марку, трезвость - это норма.
>>50128 >трезвость - это норма Я тебя полностью поддерживаю по этому вопросу. Но тред существует для общения - за реальной помощью обращайся к наркологу и специальные инстанции. >пытаемся друг друга уговорить ебошить заново Для торча любое упоминание вещ-в звучит как призыв объебошиться с фанфарами и ковровой дорожкой, что поделать. Чтобы завязать всерьез и надолго нужно разобраться с проблемой в своей голове, а не делать из нее запретный плод или мишень крестового похода.
>>50175 Репортить это как-то в крысу, лучше ж сначала с ребятами договориться, типа. Ну, мне лично чет хочется бросить бухать, дуть и курить я бросил, а иногда тяга идёт типа лоховская бухнуть на стрессе, я захожу например в этот тредик почитать что бросающиелюди пишут, а там полупокерское отношение "я сосну но немного и никто не пострадает". Можно ж в другом месте, наверное, говорить об этом. Тут типа выражай свою мысль чисто и будь чистый
Чет я тут сидел скучал и внезапно подумал о том, как же синька и сижки заполняют день и отгоняют скуку. Если вдуматься, то никакого веселья толком и не было. Мне просто становилось скучно и я шел курить. Чадил я за раз обычно по 2-3 сиги. За день скуривал полторы пачки. Если на каждую сижку нужно около 5 минут, то выходит, что за день ты убиваешь на перекуры около 2.5-3 часов. К тому же сижечки немного отупляют и ты потом еще минут 30 ни о чем не беспокоишься. Тебе похуй. Если разбавлять это распитием чая, кофе или еще какой хуйни, то убиваешь еще пару часов. И вот уже более половины рабочего дня убито на простое хлебание воды и всасывание сижек. Обычно ты не один и сопровождаешь всё это каким-то левым пиздежом с таким же, как ты. Я отлично помню, как проебывался на работе, тупо сидя в курилке чуть не по 3 часа к ряду, обсуждая с коллегой насущные вопросы, типа как кто шпилил в игрулю и какое кинцо посмотрел.
Синька - это вообще пиздец. Если ты плотный, но функциональный алкаш, то тебя просто выключает нахуй на весь вечер, а с утреца ты снова на ногах. В выходные, ты уебываешься так, что потом весь следующий день приходишь в себя и просто не замечаешь, как идет время. И так день за днем. Употребление синьки - это 3-4 часа минимум. А когда ебашишь, так и все 6-8. Ясное дело, что после возлияний ты уже нихуя не соображаешь и течение времени просто не воспринимаешь. Ты снова ничем не занят. С кем-то пиздишь о говне, занимаешься говном, думаешь про говно. Ты по сути просто животное, которые не делает совершенно ничего полезного или важного.
Вот я бухал со старших классов. Начал чуть раньше и потом это продолжалось более 15 лет. Конечно, я не сразу стал наебениваться по кд, но всё таки суть сводилась к тому, чтобы просто убивать время. Я не учился бороться со скукой. Не находил себе полезное дело или хобби, чтобы заняться чем-то созидательным, развивающим или перспективным. Нет, я просто убивал время. Может я и угробил весь это временной период, но если прикинуть, что в среднем половину любого дня я либо был пьяный, либо торчал на перекуре, то я по сути реально убил несколько лет своей жизни, просто подавляя скуку употреблением чего либо.
И теперь, когда ты маешься от скуки, безделья, не знаешь, куда себя деть в этой тухлой трезвости - это всё отголоски той примитивной привычки убивать время. Просто выключать нахуй голову, лишь бы не думать о том, как пуста твоя жизнь. А ведь она до сих пор пуста. И нихуя она не наполниться, пока целенаправленно не начнешь делать хоть что-то.
>>50399 Бля, как же жизненно ты описал. Именно вот это убийство времени по сути и есть тихое самоубийство. Ты не на своём мессте, я не на своем месте, все мы какой-то противоестественной хуйнёй маемся и мочим минуты свой жизъни как будто сама жизнь - страшный враг.
>>50402 А что охуенного? Это обыкновенный проеб времени. Я помню прекрасно те времена, когда ты от нехуй делать идешь к какой-нибудь разливайке и там убиваешь все свое время на пьяную болтовню с такими же как ты. Если бы вы просто стояли и разговаривали, то это продлилось бы не более 15-20 минут. Но когда это чередуется с пивком и сижками, то длиться может часами, а то и днями напролет. Это не от того, что вы интересные личности, а потому что вы все слегка упороты, да и вместе не так грустно проебывать жизнь. Тупо стадная фишка - когда вас много, то как будто не так тревожно. Ведь если бы ты никуда не пошел и остался один, то началась бы тряска, муки одиночества, мысли о ненужности и прочая поебистика, которая теперь посещает каждого, кто решил завязать. Там темы разговоров выбираются не от большого интереса, а потому что поговорить больше не о чем. Порой даже в пьяных компаниях тебе не с кем говорить о том, что реально интересно, а потом твои интересы постепенно подстраиваются под нечто среднее, для этой компании.
Любому алкашу достаточно хотя бы один раз побывать в привычной компании трезвым, чтобы в его голове зародились сомнения в этом способе провождения времени. Многие не выдерживают и часа и тупо уходят домой. Потому что они не на одной волне и вообще не могут уловить на трезвую голову этот пьяный вайб. Начинают понимать, что дело вовсе не в том, что тут интересные вещи обсуждают или интересные люди собрались, а все это просто синька. Без нее этот коллектив бы попросту не собрался.
Попиздеть за сижечкой - такая же хуйня. Если вы не можете просто стоять рядом с разговаривать, и вам нужен повод в виде сижки, то никакие вы не друзья и не собеседники. Весь ваш интерес - это заполнить неловкую паузу, которая образуется, пока вы стоите рядом и курите, убивая время.
>>50403 > как будто сама жизнь - страшный враг. Да она как бы и не враг. Просто делать нехуй. И если ты что-то придумал, то непросто найти себе подходящих коллег по хобби. На например, нравится тебе кататься на велике или мотоцикле за городом. Да, ты можешь найти себе компанию, но не факт, что тебе будет комфортно с ними. А любое хобби, которое сложнее, чем стоять и заливать в себя что-то, требует более сложного взаимодействия, где людям тяжело друг к другу притираться, да и просто навыки нужны. А зачастую еще и нужны деньги, что тоже вносит свою порцию сложностей. И только синька всем рада - она всех отупляет и сплачивает вокруг примитивного бычьего кайфа, где всем хорошо именно по факт употребления вещества, а не каких-то совместных действий. Все это дешево, доступно, не требует никаких действий. И практически гарантирует тебе то, что ты забудешь о проблемах и скуке. Отвлечешься, переключишься на что-то. Но точно не будешь киснуть и растворяться в этой ебаной пустоте.
Ну серьезно, вот любое дело, которое за пределами компа - это сложно. Какой-нибудь, например, альпинизм или парашютизм - это же для большинства просто пиздец. Психика порой сходу отторгает подобное, воспринимая как что-то тяжелое, дорогое, опасное и с непонятными перспективами. Я когда бухал, так вообще не понимал людей, которые делают что-то кроме ужирания в говно. Синька - это гарантированное счастье. А всё остальное для меня было тяжелым трудом без гарантированного удовольствия. Игра на гитаре? Ну а для кого? Зачем? Сколько ты будешь играть на ней? Два часа максимум. А вот пить пивко ты можешь хоть весь день и тебе точно будет заебись. Никаких мозолей на пальцах. Может ты какой-то любитель ковыряться с техникой в гараже? Ну а нахуя? Это же нужен гараж, техника, бабки, ты вечно весь в масле и говне, но главное - ради чего? Ведь ты мог бы просто пить пивко и ничего не делать. Кайф. И так буквально со всем. Я уж молчу про достижения в работе, где нужно ебейше напрячь голову, хуярить какие-то сложные штуки по несколько дней или месяцев ради того, чтобы однажды чего-то достигнуть и испытать это охуенное чувство победы и превозмогания. И тут опять же пивко - которое даст тебе аналогичный кайф просто с одного глотка в любой удобный тебе день. Зачем напрягаться?
К сложным удовольствиям нужно себя приучать. Это пиздец как непросто. И по сути все они тоже нужны просто чтобы заполнить жизнь. А в такой логике получается, что нет смысла напрягаться, можно просто спиться в говно и сдохнуть.
>>50415 >Ведь если бы ты никуда не пошел и остался один, то началась бы тряска, муки одиночества, мысли о ненужности и прочая поебистика, которая теперь посещает каждого, кто решил завязать.
Это кстати только твоя такая проблема. У меня наоборот - я мог спокойно бухать и веселиться в одиночестве за компом. Но это потому что я искренний интроверт и не трясунчик.
>>50415 Да, какой-то внутренний небольшой страх отвергает идею делать сложные хобби и ты сидишь и скроллишь двачи или порнуху, я это приравниваю к бухелову и книжкам, блин, как бы от этой напасти теперь избавиться. Мы как бы воспитываемся в современном мире не дела делать, а проябывать время. Всё для этого есть, проябывать время проще и удобнее стало чем даже нашим дедам. Отцы и деды в СССР бухали прям на работе,кстати, у меня от этого факта башка на части рвётся. А потом проебали заводы свои и вот мы сейчас проябываем возможность устроиться за копейки в вайлдберис и, там, жить в комнате за пекой без толпы соседей и с едой в холодильнике, когда за свет и воду надо платить не второй почкой, а зарплатой играя в пеку. У меня такое стойкое ощущение.
>>50437 > Мы как бы воспитываемся в современном мире не дела делать, а проябывать время. Есть такое. Я тут недавно слышал мысль, что современному родителю проще купить для чилдрена телефон или планшет, чтобы он в него уткнулся и не путался под ногами. Ну и конечно же это всеми страшно осуждается. А я помню свою детство, когда мне тупо телек включили и типа сиди тут мультики смотри. Потом комп купили и тоже самое - сиди перди в свои игрушки, только не мешайся. При этом тебя еще регулярно будут попрекать, дергать, осуждать, типа ты там жизнь за своим монитором проебал, хотя по сути всех устраивало, что ты как бы есть, но тебя как бы и нет. Я прекрасно помню свои порывы что-то сделать по дому, устроиться куда-то на подработку, съездить куда-либо, но дома это сразу вызывало бурю каких-то эмоций, типа ты че, куда ты там собрался, сиди дома и ничего не делай, потому что ты либо всё сломаешь, либо проебешь деньги, либо травмируешься, либо потеряешься - ну такое вот примерно состояние. А когда сидишь дома, то тебя постоянно осуждают в стиле "Шел бы уже что-то поделал". Я хз о какой здоровой психике может идти речь, когда ты растешь вот в такой шизоидной атмосфере, да еще в силу возраста тебе и деться из нее некуда. И ты реально неосознанно учишься проебываться и пиздеть будто бы ты чем-то занят, будто ты куда-то не просто сходил, а по пути сделал кучу важных дел. Короче ты имитируешь бурную жизнь, чтобы тебя не осуждали за безделье. Ты не просто пришел домой и сел за комп, ты с чем-то там "разбираешься" важным. Хотя на деле, ты тупо втыкаешь в какую-то хуету. Потом точно также на работе. Ты не делаешь важные дела, потому что важные дела для важных людей, а ты какой-то там рядовой сотрудник, который также как и дома должен сидеть послушно в стойле и быть готовым по команде грузить говно или еще чего. Но главное, ты нужен просто как бы для вида, что тут есть сотрудники, которых можно пинать, унижать, эксплуатировать по мелочи, но ты здесь точно не как специалист. Нахуй твои навыки ен нужны. И тут прекрасно пригождаются твои навыки проебывания и имитации работы, которые ты приобрел в детстве. По сути, ты во взрослой жизни будто из своей детской комнаты и не выходил.
>Отцы и деды в СССР бухали прям на работе Неудивительно. Ведь для них работа - это почти как ковыряние в некромотоцикле в гараже. Начальству похуй. Что-то там сделали, распилили, приварили и ладно. Других сотрудников всё равно не найдешь. Вот как-то оно на соплях всё держится и хуй с ним. В итоге, когда времена изменились и оказалось, что всё это проебывающееся быдло неспособно на реальную работу, так всё сразу и развалилось.
Всё тут кругом одна сплошная имитация жизни. Здесь до сих пор осуждается просто отдых. Здесь нужно не отдыхать, а менять сферу деятельности. Стыдно отдыхать. Работать - это проявлять инициативу, что по сути тоже самое, что просто портить жизнь людям, баламутить воду и т.д. Уж не знаю, специально это или нет, но вот такая здесь организация труда и такое сложилось общество, где толком нихуя никому не надо. А если и надо, то всё должно случиться по волшебству само, без малейшего приложения усилий. Ну а пока мы ждем чуда - все просто должны сидеть смирноп о своим места, а то как бы чего не вышло.
>>48164 >не могу с собой совладать и беру там себе в магазине какой-нибудь багет чесночный или 1-2 сникерса Попробуй наебать мозг. Я могу это взять в любой момент, я не запрещаю себе, но сегодня брать не буду, возьму в следующий раз. Разрешить, но не брать, чем запретить, и потом пускать слюни от одного только вида. Сам загонишь себя в клетку из которой потом уже хочешь вылезти, прям как животное. В это время жри что-нибудь из фруктов, овощей, нормальной домашней еды. Так ты будешь вбивать себе привычку в мозг что сначала полезная стряпня, потом уже всякий фастфуд, которым изредка можно себя побаловать.
>>50469 Не более, чем доступная форма проеба времени в общем-то. Впрочем, если для мозга нет разницы, где удовлетворять свою тягу к достижениям, то игры вполне себе вариант. ИРЛ большинство людей неспособно достигнуть вообще ничего.
У тебя какая-то зацикленность на проебе времени. Люди забывают, что живут всего 70-80 лет и в конце этого срока будут проебаны окончательно, сожраны и высраны червями.
Я понимаю если б ты был гениальным ученым или писателем с идеей фикс успеть закончить свое Творение. Тогда фраза "проеб времени" имеет смысл. Для обычных же бесталанных васянов без идей это просто глупая тряска, самобичевание.
>>50476 > У тебя какая-то зацикленность на проебе времени. Если бы человек просто жил и получал удовольствие от своего дела, то его бы не посещали мысли о никчемности жизни и своих занятий. Большинство же живут в этом непрекращающемся состоянии, перебиваясь либо синькой, либо веществами, либо каким-то максимально примитивным хобби. А когда это заканчивается, то снова погружаются в тлен и пустоту. Это и есть проеб времени. Ты просто изо всех сил пытаешься себя отвлечь от очевидного, а потом еще сильнее погружаешься в эту блевоту жизни.
>>50479 Тут скорее просто твой депрессивный характер влияет на взгляд. Надо научиться жить как дзен-буддийский монах: с здоровым похуизмом и радостью от созерцания пустоты.
>>50468 >Я тут недавно слышал мысль, что современному родителю проще купить для чилдрена телефон или планшет, чтобы он в него уткнулся и не путался под ногами.
Этот чилдрен в случае голода будет забивать свое время игрушками на смартфонах, и умрёт потом потому, что врачи, друзья, менты будут делать свою работу в перерывав между катками в бравл старс: майнкрафт 5, тогда же будут учиться работу эту делать и так далее. Верно понятый эгоизм "я делаю это хорошо, чтоб не жить среди идиотов и опущенцев" будет заменен успокоительным "а мы все такие, такова наша культура". Играть в игры или читать развлекательные книжки - это типа как ремесло такое, это не творческий процесс. Для творчества современное общество не даёт ответ НАХУЯ и ДЛЯ КОГО мне НАДО творить. ЧТО ТАКОЕ творчество тоже нихуя не очевидно. Это терра инкогнита, белая лакуна. Это та область, куда шагнуть очень тяжело. Осознать себя творцом в такой среде - почти невозможно.
>Я хз о какой здоровой психике может идти речь, когда ты растешь вот в такой шизоидной атмосфере, да еще в силу возраста тебе и деться из нее некуда. Да, некуда, слишком несоразмерные усилия воли требуются для этого. В космос можно слетать не приходя в сознание и оставаясь дебилом как Терешкова, это даже ПРОЩЕ. НАйти человека, который тебя за руку выведет из этой клетки семьи и вредных привычек почти невозможно. Их перестали воспитывать.
>Неудивительно. Ведь для них работа - это почти как ковыряние в некромотоцикле в гараже. Начальству похуй. Что-то там сделали, распилили, приварили и ладно. Других сотрудников всё равно не найдешь. Вот как-то оно на соплях всё держится и хуй с ним. В итоге, когда времена изменились и оказалось, что всё это проебывающееся быдло неспособно на реальную работу, так всё сразу и развалилось. Всё тут кругом одна сплошная имитация жизни.
Мне кажется, что меня мама с папой примерно так же сделали и воспитали. Вылезаторство хотя бы мне сейчас видно стало куда, в какую сторону вылазить. Не из пизды в могилу, нет! И мне не нужны деньги, внимание, мне надо остаться человеком, развить волю и оставить след в виде конкретных дел. Мое дело - тихое. "Как отвязанный скот, пущенный в лес, пасется там на свободе, привольно, так пусть и мудрый, разумея сознанную цель, идет одиноко, подобно носорогу."
>>50128 Быть на одном лишь позитиве значит вводить людей в заблуждение. Нужно дать больше информации.
В среднем бросит 1 из 10, остальные или сорвутся или будут терпеть скрипя зубами пока тромб не оторвется или не настигнет петля. После того как завязал жизнь не станет автоматически лучше, она останется калом скорее всего даже худшим чем было, у абсолютного большинства трезвых(читай подверженных более легким зависимостям) жизнь и есть объективный кал.
Аддикции неизлечимы потому что являются не вещью в себе а заместительной терапией, ваши травмы которые они купируют легко могут оказаться необратимыми. Борьба будет продолжаться каждый день до самой смерти, срок воздержания лишь инструмент в руках самообмана, порождающий "синдром профессионала", я не употреблял десять лет, я другой человек и контролирую себя - срыв, увозят на кладбище сердечко йокнуло.
Память со временем сотрет все негативные моменты, даже если вы чуть не померли, совершили какое-то зло или были на отходах с месяц. Триггеры, тяга, торги, самообман никогда не исчезнут, лишь уйдут в спящий режим выжидая подходящий момент и момент настанет, жизнь обязательно подкинет какой-нибудь грустный повод. Контролируемого потребления не существует, даже думать забудьте. Бросил одно и не бросил другое это значит оставить форточку через которую будет щекотать и триггерить вашу тягу выжидая когда вы дадите слабину.
Выставление зависимых слабохарактерными и безвольными опасная иллюзия, они крайне мотивированы, живучи, выносливы, изворотливы, могут убедительно солгать кому угодно в первую очередь себе, средний гражданский откинет копыта в ситуациях которые тяжело зависимый переживает каждый день. Демон внутри крайне силен, вы выходите в трусах против Майка Тайсона в лучшие его годы который в 9 из 10 случаев положит вас с удара(да он и сам слег в этой битве). Надеюсь памятка которую я написал в основном для самого себя вышла не слишком негативная.
>>50683 Спасибо за поддержку. "Демон внутри" - это точно. Вот поэтому не хочется, так хорошо слез со всей хуйни, чувствую силу и выросшую волю, а тут какой-то демон будет меня за бороду дергать, тьфу, "место знай, демон ебучий. Я тут хозяин." вот примерно такие ощущения. И надо ставить его на место и твердо там держать.
25лвл. Начал скуфеть по-тихоньку, хочу вернуть образ жизни 8-10 летней давности: спортзальчик, без алко и никотина.
Не парю с 19 апреля, вчера впервые в жизни попробовал сигарету 2-3 затяга - ну и хуйня, как можно курить. Выкинул пачку, жаль денег потраченных на нее.
Алкоголь пью редко и мало, но хочется вообще отказаться от него. Будь то вино, пиво или вискарь.
Тяжелее всего от сладкого отказаться. Но перспектива превратиться в пидораху на быстрых углеводах не радует. Терпим. Буду периодически (раз-два в мес отслеживать тред). Поддержка и два чая всем тем, кто хочет от гойской хуйни избавиться
>>50786 Давно уже все разжевано для тупых: медицинский никотин ввиде всяких пластырей и жевачек - относительно безвреден но все равно шатает системы в организме, так как поступает туда неестественным путем в больших количествах. Сигареты естественно ебут легкие продуктами горения, тысячи их.
А есть инфа по тому, какая долю вреда от выхлопных газов приходится на продукты горения присадок, а какая собственно на бензин? Точно ли в нём проблема?
Желательно инфа из надёжного источника, со.всякими учёными-мочёными.
>>50784 Я умею эт о делать в осознанных снах, но мне нужна персонификация врага для того, чтоб использовать его как инструмент. Этот демон - конструкт, а не хуйня из подсознания.
>>50683 >После того как завязал жизнь не станет автоматически лучше, она останется калом скорее всего даже худшим чем было А мне повезло и житуха стала много лучше, чем была. Но у меня остались хобби и баба с возу съебнула ко всему этому.
>>51674 Да бля, ты думаешь мы тут не бухали? Я, например, курил по 6 грамм бошки в день на протяжении 8 лет а всего стажа у меня - 14, бухал за раз по 700 мл водки без закуси и просыпался в озере блевоты, торчал на винте 5 лет. Ну нахуя ты сюда ходишь вообще? Вон раздел с алкашкой - иди там пасись, соври как ты там споил кореша и выебал хотя сам не педик или чет такое - внимание обеспечено.
>>51692 Это ж скукота ебаная, кайфа маловато. Если уж ебашить по гедонизму, то лучше набраться кайфа на всю жизнь. А потом, если выживешь, спокойно наслаждаться трезвой жизнью. Полумеры хуйня скучная.
Мне 32. Не бухал примерно 200 дней. Сделал осознанный выбор выпить и пожалел, теперь трудно остановиться, мозг ищет оправдания выпить, типа, ну ты же все сделал имеешь право отдохнуть. Короче снова в ловушку попал. Пытаюсь глушить триггеры.
>>51704 У меня наоборот получилось. Не пил месяца три примерно, но начал часто вспоминать о том, что это вообще круто, причем, что характерно, вспоминал не то, что было в конце, а более лайтовые времена. Ну и выпил один раз. Напился. Сначала какое-то непонятное помутнение в голове, не особо приятное, потом внезапно захотелось ехать вырубать меф (хоть я его пробовал то один раз месяца за 4 до этого, марафоном правда). Не стал. Потом еще выпил, уснул. Какого-то охуенного состояния не было. Наутро пиздец как болела голова (когда регулярно пил, голова не болела, отходняк в другом выражался). Весь следующий день провалялся овощем. По итогу понял, что свою цистерну я походу реально выпил, и в моем случае бухло это хуйня полнейшая, 15 минут кайфа, потом неадекват, потом просыпаешься с отходняком. После этого желание пить как отрезало. Иногда по социальным мотивам могу выпить бокал-два вина/шампанского, опьянения от этого не получаю, разумеется.
>>51704 Ты дни считал - теперь вина терзает "Я не бухал 200 дней, посаны!" Пусть муж стоический, довольный, вспоминает То время трезвое без тяжести вины.
Не пил? Был с телом дружен и с сознаньем? Ты делал то, что пьяный - никогда Не сделает, и с этим пониманием Не откажись от бухича, тут есть своя узда:
Немного наеби сознание: скажи, что набухаешься - не счас. Представь как будто пьяный ты, веди себя как пьяный Шатайся, спи, поблюй, включи ютуб, поставь музло, Почувствуй слабость, позвони подруге, и про политику мычи ей час
Скажи, как фемок ненавидишь что не дали, потом нажрись угля и горько плачь Ширинку расстегни, что б увидали твой хер детишки по пути в ларёк
>>51705 Да, всё так как говорит анон. >>51706 Вина ебучая, и давит потом именно то, что типа держался и вот забухал, значит я хуёвый, ну раз я пропащий можно дальше типа бухать. Усугубляет состояние то, что бывает надо что-то сделать, а у тебя нет сил, а бухать как будто силы есть и ты идёшь в палатку и давай МНЕ ПИВА ПЖАЛСТА СПАСИБО, а потом мощно проёбываешься. Звучит как план, но он хуёвый. Будет именно вот это, что анон описал постом выше. Наёб сознания состоит в том, чтоб пять минут переждать это желание, ещё вариант поиграть в игры, ещё вариант вести себя как будто ты уже бухой, ещё вариантсразать себе типа я вот набухают тогда-то тогда-то когда попелаю свои дела (типа хату помою) и пока моешь хату попускает
>>51708 Видимо это генетическое. У меня вот нет особого желания нажираться в говно. Особенно когда ждут дела. Есть только желание выпить пару-тройку крафтовых пивасов по выходным.
>>51709 Бля, как ты заебал. Выпей своего крафтового и иди нахуй. А почему бы тебе не прополоскать рот пивом и не сплюнуть если тебе вкус нравится? Что ты тут забыл, снежинка уникальная?
>>51712 Ты долбоёб потому что. Тебе же нажраться надо, да? Я на 100% уверен, что ты пивас не варил никогда и только пил чтоб нажраться чтоб тебя потом пьяного бомжи ебли на детской площадке, а потом дети пиздили палкой в говне измазаной под визгливое мычание.
>>51704 Осознанного выбора здесь быть не может, это как осознанно решить не болеть шизофренией, смешно пошутил, да и 200 дней это мало, мозг начинает перестраиваться только через 1-2 года.
Вижу это так, человек живет в клетке повседневности созданной из бытовых проблем, комплексов, травм и тому подобного накопленных за жизнь, человеку необходимо время от времени выходить из клетки, переступать границу в другую версию реальности, в периоды обострений клетка начинает гореть огнем и тебе вытолкнет через границу силой, чего бы ты не хотел и чего бы о себе не думал. Это аварийный режим чтобы спасти тебя от сумасшествия или самоуничтожения.
Пьяницу естественно выкидывает в пьянку, как привычный, проверенный и рабочий метод перезагрузки, одна проблема, для алкаша который уже допился это смертельно опасный вариант, но мозгу на это похуй. Если алкаш уперся и ТЕРПИТ на силе воле его все равно вытолкнет, только в режим ангедонии или депрессии, туда же выкидывает непьющих.
Предполагаемый вариант действий - пристально следить за состоянием своей клетки, не пускать все на самотек, стараться минимизировать уровень стресса чтобы уменьшить количество выходов через границу которые всегда риск забухать(любая другая ваша зависимость), подготовить резервные варианты для выхода заранее, особенно для периодов обострений таких как весна, осень, крупные проблемы и прочее подобное. ВЫБРОС случится и случится неизбежно.
К примеру если чувствуешь что заебался и вот вот помчишься в магазин, сначала хватаешь гири и начинаешь ебашить чтобы сбить начальную тягу, дальше нужно действовать по заранее расписанному плану, думать здесь не поможет, мозг тебе напиздит что и сам поверишь, только действовать не думая, работу нахуй, дальше хватаешь рюкзак и едешь в лес жить в палатке 1-2 дня, даже ночью. Варианты выхода на свой вкус, нужно иметь набор на все времена года, главное условие выпрыгнуть в кардинально другую реальность.
>>51716 Да, ты прав. Особенно про то, что если нет заранее продуманного выхода из перегруза, мозг пойдёт по старой схеме. В тот момент я правда считал, что это осознанный выбор - типа "всё сделал, могу себе позволить передышку". Но по факту, это было не решение, а бегство без плана отхода.
Не думал, что спустя 200+ дней так легко будет скатиться обратно, но, да, мозг не считает дни - он просто идёт туда, где накатано налито.
Сейчас, как и тогда, будут попытки. И с какой-то снова начнётся длинный стрик. Просто теперь я знаю, что без системы "что делать, когда всё начинает плавиться" - сила воли не спасёт.
>>51732 Да сила воли это опыт, настраданый. Если ты сорвался - не вини себя, теперь ты лучше знаешь как выбраться и нам расскажешь в случае беды что делать. Ебём демонов!
>>3258 да анон не зря, пару раз попробовал, не торчал год прошел до сих пор тяжка есть, чуток но есть, чисто разумом отсекаю ну и на всяк случай перестал общаться с челом ( он прям торчит) корочь это ебучее вещество, не для релакса, на мяу ты торчь .
26 лет, отказался от употребления снюса (сигареты никогда не курил), почему отказался потому что оно делает из тебя овоща которому ничего не хочется делать, сейчас держусь уже 3 месяца. Как бросил? Просто не покупал в магазине, было очень тяжело первые 3 дня, меня как зомби тянуло в магазин под любым предлогом, а дальле уже было легче, еще неделю после отказа был просто истеричкой. Какие ощущения сейчас? Естественно больше энергии, во всём. Так же месяц назад отказался от кофе и энергетиков, пока ничего не чувствую, всё тоже самое только без кофе. Борюсь теперь с пивом, неделю уже держусь, уверен что не сорвусь. Еще очень и очень сложно засыпать хотя бы в 11 например, потому что по кд я смотрю компик или телек до полного износа организма и тупо отрубаюсь, по кд не высыпаюсь, что как выяснилось оооочень сильно влияет на меня, потому что пару дней силой воли просто выключил компик и пошёл спать, и утром чувствовал себя просто максимально кайфово, столько энергии что я сразу как встал пошёл на турник, потому что сидеть на месте было невозможно. Есть кто уже добился правильного режима? Просто мне очень сложно
>>53498 >просто перестал покупать База. Так люди все это дерьмо и бросают. Я вот без бухла уже месяц и норм. Сижу на диете. А до этого пиво и вино пиздец любил, пил часто. Пью чай зеленый с жасмином сейчас, хорошо.
А вот режим нормальный сделать из-за компа рили сложно. Я хз как.
>>53504 Походу методу придумал, под фильм засыпать, уже пару раз так получилось, и сегодня в 4часа утра проснулся, короче выбираешь время когда уже нужно спать, допустим в 12, потом выбираешь фильм так чтоб он закончился в 12, и обязательно когда смотришь никакого телефона, и света в доме, я иногда по середине фильма засыпаю. В прошлом специально не спал чтоб досмотреть фильм, хотя очень хотелось спать, а сейчас просто поддаюсь позыву ко сну, пох на то что телек будет всю ночь работать, главное это мой сон. Кстати если вам не снятся сны, могу посоветовать пить магний каждый день по 30мг, сны просто каждый день без исключения и пару штук за ночь
Пил 12 лет, в завязке 3 года. Бросал чисто на силе воли, никаких книжек, никаких терапий, наркологов, таблеток, заговоров, зашиваний. Курил сигареты прям плотно около 4 лет, потом 10 лет с небольшими перерывами курил электрососку. На данный момент без никотина седьмой месяц. Бросал путем снижения никотина в жидкости, пока не съехал на нулевку.
Особо не расписываю, потому что, на мой взгляд, для каждого рабочий метод - свой. Если тут кому-то всрались мои советы - спрашивайте - отвечу подробно. Если не всрались - то и я пойду нахуй.
>>51710 Лол, вспомнил на ютубе канал был какого-то пивного гурмана. Вот он там тоже пиво дегустировал. Потом канал начал набирать популярность, через пару месяцев мужик уже весь опухший, выходит видос "бля, ребят, кажись я алкаш". Потом он пытался завязать, но опять начал, хули делать если другого контента нет.
>>53571 У кофеина побочек больше чем у никотина, его бросать профитнее чем сигареты. Трясуны с хронической усталостью, проблемами со сном, тревогой, паническими атаками, мигренями и так далее это любители кофе и чая, у меня руки тряслись я думал от пьянки, когда перестал пить алкоголь руки не перестали трястись, выяснилось что чтобы руки не тряслись нужно перестать пить чай.
>>53581 Видел ролик в вебм треде, но там все просто порофлили с этого. Я не медик, конечно, но не понимаю механизма растворения органа. Что именно в составе оказывает такое воздействие?
>>53580 я анон которому 26 лет писал выше, как я отказался от кофе и енергетиков? просто задумался и понял что я не пью обычную воду ВООБЩЕ, только чай, кофе, сладкие напитки, и алкоголь. Задал пару вопросов дипсику что со мной будет и какие последствия отказа от дерьма. Купил себе удобную бутылку для воды, 2 литра, наполнял её утром и дал себе задание что до вечера должно быть выпито. И меня осенило, все те разы которые я хотел кофе, чай, сладкую водичку, и так далее, это не было желанием выпить чего-нибудь вкусного, это была простая жажда, которая молнеиносно исчезает после пары глотков обычной воды, как только я чувствую желание выпить чая и других напитков, я просто теперь пью воду. Сейчас я пью много воды, думаю литров 4-6, так как сейчас жара и работа тяжелая. Могу сказать одно изменение которое прям я заметил и был очень рад, ЗАМЕТНО улучшилась кожа на лице, я как будто моложе стал, это не просто мне так показалось, это реально заметно, так что работаем!
>>53594 > подскажите, как бросить дуть :)) У меня запасы на год-два вперёд (люблю когда есть запас), нет нужды работать или беспокоиться о деньгах, быть на связи, куда-то ходить и вообще делать что-либо кроме того что я хочу делать. Короче, ни одного сдерживающего фактора. Но дуть бесконтрольно мне не нравится, потому что быстро скатываюсь в режим овоща. Лет 5 в таком режиме жил нормально, придерживался разумного графика, но в последние месяцы стал съезжать на эвридэй.
Помог ящик с али, который запирается на заданное количество дней и часов. Покурил, запер на 6-7 дней. До появления ящика постоянно ебала мысль "может покурить?", "а может сейчас покурить?" Теперь хожу спокойно, потому что ящик открыть до времени никак нельзя.
>>53622 Кофеиновые торчки самые нежные из всех, всегда крайне болезненно реагируют на критику, наверное потому что сидят на кофеине с раннего детства, лет с 5-6, от мозгов уже нихуя не осталось, по сути у кофеинового и не было отрезка в жизни когда бы он не торчал на ежедневной системе.
Кофеин вреднее как минимум потому что курить ходят чтобы уклоняться от работы, а кофеин принимают чтобы быть покладистым работником который интересы барина ставит выше интересов своего мозга который хочет отдохнуть.
>>53624 Что значит "кофеиновый торч"? Вот я могу спокойно без кофе/энергосов и даже чая жить. Но когда прям надо взбодриться/хочется вкуса - пью 1 (одну) кружку кофе/банку энергоса. То есть не перебарщиваю. Соответственно под "лютый торч" это явно не попадает.
Плюс кофе и чай в умеренных дозах полезны, ученые доказали. Особенно зеленый чай.
Уклоняться от работы за счет вреда для легких - это конечно кек. Не проще ли сделать вид что пошел покурить и просто постоять с той же кружкой чая/кофе?
>>53628 Пошла кофеиновая толстота, бредни сумасшедшего про вкус и про пользу в комплекте. Торч это когда ежедневно на протяжении десятилетий употребляешь психоактивное вещество вызывающее зависимость и синдром отмены.
>>53650 >Тебе моечные уже полвека доказывают, что немного бухнуть полезно Лоооол. Как раз-таки медики уже оооочень давно говорят что алкоголь в любых дозах вреден. Короче ты реально шиз который нихуя не знает.
В противном случае неси источник инфы, откуда ты эту глупость узнал.
>>53653 >тасс.сру Лол. Ну о чем я и говорю. Ты не пошлзуешся именно научными источниками, а новости узнаешь от самых желтушных журнашлюх. Ты хоть знаешь что такое "научный журнал"?
Тред для подростков. Те кто начали курить в 15+ и избавились, как? Я курю с 13 лет, может и раньше, было много попыток слесть с этого дерьма, но не в какую. Может этот тред будет окончанием курильства для меня. Читал куча всего, ничего не помогало. Жду от вас ответа/помощи
>>53791 Я каждый раз охуеваю с подобных вопросов. Ты ждёшь, что тебе кто-нибудь наконец откроет волшебную тайну как легко и просто бросить курить? Ну так хуй тебе - такого способа нет. Просто, блядь, берёшь, и бросаешь одним днём. Перестаёшь быть безвольной пуськой и нытиком обоссаным, не ищешь оправданий и поводов отложить это решение. Просто, блядь, перестаёшь сувать сигарету в рот и поджигать. Это условие охуеть как просто соблюсти. Я не знаю ни одной истории, чтобы бросающего курить человека вдруг поймали и насильно засунули в рот подожженную сигарету. Ты всегда делаешь это осознанно. Так что заканчивай ныть и бросай. Либо не бросай, но честно сознайся себе, что ты чмошник и тряпка.
>>2273 (OP) Не употребляю. Не вижу никаких проблем в так же смысл начинать. Только слабаки идут на поводу у рекламы а потом годами сосут хуй что бы слезть
>>2273 (OP) Бросил курить сиги почти 6 лет назад на Табексе и книжке Карра. Сейчас могу курнуть когда бухаю, а бухаю я редко. Такие дела. С перееданием еще бы спарвиться теперь и походов к шлюхам - в принципе обе проблемы из-за невозможности заиметь красивую тян. Такие дела.
>>53799 Дело не только в рекламе (хотя образы в медиа довольно сильные, короли пиара потрудились, чтобы эффективно людям говняк впаривать), но и в страхе выпасть из коллектива. У меня в школе курить начинали потому что альфачи стали перемены в курилках проводить, за ними вся свита тянулась. Я был из числа странных и мне мимо курилки ходить было опасно, в старших классах домой начал ходить параллельным маршрутом. Поэтому с сигаретами не сложилось. На моей последней работе бывало такое, что из-за перекуров оставался в кабинете один, но тогда я уже был достаточно ментально зрелый, чтобы не испытывать от этого дискомфорта. По словам коллег, они бы и рады были бросить, но трудно отказаться от бесед в курилке. А вот с алкоголем в универе все же срослось, в общаге тяжело игнорировать празднества в своем блоке, а отказ сделает тебя центром негативного внимания. На текущий момент ситуаций социального распития больше не осталось. Какое-то время еще потягивал пиво после за пекой после рабочего дня, но как-то интерес совсем пропал и сейчас вообще не пью. Можно сказать, что усилием воли я не бросал ничего, обстоятельства удачно складывались. Разве что безудержный фап сокращал до разумных пределов, когда нечем было себя занять и это стало ощущаться как проблема.
>>53623 > Откуда у тебя столько денег что нет нужды работать? В один из периодов обострения вылезаторства запилил бизнес без сотрудников в сфере IT, он меня и кормит уже 10 лет, постепенно скукоживаясь. b2b инфраструктура в аренду, которую негде взять кроме как у меня, но она особо и не нужна никому.
До войны с него капала трёшка зелени плюс 4к зарплаты, сейчас за вычетом расходов капает полторашка, этого хватает, чтобы оплачивать съёмную хату и кое-как жить. Все сбережения съел и даже должен банку чутка.
>>54031 Не спихивай ответственность на молчуна-анона. Это только твоё решение - продолжать или нет. Мотивация снаружи намного менее эффективна чем мотивация изнутри.
>>54368 > Мотивация снаружи намного менее эффективна чем мотивация изнутри. Наоборот.
Редкий жырнич может обуздать жор и сбросить вес, мотивация изнутри дохнет рано или поздно. Ресурс силы воли конечен и короток (научный факт)
А теперь поставим вокруг тебя злых фашистов с пулемётами на вышках и оцепим колючкой. Худеешь? То-то же. Это мотивация снаружи. В Освенциме толстых не было.
>>54372 > поставим вокруг тебя злых фашистов с пулемётами на вышках и оцепим колючкой Ящик с замком >>53926 это пример внешней мотивации. С собой всегда можно договориться, а с ящиком - нет. Его можно только сломать. Бывают хуёвые дни, приходишь заёбаный, сил вообще нет, ещё и болит что-то. Хоть на стену лезь. Ну очень хочется дунуть. В такие моменты всегда задумываюсь, не сломать ли ящик, но ломать жалко, он денег стоил. Третий месяц держится.
Вот так и вышло, что с плотного эвридэя перешёл на курение раз в неделю без каких-либо усилий и мучений.
Точно так же и с хавкой. Ну не удавалось мне взять вес под контроль, особенно в присутствии дудки. Год маялся туда-сюда.
Однажды плюнул и выбросил нахуй всю еду из дома, оставил только соль, лук и чеснок. Подписался на сервис что привозит еды ровно на день каждое утро. Кило лука сожрал сырым с голодухи за первые две недели, но в целом сработало, убрал жирок и приобрёл рельефный пресс.
>>54006 Короче расскажу свой случай, дудка + антидепрессанты, рекомендовать чего-то не могу т.к. не специалист.
В юношестве покуривал когда мог. Как только съебал от родыков - начал долбить каждый день после работы и наслаждаться жизнью. Уже через 3 месяца понял что какая-то хуйня и пытался бросить. Но по итогу не удавалось несколько лет, пока не дошел до антидепрессантов. В тернистом пути все усугубила корона и удаленка, я начал долбить 24/7, а еще немного поскользнулся и упал еблом в порошок юзал мф раз в месяц, никому не советую прикасаться к этому говну, подсел с первого же раза, не сильно серьезно, но это только усугубило диагноз.
Я много раз пытался бросить, но просто сука физически не мог. Я себя мотивировал, заставлял, ломал, когда-то даже ходил на группы АН. Не спал ночами думая о том что надо курнуть, и пытаясь не думать об этом, занимался спортом, работой, чем угодно. Но в один момент таймер будто заканчивался и я понимал что я еще не покурил, но уже сорвался. Понимал что я буду курить, и сейчас уже идут просто брыкания и бесполезные самоубеждения, которые просто отсрочат мой срыв на часы. Ненавидя себя снова срывался в закур в мясо.
Года через 3 я заметил что когда я в очередной завязке трезвый, вместо работы я втыкаю в монитор часами, и просто не могу ничего сделать. Как будто нужные проводочки не смыкаются. Я сидел за компом целыми днями в ожидании что я что-то поработаю, выдам какой-то результат, но по факту на целый рабочий день, 8 часов втыкания в комп, выходило от силы полчаса-час работы. Мне очень повезло с работой и что там всем было похуй что я такой лох. После таких историй я обычно снова срывался и под дудкой уже мог нормально работать сколько угодно.
Где-то год я еще пробыл в таком состоянии, но все чаще начал слышать про антидепрессанты. Не придавал этому значения, не думал что мне это поможет. Но у близкого друга начались панические атаки, он пошел к психотерапевту и ему там назначили сиозс (не помню какой), и ему сразу помогло и стало лучше. Я начал изучать тему, думал может мне тоже надо? Депрессии у меня не было, как и панических атак, но я просто стал овощем и чувствовал тревогу 24/7. Метался по квартире и не знал что делать, то ли вещи стирать, то ли работать, то ли чай попить. Подходишь к стиралке - блин надо работать а то уволят нахуй вот прям щас! - побежал к компу - бля надо налить чай - пошел налить чай - бля надо вещи постирать. Бред.
Решил сходить к платному психотерапевту за 2500р и просто рассказать ему все как есть. Перед этим за день докурил что было и принял решение бросить чтобы лечиться. У психолога я не упоминал своих зависимостей, потому что уже слышал что психотерапевты, психологи и прочие ребята не работают с зависимыми и говорят пиздуй к наркологу. Мне не хотелось еще в эту поебень влезать, и я просто сказал что у меня пиздец стресс на работе, стресс вне работы, и вообще стресс и все плохо. А в остальном рассказал как есть. Про то что работа не работается, мозг не мозгует, все время тревога, сна нет, депрессии конечно тоже нет, но я просто овощ.
Мне-то казалось что все нормально, что просто я ленивое чмо и хочу только торчать, и надо взять себя в руки, а по итогу мне поставили диагноз "Генерализованное тревожное расстройство". Выписали сиозс феварин и для сна атаракс. Как только я пришел домой и закинул первую таблетку феварина я ахуел. Я будто всю жизнь бежал куда-то сломя голову, а тут просто остановился. Почувствовал себя снова 14 летним ребенком без забот, которому завтра никуда не надо, и можно просто спокойно заниматься хуйней и получать удовольствие. Тут же вернулась работоспособность и я смог что-то делать. Но главное что я снова смог наслаждаться жизнью. И для этого не нужна была какая-то наркота, а нужно было просто снять ебучую тревожность.
Первый месяц я привыкал, ловя сайд эффекты - это норма. То внезапно дрищешь, то кошмары снятся, пару раз просыпался среди ночи и видел с закрытыми глазами всякие фрактальные узоры-цветочки, пару раз просыпался с ощущением дереализации, как будто я вовсе не я, впервые такое испытывал. Голова частенько болела. Но через месяц все стабилизировалось и я просто стал жить нормально. Такой дикой тяги к веществам не было ВООБЩЕ. Сказать что я ахуел - не сказать ничего. Я даже специально пытался гонять тягу в голове, но мне было похуй.
Через 4 месяца я потерял бдительность, и решил что можно ну просто попробовать немножко сладко дунуть, ведь я уже не торч, а просто дунул. И даже тут я не встретил тревоги. Раньше я брал 1г на день, потому что завтра точно брошу! Надо бросать! АаАаАа пиздец! А тут начал брать десятки, потом полтиники, дуть месяцами, каждый день, и было так похуй на всё. При этом продолжал каждый день пить феварин без пропусков. Чувствовал себя замечательно, работал тоже в меру своего похуизма, но не был овощем! И не было никакой мысли что надо бросать и что-то делать. Я просто жил и долбил в любой ситуации.
Продолбил я так еще 14 месяцев, и тут уже терапевт говорить в принципе пора слезать. Мне было очень стремно слезать, я боялся что все вернется назад, что опять будет плохо. Но с каждым понижением дозы помимо легкой усталости я исыпытывал ебейший прилив энергии. Когда я бросил антидепрессанты, я как будто заново начал их пить! Стало не хуже, а резко еще лучше. На фоне этого я накрутил себе бигуди что щас стану лютым работягой, супер продуктивным, начал конечно же с того что надо завязать дуть, а потом буду искать себе новую работу, новую зарплату, строить карьеру и тд. Успешно бросил еще на месяц, потом начал курить по чуток, потом опять бросил, опять начал, опять бросил, опять начал. Ну я так и живу в этом цикле. Стараюсь не курить вообще, но все равно иногда срываюсь и курю.
Работу новую не нашел, т.к. после терапии с чатжпт понял что я просто этого не хочу, и меня и так все устраивает, и есть в жизни вещи помимо работы, куда я хочу стремиться. И я успешно стремлюсь туда сейчас. А хуйня про карьеру была очередным неврозом. Прекрасно понимаю что если уйти в такой закур годовой какой был на антидепрессантах, то возможно через годик мне придется снова их пить. А может быть это комплексно повлияло - дудка, порох, хуевый сон из за дудки, прочие фоновые стрессы и неврозы. В любом случае проверять не хочется, поэтому стараюсь по максимуму бросать. Хоть и срываюсь - понимаю что можно прекрасно жить жизнь без этого говна, и даже не упарываясь в трудоголизм, стрессы и неврозы. Самоконтроля по итогу стало гораздо больше, ощущения гораздо лучше, тревоги теперь только на отходах или когда в голове непроработанное говно. Если терпеть две недели и верить в лучшее, то любые отхода от дудки проходят и жизнь становится обычной, приятной, без тревог. Хотя это не отменяет того что можно себе самому накрутить любые бигуди, от которых жизнь снова станет говном, неврозом и тревогой и снова захочется зарыться носом в пакет зелени. Это уже нужно прорабатывать самому/с чатжпт/с психологом. Я еще сам много увлекался психологией, и в целом очень осознанный, поэтому говна в голове не держу, всё ненужное стараюсь выкидывать. Так же еще за полгода до антидепрессантов принял волевое решение и перестал пробовать новые котики и употреблять какие либо попробованные кроме дудки и алкоголя, в том числе порошки, потому что это настоящий ад, и выхода оттуда может уже не быть. Успешно держусь уже 2+ года от такого, желания вернуться нет, тяги благодаря антидепрессантам нет, есть понимание какой безвыходный кромешный пиздец ждет любого любителя чего потяжелее, а я и о дудочных отходов в ахуе полнейшем, поэтому больше не планирую ничего подобного употреблять.
Извините что сумбурно и без знаков препинания, можете задавать ответы. Можете потрогать мой пипидон. Я могу потрогать ваш за дозу
>>54378 Блин, дружочек. Тот же опыт, что у тебя, но терапия + АД заменилась марочкой. Тоже как будто распутался тревожный клубок в голвое, стал фокусироваться нормально на задачах, которые себе ставлю. Тоже карьерный загон пропал, на работе эффективность выросла. Дуть перестал почти (только в компании), выпивку и так не очень любил.
Иными словами, тупняк пропал из жизни. И стало прикольно в качестве отдыха / перерыва не скроллить говно какое-нибудь, а просто посидеть, попялить в стену, или в окно.
>>54770 Вроде, лсд. Что там было по факту, сказать трудно, т.к. это был единственный опыт с такими вещами.
>пропал из жизни тупняк - полюбил сидеть смотреть ковер/обои/окно
Имею в виду, что не забиваю больше голову шумом извне. И как раз таки посидеть-потупить минут 10, подышав, смотря в точку, оказывается, реально расслабляет. Сорт оф медитация, не знаю.
>>54378 Спасибо тебе за прохладную историю, анон! Отлично изложено. Ты, наверное, часто пишешь тексты. Приятно видеть, что чувство юмора тебя не оставило )
А я вот лет десять гровил в России, с душеспасительными перерывами между харвестами. Пока не пришел 2022 год. С той поры ебланю по европам, где все можно купить, знай плати. И эвридей стал мяконько засасывать......
>>34542 Сэйм хуйня. Недавно расстался с Тянукой, на фоне этого сильно похеровило, я искал в себе проблемы которые привели к этому. Путём безустанных самокопаний я пришёл у тому что времясосатель в лице Лиги надо опракидывать. Я просто удалил эту дрисню с харда. и жизнь словно заиграла новыми красками. Да сожаления остались, да потерянного времени не вернуть, но это первый шаг к личностному развитию. Я горжусь тем что одна мысль об этой игре вызывает у меня рвотные позывы